Cookie Consent byPrivacyPolicies.comcherche confrere parisien experimente pour cas - Eugenol

cherche confrere parisien experimente pour cas rehabilitation bruxomane

goltooth

17/01/2011 à 15h28

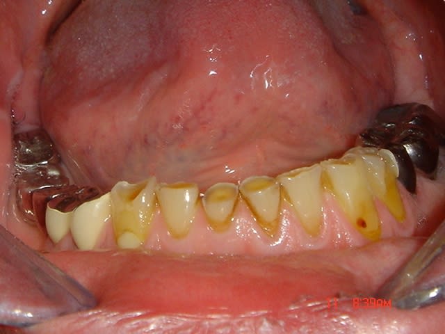
Bonjour, tout est ds le titre. Le cas est severe, voir photos, mais le patient est cooperant et agreable. [email protected]

Bvlf 2 q4nhfq - Eugenol
Bvlf pxxx8o - Eugenol

Little shop of horrors brzqjx - Eugenol
chatondecarte

17/01/2011 à 15h42

La vache, il est joli celui là. Je suis en plein dans un cas de ce style (mais pas encore aussi atteint quand même). J'attends que les implants s'ostéointègrent.

Pourquoi tu le fais pas toi même? Tu risques d'apprendre plein de choses! Le plan de traitement est facile à trouver : tu couronnes tout...


king_zoulou

17/01/2011 à 15h52

et n'oublies pas de lui faire des gouttières :p


Cuisinier2 vnbbxx - Eugenol
jeff2

17/01/2011 à 16h22

une pano serait bienvenue


Marque a3 orange fyvhyq - Eugenol
Marc Apap

17/01/2011 à 16h55

jeff2 écrivait:
---------------
> une pano serait bienvenue

Et pas façon puzzle s'il vous plaît !


caro78

17/01/2011 à 18h03

Peut on vraiment faire une réabilitation ????
Le bruxisme sera toujours présent et les céramiques vont cassées.................


goltooth

17/01/2011 à 18h22

Merci du conseil éclairé concernant les gouttieres. Le patient a le pano. Je l ai oriente vers deux confreres specialises mais il n obtient pas de devis et reviens vers moi. Pour info le patient a 50 ans. Je suis conscient qu a terme les bridges vont casser quelque soit l operateur. J ai hesite a entreprendre le cas puis renoncé.


Little shop of horrors brzqjx - Eugenol
chatondecarte

17/01/2011 à 18h43

goltooth écrivait:
------------------

> les bridges vont casser quelque soit l operateur. J ai hesite a entreprendre le
> cas puis renoncé.


Pas d'accord.
Une belle occlusion et des gouttières limitent les risques de casse.
Et si vraiment t'es pas tranquille, fait des faces occlusales métalliques.
Pourquoi se priver de toutes l'expérience que peut t'apporter un pareil travail. Et je ne parle même pas de l'aspect financier.


Canin

17/01/2011 à 19h42

Je ne trouve pas ce cas si désespéré que ça.

Le bas est pas si mal je trouve, et constitue une bonne base pour traiter le haut au moins dans un premier temps.

Faut relever la DV pour avoir des dents antérieurs "normales".

Voir aussi si faut pas envisager une élongation coronaire au moins dans le secteur antérieur en plus de rallonger les dents et ce en fonction de l'esthétique attendue.

Modèles d'études, Wax-up, provisoires avec DV relevées.... puis quand t'as trouver une situation correcte haut et bas tu passes au définitif.

Mais c'est vrai que c'est la prise de tête.

--
Canin


Maxime34

17/01/2011 à 23h33

Les faces occlusales en or c'est has been?


3f3boxni50k58rq7e9ce9ddqrxgk - Eugenol
dentiste57

18/01/2011 à 03h38

goltooth écrivait:
------------------
> Merci du conseil éclairé concernant les gouttieres. Le patient a le pano. Je l
> ai oriente vers deux confreres specialises mais il n obtient pas de devis et
> reviens vers moi. Pour info le patient a 50 ans. Je suis conscient qu a terme
> les bridges vont casser quelque soit l operateur. J ai hesite a entreprendre le
> cas puis renoncé.

si tu lui a proposé de TOUT couronner, quel à été sa réponse ?
-oui, ok pas de problème
-oui, ok, mais d'abord le haut et après le bas
-vous êtes sure qu'il faut tout couronner?
-c'est trop cher, j'y arriverai pas, sinon on fait une parti -cette année et la suite après


caredent

12/02/2011 à 22h54

dentiste57 écrivait:
--------------------
> goltooth écrivait:
> ------------------
> > Merci du conseil éclairé concernant les gouttieres. Le patient a le pano.

Chez ces patients bruxomanes , que mettez vous comme gouttières " de protection" ?
Michigan avec occlusion équilibrée sur toutes les dents ou au préalable occlusion sur plan incisif pendant quelque temps ?


Smile beach jgh0a1 - Eugenol
Céramik

13/02/2011 à 01h50

caro78 écrivait:
----------------
> Peut on vraiment faire une réabilitation ????
> Le bruxisme sera toujours présent et les céramiques vont
> cassées.................


c'est possible...
mais pas pour un 1er cas complexe, car c'est là qu'on voit les casses...

Faut avoir le portrait global du patient, et pas juste 1-2 photo...

analyse posture, voies respiratoires, cone beam, radio, modèles, histoire médicale, bilan dentaire, etc...

--
Céramik


Ylfwcw979cz1jnx9gfqeaxndiuzk - Eugenol
Algi

13/02/2011 à 13h55

Joli cas..... je ne vais pas repondre à la question d'un "quelqu'un sur paris" mais par contre il y là matiere à discutter des solutions:

1/ ce serait sympa d'avoir aussi des photos en oclusion et en situation, face, profil, sourire....
2/ il faut imperativement chercher "pourquoi" il a usé comme un malade et y apporter une solution faute de quoi il continuera.
3/ à priori ce patient a une bonne hygiene et il me semble qu'au niveau qualité du support osseux il est pas mal sinon y'a belle lurette que ses dents se seraient barrées. Donc que du positif.


--
"On a toujours le choix! Mais entre quoi et quoi?
Vas-y boulégue et l'avenir te le dira!"


albert

13/02/2011 à 15h05

1/ ce serait sympa d'avoir aussi des photos en occlusion et en situation, face, profil, sourire....
Oui c’est nécessaire mais de toutes façons ce sont les dents provisoires qui révéleront les difficultés

2/ il faut impérativement chercher "pourquoi" il a usé comme un malade et y apporter une solution faute de quoi il continuera.
Il n’y a aucune raison pour qu’un bruxomane s’arrête de bruxer. Il faut juste faire en sorte qu’il bruxe moins souvent et eviter la fonction de groupe en latéralité.

3/ à priori ce patient a une bonne hygiene et il me semble qu'au niveau qualité du support osseux il est pas mal sinon y'a belle lurette que ses dents se seraient barrées. Donc que du positif.
Oui comme souvent tous les bruxomanes la résistance parodontale est exceptionnelle mais beaucoup d’hypercementose réactionnelle.