Cookie Consent byPrivacyPolicies.com"Très petite" image radioclaire - Eugenol

"Très petite" image radioclaire

Sans titre tztxfv - Eugenol
Monet

23/01/2011 à 10h27

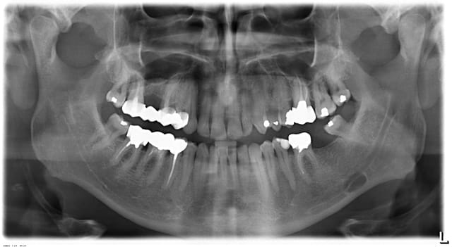
Dans la série des images radioclaires...Voici un patient de 56 ans venant pour la pose d'un implant au niveau de 37...

Découvert e fortuite à la panoramique d'une image radioclaire asymptomatique et non décelable cliniquement...

Diagnostic?
Conduite à tenir?
L'implant peut il tout de même être posé en 37?

Keseapelorio uk9vxb - Eugenol

Avatar hjdsnm - Eugenol
TiGabi

23/01/2011 à 10h59

Vu l'aspect radiographique, la localisation et ta description, c'est probablement une lacune de Stafne : un lobule de la glande submandibulaire qui s'est développé au détriment de la corticale linguale mandibulaire.

Refais une pano dans 2 et 6 mois pour être sûr de ne pas passer à côté de quelque chose.


Avatar hjdsnm - Eugenol
TiGabi

23/01/2011 à 11h06

Google Images :

S3 kxj7zs - Eugenol
S4 xkn3cn - Eugenol
S5 dznouf - Eugenol
S lx2l72 - Eugenol
S2 klxchl - Eugenol

Canin

23/01/2011 à 12h24

Pareil, lacune de Stafne en première intention.

Fais faire un scan. tu dois avoir une image en encoche avec conservation de la corticale vestibulaire.

Il n'y a aucun traitement à envisager pour ça, c'est une variation de la normale avec un contrôle dans 6 mois voire un an pour être sûr.

Pour l'implant je pense que tu peux y aller sans problème. En plus, tu as des kilomètres d'os au dessus de ton image pour poser ton implant

--
Canin


Smile beach jgh0a1 - Eugenol
Céramik

23/01/2011 à 18h35

+1

--
Céramik