Cookie Consent byPrivacyPolicies.comSallanches : mouture janvier 2011 - Eugenol

Sallanches : mouture janvier 2011

S2y2o1v7q53ws4r5wy6ou8czrpom - Eugenol
pxav

26/02/2011 à 09h55

Chicot écrivait:
----------------
> noahaxeltiger-olivier écrivait:
> -------------------------------
> > Très beau travail
>
> +1
>
> J'adore faire ce genre de chir, c'est très fort en adrénaline et en
> autosatisfaction
>
> Mais y a t il un risque post op ? J'ai eu une fois une nécrose avec perte de 2
> implants mais c'était suites à une EII avec MCI et expansion
> j'ai pas trop su d'où venait la nécrose :
> Ostéite suite à une alvéolite ?
>
> ;O)
j'ai eu la critique à Sallanches, mais il ne faut pas faire de MCI avec une expansion, c'est une des règles pour que ça marche.
Dans ce cas le patient avait un bridge fin de vie qui est remis en provisoire.

--
xbk
La théorie, c'est quand on sait tout et que rien ne fonctionne. La pratique, c'est quand tout fonctionne et que personne ne sait pourquoi. Albert EINSTEIN


S2y2o1v7q53ws4r5wy6ou8czrpom - Eugenol
pxav

26/02/2011 à 10h04

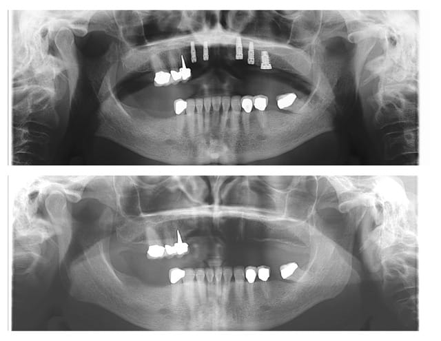
pour éviter la fissure, nous aurions pu faire une décharge vestibulaire à la lame 15, mais il me semblait important de "tendre" toutes la demie arcade, pour favoriser la tenue des implants en particulier la 5 qui subie en même temps un soulevé de membrane.


--
xbk
La théorie, c'est quand on sait tout et que rien ne fonctionne. La pratique, c'est quand tout fonctionne et que personne ne sait pourquoi. Albert EINSTEIN

Dsc 1344w ftrpmz - Eugenol
Dsc 1271w eosfl6 - Eugenol
Dsc 1339w yenivs - Eugenol

Avatar ow44t3 - Eugenol
Chicot

26/02/2011 à 11h28


Plus de MCI avec expension ok ! Merci du conseil

La fissure c'est un des petits soucis sans trop de conséquences si membrane par dessus

De plus si une membrane est placé, plus besoins de combler la tranchée non ?


--
;O)


S2y2o1v7q53ws4r5wy6ou8czrpom - Eugenol
pxav

26/02/2011 à 12h01


la membrane n'est pas forcement obligatoire, ça dépends de tes habitudes et de la façon de faire, j'utilise beaucoup le VitalOs, mais quelques fois une simple éponge en protection, pour le cas du Dr SP... il a mis des copeaux et du prf, c'est bien aussi.
--
xbk
La théorie, c'est quand on sait tout et que rien ne fonctionne. La pratique, c'est quand tout fonctionne et que personne ne sait pourquoi. Albert EINSTEIN

Dsc 1383w vchugn - Eugenol
Dsc 1382w cyniul - Eugenol

Avatar ow44t3 - Eugenol
Chicot

26/02/2011 à 12h37

le prf, ça me démange de plus en plus....

--
;O)


S2y2o1v7q53ws4r5wy6ou8czrpom - Eugenol
pxav

26/02/2011 à 14h41

ça semble intéressant (je n'utilise pas )je vais peut être bien passer le pas.
Noa tu utilise?

--
xbk


flicflac

27/02/2011 à 03h39

Pour l'expansion tu utilises les roues circulaires de Meissener?
Quels sont les instruments manuels que tu utilises?
merci cousins


Smile beach jgh0a1 - Eugenol
Céramik

18/03/2011 à 01h24

Salut Xavier

Tient, pour toi, petit montage photos, du cas de ce matin.
1er cas d'expansion fait suite formation Sallanches.

C'est pas un gros cas complexe, mais juste assez difficile, et juste assez cool pour moi.

Patiente adressée suite à une ré-hab prothétique fait en 2010, perte de la canine 6 mois après...donc stellite plutôt mobile, comme la 14 et bientôt la 37, mais bon, on commence le projet implanto.

Exo de la 23 + implantation immédiate
Expansion kit Meissegner et lame 15
Pose de 2 implants (13 et 11)
Pose 22 impossible, j'ai tenté, mais crak, bof, j'ai placé en 24 et 25.

Un peu de granules osseuse (23)

Les photos sont de ma nouvelle 2e assistant implanto.



--
Céramik

Montage 52 whnmnv - Eugenol
Montage 52 2 wphdsr - Eugenol
Expansion 5 ikaplz - Eugenol

S2y2o1v7q53ws4r5wy6ou8czrpom - Eugenol
pxav

18/03/2011 à 01h29

c'est cool, tu es tout bon!
félicitations, même si j'aurais peut etre plus "travaillé à l'ostéotome curviligne au départ.

--
xbk
"Si tous ceux qui croient avoir raison n'avaient pas tort, la vérité ne serait pas loin" Dac Pierre


Smile beach jgh0a1 - Eugenol
Céramik

18/03/2011 à 01h36

pxav écrivait:
--------------
> c'est cool, tu es tout bon!
> félicitations, même si j'aurais peut etre plus "travaillé à l'ostéotome
> curviligne au départ.
>
> --
> xbk
> "Si tous ceux qui croient avoir raison n'avaient pas tort, la vérité ne
> serait pas loin" Dac Pierre

erreur de débutant, j'aime pas quand l'os bouge trop...
;-)


--
Céramik


flicflac

18/03/2011 à 04h50

Quel est le nom du poincon en bas à gauche pour l'expansion?
Expansion curviligne... il n'y a pas eu assez d'écartement avec les ciseaux à os avant utilisation du poincon???
Je vois que tu as le guide du dr sylvain Cazulbou...c'est bien
salut les cousins


Smile beach jgh0a1 - Eugenol
Céramik

18/03/2011 à 05h07

flicflac écrivait:
------------------
> Quel est le nom du poincon en bas à gauche pour l'expansion?
> Expansion curviligne... il n'y a pas eu assez d'écartement avec les ciseaux à os
> avant utilisation du poincon???
> Je vois que tu as le guide du dr sylvain Cazulbou...c'est bien
> salut les cousins

Salut
Pas un "poincon", c'est le kit Meissenger, expanseur rotatif sur contre angle.

Dans l'ordre pour le cas montré pour implants 11 et 13
1-Disque sur la crête
2-Lame 15 impactée (sommet crête et en vestibule (décharges)
3-Ciseaux à os (bone chivel)
4-Forêt 1.2 mm
5-Expanseur rotatif (A-B-C-D-E)
6-Pose implant

--
Céramik


Image28 rerkma - Eugenol
AFS

18/03/2011 à 10h05

Céramik écrivait:
-----------------
> Patiente adressée suite à une ré-hab prothétique fait en 2010, perte de la
> canine 6 mois après...donc stellite plutôt mobile, comme la 14 et bientôt la 37,
> mais bon, on commence le projet implanto.

que propose tu à la patiente au maxillaire pendant la phase d'ostéointégration et à la mandibule quel projet ?


ngcile1

31/03/2011 à 17h27


OYE,OYE,

Ce fut une belle surprise....j'ai recu aujourd'hui le cours du stage d'expansion realise

de ces messieurs Thomas et Xavier ....


Merci ce fut vraiment CHOUETTE Bizzzz à tous les deux
--
cile