Cookie Consent byPrivacyPolicies.comLongévité ? - Eugenol

Longévité ?

Grumpy cat ifik8s - Eugenol
radich_a_tord

28/01/2011 à 21h43

Bonsoir,
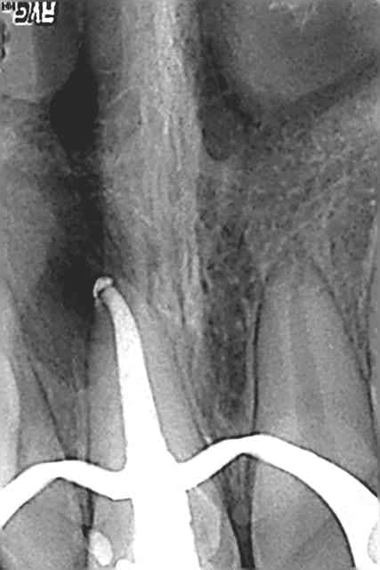
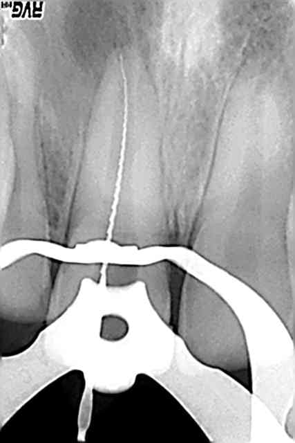
Je viens de traiter une jeune fille de 17 ans, qui a fait une cellulite suite à une nécrose sur 11.
La dent a subi un traumatisme (cheval) il y a 7 ans avec certificat initial et réparation de l'angle au composite, à l'époque.

Malheureusement, la dent était nécrosée. Elle a été vue par le confrère de garde dimanche dernier qui a ouvert la chambre. J'ai fait l'endo aujourd'hui.
Digue, irrigation importante, j'ai eu du mal à instrumenter, je flottais à l'apex. Le protaper F4 travaillait à peine à l'apex. En manuel je n'ai rien au dessus de 50. La dent est évidemment immature.

Pour obturer, j'ai coupé mon cone de 5/10eme en 5/10eme jusqu'à obtenir une butée. Je l'ai eue à 70/10èmes...
J'ai ensuite obturé de façon classique, j'ai même inséré le thermocondenseur à LT-5mm. Bref j'ai fait au mieux de mes capacités.

La question que je me pose est celle de la longévité d'une dent immature avec un traitement qui me parait satisfaisant. 10 ans ? 20 ans ?

R13 padivj - Eugenol
R8 cy5dir - Eugenol
R9 d8vvl2 - Eugenol

Gonzo k0qhwz - Eugenol
matten

28/01/2011 à 21h46

Pourquoi veux tu que la dent tombe si l'etat paro est bon et que l'obturation conserve son etancheite?


ndecer

28/01/2011 à 21h51

+1
L'obturation est pas mal. Un bonchon de MTA aurait peut être été plus sur mais 70 cela ne m'impressione pas outre mesure, on a des rte ou l'apex a été élmiminé ou l'on arrive a ces diamètres.


200106 10150128247663588 709988587 6466236 5598391 n d7mksb - Eugenol
hallboy

28/01/2011 à 22h18

tres joli boulot.


1980 husqvarna 390 automatic 2 kl7m5v - Eugenol
cyanolit

28/01/2011 à 22h46

Oui, je pense que dans un cas comme celui ci, la mise en place bouchon de MTA avec fouloir vertical sous contrôle radio peut être une bonne idée.

Mais l'obturation est très belle !


Smile beach jgh0a1 - Eugenol
Céramik

28/01/2011 à 23h01

cyanolit écrivait:
------------------
> Oui, je pense que dans un cas comme celui ci, la mise en place bouchon de MTA
> avec fouloir vertical sous contrôle radio peut être une bonne idée.
>
> Mais l'obturation est très belle !



Contrôle radio dans 6 mois...
au pire cas, tu placeras du MTA via une p'tite chirurgie apicale...

Beau travail

--
Céramik


Utilisateur banni

29/01/2011 à 21h04

Joli!
Quand au pronostic, impossible (à mon avis) sans connaitre le patient


Aymen

30/01/2011 à 20h14

salut
je profite de la discussion pour poser des questions concernant le bouchon MTA

quel est le garanti que le bouchon est hermetique?
dites pas svp la radio car ce n'est que 2 dimensions objectivées sur un plan
quels types de fouloirs utiliser?? y'a t il un coffret ou kit ou system
mes questions peuvent vous paraitre banales, mais ici dans mon coin, on n'a pas de DU endo ou de CES
merci les gars


Squash u44zd8 - Eugenol
steph

30/01/2011 à 20h37

La garantie tient aux propriétés du matériau ; puisqu'il est stable, pas de contraction de prise.
De plus il a l'avantage de prendre en milieu humide, sang compris.
Quant aux fouloirs tu en trouves de très pratiques chez Sybron Endo, instruments doubles, différentes tailles.


Images eb1m5g - Eugenol
tonio

02/02/2011 à 01h12

A part surveiller par des contrôles radios, il n'y a pas grand chose à faire de plus pour le moment.
L'avenir te dira quoi faire (en particulier si début de résorption), RTE rétrograde si nécessaire plus tard mais laisse faire la nature pour le moment.

Un bouchon de MTA poussé directement en intracanalaire aurait peut être été mieux mais ce n'est pas si simple que cela à mettre en place, d'autant plus que cela ne se condense pas vraiment (enfin ce n'est pas la même sensation qu'un IRM). Cela dépend aussi de la longueur de ton incisive. Si elle était longue, tu aurais été limité par la longueur de ton MTA gun. Comme ton canal était apparemment bien large, cela aurait pu être jouable.

Pour la RTE rétrograde, le MTA n'est pas forcément la solution miracle, toujours du fait de sa manipulation. Certains lui préfèrent parfois l'IRM, voir le super EBA (mais difficile à trouver apparemment) qui est une sorte d'IRM, qui ont l'avantage de pouvoir se "condenser" lorsqu'ils sont mis en phase plastique. C'est potentiellement moins étanche que le MTA mais plus rapide et plus facile à mettre en place. On retire les excès plus facilement aussi.
ça compte dans ton acte opératoire qui ne doit pas s'éterniser afin de limiter les suite post op.
Mais pour en arriver là, il faut déjà que tu aies un échec, que tu maîtrises la technique et que tu sois équipé pour le faire (inserts US, aide optique (MO de préférence)).

Sinon, on est tous d'accord pour dire que tu as bien bossé.


Grumpy cat ifik8s - Eugenol
radich_a_tord

04/02/2011 à 12h05

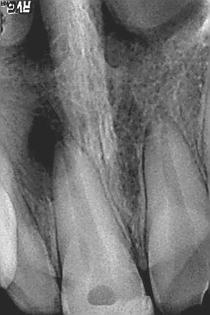
Merci pour vos retours.

Je me pose des questions car j'ai encore une faible expérience des trucs hors norme en endo.

Les points négatifs pour le pronostic :

- Nécrose initiale (donc présence de bactéries +++) et lésion osseuse associée
- Hygiène de la patiente moyenne (ado)
- son age. Sa dent durera t elle toute sa vie ?
- Obturation coronaire au composite (dont on connait la durée de vie relative...)

Après je suis content de mon traitement. Je ne maitrise pas la chir endo, je n'ai pas le matériel pour le MTA/IRM/Super EBA non plus, mais au moins je saurai que dans un tel cas, c'est mieux ! Merci tout le monde


Images eb1m5g - Eugenol
tonio

05/02/2011 à 00h13

dis toi bien qu'au mieux tu fais du "transitoire de longue durée". wait and see.


aterman

05/02/2011 à 10h22

Une dent qui a subit un traumatisme comme ici qui a engendré une nécrose et ensuite une lésion péri apicale, endo... Cela fait déjà beaucoup. De plus il va y avoir une reconstruction prothétique par dessus avec surement un inlay core ou un composit post et couronne si le compo se fracture mais que la racine reste ok..
Donc wait and see mais commencer à parler a la patiente de la solution implantaire, mettre les sous de côté, on sait jamais...
Joli travail, equipe toi de limes de plus de 50 car il n est pas rare d aller jusqu a 70 sur certaines incisives centrales ou canines bien larges et longues. La derniere canine de memoire, j étais à 35mm ( j avais peur d aller finir dans l'oeil) et preparation jusqu a lime 70..