Cookie Consent byPrivacyPolicies.comTREPHINES PAS CHERES - Eugenol

TREPHINES PAS CHERES

Bouddha 2 wmj1zk - Eugenol
HAIG

07/02/2011 à 16h52

Bonjour,

qui sait ou acheter des trephines pour retirer des implants. Pas cher du tout ( chinois ou idem ), c'est pas le truc dont je me sers tous les jours.
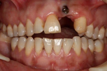
Mais un patient est arrive au cabinet avec 7 Implants maxillaires et rien de plus, bilan des courses , 2 mobiles, 2 avec l'hexagone externe cassé, 1 avec la vis prothétique cassée dans l'implant. Il reste un en place de 17 a moitie enterré et l'autre en 16, ni l'un i l'autre ont une vis de couverture ou un piler de cicatrisation.

" Vaya Chapuza " comme on dit ici.

Merci

--
HAIG (º¿º)


Smile beach jgh0a1 - Eugenol
Céramik

07/02/2011 à 17h03

place une pano
c'est quoi comme implant ?
la cause de toutes ces casses ?

Prend un bonne tréphine, pour 5 implants c'est pas si mal, tu refiles les frais aux patients non ?
Pour les 2 mobiles, c'est facile...

--
Céramik


Blason dql7mj - Eugenol
growler

07/02/2011 à 17h14

sinon, tu as les tournes à gauche:

http://paris.implants.pagesperso-orange.fr/coffret2.html


flodec

07/02/2011 à 19h27

Snif snif, ça sent les implants hongrois par ici !!!


Bouddha 2 wmj1zk - Eugenol
HAIG

07/02/2011 à 20h44


La pano oui bof, les implants je pense des Klockner.
Le malheur est que c'est Made in Spain pose par un enfoiré qui vient de Madrid jusque dans mon ile saboter des bouches.
Le Hic est qu'il a autant de titres universitaires que moi , et que son conseil de l'ordre de Madrid le protège.
Mais je suis le Président du Comité Déontologique de Las Palmas et que j'ai convaincu le Président de me laisser porter plainte directement au Conseil Général des Dentistes Españols. Et il a sur mon ile, un procès en cours dans lequel je suis l'Expert nomme (je suis le seul des Canaries a avoir un Diplome d'Exertise).
En résumé , je m'occupe sérieusement de l'enfoiré mais je dois aussi virer ses merdes.
--
HAIG (º¿º)

P.S : Pour le fun le cas pour lequel , je suis énervé et celui du proces est pire mais je ne peux pas le publier.
Il a laissé la patiente 5 mois comme ça en disant que tout allait bien, l'endo je l'ai faite moi au cas ou !!
Le second va être virer aussi car il est intra-sinusien générant une sinusite chronique.

Implantes 1 urxsnz - Eugenol
Implantes 2 m0uyas - Eugenol
Implantes m83s6f - Eugenol

Smile beach jgh0a1 - Eugenol
Céramik

07/02/2011 à 20h55

C'est sympa les Canaries ?

Faut quoi comme diplôme pour y bosser ?

Parce que poser des vis mieux que cela, même les yeux fermés, c'est facile...



--
Céramik


Bouddha 2 wmj1zk - Eugenol
HAIG

07/02/2011 à 20h59

Tu sais pas lire , je t'ai dit que le Mec est Madrilene.

Sinon t'inquiètes pas, certain de mes collègues et moi même avons des cas qui tournent dans les sales de Conf.

Donc ne nous prend pas pour des dentistes tiers mondistes , je connais parfaitement les merdes qui se font aussi en France !!!!!!!!!!
--
HAIG (º¿º)

Je viens de trouver un trephine chez BTI pour 90 € donc raisonnable


Photo pluton1b h9n4ea - Eugenol
pluton

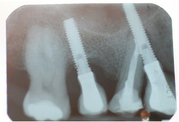
07/02/2011 à 22h07

bein quoi???? y sont bien parallèles les implants....;-)))


Smile beach jgh0a1 - Eugenol
Céramik

07/02/2011 à 22h48

HAIG écrivait:
--------------
> Tu sais pas lire , je t'ai dit que le Mec est Madrilene.
>

J'avais compris.
La question sur les Canaries est sérieuse, c'est sympa là-bas pour un CD ? Il faut quoi comme qualifications pour y travailler ?

Le type qui a fait l'implant dans la dent, OK il n'est pas très bon, mais je ne juge que ce cas, pas les autres CD de ton coin, mille excuses.


> Sinon t'inquiètes pas, certain de mes collègues et moi même avons des cas qui
> tournent dans les sales de Conf.
>
Super, on ne demande qu'à voir et apprendre.

> Donc ne nous prend pas pour des dentistes tiers mondistes , je connais
> parfaitement les merdes qui se font aussi en France !!!!!!!!!!

et ailleur, je ne suis pas en France !
J'ai jamais pensé que les Canaries, c'est le 1/3 monde...




> --
> HAIG (º¿º)
>
> Je viens de trouver un trephine chez BTI pour 90 € donc raisonnable


--
Céramik


Bouddha 2 wmj1zk - Eugenol
HAIG

08/02/2011 à 09h50


" La question sur les Canaries est sérieuse, c'est sympa là-bas pour un CD ? Il faut quoi comme qualifications pour y travailler ? "

Il te faut un diplôme reconnu en Europe et ensuite les démarches habituelles ( Conseil de l'ordre )

Mais en ce moment la crise est forte ici avec entre 20 et 30 % de la population au chômage.
Donc si tu es fan de Aznavour et que tu pense que la misère est plus agréable au soleil; pas de problème.
--
HAIG (º¿º)


flicflac

11/02/2011 à 05h50

beau cas de concrescence hyatrogénique


Bouddha 2 wmj1zk - Eugenol
HAIG

12/02/2011 à 20h34

Photos reçues ce matin de la part d'un ami Français qui enrichit mon musée des horreurs.

--
HAIG (º¿º)

Caso clinico 1 - Eugenol
Caso clinico 1 - Eugenol
Caso clinico 1 - Eugenol

Smile beach jgh0a1 - Eugenol
Céramik

12/02/2011 à 21h23

Superbe cas de bridge sur dents naturelles, c'est quoi le problème ?

;-)



--
Céramik


Harley davidson fat boy special 2010 2 pqsaxa - Eugenol
elmex

14/02/2011 à 16h32

il a peut etre été envisagé une traction orthodontique de l'implant et hop, oulup barbatruc

ok je sort


Bouddha 2 wmj1zk - Eugenol
HAIG

14/02/2011 à 21h32


Je sais pas si ça communique avec le nez sinon ça peut le faire pour la plongée !!!!!!
--
HAIG (º¿º)


Smile beach jgh0a1 - Eugenol
Céramik

14/02/2011 à 23h13

Une p'tite radio ?

--
Céramik


Bouddha 2 wmj1zk - Eugenol
HAIG

14/02/2011 à 23h28


j'ai pas , on m'envoie souvent les photos pour ma collection, les radios quand ça finit chez moi .
--
HAIG (º¿º)


Smile beach jgh0a1 - Eugenol
Céramik

14/02/2011 à 23h38

dommage
l'implant est soit dans la 11 soit dans le nez...ou le mec est chanceux...


--
Céramik


flicflac

15/02/2011 à 03h54

dommage, je ne restaure plus en unitaire avec hex externe...


Smile beach jgh0a1 - Eugenol
Céramik

15/02/2011 à 05h41

flicflac écrivait:
------------------
> dommage, je ne restaure plus en unitaire avec hex externe...

pffft, t'es pas un peu trop difficile ?

--
Céramik


Avatar ow44t3 - Eugenol
Chicot

16/02/2011 à 09h10

Ben quoi, j'ai mis l'implant là où y'avait de l'os, dans l'épine nasale.......

Et pis d'abord mon patient y voulait pas de greffe, et pis quand il sourit on voit pas, et pis c'est mon premier, blablabla.......


LOL

--
;O)


Dsc 3167 ff43tz - Eugenol
Xenophon

08/07/2011 à 22h04

Le problème, c'est qu'une photo comme ça ça veut pas dire grand chose.
C'est un ou une patiente ?
Quand l'implant a t-il été posé ?

Si c'est un implant posé il y a 10 ans sur une patiente, ça peut se voir.


Easy Implant

12/07/2011 à 12h53

Bonjour,
Chez EasyImplant nous avons des trépans de différents diamètres de la marque Helmut Zept,
le prix de vente : 65 €TTC
Pour plus de renseignements : 04.50.45.04.98

http://www.easyimplant.com/fre_FR/catalogue-produits?module=catalogue&action=produits.listing&id_gam=494&id_ctg=169

Trepan nvsqqx - Eugenol