Cookie Consent byPrivacyPolicies.comtoxicomanie, traitement de substitution et soins dentaires - Eugenol

toxicomanie, traitement de substitution et soins dentaires

bjr à tous,

je cherche à faire un petit topo pour des amis sur la prise en charge des patients toxicomane dans un cabinet dentaire.

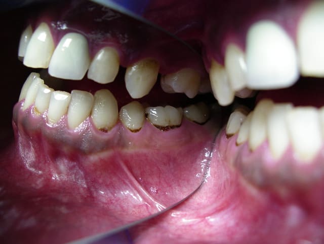
en fait je pense qu'un patient toxico substitué ou non ne peut pas être traité comme un autre. il me semble que les caries ont un développement plus rapide, que la sédation de la douleur est plus difficile et que la psychologie du patient est transformé par son addiction.


qu'en pensez vous ? avez vous des remarques sur cette prise en charge?
avez vous des cas cliniques?
pouvez vous me prêter des photos?

merci à tous.

Imgp5855 pbp8ix - Eugenol
Imgp5859 i3gqc8 - Eugenol
Imgp5803 c7rfik - Eugenol

Séverine

08/02/2011 à 14h18

Déjà il faut savoir que la méthadone est TRES sucrée. Donc cela augmente le risque de carie chez des patients dont on sait déjà que l'hygiène n'est pas là et où il y a déjà beaucoup de caries.
Ensuite, effectivement, les réactions aux anesthésies sont plus longues. Les caries se développent rapidement avec énormément de caries du collet.
Le suivi est très aléatoire. De même que le respect des consignes d'hygiène ou de prise de rv.

Par contre, je demande à mes patients d'être réglo et de pas venir shooté (peur de leur réaction, pbm au fauteuil, ...).

--
Séverine


king_zoulou

08/02/2011 à 14h58

Faire aussi attention au sida/hépatite, maladies auxquelles sont fortement exposés les patients ayant été accroc à l'héroïne.


1

selon un article
http://www.rvh-synergie.org/prises-en-charge-des-addictions/penser-ensemble-les-prises-en-charge/contextes-de-vulnerabilite/hygiene-de-vie/311-etat-bucco-dentaire-du-toxicomane-et-methadone.html

la carie de Lowenthal serait pathognomonique de la consommation d'héroïne

en avez vous déjà constaté? quelle est cette forme clinique spécifique?


2 pensez vous que la prise en charge d'un patient toxicomane bouleverse l'organisation du cabinet? ou bien est ce que seuls nos a priori feraient barrage à leur soins?

avez vous remarqué des difficultés de compliance aux règles du cabinet? (horaire, annulation, coopération aux soins, mise à jour de la situation administrative)


anodonte

08/02/2011 à 17h50

http://en.wikipedia.org/wiki/Meth_mouth
un lien sur la "meth mouth" consécutive à la consomation de métamphétamine surtout présente outre-atlantique.


ZORBECA

08/02/2011 à 18h15


> la psychologie du patient est transformé par son addiction.
>

Si ton patient ne l'a pas fait, tu as le devoir de l'inciter à consulter un addictologue qui l'aidera dans son traitement, sinon il y a un peu : non assistance à personne en danger.


Fresh watermelon 640x562 udulqz - Eugenol
gulguch

08/02/2011 à 19h43

"la psychologie du patient est transformé par son addiction."
Attention à la parano induite présente mème chez des patients "sympa". Eviter les trt compliqués sources de conflits, tôt ou tard.
Soigner des drogués est extrèmement ingrat, surtout en libéral.


en fait je suis copain avec un médecin addictologue qui m'envoie ses patients.
j'ai pas mal de pb même chez ces patients qui sont briefés et je cherche des clefs pour les prendre en charge.
un peu l'impression que, plus que tout autre, ces patients testent mes limites. Etant un peu rigide, les tutoiements, retard et autre manque d'hygiène arrivent vite à bout de ma patience.

ceci étant, leurs douleurs ne sont pas feintes et leurs problèmes sont bien rééls.

j'ai essayé le coup de l'anesthésie locale (ostéocentrale) 30 min avant les soins... echec!

la sédation de la douleur au biprofénid ca me gène un peu!