Cookie Consent byPrivacyPolicies.comsinus lift - Eugenol

sinus lift

P1060496 m7josl - Eugenol
rhizalyse

08/02/2011 à 22h30


patiente ayant été implantée il y a 12 jours et toujours mal

pas normal d'accord, mais encore ?

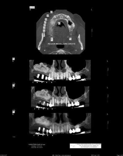
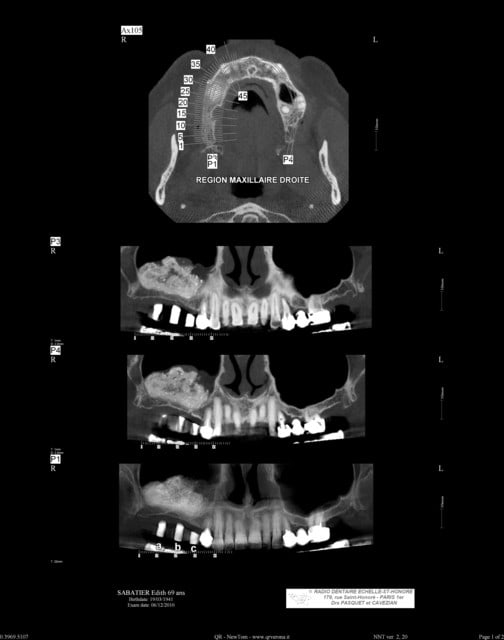
le sinus lift a été pratiqué il y a 8 mois

j'avais repéré une perf, bien apparente, que j'ai protégée avec une Biogide

j'ai appris à mes dépens qu'un train peut en cacher un autre, savoir
une autre perf plus post, et donc quand je me suis rendu compte que le BM passait dans la deuxième perf,
j'ai interrompu la chir, ce qui explique la présence de lacunes

l'ORL a bien rattrapé, car je pensais qu'il allait virer tout le Bio Oss


les implants ont été posés sans problème, et le BM était bien dense

ce qui m'ennuie ce sont les douleurs 12 jours après l'implantation

j'ai l'impression que la patiente se plaint depuis qu'elle a terminé les antibiotiques

je ne l'ai pas encore vue donc je ne peux vous décrire l'aspect de la gencive ( nous avons eu une conversation téléphonique)


qu'"en pensez-vous et quelle suite à donner ?

amicalement

marc

1 kjgm9f - Eugenol
2 zn9iie - Eugenol
3 vbyedg - Eugenol
4 rsfnvs - Eugenol
5 vynrtr - Eugenol
Pano aekssv - Eugenol

Photo pluton1b h9n4ea - Eugenol
pluton

08/02/2011 à 22h40

sinusite?...on est en hiver...c'est une piste à ne pas écarter...
ton biomat était bien dense...échauffement lors du forage?

je ferais une pano de contrôle pour voir s'il n'y a pas bêtement une sinusite...sinon, çà peut être un implant qui merdouille....

tiens nous au courant de la suite....


Pépélaratiche

08/02/2011 à 23h49

Aspect lacunaire du biomat au scanner = sucre mouillé infecté...car non vivant et non vascularisé

Ca répond fort aux signes de l infection = douleur car tu as ouvert, oxygéné la zone et favosisé le réveil de germes anaérobies facultatifs

Pp


P1060496 m7josl - Eugenol
rhizalyse

08/02/2011 à 23h57

bon je m'en doutais un peu que ça venait des lacunes dans le bio oss

mais comment gérer la " sortie de crise" ?

si la zone n'est pas vascularisée, je ne vois pas comment un antibio pourra éradiquer l'infection

je confirme: pas d"échauffement au forage

virer un implant d'accord, mais lequel?

on n'avance pas trop dans le traitement de fond

merci pour vos idées


ad-hugo

09/02/2011 à 09h45

Pépélaratiche écrivait:
-----------------------
> Aspect lacunaire du biomat au scanner = sucre mouillé infecté...car non vivant
> et non vascularisé
>
> Ca répond fort aux signes de l infection = douleur car tu as ouvert, oxygéné la
> zone et favosisé le réveil de germes anaérobies facultatifs
>
> Pp
>
en principe, l'oxygénation tue les anaérobies, non?!?

c'est pas plutôt, la fermeture qui a réveillé les anaérobies


Img 3657 cwjvqm - Eugenol
alapex

09/02/2011 à 10h02

Toujours est il qu'avec un agrandissement on verrait sûrement plein de petites lacunes , mais déjà là les grosses...
Les microbes c'est comme les mobylettes ,il y a des gaz d'échappement .


Pépélaratiche

09/02/2011 à 11h47

ad-hugo écrivait:
-----------------
> Pépélaratiche écrivait:
> -----------------------
> > Aspect lacunaire du biomat au scanner = sucre mouillé infecté...car non vivant
> > et non vascularisé
> >
> > Ca répond fort aux signes de l infection = douleur car tu as ouvert, oxygéné
> la
> > zone et favosisé le réveil de germes anaérobies facultatifs
> >
> > Pp
> >
> en principe, l'oxygénation tue les anaérobies, non?!?
>
> c'est pas plutôt, la fermeture qui a réveillé les anaérobies

Oui mais certains germes sont aérobies/anéarobies FACULTATIFS ce qui veut dire qu en présence d oxygène ils se mulptiplient encore plus vite car ils utilisent la voie la plus facile pour leur multiplication

Jamais oublier que les germes anaérobies sont en fait des aérobies aussi... en fait ils utilisent par exemple des nitrates-nitrites -NO3 - NO2 qui sont présents un peu partout pour en récupérer l oxygène par fragmentation de ces anions donc simplement ils sont pernicieux car ils sont lents à se multiplier en absence d oxygène mais ils utilisent aussi l oxygène

Pp

PS pour être plus précis

Les types respiratoires.
Selon leur rapport à l'oxygène (type respiratoire), les bactéries peuvent être classées en différents groupes :

Les aérobies strictes peuvent vivre uniquement en présence de dioxygène ou oxygène moléculaire (O2).
Les aéro-anaérobies facultatives peuvent vivre en présence ou en absence de dioxygène ;
Les anaérobies ne peuvent vivre qu'en absence de dioxygène.

Les aérotolérants sont des organismes anaérobies qui peuvent tout de même survivre en présence d’oxygène.
les microaérophiles requièrent de l’oxygène pour survivre mais à une concentration faible



Pépélaratiche

09/02/2011 à 11h51

rhizalyse écrivait:
-------------------
> bon je m'en doutais un peu que ça venait des lacunes dans le bio oss
>
> mais comment gérer la " sortie de crise" ?
>
> si la zone n'est pas vascularisée, je ne vois pas comment un antibio pourra
> éradiquer l'infection
>
> je confirme: pas d"échauffement au forage
>
> virer un implant d'accord, mais lequel?
>
> on n'avance pas trop dans le traitement de fond
>
> merci pour vos idées

Sortie de crise

1. tu vires tous les implants ( contaminés et obstacles vasculaires )
2. tu vires le biomat qui bouge
3. tu maintiens sous AB au moins un mois
4. qd tout est refermé tu balances qques bons coups d ostéotenseur en entrant bien ds le sinus

et là tu attends calmement que tout rentre ds l ordre et tu revois ton plan implantaire

Pp


ad-hugo

09/02/2011 à 13h59

merci pp pour les explications


ad-hugo

09/02/2011 à 14h01

mais pour la sortie de crise, je ne suis pas sûr qu'il adore ta solution


Pépélaratiche

09/02/2011 à 14h06

ad-hugo écrivait:
-----------------
> mais pour la sortie de crise, je ne suis pas sûr qu'il adore ta solution

C est la seule RAISONNABLE hélas

Pp ;-)


Pépélaratiche

09/02/2011 à 14h08

ad-hugo écrivait:
-----------------
> merci pp pour les explications

Pp est vieux con grincheux mais il lui reste qques vieilles limbes qui fonctionnent encore un peu

Bien à toi

Pp


P1060496 m7josl - Eugenol
rhizalyse

09/02/2011 à 19h43

merci pour vos condoléances les gars


Pépélaratiche

10/02/2011 à 21h58

Pas un problème de condoléances mais plutôt de réalisme

Pp :-(((((((((


P1060496 m7josl - Eugenol
rhizalyse

11/02/2011 à 00h31

me reste plus qu'à espérer qu'un seul implant est impliqué
je vous tiendrai au courant


sinclair

11/02/2011 à 18h49

Pépélaratiche écrivait:
-----------------------
> ad-hugo écrivait:
> -----------------
> > merci pp pour les explications
>
> Pp est vieux con grincheux mais il lui reste qques vieilles limbes qui
> fonctionnent encore un peu
>
> Bien à toi
>
> Pp

En fait pp il y a un peu d'Alain delon en toi :))


Logocolornotext kiwlk1 - Eugenol
Clio

11/02/2011 à 22h43

Peux tu nous décrire le type de douleurs que présente ta patiente?


P1060496 m7josl - Eugenol
rhizalyse

11/02/2011 à 23h11

Clio écrivait:
--------------
> Peux tu nous décrire le type de douleurs que présente ta patiente?

oui, justement j'ai pu la voir aujourd'hui, pour lui déposer les sutures

la cicatrisation est parfaite, pas d'oedeme, pas de déhiscence, pas de suppuration à la pression, les PC sont bien brossés, rien d'apparent à la radio de contrôle prise sous plusieurs angulations

la patiente dit que ses douleurs sont peu importantes, et qu'elles auraient tendance à diminuer

hier elle a passé une journée sans paracétamol, mais il persiste un fond douloureux faible ce qui n'est pas normal

au niveau localisation, la sensibilité correspond à la zone où a été découpé le volet osseux


je lui ai donné un traitement pour une sinusite (augmentin, solupred, lavage des fosses nasales), et precription d'un cone beam dans 10 jours

en tout cas, rien ne presse, car en cas de dépose d'un seul implant, il vaudrait mieux qu'il soit localisé

voilà

amicalement

marc


3f3boxni50k58rq7e9ce9ddqrxgk - Eugenol
dentiste57

12/02/2011 à 00h10

rhizalyse écrivait:
-------------------

>
> je lui ai donné un traitement pour une sinusite (augmentin, solupred, lavage des
> fosses nasales), et precription d'un cone beam dans 10 jours
>
> en tout cas, rien ne presse, car en cas de dépose d'un seul implant, il vaudrait
> mieux qu'il soit localisé

justement si rien ne presse, le cone bean me semble un peu superflu.non?


Logocolornotext kiwlk1 - Eugenol
Clio

12/02/2011 à 00h22

Pas d' accord avec toi dentiste 57, le cône bean donne des informations non négligeables...


3f3boxni50k58rq7e9ce9ddqrxgk - Eugenol
dentiste57

12/02/2011 à 00h40

je suis bien de ton avis, mais si j'ai bien lu, l'intervention n'a eut lieu qu'il y a quelques semaines non ?


P1060496 m7josl - Eugenol
rhizalyse

12/02/2011 à 01h00

dentiste57 écrivait:
--------------------
> je suis bien de ton avis, mais si j'ai bien lu, l'intervention n'a eut lieu
> qu'il y a quelques semaines non ?


le sinus a été greffé il y a environ 8 mois

et les implants ont été posés il y a 15 jours

attention pour finir en souriant, le cone "beam" n'est pas de la famille de Mr Bean ^_^

amicalement

marc


Pépélaratiche

19/02/2011 à 00h56

dentiste57 écrivait:
--------------------
> rhizalyse écrivait:
> -------------------
>
> >
> > je lui ai donné un traitement pour une sinusite (augmentin, solupred, lavage
> des
> > fosses nasales), et precription d'un cone beam dans 10 jours
> >
> > en tout cas, rien ne presse, car en cas de dépose d'un seul implant, il
> vaudrait
> > mieux qu'il soit localisé
>
> justement si rien ne presse, le cone bean me semble un peu superflu.non?

Stt à 10 j on savoir quoi de plus ???

Pp


Pépélaratiche

19/02/2011 à 00h58

rhizalyse écrivait:
-------------------
> Clio écrivait:
> --------------
> > Peux tu nous décrire le type de douleurs que présente ta patiente?
>
> oui, justement j'ai pu la voir aujourd'hui, pour lui déposer les sutures
>
> la cicatrisation est parfaite, pas d'oedeme, pas de déhiscence, pas de
> suppuration à la pression, les PC sont bien brossés, rien d'apparent à la radio
> de contrôle prise sous plusieurs angulations
>
> la patiente dit que ses douleurs sont peu importantes, et qu'elles auraient
> tendance à diminuer
>
> hier elle a passé une journée sans paracétamol, mais il persiste un fond
> douloureux faible ce qui n'est pas normal
>
> au niveau localisation, la sensibilité correspond à la zone où a été découpé le
> volet osseux
>
>
> je lui ai donné un traitement pour une sinusite (augmentin, solupred, lavage des
> fosses nasales), et precription d'un cone beam dans 10 jours
>
> en tout cas, rien ne presse, car en cas de dépose d'un seul implant, il vaudrait
> mieux qu'il soit localisé
>
> voilà
>
> amicalement
>
> marc

Oui oui ça peut aussi s avérer être un loup revêtu d une peau de mouton et qd la merde se déclenchera car le biooss est peu ossifé et bactérisé, ça va être la montée en puissance

Pp :-((((((((((