Cookie Consent byPrivacyPolicies.comQuestion pour les pros de la paro: - Eugenol

Question pour les pros de la paro:

S2y2o1v7q53ws4r5wy6ou8czrpom - Eugenol
pxav

09/02/2011 à 15h14

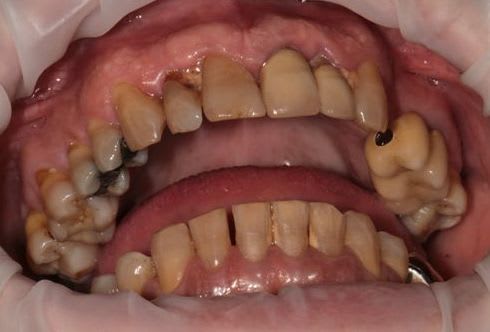
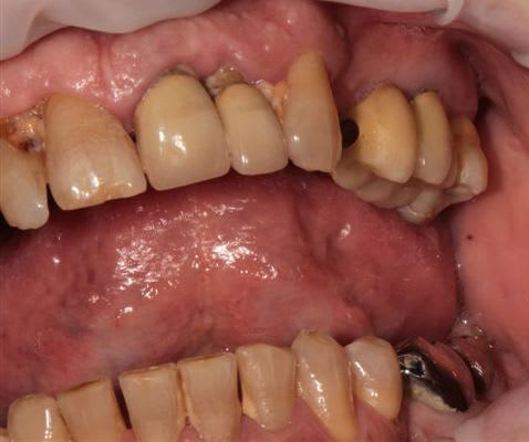
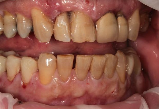
N'étant pas spécialiste de la paro, voici un cas ou je ne sais quoi faire de plus!

Patient 50 ans, gros fumeur, lithotricié à Nice, n'a semble t il jamais eu de prise en charge globale.
Vos avis?
J'en profite pour te remercier Céramik, c'est toi qui m'a donné le goût de ce genre de cas.
Les photos de départ
--
xbk
La théorie, c'est quand on sait tout et que rien ne fonctionne. La pratique, c'est quand tout fonctionne et que personne ne sait pourquoi. Albert EINSTEIN

Img 5365 q3ot8v - Eugenol
Img 5366 d8pwlj - Eugenol
Img 5367 hbydql - Eugenol
Img 5368 yddpj6 - Eugenol
Img 5370 vscwoy - Eugenol
Img 5371 x8vsrw - Eugenol
Img 5446 ltfokb - Eugenol

aquarium

09/02/2011 à 15h55

Une petite pano?

Sinon pour l'instant
1) detartrage + motivation à l'hygiène
2) 2° détartrage + status radio + adressé à tabaccologue ou hypnose s'il veut bien arrêter le tabac
3) Bilan de sondage
En fonction, plan de traitement!


Img 0812 mvp6i0 - Eugenol
jeamba

09/02/2011 à 15h57

Pano, bilan radio.
"Pas de bras pas de chocolat"


S2y2o1v7q53ws4r5wy6ou8czrpom - Eugenol
pxav

09/02/2011 à 16h04



--
xbk
La théorie, c'est quand on sait tout et que rien ne fonctionne. La pratique, c'est quand tout fonctionne et que personne ne sait pourquoi. Albert EINSTEIN

Les jac 04.12 - Eugenol

SAMIRA

09/02/2011 à 17h31

pxav écrivait:
--------------
>
>
> --
> xbk
> La théorie, c'est quand on sait tout et que rien ne fonctionne. La pratique,
> c'est quand tout fonctionne et que personne ne sait pourquoi. Albert EINSTEIN

peux tu nous renseigner sur la mobilité au niveau de la 11 et 12 parceque le reste est gerable.


Img 0812 mvp6i0 - Eugenol
jeamba

09/02/2011 à 17h46

Si le motif de la consultation du patient est son problème paro. il faut avant toute entreprise gagner la bataille de l'hygiène car pas d'hygiène pas de stabilité.
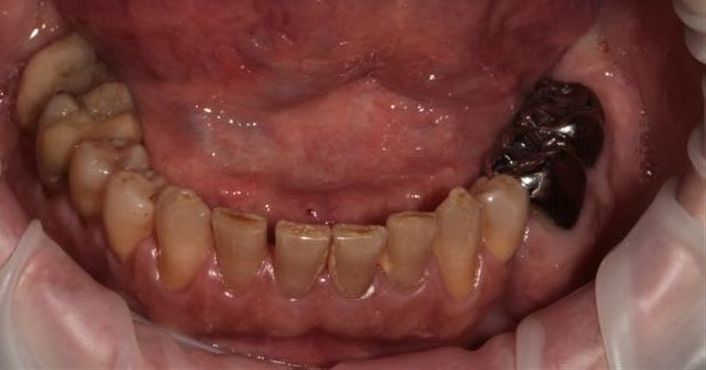
Mobilité de 11-21-23 ?


Avatar 46 aoi1yc - Eugenol
HononLulu

09/02/2011 à 17h56

50 ans ...gros fumeur.... hygiène inexistante.
Tu peux dire qu'il a une bonne résistance à la maladie parodontale ton patient.
Ses soucis sont plus en rapport avec les soins reçus ou non effectués.
--
FSDL , what else ?


S2y2o1v7q53ws4r5wy6ou8czrpom - Eugenol
pxav

09/02/2011 à 18h24

SAMIRA écrivait:
----------------
> peux tu nous renseigner sur la mobilité au niveau de la 11 et 12 parce que le reste est gérable.
échelle de 1 à 4
12 :un bon 3
11 :3
21 :2.5
22 :2.5
--
xbk
La théorie, c'est quand on sait tout et que rien ne fonctionne. La pratique, c'est quand tout fonctionne et que personne ne sait pourquoi. Albert EINSTEIN

020 se0zlw - Eugenol
022 z9vsu8 - Eugenol

Avatar ow44t3 - Eugenol
Chicot

09/02/2011 à 18h46

aquarium écrivait:
------------------
> Une petite pano?
>
> Sinon pour l'instant
> 1) detartrage + motivation à l'hygiène
> 2) 2° détartrage + status radio + adressé à tabaccologue ou hypnose s'il veut
> bien arrêter le tabac
> 3) Bilan de sondage
> En fonction, plan de traitement!

Surtout pas de detrartrage pour commencer ! Tu risques d'aggraver son état par dissimination bactérienne et de diminuer les possibilité de cica

Enseignement au brossage avec h2o2 et bicarbonate
Réévaluation a 1 mois et si bon contrôle de plaque on peut envisager de passer a la suite
Sinon on en remet une couche
Phase 2 en fonction de la flore présente : AB par voie locale ou générale et réévaluation à 1 mois
Phase 3 si hygiène ok et flore compatible: détartrage pour éliminer le tartre sous et sus gingivale soit en 1 grosse séance soit en 4 séances ( on peut appeler ça lithotritie, curetage sans lambeau,...)
Réévaluation à chaque fois avec le microscope
Puis phase de maintenance
C'est amha la seul façon de faire comprendre que le tartre et la paro sont dépendante uniquement de la capacité du patient a brosser sesndents avec méthode et application
Bien sur sondage et status radio pour suivre la fermeture des poche et la guérison osseuse

Pxav il faut tu investisses dans un stage de paromed chez Bonner ou Charon. C'est tellement magique et sécurisant pour l'implanto et le reste que c'est devenu la première étape de presque tout mes traitements. Ça va de 3 à 10 séances selon la gravité et tu te laisses un peu de temps pour voir la réponse de l'organisme de ton patient et son niveau de motivation. De plus tes risques de péri implantite sont fortement diminué et plus facilement gérable puis tu as déjà beaucoup fait en amont.

--
;O)


Ylfwcw979cz1jnx9gfqeaxndiuzk - Eugenol
Algi

09/02/2011 à 19h05

Chicot je suis d'accord sauf pour le stage bonner ou charon, y'a ici sur le forum suffisamment d'infos pour pas avoir à passer par là....

C'était y"a pas longtemps l'anniversaire de Pxav, donc on devrait pouvoir lui faire ce cadeau.

paro med+laser: algi sur marseille, amibien au luxembourg, la belle carole à paris et j'en oublie....

--
"On a toujours le choix! Mais entre quoi et quoi?
Vas-y boulégue et l'avenir te le dira!"


Avatar ow44t3 - Eugenol
Chicot

09/02/2011 à 19h27

Algi écrivait:
--------------
> Chicot je suis d'accord sauf pour le stage bonner ou charon, y'a ici sur le
> forum suffisamment d'infos pour pas avoir à passer par là....

Sauf que rien ne remplace une immersion totale !

>
> C'était y"a pas longtemps l'anniversaire de Pxav, donc on devrait pouvoir lui
> faire ce cadeau.

Ça n'engagent que toi. LOL !

> paro med+laser: algi sur marseille, amibien au luxembourg, la belle carole à
> paris et j'en oublie....

Le laser n'est qu'un adjuvant, à lui seul il ne résoud rien, et si le reste est bien conduit il n'apporte qu'un bonus surtout marketing

Le microscope est plus important, mais seul ceux qui ont la chance d'en avoir un en on conscience, les autres malheureusement critiques vertement. Et je ne fais pas de prosélytisme

;0)


--
;O)


Grueavatar nptrc9 - Eugenol
Le Choixpeau magique

09/02/2011 à 19h30

Chicot écrivait:
----------------
> Le laser n'est qu'un adjuvant, à lui seul il ne résoud rien, et si le reste est
> bien conduit il n'apporte qu'un bonus surtout marketing

Comme le microscope, le H2O2, le bicarbonate, les termes ronflants...


Keyser Söze

09/02/2011 à 20h00

La paro, c'est invendable.
Sauf quand il est trop tard.

Le patient a-t-il une RT?
Que compte faire son pneumologue?

Le patient a-t-il fait un IPS et un echodoppler artériel des membres inf?
Que compte faire son cardiologue?
Que compte faire son chirurgien vasculaire?

Ne crois-tu pas qu'ils vont lui dire simplement: "arrêtez de fumer".

Toi tu lui dis la même chose: "arrêtez de fumer et brossez-vous les dents".

La vérité, what else?


Keyser Söze

09/02/2011 à 20h09

Au fait pxav tu m'as pas répondu:
http://www.eugenol.com/sujets/391690-vasoconstricteurs-interdits?page=1#post_538145


S2y2o1v7q53ws4r5wy6ou8czrpom - Eugenol
pxav

09/02/2011 à 20h32

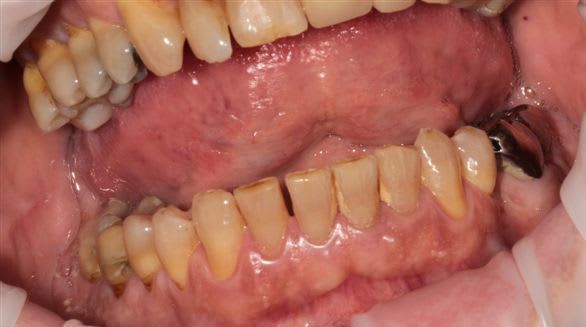
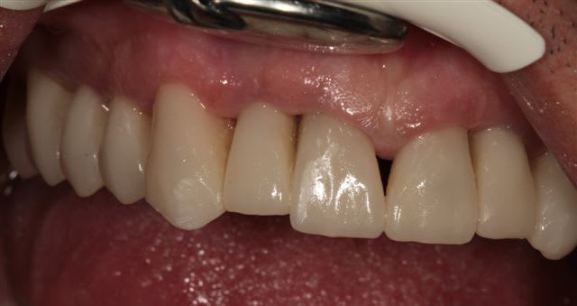
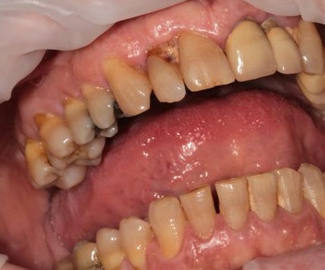
Précision importante: le patient avait un planning de trois semaines pendant lesquelles je faisais comme bon me semblait, mais passé ce délais il ne pouvait plus, suivre de soins.
je me suis laissé prendre par le temps et vos réponses, car je voulais vous mettre les photos du cas 15 jours après la fin des travaux qui se sont déroulés sur 3 semaines à la façon Céramik,des le début du post
Les conditions que j'ai posés:
1° j'ai fait prendre conscience au patient que le tabac allait l'arrêter si lui ne l'arrêtait pas.
2°Proposition de réhabilitation du max et de la mandibule en CCC.
3° compte tenu du délais serré, j'ai laissé un jour de réflexion.
Et je me suis lancé.
dévitalisation retraitement de 22/21/11/12 et 26 remplacement des amalgames par du composite et tout le reste dents vivantes.
le patient ne fume plus depuis 21 jours sur les dernières photos, mais je ne sais pas si mon plan de traitement suffira à lui redonner une gencive correcte.

--
xbk
La théorie, c'est quand on sait tout et que rien ne fonctionne. La pratique, c'est quand tout fonctionne et que personne ne sait pourquoi. Albert EINSTEIN

Img 5815 n6frzw - Eugenol
Img 5819 kbwyae - Eugenol
Img 5823 jwklpc - Eugenol
Img 5827 nido5r - Eugenol
Img 5828 tay2j2 - Eugenol
Img 5829 vp2bgh - Eugenol

Avatar ow44t3 - Eugenol
Chicot

09/02/2011 à 20h39

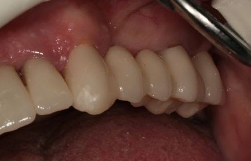
Rassure moi, c'est des provisoires ?

--
;O)


Avatar ow44t3 - Eugenol
Chicot

09/02/2011 à 20h43

Le Choixpeau magique écrivait:
------------------------------
> Chicot écrivait:
> ----------------
> > Le laser n'est qu'un adjuvant, à lui seul il ne résoud rien, et si le reste
> est
> > bien conduit il n'apporte qu'un bonus surtout marketing
>
> Comme le microscope, le H2O2, le bicarbonate, les termes ronflants...


Septique ?

Dans les conf. pourtant, tout le monde y vient. Mais si tu préfères continuer à faire culpabiliser tes patients et à leur faire de beaux lambeaux, libre à toi.

As-tu au moins essayé ?

--
;O)


S2y2o1v7q53ws4r5wy6ou8czrpom - Eugenol
pxav

09/02/2011 à 20h43

Chicot écrivait:
----------------
> Rassure moi, c'est des provisoires ?
>
> --
> ;O)

Tu connais quelque chose de définitif, toi, à par la mort?
Il y a du provisoire et de la prothèse d'usage, mais où?
Je redis que je n'avais que 3 semaines ensuite il va falloir que je compose.
--
xbk


Avatar ow44t3 - Eugenol
Chicot

09/02/2011 à 20h51

pxav écrivait:
--------------
> Chicot écrivait:
> ----------------
> > Rassure moi, c'est des provisoires ?
> >
> > --
> > ;O)
>
> Tu connais quelque chose de définitif, toi, à par la mort?
> Il y a du provisoire et de la prothèse d'usage, mais où?
> Je redis que je n'avais que 3 semaines ensuite il va falloir que je compose.
> --
> xbk

Tu n'as pas une photos avec le patient qui sourit ?

Les canines passent bien ?

Les triangles noires invisible ?

La morphologie des antérieures ?

La couleur, maquillage caractérisation,.......
--
;O)


S2y2o1v7q53ws4r5wy6ou8czrpom - Eugenol
pxav

09/02/2011 à 20h59

Chicot écrivait:
----------------

> Tu n'as pas une photos avec le patient qui sourit ? Non pas là, ça viendra.
>
> Les canines passent bien ? demande impérative du patient pas si désagréable que ç patient debout.
>
> Les triangles noires invisible ? à ton avis?
>
> La morphologie des antérieures ? pour la temporisation, incisive plus courte que normales, (bras de levier)
>
> La couleur, maquillage caractérisation,....... très peu de caractérisation, pas de maquillage (qui partirait au brossage dans l'année)

> --
> ;O)


--
xbk
La théorie, c'est quand on sait tout et que rien ne fonctionne.


Img 8465 fqhxid - Eugenol
noahaxeltiger-olivier

09/02/2011 à 23h54

Chicot écrivait:
----------------
> Phase 2 en fonction de la flore présente : AB par voie locale ou générale et
> réévaluation à 1 mois
> Phase 3 si hygiène ok et flore compatible: détartrage pour éliminer le tartre
> sous et sus gingivale soit en 1 grosse séance soit en 4 séances

Chicot (je sais que Bonner est ton mentor en paro) donnes moi 1 bonne raison ( j'entends par la preuve scientifique) de donner des AB a un patient présentant une parodontite chronique. Il n'y a absolument aucune étude qui supporte ce genre de ttt!! Un traitement causal parodontal non chirurgical classique et SANS AB donnera d'aussi bons résultats !!

Je rajouterais a cela que donner des AB avant même de retirer les dépôts tartriques supra et sub gingivaux donne encore moins de crédibilité a ton plan de traitement !!!


Avatar 46 aoi1yc - Eugenol
HononLulu

10/02/2011 à 00h31

pxav écrivait:
--------------
> Chicot écrivait:
> ----------------
> > Rassure moi, c'est des provisoires ?
> >
> > --
> > ;O)
>
> Tu connais quelque chose de définitif, toi, à par la mort?
> Il y a du provisoire et de la prothèse d'usage, mais où?
> Je redis que je n'avais que 3 semaines ensuite il va falloir que je compose.
> --
> xbk


Pxav, tu avais le temps dont tu voulais disposer, tu n'avais pas le couteau sous la gorge. La phase prothétique étant la dernière que j'aurais abordée après validation des traitements endo et surtout après cicat des tissus parodontaux.

Tes photos sont très belles mais ça me fait penser à la réticence que j'ai concernant le tourisme dentaire et la bousculade des temps opératoires et chirurgicaux qui me laissent perplexe sur le court ou moyen terme.

Bisous quand même, c'est la 2° fois que j'entends ce truc : le patient n'a pas le temps. Incompréhensible de la part d'un petit jeune qui a un peu de bouteille.


Logo vuaztn - Eugenol
mac

10/02/2011 à 08h11

Chicot écrivait:
----------------


> Surtout pas de detrartrage pour commencer ! Tu risques d'aggraver son état par
> dissimination bactérienne et de diminuer les possibilité de cica
>


tu as des sources ( sérieuses ) ?


Logo vuaztn - Eugenol
mac

10/02/2011 à 08h12

pxav écrivait:
--------------

> pas de maquillage (qui partirait au brossage dans l'année)
>


???


S2y2o1v7q53ws4r5wy6ou8czrpom - Eugenol
pxav

10/02/2011 à 09h02

HononLulu écrivait:
-------------------
> pxav écrivait:
> --------------
> > Chicot écrivait:
> > ----------------
> > > Rassure moi, c'est des provisoires ?
> > >
> > > --
> > > ;O)
> >
> > Tu connais quelque chose de définitif, toi, à par la mort?
> > Il y a du provisoire et de la prothèse d'usage, mais où?
> > Je redis que je n'avais que 3 semaines ensuite il va falloir que je compose.
> > --
> > xbk
>
>
> Pxav, tu avais le temps dont tu voulais disposer, tu n'avais pas le couteau sous
> la gorge.
> Bisous quand même, c'est la 2° fois que j'entends ce truc : le patient n'a pas
> le temps. Incompréhensible de la part d'un petit jeune qui a un peu de
> bouteille.

quand je dis pas le temps, c'est pas le temps!
je n'ai pas à exposer ses problèmes, mais disont que je disposais de 21 jours (dimanche compris) avant que le patient me dise désolé je ne peux pas vous payer.
Ors, je ne facture pas avant que le travail soit fait, donc!
Il est bien évident que si le patient avait été dans un cadre standard, je n'aurais pas abordé le cas de cette façon, qui je te l'accorde, fais un peu "tourisme dentaire".
ceci étant, et compte tenu du fait que je me suis lancé, je n'ai pas une certitude totale que dans 20 ans tout sera nickel, donc je demandais aux pros de la paro ce qu'il est possible de faire pour "améliorer" le cas, sachant que tout ce que je fais sur le patient maintenant n'est que pour le fun (plus de HN, ni de ED).

--
xbk
La théorie, c'est quand on sait tout et que rien ne fonctionne. La pratique, c'est quand tout fonctionne et que personne ne sait pourquoi. Albert EINSTEIN


12