Cookie Consent byPrivacyPolicies.comParo ultra agressive chez une jeune femme de 30 ans. - Eugenol

Paro ultra agressive chez une jeune femme de 30 ans.

Img 3657 cwjvqm - Eugenol
alapex

16/02/2011 à 12h25

gulguch écrivait:
-----------------
> Tu comprends rien alapex, tu écris:
> "Ca fait un paquet de temps qu'elle suit la paro , non ?"
> ...naaan naaan, si seulement tu LISAIS ce qu'il y a écrit, "le dernier
> détartrage date de 3 ans"


Scuzzi...



> Ce qui prouve qu'il y a -(peut-être)- beaucoup plus d'os que visible sur les
> radios.


Vi .



Donc édenter tout de suite, et bien non.
> Quand tu dis que les implants vont valser, c'est illogique, cette patiente vu
> son état ne mange plus que du gervita. Mais QUI va tuer tes implants??


J'aurais tendance à penser que des implants en post et chateau branlant en ant...ça fait pas .




> Et excuse moi si c'est te faire injure de croire que tous les autres sont des
> incompétents.


Je ne l'ai pas dit et ne pense pas .



Au contraire, en paro tout marche, ou presque, avec une patiente
> motivée.
> Ce qui permet à chacun de croire détenir la vérité exclusive, mais c'est un
> autre débat.



Je demande juste combien de temps on maintient les dents car comme ça à 30 ans , plus la méno , la dépression , le crack...des fois il faut savoir perdre pour garder l'os .
Le problème de la fausse gencive se posera de toute façon .
Elle sera obligée de faire des compromis que des prothèses amovibles complètes instables la forceront à faire .

PS: je demande , sous l'emprise d'aucune colère , je suis là pour apprendre...))))


Grueavatar nptrc9 - Eugenol
Le Choixpeau magique

16/02/2011 à 13h43

gulguch écrivait:
-----------------
> Ce qui prouve qu'il y a -(peut-être)- beaucoup plus d'os que visible sur les
> radios.

Tu peux expliquer cette phrase stp ?

Tu parles d'os potentiel (récupérable) ou d'autre chose ?


Fresh watermelon 640x562 udulqz - Eugenol
gulguch

16/02/2011 à 17h46

alapex disait:
"Je demande juste combien de temps on maintient les dents car comme ça à 30 ans , plus la méno , la dépression , le crack...des fois il faut savoir perdre pour garder l'os .
Le problème de la fausse gencive se posera de toute façon .
Elle sera obligée de faire des compromis que des prothèses amovibles complètes instables la forceront à faire ."
OK, là je suis d'accord meme si la méno à 30 ans on en est loin. Mais les implants sur une fumeuse qui brosse pas ne sont pas non plus éternels. Sur de l'axial 7 ans peut être. Sur du titane Niçois bien lisse ça durera peut étre 15 ans et ça finira pareil. Mais une fois implanté, le patient, il te croit pas.


Fresh watermelon 640x562 udulqz - Eugenol
gulguch

16/02/2011 à 17h59

Le Choixpeau magique écrivait:
------------------------------
> gulguch écrivait:
> -----------------
> > Ce qui prouve qu'il y a -(peut-être)- beaucoup plus d'os que visible sur les
> > radios.
>
> Tu peux expliquer cette phrase stp ?
>
> Tu parles d'os potentiel (récupérable) ou d'autre chose ?

Bon je parle de cet os "invisible" sur les radios, sur le scan parce que déminéralisé, et quand tu ouvres, qqfois ce n'est pas aussi grave que prévu.
C'est ce qui permet à certains conférenciers de faire croire qu'on a "gagné" de l'os, alors que cet os était là, du moins sa trame organique; le seul fait de supprimer l'infection le fait "réapparaitre". Tu vois la mème chose dansle traitement de lésions périapicales diffuses, dans les trt de périimplantites.
Si cette patiente est en pleine infection, un assainissement donnera -peut-être- des images radio bien meilleures. Et avec 2mm d'os en plus, le tableau change.


Img 3657 cwjvqm - Eugenol
alapex

16/02/2011 à 18h09

gulguch écrivait:
-----------------
> alapex disait:
> "Je demande juste combien de temps on maintient les dents car comme ça à 30 ans
> , plus la méno , la dépression , le crack...des fois il faut savoir perdre pour
> garder l'os .
> Le problème de la fausse gencive se posera de toute façon .
> Elle sera obligée de faire des compromis que des prothèses amovibles complètes
> instables la forceront à faire ."
> OK, là je suis d'accord meme si la méno à 30 ans on en est loin. Mais les
> implants sur une fumeuse qui brosse pas ne sont pas non plus éternels. Sur de
> l'axial 7 ans peut être. Sur du titane Niçois bien lisse ça durera peut étre 15
> ans et ça finira pareil. Mais une fois implanté, le patient, il te croit pas.
>


Je suis d'accord avec tout et bien sûr avec ta réponse à chapi chapo qui suit celle ci .
Je veux juste entendre dire que pour un cas comme celui là le pronostic est sombre et que la paro sera une façon de prolonger les dents dans la bouche , mais que inexorablement à plus ou brève échéance en tenant compte des secteurs édentés actuels ce sera l'édentation .Mais que si on me montre des cas similaires avec un recul de 20 ans ou plus , je suis preneur .

PS: Je déteste traiter ce genre de cas , très difficile ...


Img 3657 cwjvqm - Eugenol
alapex

16/02/2011 à 18h11

PS: Pour le titane niçois , je précise qu'avec Pp on vit en couple , on est pas encore paxé , donc je suis libre de toute école...quoi que , ma femme fait Charon !..))))


folofrine

16/02/2011 à 19h21

Alapex tes derniers posts me rassurent. Franchement, relisez vous tous depuis le début.
On a tous une manière différente d'aborder ce cas. Et regardez la littérature et les conférenciers : Idem. Ils ont tous une manière différente.
Alors s'il vous plait, soyons tous intelligent et opartons du principe que personne ne détient la vérité absolue.
Quand je vois tes posts en page 2 Alapex, tu donnes l'impression de critiquer ceux qui veulent essayer de conserver les dents de la miss Et je sais pourquoi. Tu a peur de ne plus avoir assez d'os pour mettre des implants. Ok, ça peux se tenir. Mais dans un cas pareil il est évident que rien ne sera envisager sans un monitoring très dense du cas. Tous les 3 mois après la phase thérapeutique. Un maintenance ultra serrée et un nouveau BLC 6 mois plus tard. Je pense exactement comme gulguch. Dans le stage de Charon, il explique que cette trame osseuse invisible est bien présente et qu'il faut être patient et optimiste et la redenssification osseuse est possible.

Pour Ceramik tu dis :
"Tu fais tes chirurgies paro de "comblement" ?
Tu as des cas à nous montrer ?
J'aimerais bien voir. (Olivier aussi je pense)
"

Est ce que je r^ve ou quoi?
Je suis le seul à connaître l'existence de lésions en cuvettes, de lésions infraosseuses, de régénération osseuse à l'aide de biomatériau et/ou membrane? Bientôt vous aller me dire que la chirurgie régénératrice des lésions interadiculaires n'existent pas?
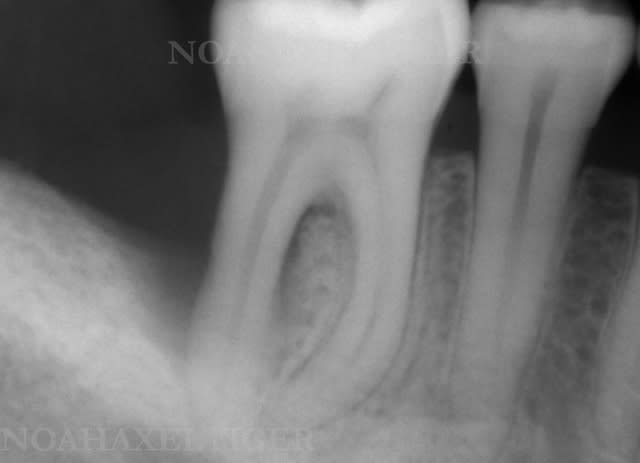
Puique vous avez l'air de douter Olivier et toi sur ce qui est pour moi une base enseignée à la fac en cycle commun, je vous poste 2 cas avant après pose du biomat (résultat à 2 et 4 mois) Désolé de la piètre qualité de la radio avant elle provient d'un zoom du BLC initial photographié.

37 avant sgtutm - Eugenol
37 apr s fktiho - Eugenol
46 avant tpineb - Eugenol
46 apr s p2okx4 - Eugenol

folofrine

16/02/2011 à 19h23

Je précise que dans les 2 cas c'est du Novabone et que je n'ai pas eu besoin d'utiliser de membrane (c'est un matériau putty qui se place très bien)


Img 8465 fqhxid - Eugenol
noahaxeltiger-olivier

16/02/2011 à 19h47

Merci des cas que tu nous montres folofrine. C'est toujours intéressant.
Je suis content de voir que tu aies trouvé un protocole thérapeutique qui te donne satisfaction.

Cependant je crains que les clichés radiographiques que tu nous montres ne prouvent seulement un comblement (physique) d'un défaut osseux, mais non une réparation parodontale. Quels sont les paramètres cliniques locaux (BoP, PPD, ...)
As tu une réduction de poche sondable et stable ? Quel recul as tu sur ces cas (1 an, 2 ans, 5ans) de comblement ?

Amicalement
Olivier


folofrine

16/02/2011 à 19h58

Salut Olivier.
Je ne pratique pas le comblement depuis longtemps. Les plus anciens cas ont un an et je n'en fais pas non plus beaucoup.
4 ou 5 cas qui ont entre 2 et 6 mois. 2 ou 3 cas à un an.
Tous avec le Novabone sans membrane (car les cas s'y prétaient) . Mais je suis en train d'essayer le Putty de Osteobiol.
Pour le sondage, saches que je n'aime pas ça. Je trouve que d'une manière général le sondage est très agressif et inutile.
Tu prends une rétro - tu prends une photo = grâce à celle ci tu connais la position de ta gencive. Tu en déduis donc ta poche. Car pour moi, le long épithélium de jonction est trop fragile au sondage.
Ceci, je l'ai appris de Charon et je ne trouve pas ça inintelligent.

Voilà, je pense avoir répondu à toutes tes questions Olivier. Maintenant, je te prierai d'inverser et de bien vouloir répondre aux miennes.

-As tu déjà entendu parlé de chirurgies de reconstructions de défauts parodontaux. Par exemple une lésion infra osseuse à l'aide de biomat + membrane?
Si oui, en quoi tout ce que j'ai dit à ce sujet était si etonnant pour toi et Ceramik?
Si oui, comment la pratiques tu et dans quels cas.


folofrine

16/02/2011 à 20h06

Précision, sur tous les cas effectués, il y avait indication du biomat. Tous ont donnés des bons résultats en terme de gain osseux. Par contre je n'ai eu aucun succès quant à la même technique sur les périmplantites que j'ai essayées de traiter comme ceci. Pourtant l'architecture osseuse s'y prêtait (lésion en cuvette et profonde autour du col de l'implant).


Img 8465 fqhxid - Eugenol
noahaxeltiger-olivier

16/02/2011 à 20h52

On en a discuter déjà maintes fois sur Eugénol et je crois avoir parfaitement expliquer mon point de vue sur l'intérêt du sondage parodontal dans l'évaluation des thérapeutiques parodontales. S'en passer est pour moi une absurdité.

La maladie parodontale est une maladie siégant dans les tissus mous et non dans l'os. La perte osseuse est une répercussion de l'influence du tissus conjonctif infiltré sur le tissu osseux.

Folofrine, tu ne peux et ne pourras jamais juger de la qualité de tes résultats avec seulement un cliché radiologique.
Ceci est d'autant plus vrai que tu utilises un matériaux de comblement (ayant une certaine radio opacité).
Si par contre tu avais montré une réparation osseuse après traitement sans matériaux de comblement ou avec utilisation d'Emdogain par exemple, alors il aurait été indéniable que le tissus régénéré n'aurait pu être que de l'os !

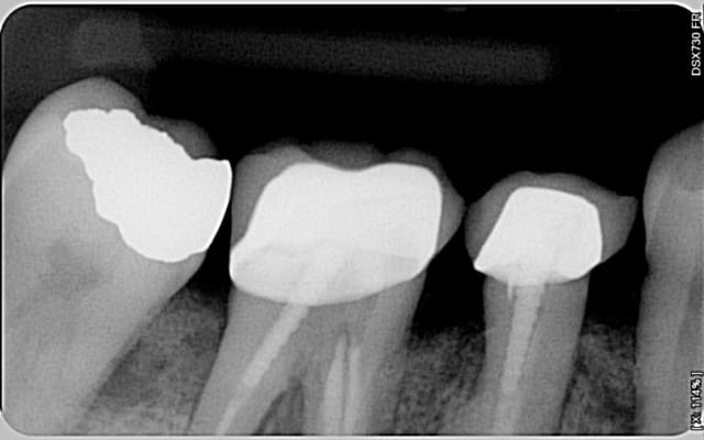
Je te montre quelques cas cliniques traités avec Emdogain et sans matériaux de comblement sur lesquels j'ai plusieurs années de recul :

Cas 1

Initial 46 th2se3 - Eugenol
Final 46 s2gxlk - Eugenol

Img 8465 fqhxid - Eugenol
noahaxeltiger-olivier

16/02/2011 à 20h55

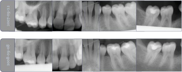
Cas 2 (parodontite aggressive sur une jeune fille de 13 ans)

Photos initiales c6c2bg - Eugenol
Bilan initial nhvmno - Eugenol
Photos  1an drrxtl - Eugenol
Comparaison bilan rx bix6qa - Eugenol
Bilan de sondage  1 an muiwyr - Eugenol

Kon nx3ojp - Eugenol
Kon

16/02/2011 à 21h08

merci pour tes post Olivier toujours très intéressants et très bien illustrés. ça donne envie de faire de la paro.
(pourquoi supprime-tu tes anciennes interventions sur le forum?)


folofrine

16/02/2011 à 21h26

Merci Olivier, fallait commencer par ça...
Comment se présente l'Emdogain? Je n'ai jamais utilisé ce produit.
Pour ton cas que tu nous présente, l'as tu utilisé?
As tu gérer par de la chirurgie?
As tu utilisé des curettes manuelles ou du soniflex ou les 2?


folofrine

16/02/2011 à 21h29

Autre question : Penses tu que tu aurais eu un résultat très différent sans Emdogain dans ton premier cas (les 2 radios)?
D'autre part, je considère que le matériau de comblement agit comme un espaceur. Exactement comme agirait une membrane afin de ne pas laisser la cicatrisation des tissus mous plus rapide empiéter sur la cicatrisation osseuse.
L'Emdogain n'est pas un gel fluide? Comment expliquer dans ces cas là si on utilise pas de membrane que les tissus mous n'empêche pas l'os de se former?


Img 3657 cwjvqm - Eugenol
alapex

16/02/2011 à 21h37

Ah . Quand je disais que j'étais là pour apprendre .
Bravo et merci pour ces cas à tous les 2 .


Img 8465 fqhxid - Eugenol
noahaxeltiger-olivier

16/02/2011 à 23h16

Tiens folofrine, un peu de lecture d'abord sur Emdogain. Dis moi par la suite si tu as toujours des interrogations à ce sujet


Smile beach jgh0a1 - Eugenol
Céramik

17/02/2011 à 02h35

folofrine écrivait:
-------------------


Est ce que je r^ve ou quoi?
Je suis le seul à connaître l'existence de lésions en cuvettes, de lésions infraosseuses, de régénération osseuse à l'aide de biomatériau et/ou membrane? Bientôt vous aller me dire que la chirurgie régénératrice des lésions interadiculaires n'existent pas?

>

Charmante réponse, pour quelqu'un qui ne connait pas l'endogain...



> Merci Olivier, fallait commencer par ça...
> Comment se présente l'Emdogain? Je n'ai jamais utilisé ce produit.
> Pour ton cas que tu nous présente, l'as tu utilisé?
As tu gérer par de la chirurgie?
> As tu utilisé des curettes manuelles ou du soniflex ou les 2?



Ce qui m'étonne chez toi, c'est tes questions très basique en implanto, tes grandes phrase sur la paro, et le très faible recul de tes "comblements".

Placer un matériaux radio opaque et nous montrer une radio de 2 ou 4 mois, c'est pas une preuve que cette approche fonctionne...

Olivier est plus "doux" dans ses réponses, mais il nous place des résultats. Endogain, cela existe depuis des années.
Bonne chance avec ton cas de paro.




--
Céramik


flicflac

17/02/2011 à 06h04

Kon
+1
hier je regardais avec intérêt un vieux post... Implant de AàZ... les photos de présentation de cas d'olivier ne sont plus disponible sur le forum..... de quel facon les pièces attachés disparaissent sur eugénol... question de temps ou... il y avait quand même d'autres pièces attachés sur ce forum... les avoir eu toute m'aurait intruit.

En passant, défauts à trois paropi avec emdogain, il est possible de mettre de l'os allogène avec emdogain pour soutenir les lambeaux... (périoglass existe déjà mélangé avec emdogain chez Strauman, mais je n'aime pas l'utilisation de matériau inerte...)
en passant le sondage est la base de la diagnostic en paro..
Les paro aggressive peuvent-elles être associé à certaine maladie...


folofrine

17/02/2011 à 09h51

Ceramik je crois que tu n'as pas compris l'intérêt d'un forum.
Au lieu d'échanger de l'information valable tu prends le chemin de la facilité en critiquant.
Tu juges de mes compétences en un post?
Tu évoques des questions basiques en implanto? Tu peux me dire lesquelles?
Dans le post que tu cites tu te sens visiblement agressé puique ta réponse l'est assurément.
Je posais en toute amitié la question de savoir si j'étais le seul a connaitre ce type de technique et si c'était le cas je me serai posé des questions sur moi même.
Je m'attendais a des réponses constructives, Olivier a été dans ce sens.

En tous cas ce que j vois c'est que cet état d'esprit typique des forums et d'eugenol en particulier avec de grands donneurs de leçon pour certain revient et c'est ce qui m'a fait le quitter pendant plusieurs années.
Dans tous les derniers sujets que j'ai posté dernierment, c'est le seul ou ca part en jugement comme ça. C'est navrant.


folofrine

17/02/2011 à 09h59

Olivier, merci pour ta réponse, je vais trouver un moment pour lire tout ça.
Par contre tu n'as pas répondu a mes dernières questions et comme j'ai posté ce sujet pour évoluer et apprendre j'aimerai que tu apportes une réponse a chacune d'elle.
Et vraiment désolé si je ne suis pas "doux" dans mes réponses mais je ne me poses pas des questions métaphysiques sur la manière d'ecrire pour être "doux".


 mg 0207 xwjxcl - Eugenol
Tillc

17/02/2011 à 11h48

je sens que je vais encore me faire reprendre par olivier mais j ai cru comprendre que l utilisation de dma est relativement restreinte :
Certain se basent sur le nombre de parois pour poser l indication de tel ou tel materiau :
grosso modo cest 3 parois > emd
Et pour les autres types de lesions les auteurs parlent de sustaining defect ou non sustaining defect
. Quelque soit le nombre de parois ce qui est interessant cest de savoir comment maintenir un espace de tel maniere a ce que les cellules osteo formatrice s expriment .
Tout dependra donc de la topographie de la lésion plus que du nombre de parois a proprement parlé :
Ton defaut va t il bien maintenir la gencive ?
Si oui alors membrane resorbable souple
Si non membrane E PTFE ( que je n'ai jamais utilisé dans ma petite experience de parodontiste).


Img 8465 fqhxid - Eugenol
noahaxeltiger-olivier

18/02/2011 à 00h49

folofrine écrivait:
-------------------
> Autre question : Penses tu que tu aurais eu un résultat très différent sans
> Emdogain dans ton premier cas (les 2 radios)?
> D'autre part, je considère que le matériau de comblement agit comme un espaceur.
> Exactement comme agirait une membrane afin de ne pas laisser la cicatrisation
> des tissus mous plus rapide empiéter sur la cicatrisation osseuse.
> L'Emdogain n'est pas un gel fluide? Comment expliquer dans ces cas là si on
> utilise pas de membrane que les tissus mous n'empêche pas l'os de se former?

Enfin un peu de temps pour te répondre folofrine.
Pour faire simple et comme tu l'as toi même décrit, le potentiel régénératif des lésions infra-osseuse est strictement dépendante de leurs topographies et donc du nombre de paroies osseuses.
On sait par le biais d'études basées sur des analyses histomorphologiques que les lésions à 3 parois ont le meilleur potentiel régénératif et que ce résultat peut être obtenu même sans utilisation de quelque matériaux de régénération (désolé Tillc ;-)) ). Voilà pourquoi dans certains cas il est possible d'obtenir un comblement osseux après simplement un traitement non chirurgical.
Pour ce qui est des lésions à 2 parois, le pronostic se complique un peu plus mais c'est justement dans ce cas de figure que l'Emdogain prend tout son intérêt.
Aussi, dans le premier cas que j'ai présenté avecles 2 clichés radios, si je n'avais pas utilisé d'Emdogain je n'aurais pu au meilleur des cas espérer une régénération que de la partie apicale de la lésion (qui correspondait à une lésion infra osseuse à 3 parois).
Pour les lésions à 1 parois le potentiel de régéneration est très très limité et on doit souvent combiner plusieurs techniques régénératives pour obtenir un résultat satisfaisant. Tu comprends alors pourquoi le potentiel de régénération des lésions furcatoires (dont le nombre de parois osseuses verticales est quasiment nul) est proche de zéro.


Comme tu le sous entends, la régénération parodontale est soumise à une compétition tissulaire. Le premier tissu qui envahi l'espace vide est le gagnant.
Aussi arriver à empêcher l'épithélium de coloniser la surface radiculaire en premier, a été proposé par le biais des membranes dans le cas des RTG, la membrane agissant comme une barrière physique à cette plongée épithéliale.
L'Emdogain a un fonctionnement beaucoup plus séduisant parce que plus biologique : son but est de faire la mimique d'un processus biologique qui intervient lors de la formation de la dent. L'emdogain a de nombreuses propriétés biologiques intéressantes, tant au niveau des fibroblastes, que du tissus osseux mais également vis à vis des cellules épithéliales qu'il empêche de migrer en direction apicale. L'emdogain fonctionne donc également comme une membrane liquide.
Si tu es intéressé par des coupes histo comparant RTG et Emogain, je te conseille de lire l'article de Sculean : "Treatment of intrabony defect with guided tissue regeneration and enamel matrix proteins" JCP 2000, 27: 466-72

Dans les cas de comblement par matériaux sans Emdogain ni membrane (comme ceux que tu nous montres), la plongée épithéliale est inévitable. Le résultat obtenu est peut être un comblement physique d'un défaut osseux radiologique plaisant mais en aucun cas une régénération du système parodontal. Quid alors de la fermeture de la poche et de la durabiité des résutats ?

En espérant avoir répondu à tes questions.

Amicalement
Olivier


folofrine

18/02/2011 à 02h32

Merci infiniment pour ta réponse très complète. Avec nos vies de fous ce n'est pas facile de trouver le temps d'écrire tout ça. Un grand merci.
Je vais me pencher sur cet article pour comprendre un peu mieux le système de fonctionnement de ce produit (comment un gel liquide peut il compenser la compétition tissulaire?)

En ce qui concerne le matériau de comblement. A partir du moment ou on le retrouve radiographiquement après plusieurs mois, ne penses tu pas que cela prouve qu'il est intégré? Sinon il serait résorbé d'après moi. ou alors il serait parti en petits morceaux car il n'aurait aucune tenue... Un matériau favorisant la conduction osseuse peux servire de matrice a la génération osseuse a partir des parois résiduelles. Dans les cas que j'ai réalisé, l'indication a toujours été posée. J'avais toujours 2 ou trois parois restantes. Pour moi le materiau empêche simplement l'epithelium qui aimerait se placer rapidement au contact de l'os résiduel et donc empêcherait sa reformation. En d'autres termes, ce sont des cas ou on aurait ou mettre également une membrane pour soutenir le materiau mais je n'en ai jamais eu besoin de par la consistance putty du Novabone.

Pour revenir au cas de cette charmante jeune femme, qui m'a beaucoup touché car comme d'habitude quand on annonce a un patient ce qu'il ne s'attend pas du tout a entendre, elle était effondrée.
Je pense évidemment qu'il faut rester très prudent sur le pronostic er ne pas faire miroiter des miracles a la patiente.
Je pense également qu'en écoutant tous vos conseils, il faudrait traiter ce cas dans un premier temps en non chirurgical. Je renonce donc aux lambeaux d'emblée.
Je vais évidemment beaucoup insister sur l'arrêt du tabac. Si ce n'est pas possible pour elle d'arretter, je ne suis pas certain de continuer.