Cookie Consent byPrivacyPolicies.comdes idées? - Eugenol
Photo 158 mluhia - Eugenol
robin

15/02/2011 à 21h12

Bonjour,

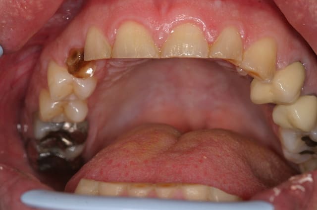
ce patient, 40 ans, non fumeur, sans de pb de santé particulier consulte pour un problème esthétique sur la 53. il est aussi inquiété par l'usure de ses incisives.

l'abrasion des incisives, l'éggression des groupes incisivo-canin maxillaire et mandibulaire pour compenser cette abrasion, et l'occlusion me laissent dubitatif.
J'avais envisagé dans un premier temps de proposer de l'ortho pour lever la supracclusion et permettre la pose d'un implant pour remplacer la 13, et reconstituer les incisives, mais l'absence d'une veritable perte de DV me laisse un peu sec pour le plan de traitement. Toutes les idées sont les bienvenues.

016 icmyvh - Eugenol
Img 9049 wjstax - Eugenol
Img 9044 uf2itt - Eugenol
Img 9046 kxtezc - Eugenol
Img 9047 t90xhc - Eugenol
Img 9048 nadta7 - Eugenol

Photo pluton1b h9n4ea - Eugenol
pluton

15/02/2011 à 22h13

le ttm ODF semble répondre aux problèmes qui se posent...et pourquoi pas par la même occasion ne pas tenter de tracter sa 13 incluse...?
oui, c'est certainement un traitement long...mais c'est ce que j'essaierais de faire pour moi...


aldo74

16/02/2011 à 00h09

dur...


Smile beach jgh0a1 - Eugenol
Céramik

16/02/2011 à 03h23

Ortho avec verticalisation, puis céram au besoin.


--
Céramik


Avatar ow44t3 - Eugenol
Chicot

16/02/2011 à 08h23

Sans ortho:

Regarde les niveaux gingivaux, ça devrai te mettre sur une piste.......

Si tu harmonises la ligne des collets chirurgicalement, tu récupères une hauteur

coronaire compatible avec la prothèse.

Tu as fait des test pour la DV ou ' à vue de nez ' elle est bonne ?

Par overlay sur une des arcades tu peux tj remonter la DV

Reste à virer la canine incluse, puis lacteale et poser ton implant avec MCI ?

Cool comme cas !

--
;O)


Photo 158 mluhia - Eugenol
robin

16/02/2011 à 14h59

Chicot écrivait:
----------------
> Sans ortho:
>
> Regarde les niveaux gingivaux, ça devrai te mettre sur une piste.......
>
> Si tu harmonises la ligne des collets chirurgicalement, tu récupères une hauteur
>
> coronaire compatible avec la prothèse.
>
> Tu as fait des test pour la DV ou ' à vue de nez ' elle est bonne ?
>
> Par overlay sur une des arcades tu peux tj remonter la DV
>
> Reste à virer la canine incluse, puis lacteale et poser ton implant avec MCI ?
>
> Cool comme cas !
>
> --


Merci pour vos avis.

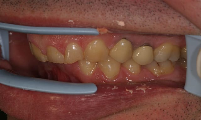
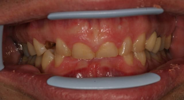
À vue de nez (je n'ai vue le patient qu'une fois) Il ne me semble pas qu'il y ai de perte de DV.
Sur les modèles seul les incisives et canines sont abrasées. Les molaires et PM ne montrent aucunes facettes d'usure.

ce qui m'inquiéte c'est la durée de vie des restaurations antérieur, même avec un goutiere.


Smile beach jgh0a1 - Eugenol
Céramik

16/02/2011 à 15h25

robin écrivait:
---------------
>> À vue de nez (je n'ai vue le patient qu'une fois) Il ne me semble pas qu'il y ai
> de perte de DV.
> Sur les modèles seul les incisives et canines sont abrasées. Les molaires et PM
> ne montrent aucunes facettes d'usure.



Manque de DV générale, peut importe s'il y a pas de facette d'usure.

Tu peux faire sans ortho, mais si tu vises une condition optimale physiologique, il te faut plus de DV.


> --
Céramik


Photo 158 mluhia - Eugenol
robin

16/02/2011 à 15h56

en fait mon hésitation porte sur la façon de gagner de la hauteur. ou je couronne tout le maxillaire, ou de l'ortho pour faire descendre les secteurs postérieur et ensuite de la conjointe sur les incisives.


Avatar ow44t3 - Eugenol
Chicot

16/02/2011 à 21h16

robin écrivait:
---------------
> en fait mon hésitation porte sur la façon de gagner de la hauteur. ou je
> couronne tout le maxillaire, ou de l'ortho pour faire descendre les secteurs
> postérieur et ensuite de la conjointe sur les incisives.

Pour la DV: overlay composites sur les dents saines si bruxisme: taille a minima ( économie tissulaire ) de la face occlusale et en périphérie sur 1 à 2 mn de hauteur pour créer un biseau et assoir les overlay et tu remonte ta dvo d'un coup. Ton patient se retrouve alors en béance. Pendant qu'il s'adapte à sa nouvelle hauteur, plastie osseuse et gingivale en antérieur de 3 à 4 mn minimum pour aligner les collets cica pdt 2 mois et des céramique sur les blocs incisifs sup et inf et roule ma poule

--
;O)


Pa050055 igyagy - Eugenol
mark

16/02/2011 à 21h27

Je vais peut-être dire une connerie.
Si la DV est correcte, physiologique, supportée par le patient, la solution ne serait_elle pas de supprimer la supra-alvéolie maxillaire?

Soit par ingression (mais est-ce vraiment possible même avec ancrage osseux?)
Soit par élongations coronaires et "redessin" des groupes IC haut et bas en CCC.

L'idée étant que cette supralvéolie est le seul problème de ce cas et l'abrasion une conséquence.

Pour la canine, je reste dubitatif quant aux chances et délai de mise sur l'arcade.

Le port d'une gouttière de protection ou d'un NTI me paraît envisageable pour pérenniser la réhabilitation antérieuer.


Ico v for vendetta08 jzhpep - Eugenol
Ratinox

16/02/2011 à 23h29

Sur un pote de 24 ans canine incluse. On a peur car ça n'éclot pas comme une fleur au printemps mais j'ai réussi à la lui tracter.
Elle a son ligament, elle attends juste qu'on la tracte avec une chaînette ou au davier, tu vois.
Pas d'âge pour l'ortho, j'en ai fait sur patient de 71 ans.

Mais je me préoccuperais du bruxisme, beaucoup de supra ne finissent pas ainsi heureusement.
C'est vrai qu'on pense généralement au mouvement de latéralité dans les cas de bruxisme mais quid des mouvements antéropostérieurs débloqués par le bloc antérieur touché dans le cas présent ?


Smile beach jgh0a1 - Eugenol
Céramik

17/02/2011 à 02h10

mark écrivait:
--------------
>> Le port d'une gouttière de protection ou d'un NTI me paraît envisageable pour
> pérenniser la réhabilitation antérieuer.


et créer des problèmes articulaires...


--
Céramik


Ylfwcw979cz1jnx9gfqeaxndiuzk - Eugenol
Algi

17/02/2011 à 15h59

Overlay, certes, afin de gagner de la dv en posterieur et j'en collerai en haut Et en bas afin de garder des couronnes de hauteur "humaine".

J'ai un cas similaire, avant toute chose il a porté une gouttiere de surelevation à la mandibule 2 ans, gouttiere montée sur articulauteur gerber, donc en centrée, et montage en bilateral balancé.

Suite à ça: pose d'une douzaine d'onlays posterieurs indirects (sans aucune taille des dents support et pour certaines sur les coiffes existantes), 8 en bas sur molaires et premolaires et 3 ou 4 en haut pour redonner une courbe correcte.
Onlays montés eux aussi en gerber. Les 6 anterieures du haut ont été reconstruites en direct au composite avec juste un guide silicone transparent en palatin pour me donner le mur posterieur.

Onlays et compos posés y'a 9 mois, peu de casse depuis (un ou deux onlays se sont decollés et ont été recollés).
En parallele il porte un activateur de soulet et besombes afin de redonner l'"impulsion" pour lever la supra.

Vu y'a 3 jours: l'onlay de la 44 s'est encore décollé.... j'ai laissé en l'état mais meulé celui de la 34, je vais attendre et voir si ces deux dents laissées en inoclusion montent se "mettre en place". Si ça marche alors je procederai à des meulages "une dent sur deux" en posterieur afin de permettre l'egression de celles laissées dans le vide. Une fois le calage obtenu sur les meulées on meulera alors les autres..... je désespère pas d'arriver à quelque chose de sympa d'ici deux ou trois ans.

Quands on aura obtenu un calage correct il restera à coiffer les dents usées ou déjà coiffées pour les reconstituer plus durablement.

Donc du temps est, selon moi, necessaire mais si le resultat est là ça aura valu le coup et si jamais ça merde rien de definitif/irreversible n'aura été fait, au pire il restera avec sa supra et son bruxisme et y'aura pas à deplorer de casse sur 28 ceramiques.

Qoui qu'il en soit beau cas sympa que celui presenté, qui me rappelle celui proposé y'a quelques jours par goltooth et dont le plan de traitement serait, pour moi, quasi le même.

ps: dans des cas comme ça il me parait incontournable d'essayer de comprendre les causes "profondes" de la supra et, par experience, ne rien tenter si le patient est pas prêt à faire un gros travail sur soi (entendre se faire suivre pour travailler son mal être).

--
"On a toujours le choix! Mais entre quoi et quoi?
Vas-y boulégue et l'avenir te le dira!"


Photo 158 mluhia - Eugenol
robin

17/02/2011 à 19h25

Merci de vos réponses

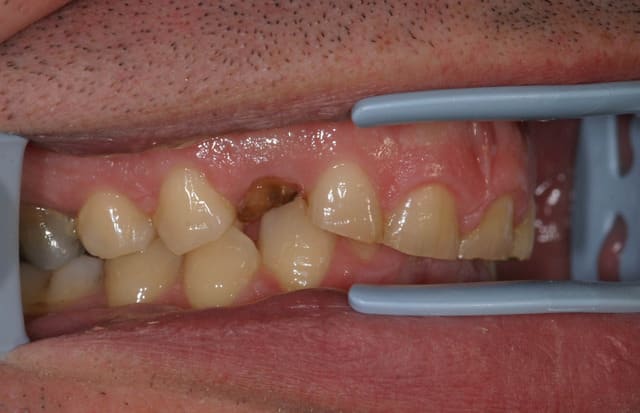
ma première intention été de placer un plan rétro incisifs afin de laisser descendre les molaires et de reconstituer le bloc incisivo-canin après élongation coronaire, extraction de la canine incluse et pose d'un implant.
Mais j'ai peur que le temps nécessaire pour gagner la hauteur soit trop important.
A bien y regarder, 16 et 17 sont obturées et doivent être couronnées, les coiffes sur 24-25 sont à refaire, reste 14-15-26-27 qui pourront être reconstituée à l'aide d'inlay. Je pense que je vais m'orienter vers le plan de traitement sans ortho.

La question que je me pose. La supra-alveolie est elle la conséquence ou la cause du bruxisme,


Avatar ow44t3 - Eugenol
Chicot

17/02/2011 à 23h17

Le bruxisme n'est pas d'origine dentaire mais cérébrale.

On ne traite plus le bruxisme avec des meulages sélectifs, des reconstructions en RC,....

Mais on protège les dents avec une gouttière occlusale

C'est apparemment les dernières 'avancées' sur le bruxisme

Mais je ne suis pas un spécialiste juste un CD à l'écoute

--
;O)


Smile beach jgh0a1 - Eugenol
Céramik

18/02/2011 à 03h06

Algi écrivait:
--------------
> Suite à ça: pose d'une douzaine d'onlays posterieurs indirects (sans aucune
> taille des dents support et pour certaines sur les coiffes existantes),


Idée de base OK, mais si décollage, il y a soit
1-Mauvais protocole de collage, car sur l'émail, l'adhésion est top
2-La DV est mauvaise, il y a des interférences



> Onlays et compos posés y'a 9 mois, peu de casse depuis (un ou deux onlays se
> sont decollés et ont été recollés).


C'est bcp je trouve...


> En parallele il porte un activateur de soulet et besombes afin de redonner
> l'"impulsion" pour lever la supra.


Sorry, je pige pas...terminologie différente probablement


>
> Vu y'a 3 jours: l'onlay de la 44 s'est encore décollé.... j'ai laissé en l'état
> mais meulé celui de la 34, je vais attendre et voir si ces deux dents laissées
> en inoclusion montent se "mettre en place". Si ça marche alors je procederai à
> des meulages "une dent sur deux" en posterieur afin de permettre l'egression de
> celles laissées dans le vide. Une fois le calage obtenu sur les meulées on
> meulera alors les autres..... je désespère pas d'arriver à quelque chose de
> sympa d'ici deux ou trois ans.


C'est pas trop prévisible comme plan de match...
Pourquoi pas de l'ortho en position physiologique et ainsi obtenir une DV acceptable ?


--
Céramik


Ylfwcw979cz1jnx9gfqeaxndiuzk - Eugenol
Algi

18/02/2011 à 15h35

Chicot:
"Le bruxisme n'est pas d'origine dentaire mais cérébrale.

On ne traite plus le bruxisme avec des meulages sélectifs, des reconstructions en RC,....

Mais on protège les dents avec une gouttière occlusale"

Dans des cas comme ça il me parait incontournable d'essayer de comprendre les causes "profondes" de la supra et, par experience, ne rien tenter si le patient est pas prêt à faire un gros travail sur soi (entendre se faire suivre pour travailler son mal être).
Il faut aussi comprendre la cause du bruxisme et essayer d'en limiter les consequences.... on y travaille du coté du crroc ;0))

Si c'est un bruxisme n'ayant pas eu de consequences sur les dents majeures on peut solutionner avec une gouttiere mais ici il faut reconstruire.... et peut être sans doute faudra-t-il en attendant mieux proteger la reconstruction avec une gouttiere.

ceramik:

"Idée de base OK, mais si décollage, il y a soit
1-Mauvais protocole de collage, car sur l'émail, l'adhésion est top
2-La DV est mauvaise, il y a des interférences"

Les deux mon colonel sans doute.... les "décollés" à part la 44 concernaient des coiffes ceramiques sur lesquelles j'avais effectué mon collage (bifix).... la 44 est, elle, recidiviste et j'ai eu beau essayer elle "veut" pas tenir... comme il lui manque 1 à 2 mm pour être en oclusion je tente cette egression.

ps: il est tout à fait possible de la tailler et de la coiffer ou de la tailler et de coller plus costaud mais si la cale veut pas tenir y'a forcement une raison et si on fait "plus solide" on risque de traumatiser la dent... je prefere perdre et/ou recoller une cale que d'avoir à gerer une mobilité ou une fracture de la dent naturelle; ni lui ni moi ne sommes pressés et on se donne le temps de comprendre.

"En parallele il porte un activateur de soulet et besombes afin de redonner l'"impulsion" pour lever la supra."

Orthodontie fonctionnelle, essayer, par le port de gouttieres souples à "machouiller" 1heure par jour et à porter la nuit, de remettre en route une croissance qui a été interrompue ou n'a jamais pu se faire... pas possible de te resumer ça en quelques lignes, tu peux toujours commander le bouquin de Michel MONTAUD "nos dents une porte vers la santé" aux edit° souffle d'or si tu veux en savoir plus.

--
"On a toujours le choix! Mais entre quoi et quoi?
Vas-y boulégue et l'avenir te le dira!"


Avatar ow44t3 - Eugenol
Chicot

20/02/2011 à 15h00

C'est de la dentosophie ça ou je me trompe ?

Désole mais j'ai récupéré qq cas traités avec machouilleur, et ils sont bloqués dans leur tête :

Addiction au machouilleur depuis 10 ans entrainant des mobilités +++. impossible de passer à la suite

Les pauvres....

--
;O)


sup53

17/07/2011 à 12h46

essaye l OBA de kinepod même principe que les activateurs de chez sodis mais elles sont plus esthétiques et plus performantes car celles en caoutchouc ont vraiment un sale gout et les silicones ne sont vraiment pas résistantes.ils font une nouvelle gamme maintenant mais le prix est vraiment exagéré. Pour moitié prix tu as une OBA ,plus belle et plus résistante.