Cookie Consent byPrivacyPolicies.comPour Olivier - Eugenol
Squash u44zd8 - Eugenol
steph

18/02/2011 à 00h16

Mais c'est valable pour tous ceux qui se sentent de se lancer.
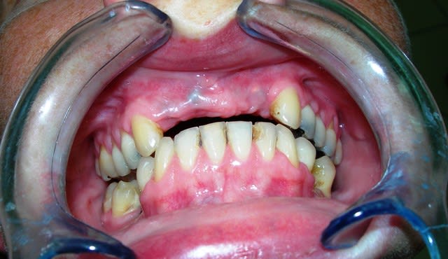
Quoi faire pour masquer la transparence de l'implant et gagner de la hauter et du volume gingival?
Certainement plusieurs interventions.
Mais ce qui me gêne essentiellement c'est cette vis de cicatrisation (implant osseospeed d'astra).
Est-ce que je fais ma chir muco-gingivale sans toucher cette vis?
Ou dois-je d'abord mettre la vis la plus haute pour ensuite retoucher l'environnement paro?

 mg 2334 yamyeu - Eugenol
 mg 2335 aapxlc - Eugenol
 mg 2337 kl8gmq - Eugenol

Photo pluton1b h9n4ea - Eugenol
pluton

18/02/2011 à 00h32

bon, je me lance...;-)
ce que je ferais, dans un cas comme çà...
je dépose la vis de cicat et remets la vis de couverture et dans le même temps, lambeau palatin en 1/2 épaisseur qui va suffisamment loin pour faire un conjonctif pédiculé qui referme la zone de la vis de cicat et gonfle la zone vestibulaire...(en faisant une sorte de "tunnelisation" et tu maintiens ton greffon avec un point vestibulaire)

y a peut être plus simple, car faudrait refaire une ouverture...mais c'est ce qui me viens d'emblée à l'esprit...


Blason dql7mj - Eugenol
growler

18/02/2011 à 00h42

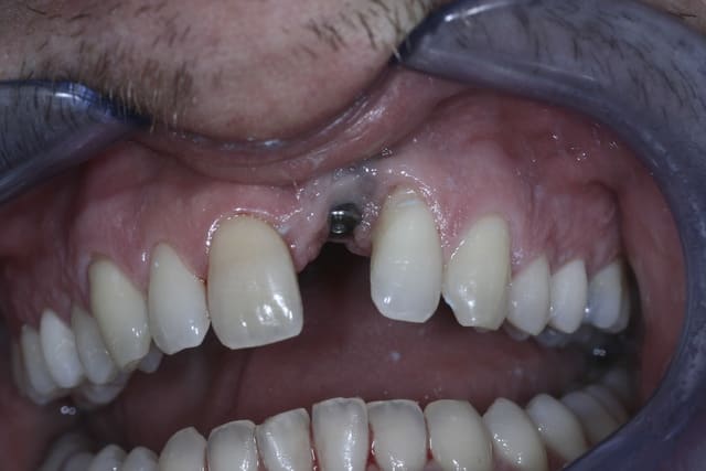
as-tu un scan pour nous montrer le niveau osseux en vestibulaire de cet implant?


Squash u44zd8 - Eugenol
steph

18/02/2011 à 00h51

Non, je n'ai pas de scan mais il ne doit pas rester grand-chose.
Suite à un choc au hand, la dent a été expulsée, puis réimplantée, dévitalisée jusqu'à devoir l'extraire et mettre un implant.


Img 8465 fqhxid - Eugenol
noahaxeltiger-olivier

18/02/2011 à 00h59

+ 1 avec pluton : vis de couverture + lambeau pédiculé palatin afin de redonner du volume crestal et vestibulaire.
Cela te permettra d'améliorer l'anvironnement muqueux peri-implantaire.
Cela te permettra aussi de préparer le site pour une éventuelle augmentation osseuse vestibulaire au besoin. Il est toujours plus facile de travailler avec un biotype épais.

Le hic restant et qui jouera un role déterminant dans le rendu esthétique final de ta reconstruction est le positionnement même de l'implant surtout dans le sens mesiodistal ;-((

Amicalement
Olivier


Blason dql7mj - Eugenol
growler

18/02/2011 à 01h03

steph écrivait:
---------------
> Non, je n'ai pas de scan mais il ne doit pas rester grand-chose.
> Suite à un choc au hand, la dent a été expulsée, puis réimplantée, dévitalisée
> jusqu'à devoir l'extraire et mettre un implant.


pour une solution pérenne: enlever l'implant, greffer copieusement puis reposer un implant. A mon avis


Avatar ow44t3 - Eugenol
Chicot

18/02/2011 à 08h51

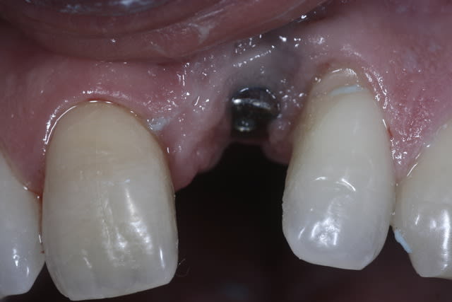
L'espace mésiodistal semble étroit surtout au niveau des bord libre

Y a t il eu un set up/ waxing/ guide chir ?

Quelle est la hauteur de la vis de cica actuelle ?

Peux tu mettre un pilier provisoire et une couronne prov pour anticiper le résultat final ?

Si oui va y regarde ce que ça donne et décide la suite:

Greffe cj uniquement

Greffe osseuse en plus

Dèpose de l'implant puis repose dans de meilleurs conditions

Mais je partage l'avis de mes petits camarades: même avec un pilier Atlantis ça semble bof bof en final. Il aurait sens doute fallu greffer avant d'implanter

--
;O)


Utilisateur banni

18/02/2011 à 09h00

Initialement l’espacement entre 11 et 22 était identique ?


Squash u44zd8 - Eugenol
steph

18/02/2011 à 09h59

J'ai récupéré le patient tel quel, je ne pose pas d'implants.
Alors déposer l'implant je ne m'y aventurerai pas même si effectivement il est bien incliné en mésio-distal.
De plus il est là depuis au moins 3 ans...
Je vais déjà faire avec le lambeau palatin.
Quant à l'espace dentaire, je m'en arrangerais, j'ai pris des modèles d'étude et du coup je pourrais certainement faire pilier provisoire et provisoire pour llaisser maturer les tissus.
Merci.


Smile beach jgh0a1 - Eugenol
Céramik

18/02/2011 à 13h44

steph écrivait:
---------------
> De plus il est là depuis au moins 3 ans...



Wow,
Alors, les attentes esthétiques sont plutôt faibles...


> Je vais déjà faire avec le lambeau palatin.

Oui, cela me semble une bonne idée



--
Céramik


flicflac

18/02/2011 à 15h26

auras besoin ortho pour la gestion au distal de l'implant,
regagné espace perdue
salut les cousins


Img 1744 z0evts - Eugenol
dumaille

18/02/2011 à 23h13

growler écrivait:
>
> pour une solution pérenne: enlever l'implant, greffer copieusement puis reposer
> un implant. A mon avis
>

je partage complètement ton avis.

--
La vie est une fête!


Pépélaratiche

18/02/2011 à 23h53

pluton écrivait:
----------------
> bon, je me lance...;-)
> ce que je ferais, dans un cas comme çà...
> je dépose la vis de cicat et remets la vis de couverture et dans le même temps,
> lambeau palatin en 1/2 épaisseur qui va suffisamment loin pour faire un
> conjonctif pédiculé qui referme la zone de la vis de cicat et gonfle la zone
> vestibulaire...(en faisant une sorte de "tunnelisation" et tu maintiens ton
> greffon avec un point vestibulaire)
>
> y a peut être plus simple, car faudrait refaire une ouverture...mais c'est ce
> qui me viens d'emblée à l'esprit...


En moins chiant, tu déplaces rien au niveau gingival mais tu refais un lambeau vestibulaire et là tu charges en anonbone + PRFs et tu refemrs le plus simplement du monde

Je l ai déjà fait sur 4 implants au bloc incisif sup avec tout le succès voulu

Pp

Dscn1527 hxhwgl - Eugenol
Dsc03114 i1wq77 - Eugenol

Pépélaratiche

18/02/2011 à 23h56

Il faut juste plus de quantité de tissu ossifié en vestibulaire pour avoir un bon tissu gingival rose et une belle gencive attachée

Transposer un tas de muqueuse palatine avec du conjonctif ne va aider en rien à part à peut être créer un beau tas de plaque dentaire bien retenue sous une belle pseudopoche nouvellement créée

Pp


Img 8465 fqhxid - Eugenol
noahaxeltiger-olivier

19/02/2011 à 00h47

Pépélaratiche écrivait:
-----------------------
> En moins chiant, tu déplaces rien au niveau gingival mais tu refais un lambeau
> vestibulaire et là tu charges en anonbone + PRFs et tu refemrs le plus
> simplement du monde
>
> Je l ai déjà fait sur 4 implants au bloc incisif sup avec tout le succès voulu


Tout à fait d'accord avec toi Pp sur le fait qu'une augmentation osseuse vestibulaire est nécessaire.
Cependant le cas de Steph n'est pas comparable à ton cas dans le sens où dans le cas que tu présentes, il n'y a aucun défaut des tissus mous, et tu possèdes à la fois une certaine hauteur de GA ainsi qu'une bonne profondeur de vestibule.

Dans le cas de Steph, il me semble plus facile de gérer les tissus mous dans un premier temps avant de passer à celle des tissus durs dans un second temps.

Olivier


Pépélaratiche

19/02/2011 à 01h01

Certes...mais il faut gérer le volume osseux aussi car on voit trop svt des confrères s imaginer que les conjonctifs greffés sont les solutions à ce genre de problème

Pp ;-)


Avatar ow44t3 - Eugenol
Chicot

19/02/2011 à 02h33


Pépé faut que tu fasses un effort pour tes photos !


--
;O)