Cookie Consent byPrivacyPolicies.comextraction/implantion/comblement/lambeau palatin , besoin - Eugenol

extraction/implantion/comblement/lambeau palatin , besoin d'un conseil.

carototo

22/02/2011 à 16h06

Bonjour à tous.

je vais réaliser la semaine prochaine une pose d'implant sur 11 avec extraction dans la même séance, et j'aurais besoin d'un petit conseil concernant le lambeau.

j'explique le cas:

femme, 50 ans, fracture de 11 avec la ceramique, légère perte d'os crestal vestibulaire suite à la fracture.

j'ai fait un bridge provisoire ( les 12/21/22 sont couronnées) en céramique , dont l'esthétique est très satisfaisante, posé sur reconstitution avec tenon fibré.
la racine de 11 est en place, et j'ai utilisé la technique de Langer pour créer un bourgeon de gencive, en vue de faciliter la fermature le jour de la pose.

ce qui est prévu la semaine prochaine:
-extr au periotome
-pose d'implant
-comblemet osseux au crossbone
-pose de membrane socket repair de chez zimmer
- éventuellement lambeau palatin pour recouvrir l'ensemble.

et c'est là dessus que ca bloque pour moi, j'aurais voulu qu'un sympathique eugenolien me fasse un rappel concernant le trait d'incision pour le lambeau dans ce cas. quelle étendue??, quelle eépaisseur?,combien de points??

voilà, et merci d'avance.


Blason dql7mj - Eugenol
growler

22/02/2011 à 19h38

http://www.eugenol.com/sujets/391470-urgent-lambeau-pedicule-palatin?page=1#post_533002


carototo

24/02/2011 à 11h46

ok, merci beaucoup


flicflac

25/02/2011 à 05h06

socket repair membrane, pas en même temps que la pose de l'implant. Implant immédiat, l'os doit être au rendez-vous à partir de 3.5mm au buccal, sinon pas d'implantation sans greffe préalable.


carototo

25/02/2011 à 11h11

pourquoi pas la membrane socket repair??
en lingual, j'ai de l'os, pas de pb, le défaut est vestibulaire et pas très important non plus.
peux tu expliquer stp pourquoi ne pas utiliser cette membrane dans ce cas précis??

Merci d'avance


Blason dql7mj - Eugenol
growler

25/02/2011 à 11h31

dans le dernier fil dentaire il y a un cas où la membrane socket repair est utilisée en même temps que la pause de l'implant. (un cas de Georges Khoury je crois)


flicflac

26/02/2011 à 05h55

Je suis surement trop prudent... je préfère rebâtir l'os avant la pose de l'implant... perte de circulation sanguine lors de la pose de l'implant simultanné...


Avatar ow44t3 - Eugenol
Chicot

26/02/2011 à 12h40

flicflac écrivait:
------------------
> Je suis surement trop prudent... je préfère rebâtir l'os avant la pose de
> l'implant... perte de circulation sanguine lors de la pose de l'implant
> simultanné...

au contraire, les restes de ligament alvéolo dentaire sont richement vascularisés, donc meilleur vascularisation qu'un os "sec" de plusieurs années...

sauf si ....

ostéotenseurs....

n'est ce pas pp la ratiche !!!

--
;O)


carototo

03/03/2011 à 12h05

violà, c'est fait, et ca s'est bien passé.

je n'ai pas fait de lambeau pédiculé, car j'avais assez de tissus pour refermer de façon hermetique.
j'ai revu la dame aujourd'hui, et si l'après pose a été assez douloureuse, plus de douleurs ce jour (à J+2 donc)
mais un hematome au niveau de la face interne de la lèvre sup (j'ai décollé un peu large pour donner de la soupless a mon lambeau vest)
il y a aussi un oedème modéré de ce secteur, mais pour le reste, c'est propre.
pas très facile a placer la Socket repar ce coup ci, car le défaut osseux vest était peu important en volume.
pas très facile a suturer d'ailleur (celà dit, je ne pratique pas cet acte tous les jours ).
j'ai fait ma suture avec de l'ethicon 5/0 également assez diffficile amnipuler, mais qui donne un très beau résultat pour l'instant.

voilà, et merci pour les conseils qui m'ont été donnés.


carototo

10/03/2011 à 19h04

revu la patiente ce jeudi, avec une douleur intense au niveau du site implanté.
en bouche, on note une inflammation modérée, mais la gencive est de bel aspect.
radiologiquement, ras pour l'instant
je peux voir la vis de couverture entre les sutures, alors où est passée ma membrane??
a noter que le jour de la pose, j'ai put observer que le défaut osseux était très limité, je crois que j'aurais presque put me passer de membrane sur ce coup là.

alors j'ai une petite question concernant la douleur qui apparait trois jours après la pose, quelle est la onduite à tenir d'après vous??

merci d'avance.

NB: j'ai fait une prescription ce jour ATB+ Solupred+ visceralgine forte , et j'envisage de prévoir une pose précoce de la vis de cicatrisation, ainsi, si il y a un pb d'ostéointegration, je ferais la dépose de l'implant dans la foulée.

NB 2: ca ne me tracasse pas trop de retirer l'implant, mais je suis quand même un peu embété pour la patiente, c'est une copine.

NB 3: en plus, je suis en vacances, je reviens exprés pour elle, et là, gros bug informatique, 1h pour réussir a tirer une radio !!!


Avatar ow44t3 - Eugenol
Chicot

11/03/2011 à 09h26

Douleurs à 1 semaine c'est pas top......

Tu as chauffé à la pose ? -> nécrose

AL avec bop d'adrénaline ? -> alvéolite

La radio ne montre pas tout, surtout a une semaine

Il y a malheureusement bop de probabilité de perdre ton implant

Conservant la socket, elle semblait inutile


DSL

--
;O)


carototo

11/03/2011 à 10h43

c'est ce que je pensais,
de toutes façons, je la revois la semaine prochaine.
comme ce sera surement ma première dépose, quelle est la marche a suivre??
déposer le plus vite possible, dépose simple, irrigation et refermer, attendre un peu, etc??

je pensais, si la douleur disparaît, poser une vis de cicatrisation, et, de cette façon, mobiliser l'implant et le déposer le cas échéant.

pourtant tout s'est très bien passé, extraction au periotome, pose avec bonne récupération de l'axe, très bonne stabilité primaire, bonne étanchéité des sutures.

difficile de voir d'ou vient le problème.

Merci pour vos avis en tous cas


carototo

11/03/2011 à 10h47

j'ai du faire un rappel d'anesth durant l'intervention, mais je n'utilise que du 1/200000.

j'avais oublié de donner la chronologie de tout ça:

pose le mardi, ras
oedème normal le mercredi/jeudi, sans douleur particulière
aucune douleur le vendredi
apparition de la douleur le vendredi soir
depuis, douleur marquée, cédant aux antalgiques.


Blason dql7mj - Eugenol
growler

11/03/2011 à 11h20

quelle a été ta prémédication? la racine fracturée mais à quel niveau?

as-tu des clichés pré-op et post-op afin qu'on puisse investiguer un peu plus sur ce qui a pu se passer?


carototo

11/03/2011 à 11h32

je n'ai pas fait de prémedication, car pas de contexte infectieux
la racine était cassée environ 2 mm sous crestal.
lors de la pose, je me suis même demandé si il fallait faire ce comblement, j'aurais peut être mieux fait de m'abstenir de combler, mais ca n'est pas la première fois qe je fais ce type de comblement dans ces conditions, jamais eut de pb.

je n'ai pas la radio ici, je tâcherais de l'envoyer.


Avatar ow44t3 - Eugenol
Chicot

11/03/2011 à 16h15

carototo écrivait:
------------------
> je n'ai pas fait de prémedication, car pas de contexte infectieux

Si fracture alors anaérobie obligatoirement, perso selon le cas AB 2j avant la veille ou le jour même

> la racine était cassée environ 2 mm sous crestal.
> lors de la pose, je me suis même demandé si il fallait faire ce comblement,
> j'aurais peut être mieux fait de m'abstenir de combler, mais ca n'est pas la
> première fois qe je fais ce type de comblement dans ces conditions, jamais eut
> de pb.

L'implant devant être enfui 3 mm sous le collet des dents voisines, il ne devait pas y avoir bcp a combler effectivement, un peu d'os de forage aurait sans doute suffit

>
> je n'ai pas la radio ici, je tâcherais de l'envoyer.

Pour la dépose si l'implant est perdu te bille pas, il viendra facilement à 2 ou 3 semaines avec la clef à cliquet. Le risque c'est de perdre de l'os si tu attends trop et te retrouver dans une situation ou tu seras obligé de faire une ROG ou une greffe.

Bon courage et n'oublie pas que l'expérience est le nom que nous donnons à nos échecs

--
;O)


Dent masqu e petite f0pbaj - Eugenol
dudule

11/03/2011 à 17h27

Par expérience rien ne sert d'attendre dans ce type de cas... dépose ton implant et réinterviens dans 8 semaines.

Ca nous arrive à tous... à moins que je ne sois le seul à avoir 2% d'échecs comme dans la littérature :°))

On n'en trouvera toujours qui n'ont aucun échec. C'est pas bien grave, c'est pas comme si tu avais flingué un nerf !!


carototo

11/03/2011 à 21h48

merci pour vos réponses.
je ne me bile pas, c'est juste dommage, et de toutes façon, tout semblait bon, alors, je vois la dame cette semaine, si la douleur a disparu, on dira que c'est un épisode inflammatoire aigu, si elle n'a pas disparu, je dépose direct, car elle sera encore sous ATB.

je vous tiens au courant.


Avatar ow44t3 - Eugenol
Chicot

12/03/2011 à 00h51

dudule écrivait:
----------------
> à moins que je ne sois le seul à avoir 2% d'échecs

taux de succès ou de survie ?

lol ça te rappel rien ?


> On n'en trouvera toujours qui n'ont aucun échec.

Ben oui ceux qui n'en pose pas ou alors très peu !!!

--
;O)


flicflac

12/03/2011 à 02h54

Lors d'une implantation immédiate, un certain protocole pharmacologique s'impose:
DECADRON 4 mg (4 co)
2 comprimés 1 heure avant l'intervention
1 comprimés 24 après la 1 1ere dose
1/2 comprimé 48 heures après la 1 'ère dose AMOXICILLINE 500MG #6
sig: 2.0g 1 heure avant le rendez-vous
1.0g 6 heures après la dose initiale
et chlohexidine en rince bouche débutant 1 semaine pré-op.
salut les cousins


carototo

12/03/2011 à 18h59

ok, je note ça, merci.


carototo

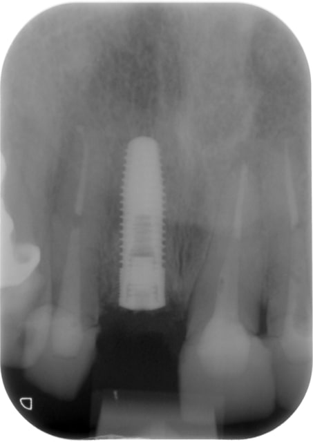
14/03/2011 à 10h43

la radio post op


carototo

14/03/2011 à 10h43

la radio post op

Post op z6rjcp - Eugenol

carototo

14/03/2011 à 10h45

.


Photo pluton1b h9n4ea - Eugenol
pluton

14/03/2011 à 11h03

juste une petite question carototo...y avait-il vraiment une indication à poser un implant, étant donné que les autres incisives sont toutes dévitalisées...?


12