Cookie Consent byPrivacyPolicies.comextraction/implantion/comblement/lambeau palatin , besoin - Eugenol

extraction/implantion/comblement/lambeau palatin , besoin d'un conseil.

carototo

14/03/2011 à 11h19

oui, car le but ici est esthétique ( des couronnes unitaires, c'est plus joli qu'un bridge)
celà dit, je vais revoir la patiente probablemlent ce jour, et du coup, à posteriori, la question se pose.

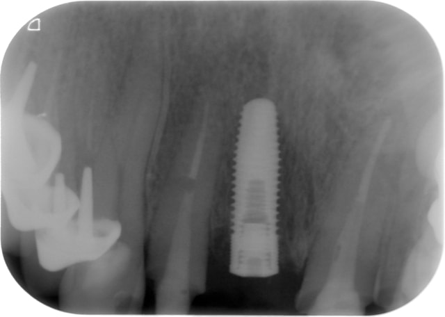
NB: sur les dents voisines on voit des provisoires réalisées le jour même pour me guider dans le positionnement tridimensionnel de l'implant, en aucun cas ce ne sont les provisoires d'usage.)


Photo pluton1b h9n4ea - Eugenol
pluton

14/03/2011 à 11h33

merci de tes explications...;-)
mais si l'implant foire, çà peut être une bonne alternative...
tu sais, un beau bridge tout céram avec un pontique ovoïde, çà peut être pas si mal non plus...;-)


carototo

14/03/2011 à 11h50

je viens d'avoir la dame au tel, elle souffre toujours, donc rdv ce soir et dépose sous couverture ATB
on en discutera avec elle et on décidera de la conduite ea tenir.


bob membrane

14/03/2011 à 15h07

salut Carototo, il n'y aurait pas une fracture de la latérale à mi racine qui pourrait expliquer ses douleurs ?


carototo

14/03/2011 à 15h20

my god!!
c'est pas bête, je suis focalisé sur la zone implantée, d'autant que la patiente l'a évoqué également.
alors je vais bien vérifier ca, mais alors j'espère que ca n'est pas le cas (ici, sur la 12, on a un tenon fibré, et pas un INC, et la dame a un bridge provisoire 12/22 en ceramique )

merci pour la remarque


Photo pluton1b h9n4ea - Eugenol
pluton

14/03/2011 à 15h54

oui, en y regardant à nouveau la fracture de la latérale semble bien réelle...


carototo

14/03/2011 à 17h39

si la 12 est cassée, ca va être un autre sport!
plus j'y pense ( douleur persistante, ne cédant pas au coktail ATB+ Anti infl), plus je me dis qu'il a des chances que la 12 soit fracturée.
un petit avis pour la conduite a tenir??
un autre implant?, sous quel délai?
et si l'implant posé sur 11 pose aussi pb (après tout, c'est peut ête quand même le cas), je fais dépose ce jour, et je fais repose + extr/ pose de12 sous combien de temps??
puis je faire une MCI à ce moment là pour 11/12 ??

merci d'avance


Photo pluton1b h9n4ea - Eugenol
pluton

14/03/2011 à 17h50

çà dépend du contexte infectieux...
si c'est "soft" tu peux faire EII en curetant à la fraise comme il faut ton site op et en irriguant à la bétadine verte...
sinon, extraction de la 12, attente 8 semaines et pose de ton implant en 12...
là, si ton implant en 11 va bien, tu peux peut être faire une prov "bridge" 11/12 bien en sous occlusion car cet implant en sera à près de 10 semaines de cicat
mais, amha, prépares une petite prothèse amovible provisoire...au cas où...


bob membrane

14/03/2011 à 17h53

si j'étais toi, je ne déposerai pas l'implant, il a l'air très bien. Programme l'extraction de la 12 et la pose d'un implant, au pire un partiel résine provisoire peut faire l'affaire, il suffit de l'expliquer à ta patiente, et au regard de cette latérale fracturée il ne faut peut-être pas se poser de questions plus loin en ce qui concerne ses douleurs.


Photo pluton1b h9n4ea - Eugenol
pluton

14/03/2011 à 18h14

+1 bob membrane...je pense qu'on avait, à quelques minutes près, fait la même analyse de la situation...


carototo

14/03/2011 à 18h43

ok, elle arrive dans 10 minutes, je vous tiens au courant.
c'est quand même pas de bol!
celà dit, si c'est ça, je préfère que la 12 pête maintenant qu'une fois les all ceram posées.

NB: J'avais prévu des all ceram sur 12/11/21/22
NB2: du coup la question de l'opportunité de faireun bridge ne se pose plus


carototo

14/03/2011 à 19h58

revu ce soir, je n'ai rien déposé, mais après un long examen et beaucoup d'interrogations, j'ai fait l'ouverture de la 13:
-compo volumineux
-douleur exacerbée au froid
-douleur a la palpation en regard de l'apex
-élargissement ligamentaire sur la radio.

pour la 12, il y a une douleur a la mmobilisation, mais radiologiquement, je ne vois rien.

je revois la patiente jeudi:
- si ca va mieux, c'est donc la 13
sinon, je ferais une dépose du tenon fibré sur 12, et examen au microscope opératoire du canal, pour detecter une éventuelle fracture ( la racine est rectiligne, je crois que je devrais y voir clair.

pour l'implant sur 11, ce jour:

pas de douleur
-pas de mobilité
-gencive " propre"

je vous laisse les clichés.

14032011  xlzlca - Eugenol
14032011 xu6iae - Eugenol
S27 bfwid0 - Eugenol
S28 zdombj - Eugenol
S29 gjnffe - Eugenol

carototo

14/03/2011 à 19h59

sur les photos, la gauche et la droite sont inversées


bob membrane

14/03/2011 à 20h06

Super si la 13 est en cause, cela ne remet pas en question ton plan de traitement. D 'autant plus que sur ton premier cliché , la 12 ne semble pas fracturée, temporise , si tout s'estompe,
c'est O.K. Impec. D ' autant plus que je trouvais ton implant super bien placé. Attend un peu avant de déposer le tenon de la 12.


Avatar ow44t3 - Eugenol
Chicot

15/03/2011 à 09h17

Y'a juste les photos qui sont moches.......

Allez courage !

--
;O)


carototo

15/03/2011 à 16h59

bon, je viens d'avoir la patiente au tel , ca va beaucoup mieux !!!!

voilà.

merci pour les messages.


l adan

17/03/2011 à 10h29

En tout cas merci de nous avoir fait partager cette experience .Je trouve plus instructif la présentation de problème et leur gestion que des présentations parfaites .


carototo

17/03/2011 à 15h25

revu la dame ce jour, et plus aucune douleur du tout!!
je fais l'endo la semaine prochaine.

moralité: ne jamais se pprécipiter, et écouter les dolénaces du patient ( c'est elle qui a orienté le diag vers la 13....)


Dsc 0022 zyz4bz - Eugenol
Fred

20/03/2011 à 14h23

C'était vraiment intéressant du suivre l'histoire. Comme quoi effectivement, il ne faut pas se précipiter.
En tout cas tant mieux pour toi, c'est quand même mieux que de déposer l'implant, et merci pour avoir partagé ça.


12