Cookie Consent byPrivacyPolicies.comMCI bi-maxillaire - Eugenol
Image28 rerkma - Eugenol
AFS

06/03/2011 à 10h51

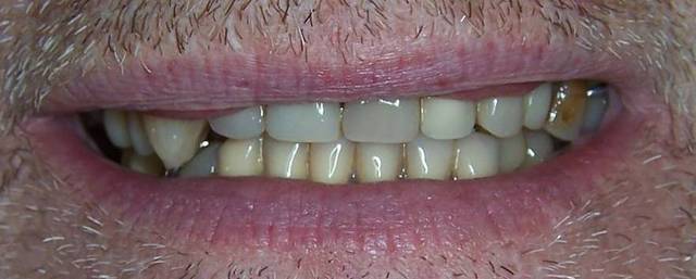
Projet implantaire:

Extraction, pose d’implants Ankylos, pose des piliers Standard définitifs, mise en charge immédiate bi-maxillaire en une chirurgie.

Maxillaire supérieur – extraction 13, 26, 7 implants en MCI, 1 implant en MCR pose summeurs, densification par ostéotme, comblement osseux, bridge provisoire sans fausse gencive avec renfort métallique.

Maxillaire inferieur – extraction 35, 34, 44, 45, 6 implants MCI, comblement osseux, bridge provisoire sans fausse gencive avec renfort métallique.

Le patient présente une perte de DV importante qui doit être corrigé avec les bridges provisoires.

Mci bi maillaire sq0ovt - Eugenol

letropezien

06/03/2011 à 11h30

AFS écrivait:
-------------
> Projet implantaire:
>
> Extraction, pose d’implants Ankylos, pose des piliers Standard définitifs, mise
> en charge immédiate bi-maxillaire en une chirurgie.

Radios ????


Image28 rerkma - Eugenol
AFS

06/03/2011 à 12h04

letropezien écrivait:
---------------------

> Radios ????

3D
Esthétique
Préopératoire

Mci bi maxillaire 1 mwsiaa - Eugenol

Humator t9r5wy - Eugenol
humator

06/03/2011 à 14h39

pour quand, les réjouissances?
MCI ou précoce? tu fais les bridges pro par cfao?
avec guide chir, je suppose? appuis muqueux? osseux?
en flapless?

--
N.Hum


Image28 rerkma - Eugenol
AFS

06/03/2011 à 15h24

humator écrivait:
-----------------
> pour quand, les réjouissances?
> MCI ou précoce? tu fais les bridges pro par cfao?
> avec guide chir, je suppose? appuis muqueux? osseux?
> en flapless?
>
> --
> N.Hum

MCI bi-maxillaire en une seule chirurgie flap pour pratiquer des comblements osseux et l'utilisation des ostéotommes, le flapless ne le permet pas je suppose.


Smile beach jgh0a1 - Eugenol
Céramik

06/03/2011 à 17h14

Intéressant
On peut avoir une radio pré-op et post-op (pano)
Merci


--
Céramik


Image28 rerkma - Eugenol
AFS

06/03/2011 à 17h26

Céramik écrivait:
-----------------
> Intéressant
> On peut avoir une radio pré-op et post-op (pano)
> Merci
>
>
> --
> Céramik

uniquement le scan pré-op

Mci bi maxillaire 2 xk7nbn - Eugenol

Smile beach jgh0a1 - Eugenol
Céramik

06/03/2011 à 17h38

dommage
c'est prévu pour bientôt ?

--
Céramik


Image28 rerkma - Eugenol
AFS

06/03/2011 à 17h47

Céramik écrivait:
-----------------
> dommage
> c'est prévu pour bientôt ?
>
> --
> Céramik

elle a été réalisée hier, d'autres dans le même genre sont programmées. est-ce qu'il est intéressant pour toi d'assister à ce type de chirurgie, tu peux me contacter en MP


Smile beach jgh0a1 - Eugenol
Céramik

06/03/2011 à 17h58

AFS écrivait:
-------------
> Céramik écrivait:
> -----------------
> > dommage
> > c'est prévu pour bientôt ?
> >
> > --
> > Céramik
>
> elle a été réalisée hier, d'autres dans le même genre sont programmées. est-ce
> qu'il est intéressant pour toi d'assister à ce type de chirurgie, tu peux me
> contacter en MP

Bonjour AFS,

Qui es-tu ?
CD? prothésiste ?
formateur ? Commercial ?
Je crois que les gens sur ce forum aimeraient en savoir plus.



--
Céramik



Image28 rerkma - Eugenol
AFS

06/03/2011 à 18h51

Céramik écrivait:
-----------------
>
> Bonjour AFS,
>
> Qui es-tu ?
> CD? prothésiste ?
> formateur ? Commercial ?
> Je crois que les gens sur ce forum aimeraient en savoir plus.
>
>
>
> --
> Céramik
>
Je viens de compléter mon profil, je pensais que le plus intéressant était le résultat.

Mci bi maxillaire 3 obv29q - Eugenol

Photo pluton1b h9n4ea - Eugenol
pluton

06/03/2011 à 19h34

t'ain les gars, z'avez pas encore pigé qu'AFS c'est posit?

tu nous fais une blague alain....;-))

amitiés...et à très bientôt pour le "petit" cas qui nous intéresse...;-)


Smile beach jgh0a1 - Eugenol
Céramik

06/03/2011 à 19h42

Je pensais bien que cela ressemblait aux images de Posit.

Bon, c'est pas plus simple de continuer de poster sous Posit ?
Tu sais bien que je suis tous tes fils.

Pour le présent cas, on attent les radio...

A+


--
Céramik


bob membrane

06/03/2011 à 21h07

Non, ce n'est pas posit, posit ne se prend pas pour zorro à sortir masqué à la tombée de la nuit.


Photo pluton1b h9n4ea - Eugenol
pluton

06/03/2011 à 22h56

si si, bob membrane, c'est posit...je l'ai eu au tel pas plus tard que vendredi...


flicflac

07/03/2011 à 04h01

A.F-S
= ASSOCIATION FRANCE SPONDYLOARTHRITE....


croc1765

07/03/2011 à 16h47

c'est posit

A:alain
F:fernandes
S:scomma

demasqué


Photo pluton1b h9n4ea - Eugenol
pluton

07/03/2011 à 17h10

croc1765 écrivait:
------------------
> c'est posit
>
> A:alain
> F:fernandes
> S:scomma
>
> demasqué

sauf que t'as juste 22h de retard sur moi...;-)


croc1765

08/03/2011 à 15h19

bravo tu devais etre unebombe au kaleidoscope sur canal


Image28 rerkma - Eugenol
AFS

09/03/2011 à 15h39

croc1765 écrivait:
------------------
> bravo tu devais etre unebombe au kaleidoscope sur canal

et au puzzle ?

Image29 wtcwkq - Eugenol

Image28 rerkma - Eugenol
AFS

10/03/2011 à 07h59

Céramik écrivait:
-----------------
>
> Pour le présent cas, on attent les radio...
>
en attendant la pano voici les coupes de la S.I.A.O.

Image33 nwzawb - Eugenol
Image34 ixvkww - Eugenol
Image35 orinjf - Eugenol
Image39 nacsid - Eugenol
Image40 hkzycw - Eugenol
Image41 egzryy - Eugenol
Image42 p57obk - Eugenol
Image43 jgylho - Eugenol
Image44 ysqyf8 - Eugenol
Image45 d112br - Eugenol
Image46 u9eg6l - Eugenol
Image47 yffnwq - Eugenol
Image48 ptc9lw - Eugenol
Image30 exkkml - Eugenol
Image31 p13zyn - Eugenol
Image32 ffzd3q - Eugenol
Image36 jfzwrz - Eugenol
Image37 inavxh - Eugenol
Image38 jfa54w - Eugenol

Photo pluton1b h9n4ea - Eugenol
pluton

10/03/2011 à 08h37

bien...mais dans certaines zones,surtout postérieures, j'aurais mis plus gros...surtout qu'il y a la place...


Image28 rerkma - Eugenol
AFS

10/03/2011 à 08h56

en haut en bas N° de planche


croc1765

10/03/2011 à 10h05

idem + gros en post


croc1765

10/03/2011 à 10h08

sur toute les planches mand


12