Tous les forums
10/03/2011 à 11h13
je connais pas trop le système ankylos...
mais mis à part les 4 implants les plus antérieurs (2 au maxillaire et 2 à la mand), j'aurais au minimum tout passé le reste en B...
pour les longueurs, çà à l'air d'être bon...
ne pas oublier que +1mm en longueur fait +10% de surface...et que +1mm de diamètre à longueur égale fait +40% de surface de contact os/implant...donc placer le plus gros possible en respectant un minimum d'os de 1,5 à 2mm partout autour...
c'est important...surtout en MCI...;-)
11/03/2011 à 10h36
pluton écrivait:
----------------
> placer le plus gros possible en respectant un minimum d'os de 1,5 à 2mm partoutautour...
- quelle distance minimum entre 2 implants ?
- si 2 implants se touchent à leur apex ton avis ?
11/03/2011 à 10h52
AFS écrivait:
-------------
> - quelle distance minimum entre 2 implants ?
3mm (idéalement 3.2mm)
>
> - si 2 implants se touchent à leur apex ton avis ?
mieux vaut éviter...jouer sur la longueur...je pense que c'est pour les implants inclinés pour éviter la zone sous sinusienne?
11/03/2011 à 14h52
pluton écrivait:
----------------
> AFS écrivait:
> -------------
>
> > - quelle distance minimum entre 2 implants ?
>
> 3mm (idéalement 3.2mm)
>
Diamètre A 3,5
Diamètre B 4,5
Avec les implants Ankylos B la distance entre les implants en position verticale passe de 3,3 mm initialement à 1,3 mm
> >
> > - si 2 implants se touchent à leur apex ton avis ?
>
> mieux vaut éviter...jouer sur la longueur...je pense que c'est pour les implants
> inclinés pour éviter la zone sous sinusienne?
Dans une réhabilitation totale les implants inclinés aux extrémités de l'arc du fixateur externe travaillent dans le sens longitudinal de ceux-ci aussi il est important d'ancrer la partie apicale contre une paroi résistante
13/03/2011 à 10h15
pluton écrivait:
----------------
> bien...mais dans certaines zones,surtout postérieures, j'aurais mis plus
> gros...surtout qu'il y a la place...
croc1765 écrivait:
------------------
> idem + gros en post
toujours la même analyse ?
13/03/2011 à 10h41
AFS écrivait:
-------------
> pluton écrivait:
> ----------------
> > bien...mais dans certaines zones,surtout postérieures, j'aurais mis plus
> > gros...surtout qu'il y a la place...
>
> croc1765 écrivait:
> ------------------
> > idem + gros en post
>
> toujours la même analyse ?
c'est extrêmement difficile de te répondre comme çà Alain...
sans les coupes, voir les fichiers dicom pour voir en réel les répercussions en direct de chaque modification de taille, de longueur, de disposition...
13/03/2011 à 11h15
Si tu augmente le diamètre de l'implant en position 6 tu es obligé de le mésialer est pour la prothèse sa position n'est pas favorable, l'implant en 4 devra passer de 9,5mm à 8mm pour ne pas risquer toucher l'implant angulé. Augmenter le diamètre de l'implant en position 4 oblige à le distaler et oblige aussi à le raccourcir en rapport de l'implant incliné
13/03/2011 à 11h42
si tu pose un B en 16, ta mésialisation n'est que de 0.5mm au niveau prothétique...peut être qu'il faut réduire un peu la longueur de cet implant incliné pour qu'il ne touche pas celui en 14...tu perds 10% d'un côté pour en regagner 40% de l'autre...faut voir ce qui est le mieux...
en 13, t'as pas la possibilité de mettre là aussi un B, en le mésialant là aussi un poil? vu comme çà, çà me paraît faisable...
pour le secteur 2, c'est vrai que çà paraît plus compliqué...
et en bas? secteur 3 et 4 au niveau des 34/36 et 44/46?
13/03/2011 à 14h06
pluton écrivait:
----------------
> si tu pose un B en 16, ta mésialisation n'est que de 0.5mm au niveau
> prothétique...peut être qu'il faut réduire un peu la longueur de cet implant
> incliné pour qu'il ne touche pas celui en 14...tu perds 10% d'un côté pour en
> regagner 40% de l'autre...faut voir ce qui est le mieux...
Ce qui est recherché pour l'implant angulé longent le sinus est un appui apical, c'est lui qui détermine la longueur de l'implant
> en 13, t'as pas la possibilité de mettre là aussi un B, en le mésialant là aussi
> un poil? vu comme çà, çà me paraît faisable...
En effet mésialer la 13 est possible mais le choix était de conserver une angulation à 15° pour utiliser les piliers Standard qui se limite à cette angulation.
Pour les implants à 30° un compromis a été accepté par l'utilisation de pilier Balance.
>
> pour le secteur 2, c'est vrai que çà paraît plus compliqué...
13/03/2011 à 16h06
Bonjour,
Pour les implants zone 15 à 17, où toute la force de mastication est concentrée, je ferais un simple soulev. de sinus et 2 gros implant vertical en positions 16 et 17.
Même chose pour les secteur 2.
De plus, dans ce cas précis, il n'y a pas de proprioception naturelle, les antagonistes étant des implants.
En occlusion 100% implants, les forces de mastication peuvent atteindre 400% sur les srtuctures (os, implants, vis, céram). Faut donc avoir plus d'implants au max sup et dans le meilleur axe possible.
Lorsque je présente ces faits à mes patients, ils choisissent en général l'étape du soulevé sinus sans problème. Je pense alors offrir une mécanique qui seraa plus stable dans le temps.
Ceci n'est pas simplement mon avis, c'est basé sur la bio-mécanique enseignée par Dr Misch, qui se fonde toujours sur des dizaines et des dizaines d'études (voir son livre sur la prothèse sur implants).
--
Céramik
13/03/2011 à 20h00
Céramik écrivait:
-----------------
> Bonjour,
>
> Pour les implants zone 15 à 17, où toute la force de mastication est concentrée,
> je ferais un simple soulev. de sinus et 2 gros implant vertical en positions 16
> et 17.
> Même chose pour les secteur 2.
>
>
> De plus, dans ce cas précis, il n'y a pas de proprioception naturelle, les
> antagonistes étant des implants.
>
>
> En occlusion 100% implants, les forces de mastication peuvent atteindre 400% sur
> les srtuctures (os, implants, vis, céram). Faut donc avoir plus d'implants au
> max sup et dans le meilleur axe possible.
>
> Lorsque je présente ces faits à mes patients, ils choisissent en général l'étape
> du soulevé sinus sans problème. Je pense alors offrir une mécanique qui seraa
> plus stable dans le temps.
>
> Ceci n'est pas simplement mon avis, c'est basé sur la bio-mécanique enseignée
> par Dr Misch, qui se fonde toujours sur des dizaines et des dizaines d'études
> (voir son livre sur la prothèse sur implants).
>
>
>
>
> --
> Céramik
Bonjour Céramik
ce que tu propose est un autre plan de traitement Pépé aurais placé encore + d'implant.
les autres implantations bi-maxillaire ont bien fonctionnées avec des implants angulés en posterieur,des études montrent que les forces appliquées sur ces implants n'entraînent pas une perte osseuse supérieure au niveau de l'os marginal, à des implants insérés verticalement.
13/03/2011 à 20h18
AFS écrivait:
-------------
> Céramik écrivait:
> -----------------
> > Bonjour,
> >
> > Pour les implants zone 15 à 17, où toute la force de mastication est
> concentrée,
> > je ferais un simple soulev. de sinus et 2 gros implant vertical en positions
> 16
> > et 17.
> > Même chose pour les secteur 2.
> >
> >
> > De plus, dans ce cas précis, il n'y a pas de proprioception naturelle, les
> > antagonistes étant des implants.
> >
> >
> > En occlusion 100% implants, les forces de mastication peuvent atteindre 400%
> sur
> > les srtuctures (os, implants, vis, céram). Faut donc avoir plus d'implants au
> > max sup et dans le meilleur axe possible.
> >
> > Lorsque je présente ces faits à mes patients, ils choisissent en général
> l'étape
> > du soulevé sinus sans problème. Je pense alors offrir une mécanique qui seraa
> > plus stable dans le temps.
> >
> > Ceci n'est pas simplement mon avis, c'est basé sur la bio-mécanique enseignée
> > par Dr Misch, qui se fonde toujours sur des dizaines et des dizaines d'études
> > (voir son livre sur la prothèse sur implants).
> >
> >
> >
> >
> > --
> > Céramik
>
> Bonjour Céramik
> ce que tu propose est un autre plan de traitement Pépé aurais placé encore +
> d'implant.
> les autres implantations bi-maxillaire ont bien fonctionnées avec des implants
> angulés en posterieur,des études montrent que les forces appliquées sur ces
> implants n'entraînent pas une perte osseuse supérieure au niveau de l'os
> marginal, à des implants insérés verticalement.
Sur une période de combien de temps ?
Tu as les réf ?
Merci
--
Céramik
13/03/2011 à 21h20
C’est récent puisque cela à moins de trois ans, d’autres pratiquen t ce type de positionnent angulé depuis plus longtemps . Ce qui est nouveau est de le faire en une intervention chirurgicale avec des provisoires à armatures métal.
Bonne soirée je prend l’avoin dans quelques heures pout 3 nouveaux cas de MCI.
17/03/2011 à 22h30
AFS écrivait:
-------------
> C’est récent puisque cela à moins de trois ans, d’autres pratiquen t ce type de
> positionnent angulé depuis plus longtemps . Ce qui est nouveau est de le faire
> en une intervention chirurgicale avec des provisoires à armatures métal.
> Bonne soirée je prend l’avoin dans quelques heures pout 3 nouveaux cas de MCI.
photo 1 lundi
photo 2 mardi
photo 3 mercredi
18/03/2011 à 09h33
AFS écrivait:
> -------------
> photo 1 lundi
> photo 2 mardi
> photo 3 mercredi
Extractions, pose des implants, pose des multis-units, pose des bridges provisoire en une chirurgie. Cas 1 et 2 implants MIS, 3 BREDENT. Photo du provisoire 1 et 3 prise dans la suite de l'intervention chirurgicale, 2 prise à 48h.
25/03/2011 à 18h38
une bonne journée!
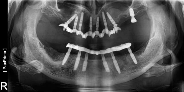
23/04/2011 à 14h12
Pano de contrôle à 40 J post op