Cookie Consent byPrivacyPolicies.comTaille sur dent vivante, encore...... - Eugenol

Taille sur dent vivante, encore......

masterbibop

09/03/2011 à 15h11

Bonjour à tous,

je suis un jeune confrère qui s'intéresse de plus en plus à ce type de préparation sans vraiment trouver de réponse.

Bien qu'après la lecture de nombreux sujets, il semble que la taille sur dent vivante donne de bons résultats, je souhaiterais si possible avoir en main un protocole bien éclairé avec des petits trucs qui peuvent tous changer et réduire le risque de nécrose ou de pulpite !

1) Quelqu'un pourrait-il par exemple me donner un exemple de la marche à suivre détaillée pour la taille d'une 21 avec fracture distale sur laquelle on choisira de poser soit une Emax, soit une CCM ?

(Digue ? (la digue ne gêne-t-elle pas pour la taille ? Et si on doit la retirer pour prendre l'empreinte, quel intérêt?), désinfection dentinaire ? (produits utilisés ? à quels moments? ), provisoire (Risque de chauffe ? comment l'éviter...? ciment pro spécifique ? Résine spécifique ?), Scellement ? Collage (avec quel produit ?)....

2) d'après mes lectures, il semble que si à 3 mois, la dent n'a pas mal réagi, on peut être tranquille ?

3) question subsidiaire: il semble qu'aux Etats-Unis, on colle des facettes aussi régulièrement qu'on fait un composite. J'ai réalisé un cas de 6 facettes ceram ant maxillaire (3-3) avec retour palatin et prep à minima... j'étais ravi du résultat....mais tout s'est cassé la figure à 1 an. Quand je regarde des photos de tailles de facettes, la dent est tellement délabrée pour obtenir un maximum de rétention que je ne comprends même plus l'intérêt de faire une facette (qui est normalement de rétablir l'esthétique en étant conservateur ?) ! Autant faire une Couronne sur dent vivante ? Pourriez vous s'il vous plait m'expliquer comment tailler une dent à minima pour coller une facette qui tienne correctement ? Tous ces gens qui se font faire des facette à la Hollywood, sur toutes les dents n'ont quand même pas toutes les dents taillées et délabrées ??? si ?!


Voila, ce sont des questions que je me pose depuis longtemps ! Je vous remercie pour vos réponses !



Avatar 46 aoi1yc - Eugenol
HononLulu

09/03/2011 à 15h15

C'est à dire, vu les questions que tu te poses, on comprends pourquoi tes facettes n'ont pas tenu.
Il ne faut pas te décourager pour autant, mais pourquoi ne pas faire une formation continue sur ce sujet si intéressant ?


Grueavatar nptrc9 - Eugenol
Le Choixpeau magique

09/03/2011 à 15h21

Il faut arrêter avec la "magie" des couronnes sur dent vivantes.
Dans les pays où contrairement à la France les endos ne sont pas gratuites, les couronnes sur dent pulpée sont la règle et les endos l'exception.
Il n'y a pas de précaution particulière à prendre si ce n'est faire une anesthésie avant chaque opération (et encore, sur des pulpes un peu rétractées on peut souvent sceller sans anesthésier), et avoir des provisoires étanches.


olivier

09/03/2011 à 15h36

de préférence avec des fraises bagues noires et sans spray...:)))


Harley davidson fat boy special 2010 2 pqsaxa - Eugenol
elmex

09/03/2011 à 15h59

bague noir et ca fait longtemps que j'ai plus de spray
allez je me lance dans des facettes sur implant bien sur


Smile beach jgh0a1 - Eugenol
Céramik

09/03/2011 à 16h04

Le Choixpeau magique écrivait:
------------------------------
> Il faut arrêter avec la "magie" des couronnes sur dent vivantes.
> Dans les pays où contrairement à la France les endos ne sont pas gratuites, les
> couronnes sur dent pulpée sont la règle et les endos l'exception.
> Il n'y a pas de précaution particulière à prendre si ce n'est faire une
> anesthésie avant chaque opération (et encore, sur des pulpes un peu rétractées
> on peut souvent sceller sans anesthésier), et avoir des provisoires étanches.


+1

80% de mes couronnes depuis 15 ans sont sur dents vivantes.
La technique du IDS (immediat Dentine Sealing) aide bcp.

La digue pour la taille, pourquoi pas, je place 50 % du temps,surtout en postérieur, ablation de carie, du Hg (eurk), scellement dentinaire, taille 90 % de la dent, ensuite hop la digue, finition de la taille, empreinte et provisoire de qualité, bien scellé.


Chez nous, les endo pré-couronnes, ne sont pas la règle.

Si douleur avec provisoire, endo avant la pose de la couronne, 2-3 % des cas).

--
Céramik


Grueavatar nptrc9 - Eugenol
Le Choixpeau magique

09/03/2011 à 16h57

Céramik écrivait:
-----------------
> 80% de mes couronnes depuis 15 ans sont sur dents vivantes.
> La technique du IDS (immediat Dentine Sealing) aide bcp.

Quel ciment provisoire utilises-tu ?
J'aime bien les ciments résineux un peu costauds qui laissent la gencive en très bon état, mais avec l'IDS je ne pense pas que ça soit possible (?).
Dans ces cas les ciments polycarboxylates sont indiqués, mais l'effet sur la gencive est moins bien, les provisoires sont dures à retirer et il faut passer un US pour faire sauter le ciment lors de la pose (donc anesthésie, et que devient l'IDS dans ce cas là ?).


200106 10150128247663588 709988587 6466236 5598391 n d7mksb - Eugenol
hallboy

09/03/2011 à 17h09

Dycal. un peu moins de catalyseur que de base pour ne pas avoir une prise trop rapide.


Grueavatar nptrc9 - Eugenol
Le Choixpeau magique

09/03/2011 à 17h45

Sans exagérer, depuis que je bosse j'ai dû avoir moins de 10 cas de dents provisoires perdues par des patients, et sur ces 10 cas, 2 étaient des provisoires scellées au dycal, avec un taux d'échec de 100%. Comment c'est possible ça ?


Marque a3 orange fyvhyq - Eugenol
Marc Apap

09/03/2011 à 17h45

Moi je ne fais de l'IDS qu'une fois tous les deux ans, à l'eau de Cologne. Et pourtant, ça marche quand même.


Grueavatar nptrc9 - Eugenol
Le Choixpeau magique

09/03/2011 à 17h57

Tu peux faire une vanne filée avec tout google et un sigle de trois lettres:
http://www.google.fr/search?q=ids&ie=utf-8&oe=utf-8&aq=t&rls=org.mozilla:fr:official&client=firefox-a


Marque a3 orange fyvhyq - Eugenol
Marc Apap

09/03/2011 à 18h23

Trêve de plaisanterie : en général, les conseils d'amis, chez moi, ça ne marche pas.
Gutta condensor n° 40 ou 50 : impossible de m'en servir correctement
Dycal en ciment de scellement : même pas essayé tellement c'est absurde
IDS : gros caca parce que la colle se salit au contact du ciment provisoire, qu'il faut encore renettoyer les moignons le jour de la pose on ne sait comme, etc.. Très bien pour les autres, moi je reste classique. Je scelle au Seal Temp S les provisoires, et retrouve des moignons nickel et indolores, avec une gencive parfaite la fois d'après.


Fresh watermelon 640x562 udulqz - Eugenol
gulguch

09/03/2011 à 19h24

Céramik écrivait:
-----------------
>
> +1
>
> 80% de mes couronnes depuis 15 ans sont sur dents vivantes.
> La technique du IDS (immediat Dentine Sealing) aide bcp.
>

Tu peux nous expliquer IDS svp?


Keyser Söze

09/03/2011 à 19h27

http://www.eugenol.com/sujets/389247-collage-inlays-ceramique-empress?page=1#post_495411


masterbibop

09/03/2011 à 20h54

Merci pour vos réponses.

En gros pour plus de sécurité:

-On met la digue
-On taille
-On met du tubulicide pour nettoyer la boue dentinaire et isoler la dentine
-On dépose la digue,
-On taille les limites et on met sous pro (ciment temposyl 2 est ok ???)

D'autres conseils ?

Concernant le collage, qu'utilisez vous pour:

-une Emax (vitroceramique) sur dent vivante ?
-une CCM sur dent vivante ?
-une zircone sur dent vivante ?
-un onlay ceram ?
-une Emax sur FM Métallique ?

Sur FM composite avec tenon fibré:

-une CCM ?
-une Emax ?

A l'époque, le praticien chez qui je bossait m'avait dit de coller les facettes au Superbond , sans mordancage de la dent pour éviter les sensibilités. Vous pensez que ce collage est la cause de l'échec ?

Pourriez vous svp répondre a mes questions point par point pour plus de clarté !

Merci a vous tous en tous cas.


Marque a3 orange fyvhyq - Eugenol
Marc Apap

09/03/2011 à 21h25

masterbibop écrivait:
---------------------

> A l'époque, le praticien chez qui je bossait m'avait dit de coller les facettes
> au G bond, sans mordancage de la dent pour éviter les sensibilités. Vous penser
> que ce collage est la cause de l'échec ?
>

Ca semble évident, surtout si tu n'as pas utilisé de composite de collage en plus. Le G bond est un adhésif de type SAM1, les pires en termes de performances, tout en étant évidemment les plus simples à employer.


Grueavatar nptrc9 - Eugenol
Le Choixpeau magique

10/03/2011 à 00h50

masterbibop écrivait:
---------------------
> -On met la digue

Pour quoi faire la digue ?

> -On taille
> -On met du tubulicide pour nettoyer la boue dentinaire et isoler la dentine

nettoyer la boue dentinaire ? isoler la dentine ?

> -On dépose la digue,
> -On taille les limites et on met sous pro (ciment temposyl 2 est ok ???)

Temposyl, c'est de la m....

> -une Emax (vitroceramique) sur dent vivante ?
> -une CCM sur dent vivante ?
> -une zircone sur dent vivante ?
> -un onlay ceram ?
> -une Emax sur FM Métallique ?

La même chose que sur dent pas vivante...


> A l'époque, le praticien chez qui je bossait m'avait dit de coller les facettes
> au G bond, sans mordancage de la dent pour éviter les sensibilités.

Ce n'est pas le mordançage qui induit des sensibilités.

G Bond + quoi ? (au passage c'est de la m... le G Bond, et pourtant j'aime bien les produits GC).


masterbibop

10/03/2011 à 01h21

Superbond pardon. Le mordancage n'induit pas de sensibilités ???

Pourriez vous détailler concernant le collage s'il vous plait .


Smile beach jgh0a1 - Eugenol
Céramik

10/03/2011 à 01h53

masterbibop écrivait:
---------------------
> Superbond pardon. Le mordancage n'induit pas de sensibilités ???
>
> Pourriez vous détailler concernant le collage s'il vous plait .


Mordancage = sensibilité ?

M...e, cette histoire des années 80 existe encore ?

Mauvaise application d'un système = sensibilité

--
Céramik


Marque a3 orange fyvhyq - Eugenol
Marc Apap

10/03/2011 à 08h24

Quand je lis tout ça, je me rend compte que les journées de formation continue ont un bel avenir devant elles !


003 penrd2 - Eugenol
Cingulum

10/03/2011 à 10h30

masterbibop écrivait:
---------------------
> Bonjour à tous,

Salut à toi.



>
> (Digue ? (la digue ne gêne-t-elle pas pour la taille ? Et si on doit la retirer
> pour prendre l'empreinte, quel intérêt?)

La digue se pose éventuellement pour la phase de collage, pas lors de la préparation et l'empreinte

, désinfection dentinaire ? (produits
> utilisés ? à quels moments? )

Chlorhexidine Digluconate 2%, Cavity Cleaner, Bisico. Après la préparation et avant le collage, laisser agir au moins 45 sec, rincer abondamment.


, provisoire (Risque de chauffe ? comment
> l'éviter...? ciment pro spécifique ? Résine spécifique ?), Scellement ?

Provisoire en résine compo (structure vocco, protemp 3M etc....) scellement provisore temp bond si bcp de rétention mécanique, ou compo fluide sans adhésif pour les facettes...


Collage
> (avec quel produit ?)....

Grand question, dépend de la céramique utilisé, mais sur la dent le meilleur protocole reste Total etch + Adhésif (MR2, MR3)

>
> 2) d'après mes lectures, il semble que si à 3 mois, la dent n'a pas mal réagi,
> on peut être tranquille ?

Non, on peut avoir des nécroses, ou pulpite à 6 mois, 1 an...
>
> 3) question subsidiaire: il semble qu'aux Etats-Unis, on colle des facettes
> aussi régulièrement qu'on fait un composite. J'ai réalisé un cas de 6 facettes
> ceram ant maxillaire (3-3) avec retour palatin et prep à minima... j'étais ravi
> du résultat....mais tout s'est cassé la figure à 1 an.

Quelle céramique, quel protocole de collage ?


Quand je regarde des
> photos de tailles de facettes, la dent est tellement délabrée pour obtenir un
> maximum de rétention que je ne comprends même plus l'intérêt de faire une
> facette (qui est normalement de rétablir l'esthétique en étant conservateur ?) !
> Autant faire une Couronne sur dent vivante ? Pourriez vous s'il vous plait
> m'expliquer comment tailler une dent à minima pour coller une facette qui tienne
> correctement ? Tous ces gens qui se font faire des facette à la Hollywood, sur
> toutes les dents n'ont quand même pas toutes les dents taillées et délabrées ???
> si ?!

Tout dépend de la situation initiale, de la correction a apporter, de l'occlusion... la aussi vaste programme...

>
>
> Voila, ce sont des questions que je me pose depuis longtemps ! Je vous remercie
> pour vos réponses !

une formation peut être ? ;) il reste 2 places pour le module 2....
http://www.clinic-all.fr/#/cycle-esthetique-2011/3733996



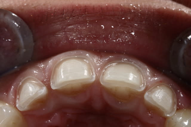
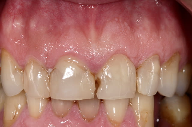
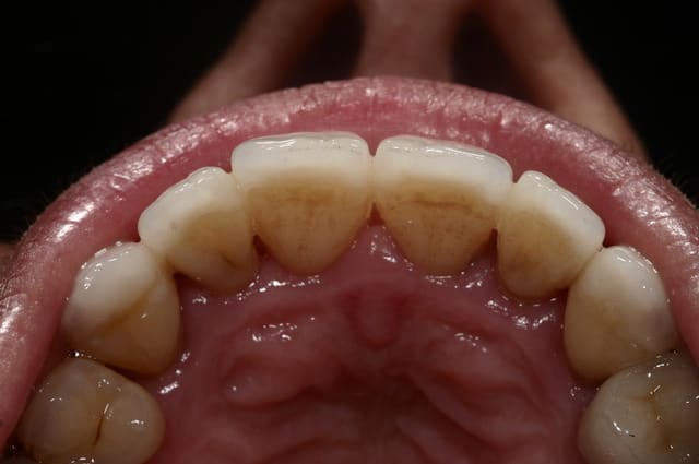
Quelques photos de prep sur dent vivante et facette sans retour....

>
>


--
Dr Cingulum
-----Ancien interné----
----Attaché à l'apex----
www.clinic-all.fr formation par passion

Img 9156 kjtkod - Eugenol
Img 9165 xzs1lx - Eugenol
Img 8600 aevshj - Eugenol
Img 9161 nwisp4 - Eugenol
Img 7737 gpaqqo - Eugenol
Img 7816 zqsivp - Eugenol

Jack nicholson bia2w2 - Eugenol
Résistance123

10/03/2011 à 23h44

fcddd


Grueavatar nptrc9 - Eugenol
Le Choixpeau magique

11/03/2011 à 00h06

malcolm86 écrivait:
-------------------
> Bonjour, y'en a t'il qui cote un spr 50 sur dent vivante?

Quel rapport ?


Jack nicholson bia2w2 - Eugenol
Résistance123

11/03/2011 à 00h12

cccccc


200106 10150128247663588 709988587 6466236 5598391 n d7mksb - Eugenol
hallboy

11/03/2011 à 00h13

malcolm86 écrivait:
-------------------
> Bonjour, y'en a t'il qui cote un spr 50 sur dent vivante?


Ben oui... !

Pourquoi?


12...