Cookie Consent byPrivacyPolicies.cominstruments pour sinus lift - Eugenol

instruments pour sinus lift

bob membrane

19/03/2011 à 07h59

Bonjour, je voulais vous montrer ces curettes pour élévation des sinus que je trouve particulièrement pratiques.
je n'ai pas trouver un lien pour rentrer dans le catalogue de la société Hess.
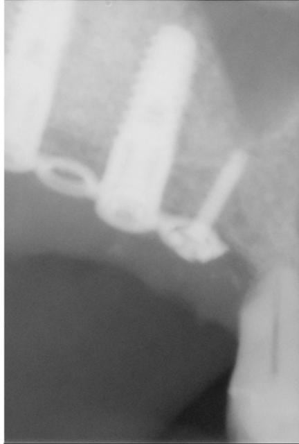
Et la plaque d'ostéosynthèse qui permet de fixer entre eux les implants pour solidariser celui qui se trouve dans une crête de faible hauteur.

28 avril0001 4 izbsrv - Eugenol
Laeufer sxc63n - Eugenol

Photo pluton1b h9n4ea - Eugenol
pluton

19/03/2011 à 08h36

sympa!!!
çà vient d'où ta plaque?

ceux là aussi y ressemblent beaucoup (pour les curettes)...mais c'est système, un concept global, à la foi pour l'approche latérale et crestale, associé à des implants qui se prêtent particulièrement bien à l'exercice...mais pas que....;-)

http://www.dentium.com/USERFILES/BBSDATA/dask_Rev%5B1%5D.1%5B0%5D.pdf

chez nous, distribué par dentogem
http://www.dentogem.com/index.php


bob membrane

20/03/2011 à 15h19

la plaque vient de chez Synthes, une boite qui fait bcp de trucs pour la chir. orthopédique,
mais dans mon système, il en existe une qui est faite pour cela.