Tous les forums
Sinus lift et volet osseux
26/03/2011 à 10h27
Le consensus actuel c'est la mise en place d'une membrane résorbable sur la fenêtre d'accès.
OK, mais quand la fenêtre est de taille modeste ( 1 cm2) et que le volet osseux a été retiré sans trop de perte ( grace entre autre à la piezo) sont repositionnement sur le volet après comblement est aisé.
ma question: Dans ces cas faut-il quand même remettre une membrane ou ne peut on pas en faire l'éconnomie ?
Je l'ai déjà fait, mais qui d'autre le pratique couramment ? Qu'en dit la littérature ?
--
;O)
26/03/2011 à 10h43
c'est une option envisageable...
mais le risque en vaut-il le coup (coût?)
au prix d'une petite membrane collagène AT...(environ 45€...)
je préfère facturer au patient au prix coutant cette petite chose et "bétonner" l'intervention...;-)
26/03/2011 à 11h08
perso jamais de membrane, (depuis 89) mais peut être est ce opérateur dépendant?
D57 à travaillé pas mal sur le sinus sa réponse sera plus "généraliste". (bien sur maintenant le PRF...)
--
xbk
"Si tous ceux qui croient avoir raison n'avaient pas tort, la vérité ne serait pas loin" Dac Pierre
26/03/2011 à 11h10
Chicot écrivait:
----------------
> Le consensus actuel c'est la mise en place d'une membrane résorbable sur la
> fenêtre d'accès.
>
> OK, mais quand la fenêtre est de taille modeste ( 1 cm2) et que le volet osseux
> a été retiré sans trop de perte ( grace entre autre à la piezo) sont
> repositionnement sur le volet après comblement est aisé.
>
> ma question: Dans ces cas faut-il quand même remettre une membrane ou ne peut on
> pas en faire l'éconnomie ?
>
> Je l'ai déjà fait, mais qui d'autre le pratique couramment ? Qu'en dit la
> littérature ?
>
> --
> ;O)
amha c'est pas une bonne idée de le repositionner ,le risque c'est que ton volet se nécrose, parce qu'il va avoir d'un coté une membrane et de l'autre du biomat, pour la vascularisation c'est pas terrible.
26/03/2011 à 11h22
mac écrivait:
-------------
> amha c'est pas une bonne idée de le repositionner ,le risque c'est que ton volet
> se nécrose, parce qu'il va avoir d'un coté une membrane et de l'autre du biomat,
> pour la vascularisation c'est pas terrible.
+1...par contre, le broyer et l'utiliser mélangé au biomat, çà peut être intéressant, non?
26/03/2011 à 16h37
Mac :
> amha c'est pas une bonne idée de le repositionner ,le risque c'est que ton volet
> se nécrose, parce qu'il va avoir d'un coté une membrane et de l'autre du biomat,
> pour la vascularisation c'est pas terrible.
Non pas de membrane, juste le volet et le périoste au dessus, donc vascularisation par le périoste et au travers du biomat
--
;O)
26/03/2011 à 16h39
Pluton:
>
> +1...par contre, le broyer et l'utiliser mélangé au biomat, çà peut être
> intéressant, non?
c'est ce que je fais quand j'ai besoin de combler autour du col par exemple
--
;O)
27/03/2011 à 21h06
pluton écrivait:
----------------
> c'est une option envisageable...
> mais le risque en vaut-il le coup (coût?)
> au prix d'une petite membrane collagène AT...(environ 45€...)
>
> je préfère facturer au patient au prix coutant cette petite chose et "bétonner"
> l'intervention...;-)
Tu trouves ça ou une membrane AT ?
Je mets des 3i qui coûtent la peau des f.....
Sinon soit vous mettez rien, soit une membrane.
Personne repositionne le volet SANS membrane ?
--
;O)
27/03/2011 à 22h19
chez dentogem ou chez easyimplant...de mémoire légèrement moins chères chez easy, c'est 250€ le pack (5 membranes)...mais faut sûrement rajouter du port...et 265€ chez dentogem mais là c'est franco...enfin moi j'ai jamais payé de transport avec eux...
donc amha kifkif au final...
çà marche aussi bien que des biomed...seul truc, c'est des 20x20 et pas des 20x30
27/03/2011 à 23h18
Chicot écrivait:
----------------
> Personne repositionne le volet SANS membrane ?
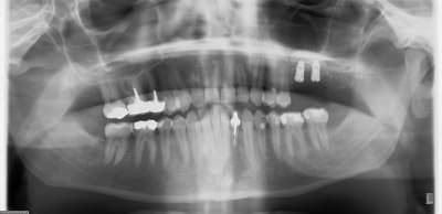
C'est une technique que je pratique très souvent et qui me donne entière satisfaction. Pour ceux qui se demandent à quoi cela ressemble, je poste un exemple.
Dans la littérature il n'y a pas vraiment d'étude RCT analysant juste cette technique chirurgicale. Cependant cette approche est largement utilisée dans les études sur les sinus lift réalisées par l'équipe de Stefan Lundgren & Lasse Sennerby en Suède, l'équipe de Ferrari Marco en Italie et celle de Sohn en Corée.
Je n'ai à ce jour eu aucune complication dûe à une nécrose du volet osseux (risque évoqué par Mac).
Amicalement
Olivier
27/03/2011 à 23h44
perso, je ne décolle que rarement le volet osseux de la membrane, à moins que celui-ci soit petit...
j'applique simplement collatape de zimmer sur le matériel de comblement au niveau de la fenestration...salut les cousins
28/03/2011 à 10h16
Merci Olivier de ta réponse sans ambiguité joliment iconographiée.
Je continuerai donc, chaque fois que possible, à retirer le volet pour le repositionner en fin de comblement ou le broyer si j'ai besoin de greffer sur la crête
--
;O)
28/03/2011 à 12h49
C'est très joli... mais est-ce que ça apporte vraiment un plus? A part baisser le coût du prix de la membrane y a autre chose? Parceque par contre ça rajoute un risque de perfo non? Perso suis déjà tellement stress à l'idée de perforer que je me vois pas en plus essayer de decoller le volet! C'est un coup à faire des cauchemards la veille ça...
28/03/2011 à 16h50
pareil,
pas besoin de prendre de risque suplémentaire de déchirer en retirant le volet ( en général beaucoup plus petit que la jolie photo ci-dessus ). Donc, il reste au plafond. Ensuite, c'est membrane résorbable ou PRF.
28/03/2011 à 23h35
Arrêtez de flipper comme ça !!!!!!!
Parfois le volet se décolle presque tout seul ( enfin en piezo en tout cas)
Une fois sur deux je le retire car le risque de perfo au niveau de la pliure n'est pas inexistant non plus.
Mais j'ai pas une énorme expérience ( une vingtaine de sinus lift seulement ) et toute les perf gérées avec une membrane ou un bout de pangen "aplati" en rustine quand mini perf. Une fois j'ai diffèré la pose des implants à cause de la taille de la déchirure ---> technique chaussette mais j'ai pas osé pousser le bouchon à poser les implants dans la séance. Les implants sont posés depuis et je place les prothèses dans 1 semaine.
Pour la fenêtre j'ai fait avec ou sans membrane et parfois en replaçant le volet sans membrane
J'ai pas un recul de 10 ans pour me permettre d'en tirer des conclusions d'oú ce post
--
;O)
18/04/2011 à 19h46
DASK !!!!!! DASK !!!!!!! c'etait TOP, c'était sécurisant ,c'était rapide ...VRAIMENT ,
NO,NO PAS DE REGRET d'avoir investi dans cette trousse
Voici le résultat d'une heure de travail ...merci DENTOGEM,merci Michael
--
cile
19/04/2011 à 10h43
Chicot écrivait:
----------------
> Une fois j'ai diffèré la pose des implants à cause de la taille
> de la déchirure ---> technique chaussette mais j'ai pas osé pousser le bouchon à
> poser les implants dans la séance. Les implants sont posés depuis et je place
> les prothèses dans 1 semaine.
Bonjour,
Tu pourrais nous décrire la technique chaussette ou donner les ref d'un article la décrivant.
CC.
19/04/2011 à 11h23
OUi Xavier,l'exansion...? j'y pense sourire....peut etre il faudrait que je refasse un tour chez
toi?
--
cile
19/04/2011 à 15h37
Candide Candida écrivait:
-------------------------
> Chicot écrivait:
> ----------------
>
>
> Bonjour,
>
> Tu pourrais nous décrire la technique chaussette ou donner les ref d'un article
> la décrivant.
>
> CC.
J'ai pas les ref sous la main, mais Dudule à fait son mémoire pour le DU d'implanto sur la gestion des perf. Et il décrit ça très bien
C'est la membrane collagène qui va dans le sinus pour fermer la perf mais qui ressort en vest. pour éviter qu'elle file au fond du sinus et le biomat est placé dedans.... Pas facile a décrire.
Je me souviens d'une photo de noah ou il avait même suturé la membrane au rebord osseux en créant deux petits pertuis dans la paroi lat du sinus
--
;O)
19/04/2011 à 19h56
pour ma part j'ai complétement arrétté depuis un peu plus d'un an de garder un volet osseux.
lors de la fenêtre d'accés, je meule tout l'os avec une grosse fraise boule diamentée, j'y vois là 3 avantages:
- meilleur visualisation de la membrane
- moins de tension sur la membrane pour la décoller
- facilié de passage des instruments, surtout quand la paroi vestibulaire du sinus est epaisse.
je place ensuite systématiquement une membrane ( collatape).
j'ai diminué grandeùment, ainsi, les perforations.
19/04/2011 à 22h40
Chicot écrivait:
----------------
> C'est la membrane collagène qui va dans le sinus pour fermer la perf mais qui
> ressort en vest. pour éviter qu'elle file au fond du sinus et le biomat est
> placé dedans.... Pas facile a décrire.
>
> Je me souviens d'une photo de noah ou il avait même suturé la membrane au rebord
> osseux en créant deux petits pertuis dans la paroi lat du sinus
Je pense que c'est ce que tu veux décrire Chicot.
Amicalement
Olivier
27/04/2011 à 02h13
Chicot écrivait:
----------------
> J'ai pas les ref sous la main, mais Dudule à fait son mémoire pour le DU
> d'implanto sur la gestion des perf. Et il décrit ça très bien
>
Je vais finir par faire payer le lien ;+)
http://www.eugenol.com/assets/22145-gestion-des-perforations-de-la-muqueuse-sinusienne2
Moi je fais comme toi mon Chicot, je replace quasi toujours le volet osseux par dessus le comblement et je ne mets pas de membrane du coup.
Mais comme toi je n'ai aucune étude et je n'ai pas non plus une expérience fabuleuse tout au plus 15 sinuslift par an.