Cookie Consent byPrivacyPolicies.comtraitement BOST - Eugenol

traitement BOST

pelé

30/03/2011 à 22h22

bonjour à tous ...fort d'une année de plus dans l'utilisation de cet excellent traitement BOST qui m'éloigne encore plus de mes débuts , et quelques mois après la disparition de cet homme remarquable qu'était william hoisington, je reviens vers vous pour "discuter" ,avec la bande d'enragés que vous me paraissaient être, il vaudrait mieux dire se battre!
mais j'(accepte cette bagarre, elle m'excite, vu mon passé de judoka!)
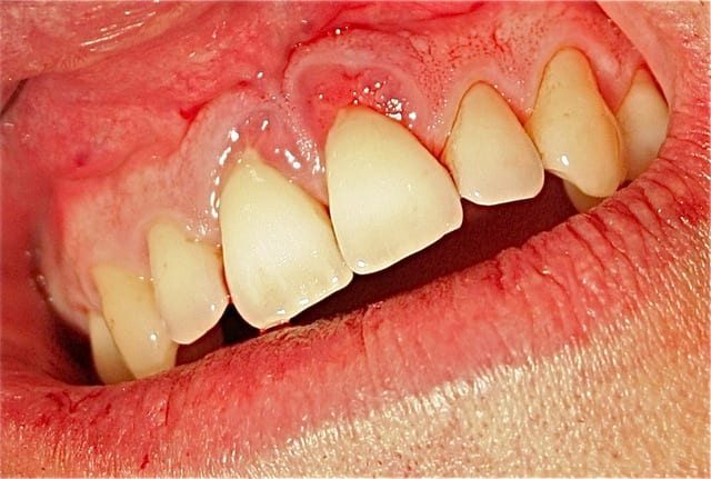
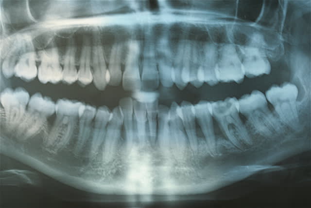
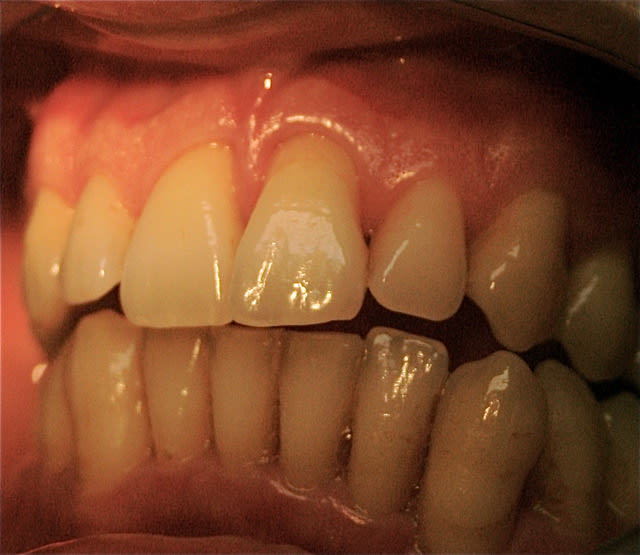
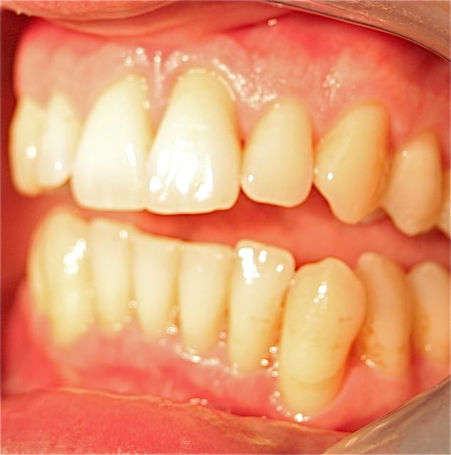
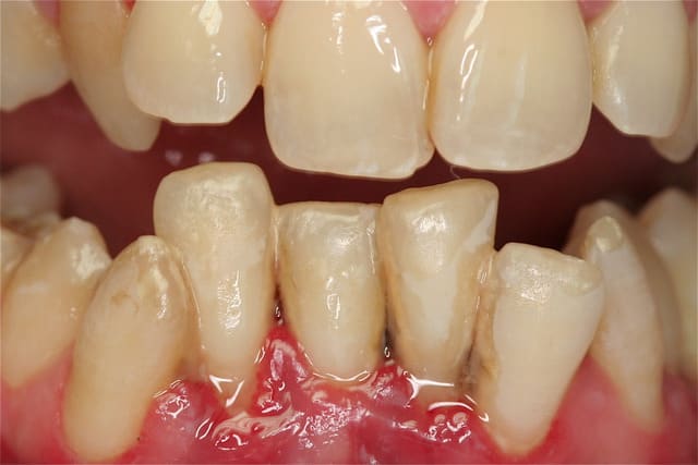
je peux vous soumettre quelques clichés, je crois intéressants ...j'ai investit dans du matériel photo pour vous séduire, acheté des habits sérieux...
toujours aucune extractions depuis 8 ans, sur des cas de paro nommé irréparable par les plus grands parodontistes de France et de suisse! LOL
lus de 250 cas extrêmes et difficiles traités prouvent que nous sommes bien en présence d'une blessure souillée et qu'il suffit de la traiter comme toute blessure souillée.
que les écrits que je lis confondent tous la "maladie" avec l'"inflammation", une inflammation n'est en aucun cas une maladie, mais sur un point de vue biologique , un remède, et la seule solution pour diminuer l'inflammation est de supprimer la cause. et non de lutter contre l'inflammation, ce qui va à l'encontre de l'organisme.
contrairement à ce qui a été dit dans les derniers débats , je n'ai jamais dit qu'il suffisait de traiter l'impact du choc émotionnel , pour régler le problème, je dis et je maintient (demandez à vos patients, effacez vous un peu!) que lors d'un choc émotionnel il y a une baisse d'immunité , donc de défense , dès lors des bactéries arrivent à pénétrer cet espace biologique au delà de ce" joint"qui entoure la racine...dès lors il va falloir lutter contre les bactéries qui se sont installées sur la racine, mais aussi sur l'os et la face interne de la gencive, et cela je le répète sans incision ni suture, sinon cela ne peut pas marcher! et il y a beaucoup de raisons à celà!
bonne soirée à tous!

Img 5001 gisks6 - Eugenol
Img 4997 bpyqkz - Eugenol
Img 4504 lig5nt - Eugenol
Img 5943 g2xslm - Eugenol
Img 4460 gdmy13 - Eugenol
Img 4508 za0y4n - Eugenol

Grueavatar nptrc9 - Eugenol
Le Choixpeau magique

30/03/2011 à 23h08

Ouais, sauf qu'en paro on sait que la réponse immunitaire, c'est aussi le problème, mais pas parce qu'il n'y en a pas assez !


pelé

30/03/2011 à 23h10

ouais peux tu développer?


Avatar ow44t3 - Eugenol
Chicot

30/03/2011 à 23h51

il ne te reste plus qu'à apprendre à faire de jolies et bonnes photos !

ton discours semble moins dogmatique après un an, sans doute l'expérience. Ton approche deviens plus "charon" ou "bonner"

continue, tu es sur la bonne voie


ps: les contentions sur les I inf, c'est plus cool en linguale non ?

--
;O)


pelé

31/03/2011 à 00h03

la méthode BOST si tu as suivi n'a absolument rien à voir avec celle de jacques Charon, mais cela ne fait rien je suis patient , je suis sûr qu'un jour 2 neurones vont se connecter et que tu comprendras...
quant aux contentions cela dépend des cas par moment elles sont établies en lingaual et à d'autres mmonents elles le sont en vestibulaires...en fait c'est pas fait exactement pour te plaire, mais cela a un but thérapeutique!
bonne soirée à toi


Avatar 46 aoi1yc - Eugenol
HononLulu

31/03/2011 à 00h03

Pelé ce que tu annonces, je l'ai déjà entendu en 2003 avec Charon. Et je suis pas un précurseur .......
C'est bien, apprends à te servir de ton APN, on est exigeants ici ;-)))


pelé

31/03/2011 à 00h13

exigeants en quoi peux tu me dire? pseudonyme?
pas en paro quand même !


pelé

31/03/2011 à 00h27

peux tu me donner les points qui se rapprochent entre méthode BOST et méthode Charon?


Smile beach jgh0a1 - Eugenol
Céramik

31/03/2011 à 00h52

pelé écrivait:
--------------
j'ai investit
> dans du matériel photo pour vous séduire,


Va faloir prendre un cours ou deux, pour nous monter la rigueur de ton approche et de tes résultats.
C'est sympa, mais pour l'instant, cela reste un cas isolé

Montre nous des cas bien présentés (radio, rétro, sondage, photo de qualité)

Décrie aussi ta technique...

Merci





--
Céramik


Marque a3 orange fyvhyq - Eugenol
Marc Apap

31/03/2011 à 00h58

Céramik écrivait:
-----------------

> Décrie aussi ta technique...


Lapsus révélateur : lui, il décrit, toi, tu décries.


Avatar 46 aoi1yc - Eugenol
HononLulu

31/03/2011 à 01h20

pelé écrivait:
--------------
> peux tu me donner les points qui se rapprochent entre méthode BOST et méthode
> Charon?

Oui ton discours précédent :
", mais sur un point de vue biologique , un remède, et la seule solution pour diminuer l'inflammation est de supprimer la cause. et non de lutter contre l'inflammation, ce qui va à l'encontre de l'organisme.
contrairement à ce qui a été dit dans les derniers débats , je n'ai jamais dit qu'il suffisait de traiter l'impact du choc émotionnel , pour régler le problème, je dis et je maintient (demandez à vos patients, effacez vous un peu!) que lors d'un choc émotionnel il y a une baisse d'immunité , donc de défense , dès lors des bactéries arrivent à pénétrer cet espace biologique au delà de ce" joint"qui entoure la racine...dès lors il va falloir lutter contre les bactéries qui se sont installées sur la racine, mais aussi sur l'os et la face interne de la gencive, et cela je le répète sans incision ni suture, sinon cela ne peut pas marcher! et il y a beaucoup de raisons à celà! "

Charon parle plutôt d'infection que d'inflammation et explique longuement la fabrication de cortisol par les surrénales lors d'un stress aigu.
Cette hormone muselant les réactions de défense inflammatoire de l'organisme, on se retrouve avec des défenses amoindries donc la baisse d'immunité dont tu parles.

Tes propos ne me dérangent nullement et sont incontournables à mon sens.
Ce qui me dérange c'est ton discours décalé, comme si tu avais à affronter des cohortes de confrères attardés pour faire éclater une vérité que plus personne n'ignore.


pelé

31/03/2011 à 11h15

ok, merci pour ta réponse non agressive , ni ironique, et peut être enfin constructive pour le débat, mais tous n'ont pas répondu sur ce ton "amical"; on peut être divergent sans être désagréable, surtout sous couvert d'un pseudo!
donc Charon parle de l'effet du stress et explique le fonctionnement "grâce" au cortisomol, pour moi c'est cela l"accident" ou la "maladie", à partir de là, le "joint étanche" qui cercle la dent, est fissuré, les bactéries anaérobies profitent de cette brêche, et entre plus profondément, dans cet espace biologique, et déclenche la réaction inflammatoire, qui si on la laisse faire,se finira bel et bien par la paerte de la dent et...la fin de la réaction inflammatoire, et la fermeture de la "brêche", de la blessure initiale.
donc ce qui me différencie de Jacques Charon et des aures , c'est que je ne parle plus en voyant le tableau clinique, saignements , gencive oedématiée, douleur, et gène fonctionnelle,(tous les signes d'une inflammation!), de "maladie" parodontale, mais bel et bien de "réparation" , cicatrisation, "voulue", dirigée et orchestrée, d'un point de vue biologique, car le corps n'a pas les moyens de se débarrasser des bactéries et autres corps étrangers, tartre notamment, installés sur la longueur de la racine, mais il a les moyens, et d'ailleurs l'article concernant l'inflammation, dans le numéro de Janvier de l'information dentaire, dossier "maladie parodontale" , le dit bien , que lors de l'inlammation, l'os est détruit! mais ce n'est pas une maladie, c'est un remède!
bien entendu il y a à la fin perte des dents, mais il y a surtout protection des organes vitaux, par fermeture d'une blessure.
dans cet article on nous ressert les détartrages, et bien entendu les détartreurs,mais je pense que le détartrage, est certainement l'acte le plus couramment pratiqués dans les cabinets dentaires, et pourtant 80% de la population est atteinte de problèmes parodontaux! alors qu'elle est l'efficacité préventive de ces actes?
ne pas confondre peut être efficacité des détartreurs et efficacité des détartrages, et peut être dangerosité des détartrages? pouvant créer et entretenir des micro blessures?
va savoir?!


pelé

31/03/2011 à 11h18

la technique a été décrite maintes et maintes fois , ouvre les yeux et les oreilles autrement, il y a déjà des dentistes en formation...


paradoxe

31/03/2011 à 11h55

pelé écrivait:
--------------
> je suis sûr qu'un jour 2
> neurones vont se connecter et que tu comprendras...
Je suis ébahi.

Il y a quand même un truc qui m'embête.
Ici, dans la région, nous avons un praticien qui fait du 'bost'.
Nous suivons des patients qui ont fuit sa boutique.
Ce praticien voulait leur faire un traitement bost à 3500 euros la séance.
Ils n'ont aucun problème paro.
Cool, traitement facile et sur de réussir.
"Vous allez perdre vos dents si je ne vous soigne pas" qu'il faut dire.
Je veux bien apprendre cette méthode qui a l'air financièrement bien intéressante, mais je me demande si je ne recevrais pas quelques courriers d'avocats de temps à autre.
Le Conseil d l'Ordre ne me dira rien ?
Tu n'as jamais été embêté ?



Fouilla h6plsy - Eugenol
fouilla

31/03/2011 à 14h38

paradoxe écrivait:
------------------
> pelé écrivait:
> --------------
> > je suis sûr qu'un jour 2
> > neurones vont se connecter et que tu comprendras...
> Je suis ébahi.
>
> Il y a quand même un truc qui m'embête.
> Ici, dans la région, nous avons un praticien qui fait du 'bost'.
> Nous suivons des patients qui ont fuit sa boutique.
> Ce praticien voulait leur faire un traitement bost à 3500 euros la séance.
> Ils n'ont aucun problème paro.
> Cool, traitement facile et sur de réussir.
> "Vous allez perdre vos dents si je ne vous soigne pas" qu'il faut dire.
> Je veux bien apprendre cette méthode qui a l'air financièrement bien
> intéressante, mais je me demande si je ne recevrais pas quelques courriers
> d'avocats de temps à autre.
> Le Conseil d l'Ordre ne me dira rien ?
> Tu n'as jamais été embêté ?
>
>
oui mais il faut bien te dire qu'avec le choc émotionnel du devis la paro agressive ne saurait tarder :-)

--
.


Smile beach jgh0a1 - Eugenol
Céramik

31/03/2011 à 15h05

pelé écrivait:
--------------
> ok, merci pour ta réponse non agressive , ni ironique, et peut être enfin
> constructive pour le débat, mais tous n'ont pas répondu sur ce ton "amical"



et je te cite,

"je suis sûr qu'un jour 2
neurones vont se connecter et que tu comprendras "

"la technique a été décrite maintes et maintes fois , ouvre les yeux et les oreilles autrement, il y a déjà des dentistes en formation..."

Belle réponse évasive et amicale ...
En fait, plus on te lit, plus on se lasse de ton truc



--
Céramik


Gaudi parc guell lezard  ntokms - Eugenol
lezard

31/03/2011 à 15h28

HonoLulu écrivait:

Charon parle plutôt d'infection que d'inflammation et explique longuement la fabrication de cortisol par les surrénales lors d'un stress aigu.

pelé répondait:

> donc Charon parle de l'effet du stress et explique le fonctionnement "grâce" au
> cortisomol,

Je crois effectivement que tu ne parles pas de la même chose...tout et dit


Rorschachwhite tx6rqr - Eugenol
Candide Candida

31/03/2011 à 15h55

fouilla écrivait:
-----------------

> >
> oui mais il faut bien te dire qu'avec le choc émotionnel du devis la paro
> agressive ne saurait tarder :-)
>


Trés bon :-))

CC.


Avatar 46 aoi1yc - Eugenol
HononLulu

31/03/2011 à 16h39

pelé écrivait:
--------------

> donc Charon parle de l'effet du stress et explique le fonctionnement "grâce" au
> cortisomol,

NON, NON j'ai pas parlé du Cortisomol !
;-))))))))))


pelé

31/03/2011 à 18h10

bonjour, tu livres quelques choses de très intéressant , en FRANCE, nous ne sommes que deux praticiens formés par william hoisington,et accrédités par un diplôme qu'il nous a délivré.
les autres petits rigolos qui se livrent à de telles pratiques sont des escrocs, j'ai d'ailleurs la preuve que mon ex associé, que j'ai quitté pour ce type de comportement peu scrupuleux, et qui a écopé d'une interdiction d'exercer, à établit un devis pour pratiquer la méthode BOST alors qu'il n'a pas été formé, nous avions à l'époque demandé à notre fournisseur de trousses d'hygiène de ne vendre ces trousses qu'a mon confrère formé et moi...apparemment il ne le fait pas ou ces escrocs se passent du passage de l'aéro alors qu'il est l'intelligence de la méthode...
dans quelle région te trouves tu?
je dis cela très fermenent, car justement cette méthode géniale, à du mal à être connue, et non reconnue, car elle ne génère aucune industrie, donc très peu de choses à vendre!
donc nous ne voulons pas que des gens peu scrupuleux et non formés , face n'importe quoi, ce qui va desservir la méthode.
pour ma part j'ai des résultats constants et 8 ans de recul.
Si tu es formé correctement à cette méthode je ne vois pas pourquoi tu aurais des problèmes avec le conseil de l'ordre; pour ma part le président du conseil de l'ordre ne me pose pas de problème, et je n'ai à ce jour aucun patient qui conteste les résultats , bien au contraire.


pelé

31/03/2011 à 18h14

oui bon !
céramik je n'ai pas besoin non plus de toi dans ma vie, rassure toi et n'intervient plus soit logique et bonne route!


Grueavatar nptrc9 - Eugenol
Le Choixpeau magique

31/03/2011 à 18h55

pelé écrivait:
--------------
> je dis cela très fermenent, car justement cette méthode géniale, à du mal à être
> connue, et non reconnue, car elle ne génère aucune industrie, donc très peu de
> choses à vendre!

A part juste les formations.... C'est combien déjà, 60 000 euros ?


200106 10150128247663588 709988587 6466236 5598391 n d7mksb - Eugenol
hallboy

31/03/2011 à 19h07

20 fois le prix de charon qui genere exactement le meme volume industriel.........




levm

31/03/2011 à 19h08

Aprés la pierre tombale qui transforme les cailloux en or... voici Pelé , qui transforme DC16 en HN...

Visiblement si ta méthode ne rencontre pas le succès qu'elle mérite , c'est qu'elle ne repose sur aucune démarche scientifique .
Les photos que tu montres ne donnent aucun renseignement quand à la guérison du parodonte (Ah oui , pardon ce n'est pas une maladie ).
Garder les dents en bouche et mettre une contention , tout le monde sait faire. Tu ne soignes pas mais tu rafistoles.
Si tu comptes "vendre ta technique " , soit moins agressif avec les autres praticiens et deviens plus rigoureux.


Fouilla h6plsy - Eugenol
fouilla

31/03/2011 à 20h08

pelé écrivait:
--------------
william hoisington,et accrédités par un
> diplôme qu'il nous a délivré.

il est certain que le commun des dentistes aura besoin de crédit pour un tel DIPLOME.

> les autres petits rigolos qui se livrent à de telles pratiques sont des escrocs,
pas gentil gentil ça

> pas ou ces escrocs se passent du passage de l'aéro alors qu'il est l'intelligence de la méthode...

la tu vulgarises fais attention mais tu te rattrapes avec "intelligence" bien très bien

> je dis cela très fermenent,
ou mais elle s'énerve la grande....


> donc nous ne voulons pas que des gens peu scrupuleux
> pour ma part j'ai des résultats constants et 8 ans de recul.




et je n'ai à ce jour aucun patient qui conteste les résultats , bien au contraire.
les patients lambdas sont davantage attentifs à l'aspect hotelier des pratiques : image du cabinet termes employés pour la technique qu'aux résultats proprement dits .

tu leur expliques forcément que tu vas conserver les dents en faisant contention et utiliser l'intelligence de l'aéro mais que leurs dents ne ressembleront jamais à ce qu'elles étaient avant...mais que néanmoins les ratounes seront toujours en bouche

en cela ils ne sont pas déçus donc tu as des résultats mais lesquels ?

socialement j'imagine bien l'aisance de certains patients que tu as eu "l'intelligence" de nous montrer.

reprends les posts du bani ceramik et lorsqu'il nous mets ses photos elles font envie non par leur qualité(bien que j'en rêve) mais par l'habileté du technicien et son "intelligence" réelle dans l'élaboration du tt

tes contentions sont dégueulasses même sur des photos de mauvaise qualité peu importe qu'elles soient linguales ou vestibulaires c'est un rail de composite point barre !
mais il est vrai que ce n'est pas l'intelligence de la méthode


allez va tu peux m'exclure de ce post jusqu'à la millième génération

putain mais que fait la police ????




--
.


12...

Ce sujet est verrouillé

Les réponses à ce sujet sont désactivées