Cookie Consent byPrivacyPolicies.comtraitement BOST - Eugenol

traitement BOST

Img 8465 fqhxid - Eugenol
noahaxeltiger-olivier

08/04/2011 à 00h24

Après lecture de ce post et quelques fous rires, il y a pas à dire, le B.O.S.T. c'est vraiment pas de l'evidence based dentistry !

A lire le C.V. de William Hoisington (R.I.P.), qui se présentait comme praticien, inventeur, chercheur et enseignant en parodontologie durant 30 ans environ ainsi que fondateur du concept "Aerobic Periodontics", il est plus que surprenant que PubMed ne ressence aucun article à ce sujet. Après 30 ans de labeur en recherche, le seul article publié par W Hoisington est une revue de litterature intulée: "Concepts of initial periodontal disease control: a review of the literature (1976-1979)" publiée dans Florida Dental Journal en 1979 (Winter;50(4):18-20).


Curieux de nature j'ai tenu à en savoir plus sur cet homme et trouvé sur internet une conférence mise en ligne le 31 mars 2010. On comprend dès lors d'où vient le discours que Pelé nous a soumis ces derniers jours: beaucoup de phrases, beaucoup de postulats basés sur .... du vent.

Tout comme son disciple, le gourou de l'"Aerobic Peridontics" ayant soigné avec succès plus de 2500 patients ne peut malheureusement présenter lors de sa conférence que des cases report dont la validité est plus qu'incertaine. Là encore on comprend que les preuves cliniques sont très très fragiles.
Le "strecht flap" ou "lambeau elastique" qui est présenté comme la découverte et innovation de ce concept Seattle-nicois n'est rien d'autre que le "closed curettage" décrit par Ramfjord à la fin des années 70. Moi qui m'attendais à un truc unique ... décu !

En ce qui concerne les preuves biologiques, plutôt que de motiver ses affirmations par des coupes histologiques, notre cher conférencier présentait des illustrations aquarelles (certainement réalisées par sa femme artiste) censée représenter la colonisation de la surface radiculaire par des cellules souches ?!?!. Bizarre de ne disposer d'aucune coupes histologiques pour une personne ayant fait de la recherche en parodontologie pendant plus de 25 ans. Pas très sérieux tout ca ...

Bref, je suis resté sur ma faim (de savoir et comprendre). Tout comme après ce post de Pelé d'ailleurs.


Olivier

Illustration hoisington 1 pcn3xj - Eugenol
Illustration hoisington 2 oz8hrh - Eugenol
Illustration hoisington 3 qpifib - Eugenol

pelé

08/04/2011 à 00h24

ce fut un bon moment , j 'ai aussi la chanteuse du groupe "manitu" c'est elle qui signe le témoignage manalia sur mon site! classe non? LOL


Salamandre

08/04/2011 à 03h06

Arrête Olivier!!! Il te jure que ça marche! Si ça ne te suffit pas, c'est que t'es difficile!
Une radio à trois moi, pas de contrôle derrière: c'est donc que ça marche.
De toute façon ça marche: les patients sont contents. C'est comme l'homéo et la dentisterie holistique, t'auras toujours des patients contents et persuadés que ca marche. Il suffit de taper dentisterie holistique sur internet pour avoir un paquet de témoignages. D'ailleurs le fluor c'est dangereux aussi: il y a plein de patients qui le disent sur le site fluor danger.
Bref, c'est donc que la technique fonctionne. CQFD.


Si ca ne marchait pas les patients reviendraient payer 3000 E c'est certains pour refaire de l'aerobic. C'est évident!
Ou alors ca marche pas (ou peu) et les patients ne reviennent pas, parce que c'est cher et ils sont déçus. En fait on le saura jamais.




pelé

08/04/2011 à 11h20

olivier et salamandre, bonjour je ne connais pas par coeur le pâssé lointain de william hoisington , je le connais jusqu'a-à il y a 8 ans et je sais qu'il était en relation étroite avec la faculté de médecine de Nice, il me parlait souvent que l'idéal serait d'avoir effectivement des coupes histologiques, mais tout seul , quand tu ne maitrise pas les budget de "recherche", que l'argent public, va direct au universités et autres organismes il te faut des mécènes...
ton discours me fait penser à un certain qui dit qu'à 50 ballets si tu n'as pas de ROLLEX tu as râté ta vie!
pour ma part si vous pouvez retenir un peu de cet argent public pour m'aider à prouver l'efficacité de la méthode, plutôt que , sans énergie, sans dépense , sans avoir testé vous même, sans avoir suivi un cas que vous aurez choisi, vous faites exactement ce qu'on fait les confrères américains de william.
aidez moi, ce serait plus intelligent plutôt que de casser sans savoir, pas très scientifique comme raisonnement ...


Fresh watermelon 640x562 udulqz - Eugenol
gulguch

08/04/2011 à 12h01

De toute façon si le patient se met à l'entretien, n'importe quelle méthode fonctionne. Alors pourquoi pas Bost, ou Charon, ou Bonner si c'est une voie pour le persuader, ce patient.


Fresh watermelon 640x562 udulqz - Eugenol
gulguch

08/04/2011 à 12h02

Et aussi, Rolex, un L.


pelé

08/04/2011 à 13h34

désolé je dois confondre avec solex!


Bazaruto 2007 ircsez - Eugenol
jumpingjackflash

08/04/2011 à 13h40

comment fait-on de la paro dans un pays ou les hygièniste sont interdites?????

--
bluesky


Icon poker h4nm2d - Eugenol
jeff

08/04/2011 à 14h32

salut,

je pense que c'est toi qui a écrit une série de 2 articles dans le fil dentaire il y a quelques temps.

l'idée comme quoi le probleme paro qui abouti à la perte de la dents est en fait le moyen pour l'organisme de traiter le problème de l'infection n'est pas inintéressante , pourquoi pas.

J'avais personnelement retenu le concept de l'immobilité nécessaire à la cicatrisation ( l'exemple d'un plâtre après fracture pour permettre a l'os de se reconstruire est parlante ). Il y a la une vrai différence avec Charon, qui , je crois, ne préconise par de contention.

Je ne fait donc plus de comblement paro sur une dent un peu mobile sans avoir fait une contention, provisoire, le temps de la cicatrisation.

Ce qui m'avais surtout interpellé, c'était le lambeau élastique : pas d'incision ni suture, même pour une sagesse incluse : alors là : j'aimerai bien voir une vidéo...


Tozzi

08/04/2011 à 14h33

Pelé tu fais de longues phrases mais concrètement tu ne montres rien du tout. Pas un seul exemple avant et après traitement.
Comme les dentistes qui font de l'endo au Dakin, pas de nouvelles bonne nouvelle, pas d'échec çà marche.
Je ne sais pas pourquoi le syndrome de l'auto-persuasion est si forte dans notre métier.


Img 8465 fqhxid - Eugenol
noahaxeltiger-olivier

08/04/2011 à 23h28

pelé écrivait:
--------------
> ..... il me parlait souvent que l'idéal serait d'avoir effectivement des coupes histologiques, mais
> tout seul , quand tu ne maitrise pas les budget de "recherche", que l'argent public,
> va direct au universités et autres organismes il te faut des mécènes...

Assez effrayante ta réponse, même si totalement attendue, quand une grande partie de votre argumentation est basée sur un processus de régénération avec intervention de cellules souches que vous n'avez même pas pû observer puisqu'aucune analyse histologique n'a été faite !!!!
CQFD


pelé

09/04/2011 à 00h42

bonsoir je pense que tu es de mauvaise foie, j'ai un ordi remplit de photos , mais chaque fois que j'en sorts une ou deux il y en a un pour dire qu'elle sont floues! bon je ne suis pas photographe, sur ce domaine mon assistant et moi faisons tout notre possible, depuis vos critique je me suis équipé chez photo médicale, d'un objectif 100 mmet un flash annulaire...
ce n'est pas parce que les photos sont pas pro que la technique ne marche pas et ce n'est pas parce que je n'ai pas de photos de coupe histo que les résultats ne sont pas là...je ne me vois pas régler un cas de paro, et dire à mon patient attendez celle là je vais réaliser un bloc section pour la montrer à mes copains!
ce que je cherche avant tout c'est régler les problèmes paro de mes patients , et non de convaincre en priorité Monsieur Salamandre...je ne suis pas chercheur, je suis simple thérapeute qui a testé durant 8 ans une technique qui marche et qui guérit en une seule séance des cas que d'autres n'arrivent juste à stabiliser...qu'on se le dise une bonne fois pour toute .
j'invite qui veut bien tester à venir suivre un cas , ou je me déplacerais pour faire un cas de votre choix chez vous.


pelé

09/04/2011 à 01h23

Ah oui je sais on dit pas foie mais foi...! MILLE excuses! c'est la fin de la semaine.
pour répondre a certains , je pourrais dire que si on prend la personne la moins instruite de notre pays le mec qui aurait tout arrêter dès 6 ans ! il voit quelqu'un qui passe devant lui,en marchant, il pourra dire que cette personne marche, si la personne se met à accélérer jusqu'à courir, l'"idiot" pourra dire que cette personne court, même s'il n'a aucune idée de ce qu'il se passe entre la marche et la course, d'un point de vue biologique.

De plus pour les personnes comme mes confrères qui n'ont pas l'air d'avoir tout arrêté , j'aimerais rappeler que s'ils ont bien suivi ce que j'ai dit sur la méthode BOST, et ce que je pense sur le processus qui préside biologiquement à la chute d'une dent, ils ont du comprendre que les différences avec les autres visions et méthodes d'intervention, sont :
- d'une part que je considère la perte de la dent comme un processus de cicatrisation et non du fait d'une maladie.
- ensuite c'est que comme la gencive n'est plus adhérante à la racine, nous pouvons donc entrée dans l'espace biologique et grâce au lambeau élastique pénétrer jusqu'à l'os et nettoyer les 3 tissus dans une seule séance, en aveugle...je ne vois pas pourquoi il faudrait réaliser des coupes histologiques, quand les tissus se rattachent à la racine et que l'on ne peut plus pénétrer l'espace biologique...c'est guérit, surtout si le patient ne ressent plus les signes subjectifs qu'il ressentait , ni que l'on retrouve les signes objectifs...
"c'est le malade depuis sa souffrance qui sait qu'il est malade, et non le médecin depuis son savoir" georges Canguilhem philosophe...

Imagine que tu tombes sur un genou et que tu te fasses une plaie, tu vas voir un médecin, il constate cette plaie, il te prodigue quelques soins, puis tu le revois trois semaines plus tard et alors le médecin vérifie la fermeture de la plaie et l'absence de tout signes de blessure et tu le rassures que tu vas bien , plus de saignements , ni douleur, tu lui souris... crois tu qu'il va te demander s'il peut faire un prélèvement pour réaliser une coupe histologique?...soyez sérieux , vous n'êtes pas si importants que cela , vous êtes des dentistes et cette zone, que les médecins vous ont abandonnée, n'est pas si extraordinaire que ça... elle obéit aux même lois biologiques, non?
dans le numéro de janvier de l'info dentaire, on a fait intervenir un confrère "intelligent" qui a étudié l'"inflammation" (autrement dit la maladie!), et il dit bien que le processus inflammatoire entrainait une perte osseuse...! je n'en demandait pas tant, c'est ce que je dit depuis 2 ans !, l'organisme ne sait pas enlever les bactéries sur la racine , ni le tartre, par contre il sait enlever de l'os et comme il ne peut pas refermer la blessure avec ces corps étranger , il élimine purement et simplement la dent et ainsi plus d'inflammation, (donc plus de maladie!) en tout cas plus de dent!

pour ma part je ne me sens pas au dessus des autres, je me sens parfois seul , mais je n'ai pas l'impression d'être, un surhomme de par mon métier...
nous sommes face à une plaie souillée et il faut la traiter comme une plaie souillée...le bâtonnet fait le reste.
je réalise toutes mes dents de sagesses incluses sans inciser plus loin que la face distale de la 7, et je n'ai jamais réalisée une seule suture de ma vie de dentiste, et je ne suis pas prêt d'en réaliser une! et cela fait plus de 25 ans que cela dure...
bonne nuit à tous


pelé

09/04/2011 à 01h32

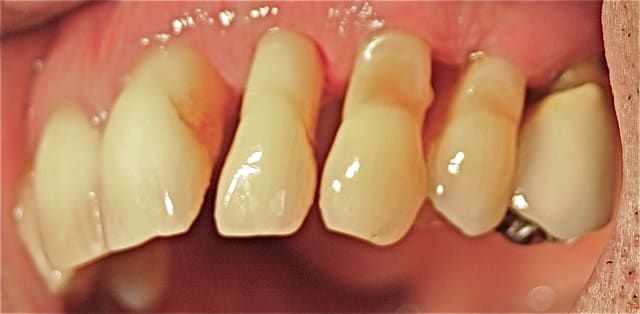
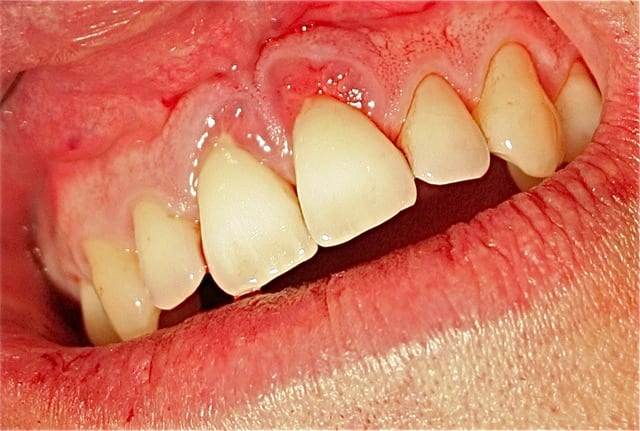
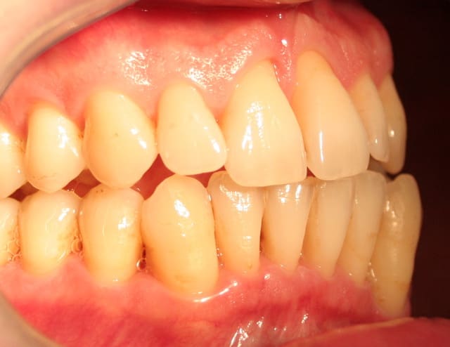
première et deuxième photos 2 ans après traitement.
troisième photo,quatrième (photo âge 33 ans) 1an après traitement

Img 3616 nthzqm - Eugenol
Img 3613 co2kd2 - Eugenol
Img 4460 ye5fdk - Eugenol
Img 4506 crlvuj - Eugenol

Images qct94b - Eugenol
themumbly

09/04/2011 à 09h36

fabuleux
ça fait même repousser les molaires


Blason dql7mj - Eugenol
growler

09/04/2011 à 11h09

pelé: "je suis venu, naÏf, sur ce site..."

pas si naïf que ça à mon avis.
Sa seule preuve scientifique c'est le fait de soigner le mec de Deep Purple et des médecins



en revanche, l'idée d'une croisière stage paro sur un maxi yacht me séduit assez. http://www.calameo.com/read/00013242324a7b1eba5f7
faut que je demande à olivier Noahaxeltiger si ça le tente que j'organise ça.


Images qct94b - Eugenol
themumbly

09/04/2011 à 11h13

en plus le mec de deep purple il doit pas avoir que des problemes paro


Tozzi

09/04/2011 à 11h14

Sympa les photos qui ne montrent pas le même cas.
Là effectivement dans l'escroquerie il n'y a pas mieux.
60.000 euros pour 7 jours de formation aussi çà met bien les choses au clair. C'est sur un bateau pour que personne ne puisse partir c'est çà.
Tu recrutes pour ta secte pelé ?


ameli

09/04/2011 à 17h32

pelé écrivait:
--------------

> pour ma part je ne me sens pas au dessus des autres, je me sens parfois seul ,
> mais je n'ai pas l'impression d'être, un surhomme de par mon métier...

Tous les grands hommes passent par des moments de solitude. C'est normal, leur perfection les rend quelquefois inaccessibles.
Cependant, rassure-toi.
Je pense que La critique de la raison pure, de Kant, ton prédécesseur qui a traité le même sujet, est plus pertinente que la tienne.


Fresh watermelon 640x562 udulqz - Eugenol
gulguch

09/04/2011 à 23h19

themumbly écrivait:
-------------------
> en plus le mec de deep purple il doit pas avoir que des problemes paro

La croisière paro avec Deep Purple ça s'appelle Smoke on the Water?


200106 10150128247663588 709988587 6466236 5598391 n d7mksb - Eugenol
hallboy

10/04/2011 à 02h38

Formation sur le lac de Genève? :Chouette!!2 miracles por le prix d' e. Un Va y avoir FRanck ZAppa and the mothers


pelé

10/04/2011 à 10h44

comment ça des photos qui ne montrent pas le même cas?


Marque a3 orange fyvhyq - Eugenol
Marc Apap

10/04/2011 à 11h28

pelé écrivait:
--------------
> comment ça des photos qui ne montrent pas le même cas?

Ta méthode est aussi capable de faire repousser les dents ?
Ah, non, je vois en lisant mieux que ce qui est avant est après en fait. Donc, la méthode permet de perdre des dents ? Je n'y comprends plus rien du tout à ta méthode !

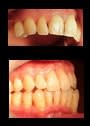
Bost pym2xt - Eugenol

Tozzi

10/04/2011 à 12h53

Ah pelé, tu as une crédibilité proche de 0.
C'est même à se demander si tu le fais exprès de nous prendre pour des imbéciles.
Regarde juste la position du bord libre de la 12 par rapport à celui de la 11 sur tes photos.
Tu devrais être gourou.


paradoxe

10/04/2011 à 13h33

Ce qui m'intéresserais énormément, c'est de voir les photos du soit disant travail fait sur les dents du mec de DEEP PURPLE et de Mme Thérésa HALE.


Ce sujet est verrouillé

Les réponses à ce sujet sont désactivées