Cookie Consent byPrivacyPolicies.comCas du jour - Eugenol

Cas du jour

Smile beach jgh0a1 - Eugenol
Céramik

02/04/2011 à 04h28

Mon 1er amalgame depuis 1995...
ah le bon vieux temps

--
Céramik

16 wvjxgi - Eugenol

Bebe 038 nf8eum - Eugenol
danteyeah

02/04/2011 à 05h38

Joli! On dirait du RODIN. Sinon cliniquement pourquoi une telle indication? Une envie subite, comme cela pourrait ce passer en revoyant une ex d'il y a 20 ans?


Blason dql7mj - Eugenol
growler

02/04/2011 à 09h16

la photo a été prise avec le Nikon ster-x ?


Avatar hjdsnm - Eugenol
TiGabi

02/04/2011 à 11h11

growler écrivait:
-----------------
> la photo a été prise avec le Nikon ster-x ?

Il faut préciser qu'avec le décalage horaire, c'est encore vendredi pour Céramik :)


Tozzi

02/04/2011 à 16h01

Pourquoi un tel choix ?
Quelles limites cervicales ?
Comment as-tu géré l'anatomie pour ne pas que çà gêne en occlusion ?


Smile beach jgh0a1 - Eugenol
Céramik

02/04/2011 à 16h04

growler écrivait:
-----------------
> la photo a été prise avec le Nikon ster-x ?


non, Canon digi-clave XT

;-)

--
Céramik


Smile beach jgh0a1 - Eugenol
Céramik

02/04/2011 à 16h33

Tozzi écrivait:
---------------
> Pourquoi un tel choix ?

Parce que le Hg, c'est miam miam

> Quelles limites cervicales ?

Autour de la dent

> Comment as-tu géré l'anatomie pour ne pas que çà gêne en occlusion ?

J'ai enlevé l'antagoniste !


;-)

--
Céramik


flicflac

02/04/2011 à 18h06

Examen de morphologie dentaire. J'espère que le patient est jeune. Seule inconvénient: Doc, quand je passe ma langue sur la dent, j'ai l»'impression d'être au-dessus des Pyrénées
loll


Ico v for vendetta08 jzhpep - Eugenol
Ratinox

02/04/2011 à 22h14

Joli-joli, bravo !

Tes instruments de prédilection pour la sculpture et le polissage ?


Smile beach jgh0a1 - Eugenol
Céramik

02/04/2011 à 23h24

Ratinox écrivait:
-----------------
> Joli-joli, bravo !
>
> Tes instruments de prédilection pour la sculpture et le polissage ?


http://go.webmarchand.com/nav/wm_pt_fr.php?id_mag=28028171&idx=5060200&idlg=2802817112497&id_rech=3891119108178251100&org=&ms=outil+de+gravure&lang=fr&tag=&idbp=&vars=tc%3Ap&partner=&campagne=&type_r=1&gov2=1&slkw=


--
Céramik


flicflac

03/04/2011 à 03h47

Ces intruments font partis de nos kit étudiants
;-)
céramik, t'es vraiment un champion, à quand la carrière d'enseignant?


Amibien

03/04/2011 à 14h00

Celui sur la 5 ? Et tu es fier ?





Céramik écrivait:
-----------------
> Mon 1er amalgame depuis 1995...
> ah le bon vieux temps
>
> --
> Céramik


--
Petit Prince


RépondreCiter
Smile beach jgh0a1 - Eugenol
Céramik

03/04/2011 à 15h39

Amibien écrivait:
-----------------
> Celui sur la 5 ? Et tu es fier ?
>
pffft, celui sur la 7
(la note sur la photo 16...)


ton signe astro, c'est poisson ?
;-)

--
Céramik


marcus

03/04/2011 à 22h46

Céramik écrivait:
-----------------
> Amibien écrivait:

> ton signe astro, c'est poisson ?


Non c'est poison !
Que pensent les ligues anti amalgame dans ton pays ? il est vrai qu'aprés le japon il va y avoir des combats qu'il ne va plus falloir mener !

Sinon c'est bien de temps en temps de se faire plaisir ,mais comme je suis aussi "charogne " que les autres , tant qu'à faire , quid des dents adjacentes ?


Smile beach jgh0a1 - Eugenol
Céramik

04/04/2011 à 00h55

Pour terminer ce fil...du 1 er Avril...

Je n'ai jamais fais depuis 1995, et ne ferai jamais d'amalgame...

Viva Céramika !

--
Céramik


flicflac

04/04/2011 à 05h47

moi qui pensait que tu avais un talent fou en morphologie dentaire... en passant le post a débuté un jour trop tard


Smile beach jgh0a1 - Eugenol
Céramik

04/04/2011 à 06h34

TiGabi écrivait:
----------------
>
> Il faut préciser qu'avec le décalage horaire, c'est encore vendredi pour Céramik
> :)

--------------------------------
flicflac

tu connais pas le décalage horaire ?
LOL !
;-)

--
Céramik


flicflac

05/04/2011 à 00h28

oui, oui il faut penser européen quand on post sur eugenol,pour eux c'était une journée trop tard.... je crois que je pense trop décolage horaire
l'erreur typographique est voulu
salut les cousins


Smile beach jgh0a1 - Eugenol
Céramik

05/04/2011 à 04h36

Nice !


--
Céramik

Amalgame corrosion h8yde1 - Eugenol

Bebe 038 nf8eum - Eugenol
danteyeah

05/04/2011 à 10h42

Céramik écrivait:
-----------------
> Nice !

Eh eh, il y en a aussi à Cannes, Marseille et même partout en France des bricolos comme ça, et c'est tous les jours. Si tu veux faire un safari photo de ce genre de petites bêtes, viens ici, la France est un véritable parc national pour ces "spécimens".


Ico v for vendetta08 jzhpep - Eugenol
Ratinox

05/04/2011 à 11h17

Ce ne serait pas ton dernier amalgame, Céramik ? avant que tu ne te convainques d'opter définitivement pour la céram'.

Car là je reconnais de l'art moderne typiquement français genre César.

Enfin au tarif Sécu, cela reste d'un rapport qualité-prix acceptable.

Hier obturation gutta chaude verticale (sans digue les puristes, vous pouvez me taper dessus) 60 et quelques euros pour deux canaux, et encore en passant un coup d'US en faire-valoir sur Cmuiste.

Ou comment faire de la qualité en étant bien payé. Y a pas à dire, il a raison Kouchnerf, on est vraiment des cochons trop grassement payés.


Smile beach jgh0a1 - Eugenol
Céramik

08/04/2011 à 04h38

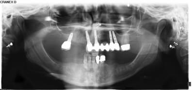
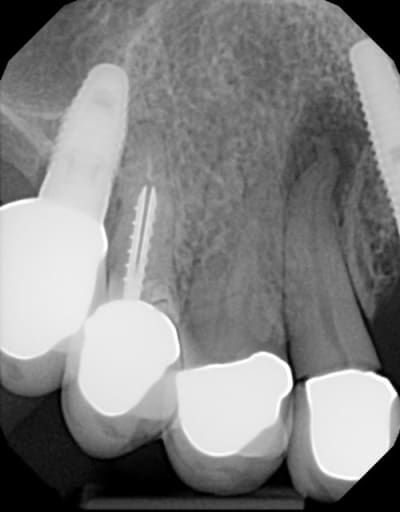
Patiente adressée pour évaluation :
son dentiste ne sait que faire.
À l'examen :
13 : belle fistule vestibulaire, mobilité, carie cervicale
14 : mobilité +++
15 : fracture racine (?), carie cervicale
Les implants datent de 5-6 ans (par un autre CD, la patiente a depuis déménagée).
Le bas , pas touche cette année, on verra en 2012.

Votre plan de tx ?

--
Céramik

X5064903 elrirr - Eugenol
X5064907 ikxlg9 - Eugenol
X5064906 zelemo - Eugenol

flicflac

08/04/2011 à 05h57

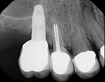
je le réfère à Céramik, il pose des implants...
Panorex avec Vitallium en bouche ok... au moins on sait que la patiente possède un partiel...
mobilité dent 14 sondage=?... perte sûre de la 15, endo et reprise couronne dent 13


Smile beach jgh0a1 - Eugenol
Céramik

09/04/2011 à 03h01

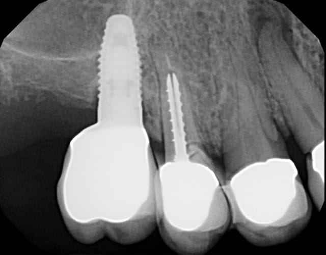
Pas plus de suggestion, pourtant plus de 150 fois vue depuis hier...

Bon la suite
Exo de 13-14-15 et greffe Bond-bone (mon 1er avec ce truc)
et Mineros (50-50)


--
Céramik

X5064912 hvwest - Eugenol

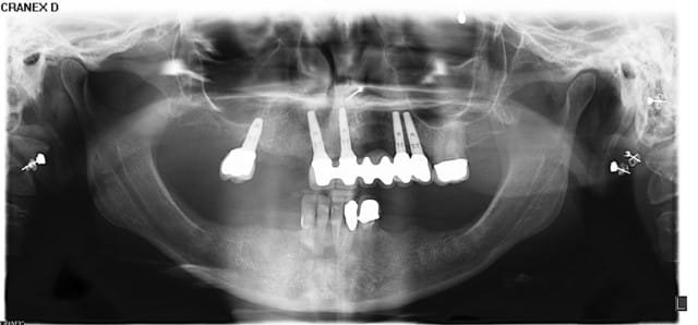
Photo pluton1b h9n4ea - Eugenol
pluton

09/04/2011 à 09h42

et pour la suite, c'est 2 implants et bridge 13/15? (difficile d'avoir des certitudes quand au nombre d'implants...sans avoir tous les éléments...)
le bond bone, çà marche bien?


12