Cookie Consent byPrivacyPolicies.comQu'est-ce que c'est ? - Eugenol

Qu'est-ce que c'est ?

juco

10/04/2011 à 13h55

Bonjour,
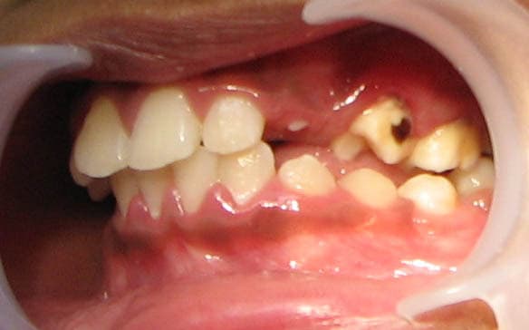
Avez-vous une idée de la lésion amélaire observée sur la 24 ?
La petite patiente a 8 ans et a été en malnutrition dans sa petite enfance (originaire des Philippines)
De multiples caries avec fistules ont été présentes et certaines encore en bouche.
Le tissu est noir et dur à la sonde. La dent a fait son éruption il y a quelques mois seulement. Donc l'hypothèse de la carie arrêtée ne tient pas. Il n'y a pas de perte de substance.
Si vous avez un nom et une étiologie, lancez-vous !

Merci

Juco

1 avril 2011 3 xp5obp - Eugenol