Cookie Consent byPrivacyPolicies.comcas du jour - Eugenol
elea

11/04/2011 à 23h21

Bonsoir à tous,

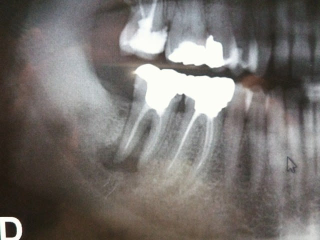
Voilà la radio panoramique d'une patiente, âgée d'un trentaine d'année que j'ai reçu la semaine dernière en consultation.
La 47 présente une image radioclaire à l'apex et la patiente se plaint de douleur à la pression sur cette dent qui ne présente pas de mobilité.
De plus, elle me dit avoir un problème de fuite aortique mais ne prend aucun traitement.
J'aimerais avoir votre avis sur le soin à faire, s'il est possible de tenter une chirurgie endodontique à rétro ou si l'avulsion est préférable.
Merci pour vos réponse et je m'excuse pour la mauvaise qualité de l'image.

P1010907 eequch - Eugenol

Ips emax tech zircad 3 i7hqhy - Eugenol
Emax

12/04/2011 à 00h00

Ci-joint en lien la Révision de la conférence de consensus de mars 1992 Recommandations 2002
http://www.infectiologie.com/site/medias/_documents/consensus/endocardite-court-02.pdf
Tu y trouveras la réponse à ta question.


Dent bebe ra6vxa - Eugenol
merkiqui

12/04/2011 à 00h08

RTE + mise en sous-occlusion
Reévaluation à 3 mois, puis à 6 mois.

Si l'infection ne diminue pas : Avulsion.

Enfin , je ferais cela si c'était ma soeur

Sans déc!


Smile beach jgh0a1 - Eugenol
Céramik

12/04/2011 à 00h11

reprise endo 47 et 46
contrôles à 3 et 6 mois

Surveille la 17 aussi...

--
Céramik


Ips emax tech zircad 3 i7hqhy - Eugenol
Emax

12/04/2011 à 00h23

Il faut connaitre exactement sa cardiopathie. L'insuffisance aortique a plusieurs grades. Normalement ta patiente si elle n'est pas traitée doit être en grade 1. Cependant on peut déjà la classer dans les patients à risque B. Dans ce cas si on se fie au concensus c'est avulsion.

En dehors de toute pathologie il conviendrait de retraiter la dent par voir orthograde. Puis contôle à 3 et 6 mois.
Le retraitement par voie rétrograde ne vient qu'en seconde intention par contre sur une 47 c'est chaud qd même. Donc si lédion apicale persistante dans ce cas avulsion.


denty352

12/04/2011 à 00h41

Contacte d'abord son cardiologue ou son médecin généraliste.
Il faut savoir exactement la ou les pathologies, cardiaque et autres, ainsi que leurs complications et les traitements en cours.
Il faut évaluer avec le médecin les risques suivants:
hémorragique, infectieux, par rapport aux prescriptions et le stress.
Après, tu reviens sur le site et on verra les solutions thérapeutiques envisageables.


roger chicot

12/04/2011 à 12h01

avant tout, telephone cardio ou generaliste qui s'occupe de cette patiente
reprise du traitement canalaire, cicatrisation et radio à 3 et à 6 mois...
si cicatrisation nouvelle k ou pas...
si pas cicatrisation avulsion etimplant...
trop nul ce cas (ou le dentiste ???)


RépondreCiter
Fresh watermelon 640x562 udulqz - Eugenol
gulguch

12/04/2011 à 18h40

elea écrivait:
--------------
, s'il est possible de tenter une
> chirurgie endodontique à rétro ..

hem, sur 47, bon courage!


elea

12/04/2011 à 20h24

En fait, vu la taille de la lésion (qui en plus est très proche du nerf alvéolaire inférieur), la longueur des racines et la pathologie de la patiente je pense que le RTE ne va pas donner grand chose et sera très compliqué. En plus cette dent est couronnée. Désolée pour la nullité du cas ou du dentiste mais je débute dans le métier donc, au lieu de faire des conneries, je préfère demander l'avis à des personnes plus expérimentées.


denty352

12/04/2011 à 20h33

tu veux extraire la dent ? comme ça ?


Nouveau image bitmap fz77zh - Eugenol
Sethef

12/04/2011 à 21h00

elea écrivait:
--------------
> En fait, vu la taille de la lésion (qui en plus est très proche du nerf
> alvéolaire inférieur), la longueur des racines et la pathologie de la patiente
> je pense que le RTE ne va pas donner grand chose et sera très compliqué. En plus
> cette dent est couronnée. Désolée pour la nullité du cas ou du dentiste mais je
> débute dans le métier donc, au lieu de faire des conneries, je préfère demander
> l'avis à des personnes plus expérimentées.

Heu.. Juste pour bien resituer les choses:
-Tu ne veux pas reprendre le traitement parce que les racines sont proches du dentaire inf, mais tu es prêt à aller faire un gros trou dans l'os, cureter la lésion, enlever un bout de racine et éventuellement y amener un matériau d'obturation? Sérieux?


Bon, pour ce que j'en sais, et je pense que les endos exclusifs iront dans le même sens, un traitement à rétro est voué à l'échec si le traitement orthograde n'est pas correctement réalisé.
Accessoirement, la visibilité de la zone conditionnera les chances de succès de ce traitement de la dernière chance. Autrement dit, obturation à rétro sur une 11, facile, sur une 47, grosse galères en perspective. Surtout à proximité du dentaire inf.


Mis à part ça, selon l'afsapps, l'insuffisance aortique est considérée comme un facteur de risque d'endocardite infectieuse modéré. Dans ce cas là, toujours selon l'afsapps,
"Chez les patients à risque modéré, les traitements radiculaires peuvent être entrepris à 3
conditions :
s’ils sont réalisés sous champ opératoire étanche (digue)
si la totalité de l’endodonte est aisément accessible
s’ils sont réalisés en une seule séance
Si ces 3 conditions ne sont pas remplies, l’extraction est recommandée. La pose d’implants et la
chirurgie parodontale sont déconseillées".

Donc du coup, avis du cardio pour savoir si il n'y a pas d'erreur sur la pathologie, mais en théorie c'est l'extraction qui est recommandée. Et sûrement pas la chir à rétro, quoi qu'il en soit.


@+ Sethef




Bagheera tudzjy - Eugenol
bagheerra

12/04/2011 à 21h13

Sethef écrivait:
----------------
>
> Bon, pour ce que j'en sais, et je pense que les endos exclusifs iront dans le
> même sens, un traitement à rétro est voué à l'échec si le traitement orthograde
> n'est pas correctement réalisé.

+1

> Mis à part ça, selon l'afsapps, l'insuffisance aortique est considérée comme un
> facteur de risque d'endocardite infectieuse modéré. Dans ce cas là, toujours
> selon l'afsapps,
> "Chez les patients à risque modéré, les traitements radiculaires peuvent être
> entrepris à 3
> conditions :
> s’ils sont réalisés sous champ opératoire étanche (digue)
> si la totalité de l’endodonte est aisément accessible
> s’ils sont réalisés en une seule séance
> Si ces 3 conditions ne sont pas remplies, l’extraction est recommandée. La pose
> d’implants et la
> chirurgie parodontale sont déconseillées".

A noter que ces 3 conditions ne concernent que les dents à pulpe vitale. Les retraitements sont interdits. En théorie, ne peuvent être conservées parmi les dents dépulpées que celles présentant une obturation radiologiquement correcte, réalisée depuis plus d'un an, sans pathologie péricapicale.

> Donc du coup, avis du cardio pour savoir si il n'y a pas d'erreur sur la
> pathologie, mais en théorie c'est l'extraction qui est recommandée. Et sûrement
> pas la chir à rétro, quoi qu'il en soit.


+1


elea

13/04/2011 à 11h47

Après avoir appelé son médecin bien sûr