Cookie Consent byPrivacyPolicies.comDéminéralisations post grossesse? - Eugenol

Déminéralisations post grossesse?

P1060810  800x600  dlavv9 - Eugenol
Hebken

12/04/2011 à 18h14

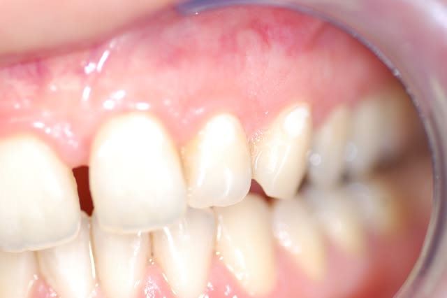
mon interrogation du jour, cette patiente de 40 ans qui vient d'accoucher me signale les "taches blanches et sensibles apparues il y a peu..." je confirme qu'il y a des déminéralisations sur 21 22 et 23 qui n'existaient pas il y a un an; je l'ai questionné sur le régime alimentaire en insistant bien: ras.
Je n'ai pu lui fournir d'explication valable.

Et vous? quel traitement? quelle origine?

La photo jointe est pourrie je les ai ttes foirées et c'est la moins pire :(

Dsc 5125 i2z90a - Eugenol

Grueavatar nptrc9 - Eugenol
Le Choixpeau magique

12/04/2011 à 18h36

Beaucoup de gerboulades pendant la grossesse ?
Fringales de coca/mars/chips pendant la grossesse ?
Gingivite carabinée ayant entraîné l'abandon de tout brossage ?


P1060810  800x600  dlavv9 - Eugenol
Hebken

12/04/2011 à 18h46

nan! rien. et pourquoi que à gauche?


arnak

12/04/2011 à 19h53

parceque!!!!!!!!!!!!


Avatar 46 aoi1yc - Eugenol
HononLulu

12/04/2011 à 23h05

Elle n'aurait pas tenté un truc à la con pour blanchir ses dents ?

Style jus de citron et brossage ++ après et comme elle est droitière ......
Dr House te fournirait la réponse en 30 mn.


P1060810  800x600  dlavv9 - Eugenol
Hebken

13/04/2011 à 10h06

HononLulu écrivait:
-------------------
> Elle n'aurait pas tenté un truc à la con pour blanchir ses dents ?
>
> Style jus de citron et brossage ++ après et comme elle est droitière ......
> Dr House te fournirait la réponse en 30 mn.

Pas faux: je lui demanderai ...

Mais Hononlulu...moi c'est Dr Hebken...pas housse. ^^