Cookie Consent byPrivacyPolicies.comje me suis fais niqué.... - Eugenol

je me suis fais niqué....

alex22

14/04/2011 à 01h59

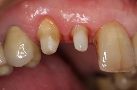
j'ai cru trouver le produit facile à utiliser pour éviter l'impossible collage classique de mes empress, cerec block et autres, puis j'ai lu la notice après :

Breeze™ Ciment résine auto-adhésif
Le ciment Breeze est un Ciment résine auto-adhésif d’auto-mordançage indiqué pour la cimentation de pratiquement tous les types de
restauration. Sa résistance d’adhésion et sa faible expansion font du ciment Breeze le choix parfait pour quasiment tous les besoins de
cimentation. Disponible en 3 nuances, ce nouveau ciment d’auto-mordançage est le choix idéal pour les restaurations esthétiques en composites
et en céramo-céramiques propres à la cimentation.
En éliminant le besoin de mordançage et de liaison, le ciment Breeze réduit à la fois la sensibilité et le temps d’opération en fauteuil. Le ciment
Breeze est conditionné dans nos seringues à double cylindre très renommées équipées d’embouts auto-mélangeurs, procurant souplesse
d’utilisation, rapidité et précision au cours des placements, aucun mélange à la main ni aucun dispositif de trituration ne sont nécessaires.
Indications:
• Cimentation de couronnes, de bridges, d’inlays et d’onlays en composite, en céramo-céramique propre à la cimentation,
en PFM et en alliage.
• Cimentation de tenons en composites renforcés par des fibres
• Cimentation de tenons en titane, alliage de titane, acier inoxydable et en zircone.

Contre-indications:

• Cimentation de facettes en porcelaine.
• Cimentation de restaurations en porcelaine feldspathique, y compris, mais sans s'y limiter, des marques suivantes : Empress®,
CEREC® Blocs de Sirona, VITABLOCS® Mark II pour CEREC®.
• Les restaurations entièrement en céramique nécessitant une liaison.

Loupé........en fait il colle tout sauf tous les trucs que j'utilise!!!!
Est ce qu'une colle automordançante peut avoir une liaison chimique avec de la céramique mordançée-silanée,
est ce qu'une colle 4-meta (comme le superbond) peut avoir une liaison chimique également (je pense que oui puisqu'il y a un ceramique primer fourni à un prix de dingue)
Ce breeze est une colle 4 méta fournie avec un silane mais qui n'adhère pas chimiquement à la céramique...

J'aimerais éviter le collage du moignon de la couronne, en étant jamais sûr en proximal de pas toucher le sulcus ...


Smile beach jgh0a1 - Eugenol
Céramik

14/04/2011 à 04h40

alex22 écrivait:
----------------
> j'ai cru trouver le produit facile à utiliser pour éviter l'impossible collage
> classique de mes empress, cerec block et autres, puis j'ai lu la notice après :



Ah, la recherche du produit miracle !
Toutes les colles auto-adhésive sont contre indiqué pour les facettes, et tjs un moins bon choix pour les céram.

>
> J'aimerais éviter le collage du moignon de la couronne, en étant jamais sûr en
> proximal de pas toucher le sulcus ...


En céram, faut tailler en supra (si possible)
Place un fil à rétraction, prend des loupes, un p'tit coup de laser. Pas toucher la gencive, c'est possible.

Sinon, il y a la zircone, tu places avec ce que tu veux...


--
Céramik


X ray 03 medium zvq18j - Eugenol
cyber_quenottes

14/04/2011 à 09h22

nan

tu t'es surtout fait une grosse faute de français sur le titre....


Img 3657 cwjvqm - Eugenol
alapex

14/04/2011 à 09h35

Voilà pourquoi il faut faire les stages de Clinic All .
Tu apprends plein de choses...personnellement j'étais nul en photo , bin à présent je domine !


Avatar 46 aoi1yc - Eugenol
HononLulu

14/04/2011 à 10h05

Alex 22 tu peux poser de la zircone avec et toutes tes CCM.
Pour le reste c'est collage avec etching, bonding silane........


albius

14/04/2011 à 10h15

et, à mon humble avis, tu t'es fait doublement ....ER, comme moi il ya quelque temps car ce soi-disant ciment de scellement est d'une inefficacité redoutable:
j'en ai utilisé une boîte (dans les bonnes indications) il y a environ 2 ans et je revois depuis quelques semaines les patients revenir avec leurs coruronnes, ou autres, dans la main...
vive le fuji+...


200106 10150128247663588 709988587 6466236 5598391 n d7mksb - Eugenol
hallboy

14/04/2011 à 11h04

C est une colle qui aura forcement de meilleures valeurs quedufuji plus.

Il y a unepubli américaine qui teste un peu tout et qui a eu de bon resultas avec, meilleur quelerelyx par exemple ou le Max cem. J en ai utilise sans pb' par contre ce n est absolument pas indique pour les facettes et pas pour le zircone non plus


alex22

14/04/2011 à 13h45

pas pour le zircone?


Marque a3 orange fyvhyq - Eugenol
Marc Apap

14/04/2011 à 14h11

Sais-tu déjà la différence entre la zircone, l'alumine et une céramique mordançable ?


Img 3657 cwjvqm - Eugenol
alapex

14/04/2011 à 14h45

Le zircone au moins c'est écrit dessus !
...)))


Je sors .


Grueavatar nptrc9 - Eugenol
Le Choixpeau magique

14/04/2011 à 15h10

hallboy écrivait:
-----------------
> C est une colle qui aura forcement de meilleures valeurs quedufuji plus.

Sauf quand elle aura percolé...


alex22

14/04/2011 à 18h36

il n'y a pas de liaison chimique sur la zircone (sauf avec le rocatec peut être), on peut sceller des couronnes en zircone avec du durelon si on veut...choc des générations...
Hallboy a peut être observé des comportements bizarres entre breeze et zircone?


alex22

14/04/2011 à 20h15

Marc Apap écrivait:
-------------------
> Sais-tu déjà la différence entre la zircone, l'alumine et une céramique
> mordançable ?

j'utilise plus empress que zircone

Iphone 077 v2pxth - Eugenol
Iphone 078 ogjdl2 - Eugenol

Blason dql7mj - Eugenol
growler

14/04/2011 à 21h35

pas mal ! e-max?


Marque a3 orange fyvhyq - Eugenol
Marc Apap

14/04/2011 à 21h51

Donc, pour l'empress, le breeze va bien, si tu mordances l'intrados et applique un silane sur la céramique.
Attention, ce produit réclame d'être conservé au frigo cependant.


alex22

14/04/2011 à 22h11

Marc Apap écrivait:
-------------------
> Donc, pour l'empress, le breeze va bien, si tu mordances l'intrados et applique
> un silane sur la céramique.
> Attention, ce produit réclame d'être conservé au frigo cependant.

c'est exactement la question que je me posais mais la notice contre indique l'utilisation sur l'empress, est ce non préparée ? ou même contre indiquée si mordancée-silanée?


alex22

14/04/2011 à 22h21

en fait le côté résine 4 meta m'inspirait car je pensais aux bons et loyaux services du superbond avec le côté photo en plus, sans préparation dentaire préalable ( automordançant)
Je pense que je vais continuer avec mon duolink et Nexus quand c'est supra et fujiplus quand c'est un peu plus sousgingival et paro foireux


Ico v for vendetta08 jzhpep - Eugenol
Ratinox

14/04/2011 à 22h24

Tu viens d'écrire que ce n'est pas compatible avec les céramiques feldspathiques, la céram quoi !

Donc reste le zircone qui est cité dans les indications.


Avatar 46 aoi1yc - Eugenol
HononLulu

14/04/2011 à 23h48

alex22 écrivait:
----------------
> Marc Apap écrivait:
> -------------------
> > Sais-tu déjà la différence entre la zircone, l'alumine et une céramique
> > mordançable ?
>
> j'utilise plus empress que zircone

Mais pourquoi t'as délabré 2 belles dents.
Tu ne respectes pas le gradient thérapeutique ?????


3f3boxni50k58rq7e9ce9ddqrxgk - Eugenol
dentiste57

15/04/2011 à 01h21

alex22 écrivait:
----------------
> Marc Apap écrivait:
> -------------------
> > Sais-tu déjà la différence entre la zircone, l'alumine et une céramique
> > mordançable ?
>
> j'utilise plus empress que zircone



j'aime bien ce genre de challenge moi aussi sur des teintes "impossibles"

Prise de teinte rsi9k4 - Eugenol

alex22

15/04/2011 à 01h39

growler écrivait:
-----------------
> pas mal ! e-max?


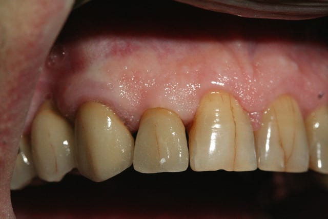
non c'est Empress


Smile beach jgh0a1 - Eugenol
Céramik

15/04/2011 à 02h54

alex22 écrivait:
----------------
> growler écrivait:
> -----------------
> > pas mal ! e-max?
>
>
> non c'est Empress

Très bon ton céramiste.

Chez nous, autre culture et demande, on fait alors 10 facettes Empress, B1, ou même plus blanc !

Si je propose de faire comme toi, les gens n'en veulent pas ! Ils disent, ah non, on ne va pas me faire des dents moches !

;-)


--
Céramik


alex22

15/04/2011 à 13h50

j'habite à la cambrouze mais zone de villégiature pour parigots à la retraite, j'ai un prothé à distance avec qui je m'éclate bien mais en majorité les patients(tes) sont plutôt "bleach", ce cas est plutôt une exception et je n'ai pas eu envie de l'influencer vers une reconstruction "globale " du secteur antérieur. C'est plus du naturalisme que de la SFDE ou de la clinique du sourire, mais on est presque plus content à la fin surtout quand le patient est content.

Je bosse aussi sur armature zircone (diadem) mais j'ai été déçu au niveau de l'opacité, peut être que mon prothé n'était pas trop habitué à monter la céram sur ce produit. J'ai fait un bridge antérieur de 3 dents magnifique en Empress qui a pété 15 jours après, donc je suis revenu sur métal avec aurification sur les bridge antérieurs, puis à nouveau sur zircone depuis quelques mois sur les "cagoles" qui veulent du B1. As tu de bons retours sur petits bridges antérieurs en E max qui est plus costaud?


antares

16/04/2011 à 15h50

Salut,
Peux tu me donner un ordre de prix pour les ccc de ton prothésiste ?
Il bosse vraiment bien

Je viens de réaliser un secteur incisif maxillaire en Empress, et je suis vraiment déçu du résultat, malgré la prise de teinte par le prothésiste.
J aurai mieux fait de bosser sur métal précieux.

Utilises tu des céramo Céram quand il y a une reconstitution meallique sous jacente ?


Smile beach jgh0a1 - Eugenol
Céramik

16/04/2011 à 17h05

Bonjour

J'ai 3 ou 4 bridges ant en E.max (pour remplacer des lattérales ou des centrales, avec occlusion top et aucune parafonction.
So far so good.

J'ai un cas de céram pressée sur armature céram (avant e-max et pas du Empress-2, autre mais je ne sais plus) qui a 6 ans et top.



--
Céramik


12