Cookie Consent byPrivacyPolicies.comCEREC côté pratique et technique - Eugenol

CEREC côté pratique et technique

vmdeugénol

21/06/2011 à 11h36

Avec les systèmes cerec actuels super simplex, la seule chose qui compte c'est la prépa, si elle est conforme c'est top sinon cela devient plus compliqué à gérer... c'est tout bête.

De plus qd on a compris les prépa pour cfao , c'est qu'on a compris ce qu'attendent les systèmes...

Hebken écrivait:
----------------

> voilà 2 mois que nous disposons du "pack" complet Cerec AC, j'en suis à 2 onlays
> posés et 3 couronnes (2 PM une M1), j'en ai une 10 zaine en attente pour le mois
> et demi qui vient.
> Et bien: ça l'fait grave! Les pateints sont carrément bluffés...et moi aussi.
> Je ferai des photos prochainement.
>
> Au-delà de montrer ce que des "as" peuvent faire ça permettra de montrer ce que
> les néophytes font, et ce au-delà des discours commerciaux... ;-)


vmdeugénol

21/06/2011 à 12h36

La cfao directe, c'est une approche moderne de la dentisterie,la frontière OC et prothèse disparait, les matériaux ont leur importance, les logiciels aussi, mais le plus important est de savoir ce qu'on va faire de tout çà.
La bonne question c'est :
-indications des restaurations, nouvelles formes de restaurations, comment être sûr que les formes de prépa sont en accord avec la machine et la clinique?
Tout le reste n'est que poésie et on s'y intéresse quand les fondamentaux sont acquis.

Le programme de Cap d'Agde est axé sur les fondamentaux.
(gros succès.......et super sympa)

http://www.cfao-cadcam.net/index.php?option=com_content&view=article&id=52:symposium&catid=1:latest-news&Itemid=50

teethsurfer écrivait:
---------------------
> Salut les Cérecistes ;o)
>
> Je suis actuellement en négociation pour m'équiper et vos expériences sont
> particulièrement bienvenues ainsi que cette discussion.
>
> J'aimerai avoir vos avis concernant certains points avant de me lancer:
>
> Vaut-il mieux attendre la maj 4.0 sachant que mon installateur/formateur ne sera
> disponible qu'à partir de septembre?
>
> Quel choix faire entre les fours Vita et Ivoclar, avantages et inconvénients,
> compatibilité avec les différents matériaux, évolution...et durée d’utilisation
> qui semble dépendre aussi du type de céramique et du maquillage si je vous ai
> bien compris?
>
> Les supports bleus des Emax sont-ils un inconvénient à la gestion du maquillage
> et la translucidité des Vita suffit-elle à obtenir une effet naturel sans y
> avoir recours?
>
> Utilité de participer au symposium de juillet en tant que futur utilisateur,
> sachant que la formation de niveau débutant sera sans doute la même que celle
> qui me sera dispensée lors de l'installation.
>
> Avez-vous participé au symposium CFAO d'Agde ce WE de Pentecote et quelle
> différence avec celui organisé par Cerec?
>
> Question promotion, on me propose le Sylver Club pendant 3 ans (valeur 5000€!?)
> au lieu du four offert à l'ADF, alors que la Maj devrait être incluse de toute
> façon pendant la première année...vaudrait-il mieux attendre l'ADF ou négocier
> des plots et autres accessoires?
>
> je viens de recevoir par ailleurs aujourd'hui un flyer d'Ivoclar concernant
> "l'offre installation" incluant programat CS, pompe VP3 easy, IPS e.max cad for
> Cerec starter kit AD (10 blocs+ maquillants et glasure pour IPS Empress et E.max
> cad) pour 5021€.
>
> Merci d'avance pour vos conseils avisés.


denlv35

21/06/2011 à 18h05

bonjour,

il y a une semaine une petite idée m'est venue: utiliser le mode corrélation pour réaliser une couronne CEREC sur une dent support de crochet.

Après reconstruction de la dent et légère sculpture pour reformer les sillons j'ai pris une empreinte optique de la dent avant prépa en ensuite protocole classique

j'avais bien pris soin de prévenir le patient du coté " expérimental" de ma démarche.

et bien après usinage quelle surprise !!!!!! juste une petite retouche a faire pour le taquet occlusal ( ce qui doit venir de ma sculpture car a y réfléchir je n'ai pas fait d'essayage du stellite après reconstitution)

Aucune retouche au niveau des crochets, occlusion ok !!!!!


bref quelle machine !!!!!!

vite d'autre défis, j'ai de plus en plus envie d'y jouer



vmdeugénol

21/06/2011 à 18h41

Ce n'est pas du tout expérimental, rassures ton patient! Cela fonctionne depuis plus de 10 ans déjà et avec les versions jusqu'à 3.06 la corrélation était quasi parfaite sans la moindre retouche!!!
Dans le même esprit, tu as les cantilevers, les bridges à boites, à ailettes, les angles, les milolyses......les piliers implantaires, les petits appareils transvissés....les brigdes tout court, les traitements post gouttières et tout çà en céramique. les gouttières en résine, les sauts d'articulés....les contentions....

La seule limite est l'imagination dès que tu as compris le système.

Bonne découverte!!

denlv35 écrivait:
-----------------
> bonjour,
>
> il y a une semaine une petite idée m'est venue: utiliser le mode corrélation
> pour réaliser une couronne CEREC sur une dent support de crochet.
>
> Après reconstruction de la dent et légère sculpture pour reformer les sillons
> j'ai pris une empreinte optique de la dent avant prépa en ensuite protocole
> classique
>
> j'avais bien pris soin de prévenir le patient du coté " expérimental" de ma
> démarche.
>
> et bien après usinage quelle surprise !!!!!! juste une petite retouche a faire
> pour le taquet occlusal ( ce qui doit venir de ma sculpture car a y réfléchir je
> n'ai pas fait d'essayage du stellite après reconstitution)
>
> Aucune retouche au niveau des crochets, occlusion ok !!!!!
>
>
> bref quelle machine !!!!!!
>
> vite d'autre défis, j'ai de plus en plus envie d'y jouer
>
>


P1060810  800x600  dlavv9 - Eugenol
Hebken

21/06/2011 à 18h48

....non rien.


denlv35

21/06/2011 à 19h05

en réponse a hebken
Pour l'instant je n'ai fait que le mode balayage vestibulaire, mais si j'ai bien compris quand tu fais un mordu occlusal tu prends l'empreinte du mordu dans la case occlusion.

L'empreinte de l'antagoniste n'est pas nécessaire,; mais tu peux la prendre quand même, et dans ce cas dans la case antagoniste


vmdeugénol

21/06/2011 à 19h12

si tu débutes,
les répertoires du haut vers le bas n°1, N°2, n°3
tu places la préparation en 1
tu places l'occlusion, le mordu occlusal en 3

En 1 l'image marquée du cercle vert est ta vue directrice elle doit être parfaitement dans l'axe de prépa, l'axe optique, l'axe de construction CAO, l'axe d'usinage qui est l'axe d'insertion de la prothèse. Cette vue est garante de la précision de l'intrado et de la construction CAO.

Les vues (env 2) que tu raccordes en mésial et en distal sont là pour aider la construction morphologique biogénérique

Tu fais idem avec le mordu en silicone sur la prépa.
La première image du mordu placée en 3 est centrée comme la prépa, c'est l'image directrice de la gestion des contacts occlusaux, il n'est donc pas utile de rajouter des vues proximales en grande quantité.

Moins d'images lors de l'empreinte optique= Meilleure qualité de production.

Enregistrement occlusal avec métal bite, pixel bite pour les light ou bleue eco scan pour les lourds.

Avantages : rapidité de réalisation et poudrage minimal

sinon il y a l'enregistrement vestibulaire, beaucoup plus long à mettre en oeuvre.

Re: CEREC côté pratique et technique

Par Hebken

je viens de me tromper dans le mode "balayage mordu occlusal" :

combien de fenêtres doivent apparaitre à l'étape de l'empreinte en mode biogénérique?

1 on fait l'empreinte de la prépa
2 fait-on l'empreinte de l'antago avec le mordu dans la case antago?

3 que met-on dans la fenêtre occlusion?

parce qu'il y a les 3 fenêtres qui apparaissent, est-ce bien normal?


P1060810  800x600  dlavv9 - Eugenol
Hebken

21/06/2011 à 19h23

en fait j'ai retrouvé mes notes de P. Civel de Nantes, effectivement il faut juste empreinte prépa case prépa, puis empreinte prépa+mordu (CAD) case antago et point barre.
Puis découpe virtuelle du mordu limitée aux strictes limites de l'antago dans le mordu. (c'est important)
pas de poudrage du bas, rapidité, précision.

J'ai utilisé de l'"occlufast CAD" pour le mordu

What else? ^^

Merci pour vos réponses


P1060810  800x600  dlavv9 - Eugenol
Hebken

21/06/2011 à 19h25

denlv35 écrivait:
-----------------
> en réponse a hebken
> Pour l'instant je n'ai fait que le mode balayage vestibulaire, mais si j'ai bien
> compris quand tu fais un mordu occlusal tu prends l'empreinte du mordu dans la
> case occlusion.
>
> L'empreinte de l'antagoniste n'est pas nécessaire,; mais tu peux la prendre
> quand même, et dans ce cas dans la case antagoniste
>
>

et bien non pour la deuxième partie, parce que sinon la machine va s'emmêler les pinceaux.


vmdeugénol

21/06/2011 à 19h26

ok mais si tu ne respectes pas la règle de axes çà ne marche pas bien!

les risques:
mauvaise proposition morphologique
mauvais contacts occlusaux

conséquences:
énervement
fracture de la céramique


P1060810  800x600  dlavv9 - Eugenol
Hebken

21/06/2011 à 19h29

vmdeugénol écrivait:
--------------------
> ok mais si tu ne respectes pas la règle de axes çà ne marche pas bien!
>
> les risques:
> mauvaise proposition morphologique
> mauvais contacts occlusaux
>
> conséquences:
> énervement
> fracture de la céramique

Heuuu...tu t'adresses à qui là ???


vmdeugénol

21/06/2011 à 19h38

ben à toi, il s'agit de placer les clichés en 1 et 3, comme te l'a dit pascal, mais leur axe Commun est trèèèèèès important à respecter

"
en fait j'ai retrouvé mes notes de P. Civel de Nantes, effectivement il faut juste empreinte prépa case prépa, puis empreinte prépa+mordu (CAD) case antago et point barre.
Puis découpe virtuelle du mordu limitée aux strictes limites de l'antago dans le mordu. (c'est important)
pas de poudrage du bas, rapidité, précision."


Zoe   son arriv e whwqpj - Eugenol
emma

22/06/2011 à 11h19

olivier écrivait:
-----------------
> je sais que c'est une discussion de spécialiste du CEREC mais cela m'a toujours
> intrigué , mais il y aurait il l'un de vous qui "maîtrise" pour nous montrer des
> photos de cas de postérieures , d’antérieures ou d'inlay.
>
> Merci

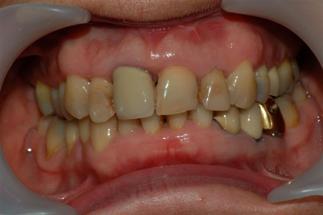
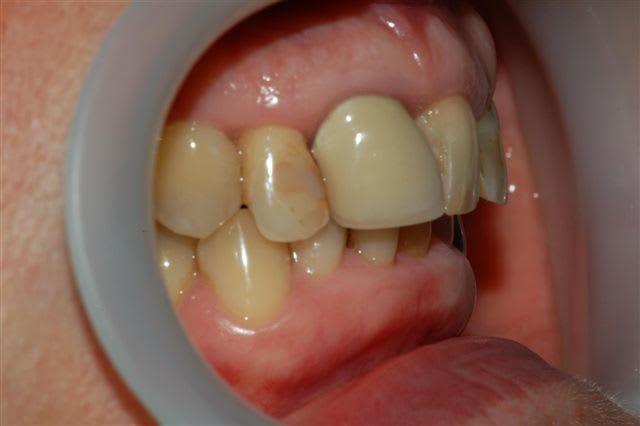
voici un cas traité en dentisterie globale à l'aide du laser en paro et du cerec en occluso, le cas à été terminé en 2010, cette semaine examen microbiologique de routine avec maintenance paro, il n'y a plus de flore pathologique dans la bouche de cette patiente

Emma

001 ujrbbc - Eugenol
002  4  ajayg9 - Eugenol
003  4  bsdl8z - Eugenol
026 i51pks - Eugenol
028 nbhiu9 - Eugenol
037 jlfp2v - Eugenol
038 pbppd9 - Eugenol
023 nshgqx - Eugenol
025 dzk1ar - Eugenol
035 gegerb - Eugenol

P1060810  800x600  dlavv9 - Eugenol
Hebken

22/06/2011 à 11h49

vmdeugénol écrivait:
--------------------
> ben à toi, il s'agit de placer les clichés en 1 et 3, comme te l'a dit pascal,
> mais leur axe Commun est trèèèèèès important à respecter
>
> "
> en fait j'ai retrouvé mes notes de P. Civel de Nantes, effectivement il faut
> juste empreinte prépa case prépa, puis empreinte prépa+mordu (CAD) case antago
> et point barre.
> Puis découpe virtuelle du mordu limitée aux strictes limites de l'antago dans le
> mordu. (c'est important)
> pas de poudrage du bas, rapidité, précision."
>

Ok ok ok ! t'énerve pas ;-) j'ai compris. Ma couronne est en place depuis une semaine et ça roule...


Smile beach jgh0a1 - Eugenol
Céramik

22/06/2011 à 14h10

emma écrivait:
--------------
> voici un cas traité en dentisterie globale à l'aide du laser en paro et du cerec
> en occluso, le cas à été terminé en 2010, cette semaine examen microbiologique
> de routine avec maintenance paro, il n'y a plus de flore pathologique dans la
> bouche de cette patiente
>
> Emma


Reste plus qu'à faire des greffes de gencives secteur 4.
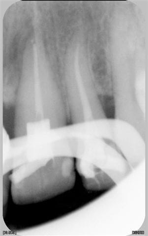
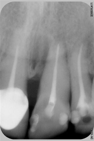
Tu as une radio zone 11-21, perte de papille importante.


--
Céramik


Zoe   son arriv e whwqpj - Eugenol
emma

22/06/2011 à 14h41

Céramik écrivait:
-----------------
> emma écrivait:
> --------------

> Reste plus qu'à faire des greffes de gencives secteur 4.
> Tu as une radio zone 11-21, perte de papille importante.
>
>
> --
> Céramik

salut ceramik, toujours aussi contente de te lire, tes désirs sont des ordres, radios faites en 2010, les photos dates de juin 2010, les papilles entre 11 et 21 sont entrain de se reconstruire petit à petit, au prochain contrôle de maintenance, je ferai des radios et des photos pour montrer l'évolution engendrée par la biostimulation laser diode.

pour le secteur 4 j'attends de bien connaître mon laser Er-Yag et je ferai les remaniements nécessaires grâce à cet instrument génial.
--
Emma

004 jklb7b - Eugenol
009 mksfdh - Eugenol
026 hnj4xp - Eugenol

vmdeugénol

23/06/2011 à 13h17

Joli cas Emma, juste une remarque, le travail de l'espace inter incisif en jouant sur la convexité des profils d'émergence masquerait le manque immédiat de papille et à terme la papille se reconstruirait plus rapidement.

Il est vrai qu'au vu de la difficulté initiale du cas ce type de détail peut passer à la trappe.

très belle reconstruction par cfao directe!!!!!

Emma - Eugenol

Zoe   son arriv e whwqpj - Eugenol
emma

23/06/2011 à 19h03

merci vm, en effet, le cas était plutôt complexe, comme la plupart des cas en dentisterie globale, mais ce que je voulais souligner, c'est que le Cerec pour ne pas le nommer permet de rendre de grands services.

je vais à Marne la Vallée en juillet ce serait sympa qu'on se retrouve entre "céréquistes" eugénoliens qu'en pensez vous?

--
Emma


P1060810  800x600  dlavv9 - Eugenol
Hebken

23/06/2011 à 19h09

Aaaargh ! je devais y aller aussi, mais un concert important me retiendra dans ma douce Bretagne...dommage pour les oreilles à Mickey ^^

Il serait peut-être possible par votre biais (eugénoliens) d'obtenir les résumés ? non? j'dis ça....^^


marcus

24/06/2011 à 00h32

Hebken écrivait:
----------------
> Aaaargh ! je devais y aller aussi, mais un concert important me retiendra dans
> ma douce Bretagne...dommage pour les oreilles à Mickey ^^
>
> Il serait peut-être possible par votre biais (eugénoliens) d'obtenir les
> résumés ? non? j'dis ça....^^


C'est çà ! Un "festnoz" c'est bien plus important qu'un "cerecnoz" !


P1060810  800x600  dlavv9 - Eugenol
Hebken

24/06/2011 à 00h37

marcus écrivait:
----------------
> Hebken écrivait:
> ----------------
> > Aaaargh ! je devais y aller aussi, mais un concert important me retiendra dans
> > ma douce Bretagne...dommage pour les oreilles à Mickey ^^
> >
> > Il serait peut-être possible par votre biais (eugénoliens) d'obtenir les
> > résumés ? non? j'dis ça....^^
>
>
> C'est çà ! Un "festnoz" c'est bien plus important qu'un "cerecnoz" !

Je vous invite donc a y participer au moins une fois dans votre vie, vous ne devriez pas être déçus !

http://www.fetedesbrodeuses.com/


le 7 juillet...pas fait esseprêt ...


Smile beach jgh0a1 - Eugenol
Céramik

24/06/2011 à 00h48

emma écrivait:
--------------
>>
> salut ceramik, toujours aussi contente de te lire, tes désirs sont des ordres,


attention, si docL lisait ceci...
;-)



> radios faites en 2010, les photos dates de juin 2010, les papilles entre 11 et
> 21 sont entrain de se reconstruire petit à petit, au prochain contrôle de
> maintenance, je ferai des radios et des photos pour montrer l'évolution
> engendrée par la biostimulation laser diode.

Sur les radio, l'os interdentaire est môches, la règle de Tarnow (5mm) pt de conct et crête osseuse pour les papille n'y est pas... La modification du contact sur les couronnes comme suggéré serait la chose à faire...



> pour le secteur 4 j'attends de bien connaître mon laser Er-Yag et je ferai les
> remaniements nécessaires grâce à cet instrument génial.


Tu penses faire une greffe de conjonctif pour les racines avec ton Er-Yag ?



--
Céramik


Zoe   son arriv e whwqpj - Eugenol
emma

24/06/2011 à 01h00

Céramik écrivait:

>
> Tu penses faire une greffe de conjonctif pour les racines avec ton Er-Yag ?
>
>
>
> --
> Céramik

greffe en tunnellisation avec une stimulation du lit au laser, protocole montré à Paris le week end dernier bluffant.
--
Emma


Smile beach jgh0a1 - Eugenol
Céramik

24/06/2011 à 01h12

emma écrivait:
--------------
> Céramik écrivait:
>
> >
> > Tu penses faire une greffe de conjonctif pour les racines avec ton Er-Yag ?
> >
> >
> >
> > --
> > Céramik
>
> greffe en tunellisation avec une stimulation du lit au laser, protocole montré à
> Paris le week end dernier bleufant.
> --
> Emma


"Bleufant" ?, quoi la greffe devient bleue ?
:-)))

Donc conjonctif enfoui via tunnel, OK simple,
ensuite Bio-stimulation au laser ? Sympa.
Le diode peut aussi aider je pense, sinon, j'ai des super résultats sans laser pour les greffes.



--
Céramik


damdam

24/06/2011 à 01h29

et puis si tu utilises empress tu es obligé d'avoir les maquillants et
> produits adaptés à un type de céramique différente.
>
>

ben c'est pas sur....
j'ai glacer une empress avec la glaze universelle vita avec le cycle empress
je sais c'est un peu farfelu mais faut bien faire des essai

PS: ce n'était pas pour un patient, juste un essai parmi tant d'autres
pkoi, parce que la qualité des glasures vita est tout de même top, de l'application au résultat de fin de cuisson


12345...