Cookie Consent byPrivacyPolicies.comCEREC côté pratique et technique - Eugenol

CEREC côté pratique et technique

damdam

24/06/2011 à 01h35

denlv35 écrivait:
-----------------
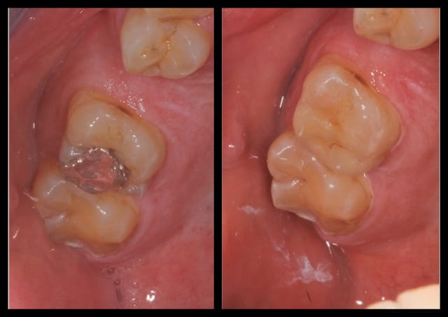
> bonjour,
>
> il y a une semaine une petite idée m'est venue: utiliser le mode corrélation
> pour réaliser une couronne CEREC sur une dent support de crochet.
>
> Après reconstruction de la dent et légère sculpture pour reformer les sillons
> j'ai pris une empreinte optique de la dent avant prépa en ensuite protocole
> classique
>
> j'avais bien pris soin de prévenir le patient du coté " expérimental" de ma
> démarche.
>
> et bien après usinage quelle surprise !!!!!! juste une petite retouche a faire
> pour le taquet occlusal ( ce qui doit venir de ma sculpture car a y réfléchir je
> n'ai pas fait d'essayage du stellite après reconstitution)
>
> Aucune retouche au niveau des crochets, occlusion ok !!!!!
>
>
> bref quelle machine !!!!!!
>
> vite d'autre défis, j'ai de plus en plus envie d'y jouer
>

biensur c'est top

faut un peu de patience pour "retoucher" le modèle après l'empreinte et ne pas être gêner par une plaque palatine qui empêche la reconstruction simplement et/ou même l'empreinte optique(pour ce cas j'ai fais 4 clichés de la dent support de crochet pour avoir les limites en intégralité


>

Capture d  cran 2011 06 14   19.20 - Eugenol
Capture d  cran 2011 06 14   19.21 - Eugenol
Capture d  cran 2011 06 23   23.39 - Eugenol
Capture d  cran 2011 06 23   23.39 - Eugenol
Capture d  cran 2011 06 23   23.39 - Eugenol

Zoe   son arriv e whwqpj - Eugenol
emma

24/06/2011 à 09h28

Céramik écrivait:
-----------------
> :-)))
>
> Donc conjonctif enfoui via tunnel, OK simple,
> ensuite Bio-stimulation au laser ? Sympa.
> Le diode peut aussi aider je pense, sinon, j'ai des super résultats sans laser
> pour les greffes.
>
>
>
> --
> Céramik

le laser erbium contrairement au diode est très absorbé ce qui lui confère une application très intéressante sur les tissus durs en initiant une stimulation osseuse en tirant sur l'os sans l'échauffer, le laser diode n'est pas indiqué pour cette technique.
Emma


Smile beach jgh0a1 - Eugenol
Céramik

24/06/2011 à 18h11

emma écrivait:
--------------
> le laser erbium contrairement au diode est très absorbé ce qui lui confère une
> application très intéressante sur les tissus durs en initiant une stimulation
> osseuse en tirant sur l'os sans l'échauffer, le laser diode n'est pas indiqué
> pour cette technique.
> Emma


Je parlais du diode et de la stimulation au niveau des tissus mous...

Je ne connais pas les effets bio du erbium...

--
Céramik


arno

24/06/2011 à 19h25

Les mentalités changent et le Cerec semble moins choquer... Ce n'était pas le cas sur le forum il n'y a pas si longtemps.
En PJ, un cas tout juste collé, me suis bien amusé et le patient est ravi.

Inlay cerec tbuvrv - Eugenol

Smile beach jgh0a1 - Eugenol
Céramik

25/06/2011 à 05h46

arno écrivait:
--------------
> Les mentalités changent et le Cerec semble moins choquer... Ce n'était pas le
> cas sur le forum il n'y a pas si longtemps.
> En PJ, un cas tout juste collé, me suis bien amusé et le patient est ravi.

Nice, manque juste une dent pour la 5...

--
Céramik


arno

25/06/2011 à 11h23

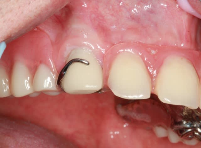
un p'tit clou au programme, t'inquiète ;-)


Img 4593 pnrtmh - Eugenol
teethsurfer

26/06/2011 à 03h09

Merci pour vos réponses.

En fait, je ne suis pas vraiment plus avancé. Le four Ivoclar serait plus intéressant pour l'emax car capable de réaliser le vide mais le four Vita serait plus performant pour les autres matériaux et le maquillage...

Plus simplement, il serait intéressant de savoir si à l'usage vous constatez une réelle différence.

par ailleurs, j'ai assisté jeudi soir à une démonstration de prise d'empreinte avec le système Lava, le seul d'après le conférencier à enregistrer aussi des vidéos et offrir ainsi une empreinte dynamique. Rien à voir avec le concept Cerec, mais je suppose que cette application fait déjà partie des projets de ses maj futures...


damdam

26/06/2011 à 10h57

four ivoclar P300
pa eaucoup plus cher que le CS mais plus programmable pour ce que tu voudrais faire par la suite (cut back et stratif de céram)


Img 4593 pnrtmh - Eugenol
teethsurfer

27/06/2011 à 00h14

Merci damdam

Donc +3 pour le four Ivoclar considérant qu'il fait le vide pour l'emax et serait, selon toi, intéressant pour la stratification des céramiques, est ce différent du maquillage superficiel?
Qu'appelles tu des cut back,des retouches avec recuisson?


Smile beach jgh0a1 - Eugenol
Céramik

27/06/2011 à 01h19

teethsurfer écrivait:
---------------------
> Merci damdam
>
> Donc +3 pour le four Ivoclar considérant qu'il fait le vide pour l'emax et
> serait, selon toi, intéressant pour la stratification des céramiques, est ce
> différent du maquillage superficiel?
> Qu'appelles tu des cut back,des retouches avec recuisson?



Cut back, pour faire de la stratification


--
Céramik


Img 4593 pnrtmh - Eugenol
teethsurfer

27/06/2011 à 02h26

Désolé je suis néophyte, tu pourrais m'expliquer un peu plus le procédé?


vmdeugénol

27/06/2011 à 13h13

Le cut back est une technique de stratification de céramique sur des pseudo armatures en vitro céramique ou Emax.
Ces armatures sont usinées comme des couronnes mais avec le logiciel on évide des zones occlusales et/ou vestibulaires pour les stratifier.

C'est très didactique, on apprend beaucoup en faisant du cut back, et cela permet ensuite de faire du monobloc esthétique en ayant bien compris les paramètres optiques du tout céramique.

(le cut back reste chronophage au cabinet, cela freine la séance unique et un bon céramiste se chargera souvent mieux de cette tâche qu'un dentiste, il a une grande habitude de la strat et sait au départ quel sera son résultat final, il ne va pas tatoner et perdre du temps.)


damdam

27/06/2011 à 15h14

vmdeugénol écrivait:
--------------------
> Le cut back est une technique de stratification de céramique sur des pseudo
> armatures en vitro céramique ou Emax.
> Ces armatures sont usinées comme des couronnes mais avec le logiciel on évide
> des zones occlusales et/ou vestibulaires pour les stratifier.
>
> C'est très didactique, on apprend beaucoup en faisant du cut back, et cela
> permet ensuite de faire du monobloc esthétique en ayant bien compris les
> paramètres optiques du tout céramique.
>
> (le cut back reste chronophage au cabinet, cela freine la séance unique et un
> bon céramiste se chargera souvent mieux de cette tâche qu'un dentiste, il a une
> grande habitude de la strat et sait au départ quel sera son résultat final, il
> ne va pas tatoner et perdre du temps.)

biensur mieux vaut laisser faire un bon céramiste pour la stratif
mais tout dépend de la structure dans laquelle il exerce
et pourquoi pas à terme avoir un céramiste à demeure il faut y penser avant


vmdeugénol

27/06/2011 à 16h17

D'un autre côté on peut aussi se demander si la stratification est vraiment essentielle avec le tout céramique.

Pour la CCM, OUI, puisqu'il faut gérer l'opacité absolue du métal et recréer l'illusion de la luminosité et de la translucidité dentaire avec l'art du liner et de la stratification.

Avec le tout céramique.....oui, si on connait mal les matériaux et pas souvent si on maîtrise mieux matériaux et préparations des supports.

Embaucher un céramiste..........pourquoi pas......mais peut être pas en omnipratique.


Smile beach jgh0a1 - Eugenol
Céramik

27/06/2011 à 20h41

Avec les bloc "multilux", la stratification...bof dans la plupart des cas.

Selon certain, la grande majorité des chapes céram se font par Cad-Cam, et selon la demande, on peut stratifier.
Le céramiste ne fait que maquiller et glacer.

Quand je fait une arcade de e-max, je demande de stratifier de 13 à 23, le reste en mono-bloc.



--
Céramik


Img 4593 pnrtmh - Eugenol
teethsurfer

28/06/2011 à 20h47

Autre question: le poudrage étant réalisé avec un aérosol glacial, cela peut s'avérer très désagréable sur dents sensibles (je viens de le tester!..)
En dehors d'une anesthésie systématique, existe t'il d'autres techniques de poudrage plus soft, ou avez vous des astuces?


vmdeugénol

28/06/2011 à 21h29

Avec un simple aérographe et un air médical basse pression sans eau comme on a pu le voir au symposium CFAO de Cap d'Agde il y a quelques jour.


Img 4593 pnrtmh - Eugenol
teethsurfer

28/06/2011 à 21h45

Il me semble que je m'intéresse au Cerec au bon moment ;o)..

Comment le concevoir, as tu des références particulières ou bien cela peut-il se trouver facilement dans le commerce spécialisé?


vmdeugénol

29/06/2011 à 20h09

il existe des techniques de poudrage simple par aérographe, mais aussi un nouvel outil imaginé par mon ami prothésiste Chris Leinweber de Calgary Alberta, Canada.

Il vient juste de le commercialiser, pour les utilisateurs de cerec, c'est peut être à essayer!

http://www.cerecclearshot.com


Zoe   son arriv e whwqpj - Eugenol
emma

29/06/2011 à 21h44

Céramik écrivait:
.
>
> Quand je fait une arcade de e-max, je demande de stratifier de 13 à 23, le reste
> en mono-bloc.
>
>
>
> --
> Céramik
idem, mais j'utilise le Cerec pour les réalisations postérieures.

--
Emma


damdam

02/07/2011 à 01h45

vmdeugénol écrivait:
--------------------
> il existe des techniques de poudrage simple par aérographe, mais aussi un nouvel
> outil imaginé par mon ami prothésiste Chris Leinweber de Calgary Alberta,
> Canada.
>
> Il vient juste de le commercialiser, pour les utilisateurs de cerec, c'est peut
> être à essayer!
>
> http://www.cerecclearshot.com

je viens de recevoir mes premiers cette semaine
en effet c'est pas mal d'une part pour centrer la prise de vue
la prise de clichés devient plus fluide (enfin pour moi qui n'ai mon cerec que depuis deux mois peut être pas pour un utilisateur chevronné)

çà repousse bien la langue
les modèles virtuels paraissent plus nets

PS pour le centrage de la prise de vue c'est top surtout pour passer au niveau des canines....


vmdeugénol

04/07/2011 à 13h58

Pourrais tu poster des captures d'images faites avec le clear shot?


damdam

05/07/2011 à 00h47

vmdeugénol écrivait:
--------------------
> Pourrais tu poster des captures d'images faites avec le clear shot?

donnes moi ton adresse en mp et je t'en envoi 1
le mieux c'est de l'essayer je pense

PS: je ne suis pas vendeur.....


denlv35

20/09/2011 à 20h27

bonjour,
pour ceux qui ne sont pas encore au courant, une présentation du Cerec 4.0 est en ligne sur le site Sirona.

j'assiste à une présentation jeudi.

je vous tiendrais informé sur mes impressions


P1060810  800x600  dlavv9 - Eugenol
Hebken

21/09/2011 à 11h22

denlv35 écrivait:
-----------------
> bonjour,
> pour ceux qui ne sont pas encore au courant, une présentation du Cerec 4.0 est
> en ligne sur le site Sirona.
>
> j'assiste à une présentation jeudi.
>
> je vous tiendrais informé sur mes impressions

Salut, si c'est à Dinard, ma collègue et moi en serons
aussi.
alors à jeudi ! ^^


1...456...