Cookie Consent byPrivacyPolicies.comCEREC côté pratique et technique - Eugenol

CEREC côté pratique et technique

P1060810  800x600  dlavv9 - Eugenol
Hebken

08/02/2012 à 16h40

vali écrivait:
--------------
> pour la vidéo ho! c'est drôle.
> Le dentiste prend les clichés en bouche jusque là, tout va bien et la, magique!
> C'est le modèle d'entrainement de sirona qui se retrouve sur l'écran de
> modélisation. hihihi!
> Il fait de très très belle préparation ce monsieur MDR.

Allons-allons soyons indulgent, pour avoir participé à un reportage pour un magazine de M6 il va de soi qu'il s'agit de mise en scène, là je dirais chez le revendeur cerec, sur du matériel d'expo avec le commercial sur le fauteuil sous l'oeil du patron de la boite: j'ai bon?


Image ag8nh7 - Eugenol
vali

08/02/2012 à 16h53

oui, ça m'en a tout l'air ;-)





Hebken écrivait:
----------------
> vali écrivait:
> --------------
> > pour la vidéo ho! c'est drôle.
> > Le dentiste prend les clichés en bouche jusque là, tout va bien et la,
> magique!
> > C'est le modèle d'entrainement de sirona qui se retrouve sur l'écran de
> > modélisation. hihihi!
> > Il fait de très très belle préparation ce monsieur MDR.
>
> Allons-allons soyons indulgent, pour avoir participé à un reportage pour un
> magazine de M6 il va de soi qu'il s'agit de mise en scène, là je dirais chez le
> revendeur cerec, sur du matériel d'expo avec le commercial sur le fauteuil sous
> l'oeil du patron de la boite: j'ai bon?


Photo thumb 45 lnhuvp - Eugenol
wakrap

08/02/2012 à 20h12

Pour ma part cela fait 4 dents pour lesquelles je compare le premier jet en 3.85 et en 4. Il n'y a pas photo, la 4 est très supérieure dès le premier dessin de la dent, ce qui entraîne un gros gain de temps pour la finir.
Mais je débute juste sur le 4.0


Image ag8nh7 - Eugenol
vali

08/02/2012 à 21h20

Hihihi! Lorsque je l'ai dit (que la 4.0 était vraiment bien), j'ai cru qu'on allait me pendre sur le forum public d'eugenol.


P1060810  800x600  dlavv9 - Eugenol
Hebken

09/02/2012 à 10h32

ca y est version 4.02 négociée, figurez-vous que sirona voulait nous faire payer les mois de cotisation antérieurs à l'abonnement au "cerec club", sans pourtant disposer de la dernière version...limite escroquerie quand même.
Certains commerciaux s'en sont émus et il semblerait que sirona france ait fait machine arrière...qu'en est-il chez ceux qui n'étaient pas encore au cerec club et qui avaient la version 3.85?

Merci

Photo 084 i5knua - Eugenol
Photo 082 fs5uaw - Eugenol

Image ag8nh7 - Eugenol
vali

09/02/2012 à 15h29

ca y est version 4.02 négociée.


olé!!!


Img 4593 pnrtmh - Eugenol
teethsurfer

12/02/2012 à 21h47

vali écrivait:
--------------
> Et moi je fais la sté et les prothèses en robe du soir et talon aiguille, je
> vois pas ou est le problème. ;-D
>
>
>
>
> ʎqqoq écrivait:
> ---------------
> > http://videos.tf1.fr/jt-20h/de-la-3d-chez-le-dentiste-6972080.html
> >
> > Le Cerec, même TF1 en pense du bien, c'est dire! Et vous saurez que dans un
> > cabinet moderne, on bosse en costard!

Ce reportage a été réalisé à l'occasion du colloque Imagina ( applications 3D) qui s'est tenu à Monaco la semaine dernière, même le prince Albert s'y est mis, en costard naturellement, caméra en main, guidé par François Duret lui même ;o)
www.imagina.mc


Image ag8nh7 - Eugenol
vali

12/02/2012 à 21h57

Oui et bien justement ils auraient au moins pu utiliser la 4.02.
;-D


Img 4593 pnrtmh - Eugenol
teethsurfer

12/02/2012 à 22h51

C'était bien le cas au colloque et c'est celle que le prince y a découverte, mais la 4.03 est déjà annoncée et va bientôt la détrônée ;o) ...


Img 4593 pnrtmh - Eugenol
teethsurfer

26/02/2012 à 23h40

Je viens de recevoir mon cerec 4.02 et je n'ai que 2 jours de pratique, je vous livre mon avis en tant que nouvel utilisateur sans comparaison possible avec les versions antérieures:

Le logiciel me parait assez complet, bien structuré et interactif.
L'empreinte optique ne pose aucun problème après des gingivoplasties dans la même séance au CO².
la FAO est très rapide.
La précision est bluffante.

Mais une machine reste une machine...

Pour preuve, mes 2 premières couronnes ont du être refaites car,elles se sont docilement mise en contact avec leurs antagonistes en attente de prothèses en prenant des formes globuleuses, il fallait naturellement réaliser des retouches correctives sur le logiciel mais encore fallait-il le savoir!(leçon n°1)

J'ai réalisé plusieurs onlays dont 2 simultanés sans problème mais j'ai eu des difficultés à placer mon premier onlay dans une cavité où j'avais laissé volontairement des contre dépouilles devant être comblées par le composite de collage, il aurait mieux valu ne pas hésiter à tailler d'avantage (leçon n°2)

Les avantages sont indéniables et connus mais j'apprécie surtout le fait de pouvoir tailler sans soucis de casse lors de parois fines résiduelles puisqu'elles sont immédiatement consolidées par le collage des céramiques ainsi que de ne plus être limité par le volume des piliers de couronnes, ce qui change radicalement mes critères de taille.

Naturellement il me reste à suivre la courbe d'apprentissage et vos avis sont toujours les bienvenus.

Quelques illustrations:

791 uvksah - Eugenol
804 mu3vcp - Eugenol
806 mmad2l - Eugenol
818 ehkl7m - Eugenol
504 zvytyh - Eugenol
512 wvcdeb - Eugenol
565 weihlc - Eugenol
925 zcvq5g - Eugenol
935 lgztfu - Eugenol
939 bg8i6o - Eugenol
954 gibojd - Eugenol
956 zonsbt - Eugenol
959 ayi2wi - Eugenol
964 kfhsyl - Eugenol
970 cedi1a - Eugenol
828 snncdw - Eugenol

Smile beach jgh0a1 - Eugenol
Céramik

27/02/2012 à 00h05

wow, l'implant court et la pseudo-rétention en inlay sur la voisine, combien de temps cela a tenu ?

Tu colles direct sur la dentine "noire" ou bien tu y places quelque chose ?

Pour tes contre-dépouilles, ne taille pas plus, cela va contre l'idée de pouvoir préserver plus de tissu dentaire...il doit y avoir moyen de combler virtuellement avant l'usinage.

"collage à risque" avec ton 1er cas, dent un peu "courte" non ?...
Tu colles comment ?

--
Céramik


Img 4593 pnrtmh - Eugenol
teethsurfer

27/02/2012 à 00h42

Cet implant et la réalisation prothétique ont été posés par un correspondant il y a un plus d'un an en remplacement d'un autre implant posé en 2008 suite à un début de nécrose entre 15 et 16. Il est venu facilement et je dois lui réaliser un valplast car elle veut faire une pause, ce qui se comprend aisément...
J'ai collé l'overlay au multilink sans opacifier la zone grise.

En ce qui concerne la 36, j'ai préféré supprimer le compo pour avoir le moins d'interface possible, cela sera un bon test de résistance mais pour l'instant elle n'a pas d'antagonisme.

Éliminer les contre dépouilles par une taille plus agressive est le conseil du formateur, mais étant moi même peu invasif j'irai plus dans ton sens, encore faudrait-il être certain qu'un comblement au compo serait plus fiable qu'un collage fin de céramique...


Smile beach jgh0a1 - Eugenol
Céramik

27/02/2012 à 01h09

A suivre pour la 36, mais sans antagoniste, elle va tenir !

Merci pour les précisions


--
Céramik


003 penrd2 - Eugenol
Cingulum

27/02/2012 à 19h49


L'onlay / implant , j'adore je suis fan...
vraiment il y a en qui mélange tout, sans aucun sens clinique...


--
Dr Cingulum
-----Ancien interné----
----Attaché à l'apex----
http://www.clinic-all.fr/ formation par passion


Sarté

11/03/2012 à 12h26

Salut, pour le soucis des contre dépouilles, quand elles sont petites, ca ne pose pas de problèmes. Pour les grosses, tu devrais les laisser et les combler avec un compo flow, ensuite tu le refais une bonne prep.


Scan10030 ukikhq - Eugenol
vava

14/03/2012 à 09h00

Cingulum écrivait:
------------------
>
> L'onlay / implant , j'adore je suis fan...
> vraiment il y a en qui mélange tout, sans aucun sens clinique...
>
>
> --
> Dr Cingulum
> -----Ancien interné----
> ----Attaché à l'apex----
> http://www.clinic-all.fr/ formation par passion

il ferait bien de s'inscrire à ta soirée lyonnaise


Img 4593 pnrtmh - Eugenol
teethsurfer

16/03/2012 à 19h48

Sarté écrivait:
--------------- Salut, pour le soucis des contre dépouilles, quand elles sont petites, ca ne
pose pas de problèmes. Pour les grosses, tu devrais les laisser et les combler
avec un compo flow, ensuite tu le refais une bonne prep.

Je pense en effet que tu as raison.

vava écrivait:
--------------
> Cingulum écrivait:
------------------L'onlay / implant , j'adore je suis fan...
vraiment il y a en qui mélange tout, sans aucun sens clinique...
Dr Cingulum
http://www.clinic-all.fr/ formation par passion
il ferait bien de s'inscrire à ta soirée lyonnaise

Il en est loin et son truc, c'est les implants pas la prothèse collée…


P1060810  800x600  dlavv9 - Eugenol
Hebken

21/03/2012 à 12h07

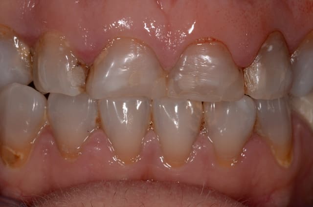
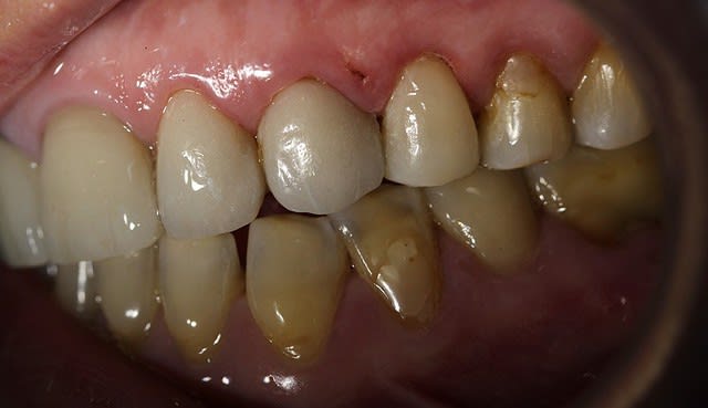
Patiente, 38 ans, ancienne anorexique, abrasions érosives énormes du bloc incisivo canin.

Blocs vita Tri Luxe forte. Cerec v 3.85

Photos le jour de la pose.

Photo 123 udjt1j - Eugenol
Photo 062 fsql5v - Eugenol
Photo 069 ig4t0r - Eugenol
Photo 070 nyjtbu - Eugenol
Photo 119 gp4gtv - Eugenol
Photo 121 o915eu - Eugenol
Photo 033 tb3vop - Eugenol
Photo 037 xnw5jo - Eugenol
S2 makwh7 - Eugenol

Img 4593 pnrtmh - Eugenol
teethsurfer

21/03/2012 à 21h51

Beau travail, Hebken, tu sembles avoir bien évoluer depuis que tu t'es lancé sur ce sujet ;o) Quel est ton appréciation d'ailleurs après une année de pratique?
Tu n'as fait que des facettes sur ce cas?

Je démarre à peine avec la 4.02 et je viens de poser ma première facette sur une 24 réalisée avec un bloc multi sans maquillage, l'effet mimétique est saisissant grâce à son dégradé et sa translucidité et se rapproche d'avantage des dents naturelles que des autres facettes réalisées en labo sur 12,21,22 et 23, la 11 étant couronnée.

L'esthétique n'est pas systématiquement bradée sur les réalisations Cerec, contrairement à ce que l'on peut avoir tendance à dire en comparant avec des céramiques stratifiées, sont-elles d'ailleurs si différentes des multi?

Ce qui est évident par contre, c'est le gain notable en précision d'adaptation, qui elle est quasiment systématique!

Si je devais choisir entre précision et esthétique, j'opterai sans hésiter pour la première, mais je suis maintenant convaincu qu'il est tout à fait possible d'obtenir les 2 ;o)

Img 2477 e0vapc - Eugenol
Img 1538 rptr08 - Eugenol
Img 0879   copie wia2os - Eugenol
Img 0881   copie t2fglk - Eugenol

damdam

21/03/2012 à 22h26

non l'esthétique n'est pas bradé, il y a une courbe d'apprentissage c'est tout

voici une tentative d'amélioration esthétique avec bloc vita markII 2M2
avec maquillage (birch)


P1060810  800x600  dlavv9 - Eugenol
Hebken

22/03/2012 à 10h35

teethsurfer écrivait:
---------------------
> Beau travail, Hebken, tu sembles avoir bien évoluer depuis que tu t'es lancé sur
> ce sujet ;o) Quel est ton appréciation d'ailleurs après une année de pratique?
> Tu n'as fait que des facettes sur ce cas?
>
> Je démarre à peine avec la 4.02 et je viens de poser ma première facette sur une
> 24 réalisée avec un bloc multi sans maquillage, l'effet mimétique est saisissant
> grâce à son dégradé et sa translucidité et se rapproche d'avantage des dents
> naturelles que des autres facettes réalisées en labo sur 12,21,22 et 23, la 11
> étant couronnée.
>
> L'esthétique n'est pas systématiquement bradée sur les réalisations Cerec,
> contrairement à ce que l'on peut avoir tendance à dire en comparant avec des
> céramiques stratifiées, sont-elles d'ailleurs si différentes des multi?
>
> Ce qui est évident par contre, c'est le gain notable en précision d'adaptation,
> qui elle est quasiment systématique!
>
> Si je devais choisir entre précision et esthétique, j'opterai sans hésiter pour
> la première, mais je suis maintenant convaincu qu'il est tout à fait possible
> d'obtenir les 2 ;o)
>
Je suis toujours en attente de la version 4.02 que j'ai testée par ailleurs.
Les patients sont ravis, j'ai eu quelques soucis liés au collage, quelques fractures à la cuisson (problèmes de formes de prépas?), mais des résultats constants très positifs. La précision (contrairement à ce qu'on peut lire sur eugénol ^^ par les non utilisateurs) est excellente, bien meilleure que celle de certains de mes prothésistes sur plâtre. L'Esthétique avec les blocs dégradés dans la masse, est très bonne, même en blocs vita.
On verra sur la durée... ;)


Image ag8nh7 - Eugenol
vali

22/03/2012 à 12h46

la 4.02 tu as juste à télécharger la mise à jour sur le site de sirona si tu a la 4.0 .




Hebken écrivait:
----------------
> teethsurfer écrivait:
> ---------------------
> > Beau travail, Hebken, tu sembles avoir bien évoluer depuis que tu t'es lancé
> sur
> > ce sujet ;o) Quel est ton appréciation d'ailleurs après une année de pratique?
> > Tu n'as fait que des facettes sur ce cas?
> >
> > Je démarre à peine avec la 4.02 et je viens de poser ma première facette sur
> une
> > 24 réalisée avec un bloc multi sans maquillage, l'effet mimétique est
> saisissant
> > grâce à son dégradé et sa translucidité et se rapproche d'avantage des dents
> > naturelles que des autres facettes réalisées en labo sur 12,21,22 et 23, la 11
> > étant couronnée.
> >
> > L'esthétique n'est pas systématiquement bradée sur les réalisations Cerec,
> > contrairement à ce que l'on peut avoir tendance à dire en comparant avec des
> > céramiques stratifiées, sont-elles d'ailleurs si différentes des multi?
> >
> > Ce qui est évident par contre, c'est le gain notable en précision
> d'adaptation,
> > qui elle est quasiment systématique!
> >
> > Si je devais choisir entre précision et esthétique, j'opterai sans hésiter
> pour
> > la première, mais je suis maintenant convaincu qu'il est tout à fait possible
> > d'obtenir les 2 ;o)
> >
> Je suis toujours en attente de la version 4.02 que j'ai testée par ailleurs.
> Les patients sont ravis, j'ai eu quelques soucis liés au collage, quelques
> fractures à la cuisson (problèmes de formes de prépas?), mais des résultats
> constants très positifs. La précision (contrairement à ce qu'on peut lire sur
> eugénol ^^ par les non utilisateurs) est excellente, bien meilleure que celle de
> certains de mes prothésistes sur plâtre. L'Esthétique avec les blocs dégradés
> dans la masse, est très bonne, même en blocs vita.
> On verra sur la durée... ;)


P1060810  800x600  dlavv9 - Eugenol
Hebken

22/03/2012 à 12h53

^^
on devait l'avoir lundi...mais comme il y avait changement de PC...ce n'était pas le bon ! pas d'bol vraiment.

vali écrivait:
--------------
> la 4.02 tu as juste à télécharger la mise à jour sur le site de sirona si tu a
> la 4.0 .
>
>
>
>
> Hebken écrivait:
> ----------------
> > teethsurfer écrivait:
> > ---------------------
> > > Beau travail, Hebken, tu sembles avoir bien évoluer depuis que tu t'es lancé
> > sur
> > > ce sujet ;o) Quel est ton appréciation d'ailleurs après une année de
> pratique?
> > > Tu n'as fait que des facettes sur ce cas?
> > >
> > > Je démarre à peine avec la 4.02 et je viens de poser ma première facette sur
> > une
> > > 24 réalisée avec un bloc multi sans maquillage, l'effet mimétique est
> > saisissant
> > > grâce à son dégradé et sa translucidité et se rapproche d'avantage des dents
> > > naturelles que des autres facettes réalisées en labo sur 12,21,22 et 23, la
> 11
> > > étant couronnée.
> > >
> > > L'esthétique n'est pas systématiquement bradée sur les réalisations Cerec,
> > > contrairement à ce que l'on peut avoir tendance à dire en comparant avec des
> > > céramiques stratifiées, sont-elles d'ailleurs si différentes des multi?
> > >
> > > Ce qui est évident par contre, c'est le gain notable en précision
> > d'adaptation,
> > > qui elle est quasiment systématique!
> > >
> > > Si je devais choisir entre précision et esthétique, j'opterai sans hésiter
> > pour
> > > la première, mais je suis maintenant convaincu qu'il est tout à fait
> possible
> > > d'obtenir les 2 ;o)
> > >
> > Je suis toujours en attente de la version 4.02 que j'ai testée par ailleurs.
> > Les patients sont ravis, j'ai eu quelques soucis liés au collage, quelques
> > fractures à la cuisson (problèmes de formes de prépas?), mais des résultats
> > constants très positifs. La précision (contrairement à ce qu'on peut lire sur
> > eugénol ^^ par les non utilisateurs) est excellente, bien meilleure que celle
> de
> > certains de mes prothésistes sur plâtre. L'Esthétique avec les blocs dégradés
> > dans la masse, est très bonne, même en blocs vita.
> > On verra sur la durée... ;)


vmdeugénol

27/03/2012 à 14h17

La casse c'est presque toujours du aux prépa et les qualités optiques des céramiques et donc l'esthétique est aussi liée aux prépas.
La PAG règle facilement les problèmes de base dus aux prépas....



Hebken écrivait:
----------------


> Je suis toujours en attente de la version 4.02 que j'ai testée par ailleurs.
> Les patients sont ravis, j'ai eu quelques soucis liés au collage, quelques
> fractures à la cuisson (problèmes de formes de prépas?), mais des résultats
> constants très positifs. La précision (contrairement à ce qu'on peut lire sur
> eugénol ^^ par les non utilisateurs) est excellente, bien meilleure que celle de
> certains de mes prothésistes sur plâtre. L'Esthétique avec les blocs dégradés
> dans la masse, est très bonne, même en blocs vita.
> On verra sur la durée... ;)


King lcqqit - Eugenol
King of PAP

24/11/2013 à 09h39

Salut
Je me permets de relancer le sujet parce qu'après avoir longtemps hésité, calculé, négocié, je me lance courant décembre.
Je voulais savoir quels blocs vous utilisez et pour quelles indications (inlays sur vitales, inlays sur dts dévitalisées, couronnes, bridges )
Merci d'avance


1...6789