Cookie Consent byPrivacyPolicies.comimplant et prothèse partielle - Eugenol

implant et prothèse partielle

sagito

19/04/2011 à 10h15

bonjour
est ce que certains d'entre vous ont l'habitude de rèaliser ,des implants dans le but de soutenir une prothèse partielle ;par exemple dans mon cas ,le patient est édenté de 14 à 18 et de 24 à 28 je me posais la question de réaliser 2 implants en 14 et 24 avec 2 attachements axiaux types locator .Est ce que ca fonctionne ,est ce durable ?merci de me faire profiter de votre expérience et de vos réponses


tarski

19/04/2011 à 10h34

un petit bouquin : "Réussir Implants et prothese partielle amovible" de Taddéi et Waltmann" chez Quitessence International.


Roger federer 300x217 eqdnuv - Eugenol
Patatrasse

19/04/2011 à 11h59

Oui c'est très efficace sur un complet du bas (Locator).
Après, sur un édentement terminal,c'est dommage de ne pas mettre un implant en 26 et 16 (avec un petit soulevé de sinus si nécessaire ) et réaliser 2 bridges implanto/portés ce qui va quand même être beaucoup plus naturel que la plaque métal au palais.
A toi d'être convaincant.


sagito

19/04/2011 à 13h52

je suis entièrement d'accord avec toi ,j'ai une petite expèrience en ce qui concerne les complets du bas avec locator ,mais pas en ppa,si je fais ca tu t'en doutes c'est premierement pour un probleme financier et ensuite pour eviter des crochets sur les 3


Roger federer 300x217 eqdnuv - Eugenol
Patatrasse

19/04/2011 à 14h01

Dans ce cas ,pour en avoir testé un (partiel 6 dents avec locator),ça marche aussi très bien mais je persiste ,quel dommaaaaaaaage !


Avatar ow44t3 - Eugenol
Chicot

19/04/2011 à 15h30

Patatrasse écrivait:
--------------------
> ça marche
> aussi très bien mais je persiste ,quel dommaaaaaaaage !

+1
--
;O)


Photo 158 mluhia - Eugenol
robin

19/04/2011 à 18h46

Vous n'avez pas peur que dans ce cas précis, le mouvement de bascule avec pour axe de rotation les attachements, n'oblige à une maintenance fréquente, voir très fréquente.?


juninho56

19/04/2011 à 19h25

Bonjour à tous

Je souhaiterai poser une question à mes confrères qui posent des implants. J'ai une idée des tarifs pour un implant et une couronne. Je souhaiterai connaitre le tarif pour stabiliser une prothèse amovible comme 2implants avec 2 locators


Image 4 lrchtq - Eugenol
Alain

19/04/2011 à 19h30

le cahier des charges pour une prothèse stabilisée au maxillaire, c'est 4 implants.

après, ce n'est pas non plus le même budget mais c'est vrai qu'il faut envisager la solution fixe avec deux ou quatre implants supplémentaires.


Img 1744 z0evts - Eugenol
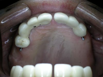
dumaille

19/04/2011 à 23h15

pour ma part, j'ai realisé trois cas ou j'ai utilise des implants associés à des locator pour la retention de stellite.
ça fonctionne tres bien.
j'ai eu une difficulté lorsque j'ai mis en "competition" un attachement et un crochet, le crochet etant beacoup plus faible que l'attachement controlateral.
vous comprendrez mieux avec les photos jointes.
--
La vie est une fête!

Dscn2000 aw1q5j - Eugenol
Dscn1998 kfatz6 - Eugenol
Dscn1999 sxmzdb - Eugenol

sagito

20/04/2011 à 09h21

pourquoi n'as tu pas mis un implant en 34 et donc un 2eme locator,(pb d'os ???)


Img 1744 z0evts - Eugenol
dumaille

20/04/2011 à 13h01

sagito écrivait:
----------------
> pourquoi n'as tu pas mis un implant en 34 et donc un 2eme locator,(pb d'os ???)

les volumes osseux ne le permettent pas et je pensais que le crochet sur la couronne fraisée en 33 serait quasi aussi puissant que le locator.
mais c'est un peu de la branlette intellectuelle car le patient est tout à fait satisfait depuis un an 1/2.
--
La vie est une fête!


Icon poker h4nm2d - Eugenol
jeff

20/04/2011 à 21h07

voici un cas réalisé en 2006 , avec des mini-implant Obi euroteknika. C'etait les premiers mini-implants que je posais, et j'ai fait une erreur dans le protocole, c'est a dire , j'ai oublié de meuler la résine au dessus de la boule après la fixation des oring. Je pense que c'est ce qui explique la perte d'un implant à 3 mois. Depuis : ras.

Donc, un implant standart de chaque coté, pour moi, pas de probleme, mais uniquement avec un stellite avec selle amortie disjointe ( recherche gerard Jourda, en prothèse ).

Mini implants t1sqx8 - Eugenol

3f3boxni50k58rq7e9ce9ddqrxgk - Eugenol
dentiste57

20/04/2011 à 21h38

un autre cas...

par contre, je préfère assurer en mettant des implants plus postérieurs.
ici le patient ne voulait pas de sinus lift, donc...

Dsc 5658 ftut4m - Eugenol
Dsc 5660 vppixp - Eugenol
Dsc 5661 cddryr - Eugenol

aldo74

20/04/2011 à 22h54

future fracture sur 14 et /ou 24 ???
l'épaisseur de la résine sur les attachements semble fine et glissière ouverte ??
implants ++


aldo74

20/04/2011 à 22h59

dumaille écrivait:j'ai eu une difficulté lorsque j'ai mis en "compétition" un attachement et un crochet, le crochet étant beaucoup plus faible que l'attachement controlateral.

normal, la face vestibulaire de la couronne est fuyante,impossible d'activer le crochet....
un petit attachement (mini SG cendres et métaux)aurait été bienvenue(coût+)


Img 1744 z0evts - Eugenol
dumaille

20/04/2011 à 23h16

je n'aime pas les attachements extra coronaire, encore plus lorsque le systeme est assimilable à un cantilever distal.

--
La vie est une fête!


aldo74

20/04/2011 à 23h20

demande une surveillance (normale) et de bon attachements qui soient bien posés (plus rare)....


Img 1744 z0evts - Eugenol
dumaille

20/04/2011 à 23h31

ça te semble bien posé?

ce sont des cendres et metaux bien sur.
non vraiment le rapport intérêt prix me semble mauvais, mais ce n'est que mon opinion.
--
La vie est une fête!

Dscn1073 vsgfd1 - Eugenol

Dos02 qpcfgi - Eugenol
Rick

21/04/2011 à 14h04

La configuration de l’arcade n’est pas symetrique, faisons avec.
Dans les prolongements distaux des attachements le paralelisme est la regle.
Fraisage et contre fraisage sans epaulement sur derniers pilliers auraient un interet comme repartiteur de charges, plus encore guidage a l’insertion de la prothese un peu pointue avec les SG ;)


johnnybegood

21/04/2011 à 14h36

bon voici un cas pour alimenter le post

100 iga7y1 - Eugenol
103 fj7smy - Eugenol
105 ce58gy - Eugenol

letropezien

07/12/2011 à 18h05

http://www.information-dentaire.fr/pdf/SPvol2n5p383.pdf?PHPSESSID


Zorglub

07/12/2011 à 18h13

Cela semble très sympa mais n'ayant jamais vu de telles constructions proposées dans mes cours d'implantologie, je me demande en fait si vous avez un recul de 5 à 10 ans sur vos cas car nous avons tous qu'au début, à peu près tout fonctionne.


letropezien

10/12/2011 à 17h07

en complément pour info

http://selles.disjointes.monsite-orange.fr