Cookie Consent byPrivacyPolicies.com"one system implant" qui connait? - Eugenol

"one system implant" qui connait?

yann7

20/04/2011 à 18h21

bonjour,
j'ai une patiente qui a des implants de ce type en bouche, une prothèse à terminer et son ancien dentiste dans la nature

j'ai glané quelques info sur le net mais pas moyen de trouver le distributeur en france, quelqu'un aurait il ces infos?
merci


Photo pluton1b h9n4ea - Eugenol
pluton

20/04/2011 à 18h29

connais pas...
balances les liens sur ce que tu as trouvé...on peut peut-être trouver une soluce...;-)


Img 3657 cwjvqm - Eugenol
alapex

20/04/2011 à 18h41

Une seule solution : "Allo Pépé " ...)))


Photo pluton1b h9n4ea - Eugenol
pluton

20/04/2011 à 19h01

j'ai trouvé çà
http://www.fpm-me.com/Ferrari_french_web.pdf

je suis pas sûr que çà existe encore....


Photo pluton1b h9n4ea - Eugenol
pluton

20/04/2011 à 19h45

'tain, j'ai glané un n° de tel et une adresse en france en parcourant le pdf...

one system implant
11 rue Notre Dame
06400 CANNES
04.93.39.32.77

par contre, j'ai tenté d'appeler...nada...d'où mes craintes sur l'existence actuelle de cette marque...


Photo pluton1b h9n4ea - Eugenol
pluton

21/04/2011 à 00h26

ouaip...j'ai traîné pas mal sur le net ce soir...
bilan: je pense que cette marque n'existe plus!!!
tous les liens et contacts semblent "brisés"...

pas étonnant final que son précédent praticien soit "dans la nature"...
à moins d'un coup de bol pour qu'un eugénolien ait encore quelques pièces détachées à te donner pour finir le cas...prépare ta patiente...et le tourne à gauche...:-(


Gonzo k0qhwz - Eugenol
matten

21/04/2011 à 01h25

Ben pourquoi ca ne serait pas compatible mis, alphabio et consors ?


Photo pluton1b h9n4ea - Eugenol
pluton

21/04/2011 à 01h50

si c'est le modèle à hex...peut être (mais je parierais plus sur un hex serf) mais il faut encore que le pas de vis soit compatible...
si c'est un cône morse...je n'en connais pas d'autre à 5°...à 3° oui, à 8° aussi, à 11° de même...mais pas à 5°...


Logo vuaztn - Eugenol
mac

21/04/2011 à 10h30

pluton écrivait:
----------------

>
> pas étonnant final que son précédent praticien soit "dans la nature"...


tu peux expliquer stp?


Photo pluton1b h9n4ea - Eugenol
pluton

21/04/2011 à 10h59

mac écrivait:
-------------
> pluton écrivait:
> ----------------
>
> >
> > pas étonnant final que son précédent praticien soit "dans la nature"...
>
>
> tu peux expliquer stp?

tu le fais exprès ou quoi????....noooonnnn.....ne me dis pas que tu les as quasi tous grillés et qu'il ne t'en reste plus qu'un....;-)))


Samy8 mgu6if - Eugenol
oliverKapaspeur

21/04/2011 à 11h55

je crois que c'est un clone de Straumann distribué par Impantdiscount. Sur leur site il l'appelle OSI (abréviations).
As-tu une radio qu'on voit la bete?
Bon Courage.


yann7

22/04/2011 à 00h31

merci pour vos réponses, je pense effectivement qu'il s'agit d'un cone morse, j'envoie la radio bientot


Avatar ow44t3 - Eugenol
Chicot

23/04/2011 à 10h14

yann7 écrivait:
---------------
> merci pour vos réponses, je pense effectivement qu'il s'agit d'un cone morse,
> j'envoie la radio bientot

N'empêche avec les grands systèmes il y a pas ce genre de soucis

Je suis étonné par le nombre de patient qui ne savent même pas ce qu'on leur implante !

--
;O)


Photo pluton1b h9n4ea - Eugenol
pluton

23/04/2011 à 10h31

Chicot écrivait:
----------------

> N'empêche avec les grands systèmes il y a pas ce genre de soucis
>
> Je suis étonné par le nombre de patient qui ne savent même pas ce qu'on leur
> implante !
>
> --
> ;O)

grand système ou non, çà peut toujours arriver, qu'un implant soit "abandonné" ou une marque fasse faillite!!!
voilà pourquoi je veux toujours avoir un système qui soit prothétiquement compatible avec d'autres marques...
pour moi c'est le cas entre ID et Zimmer (et toutes les connectiques similaires) ainsi que pour Dentium et Astra (et eurotecknika et cie...)


PopHip

23/04/2011 à 11h15

Chicot écrivait:
----------------

> N'empêche avec les grands systèmes il y a pas ce genre de soucis

Comme avec le grand système Steri Oss, racheté par le grand système Nobel ?


Photo pluton1b h9n4ea - Eugenol
pluton

23/04/2011 à 12h55

PopHip écrivait:
----------------

> Comme avec le grand système Steri Oss, racheté par le grand système Nobel ?

Ouaip, PopHip, c'est un exemple...il en existe sûrement d'autres...
voilà pourquoi, moi, je ne veux pas de l'axiom...malgré toutes ses qualités...
pour l'instant, Anthogyr va bien...quid dans quelques années???
et quand bien même, un rachat (ID et Sybron en est aussi un exemple), peut se solder par une mise au rebut pour raisons comptables d'une connexion trop onéreuse à produire...comme pour steri oss...
on connait la suite...
grande marque/petite marque...personne n'est à l'abri...la seule sécurité que l'on peut avoir, c'est l'inter-compatibilité entre systèmes...


PopHip

23/04/2011 à 14h32

Et d'ici à ce que Nobel abandonne Branemark parce qu'un jour plus personne ne fera exclusivement de l'hexagone externe...


Logo vuaztn - Eugenol
mac

23/04/2011 à 22h28

pour info c'est quelle connectique de steri-oss qui a été abandonnée par nobel?


PopHip

23/04/2011 à 23h13

Leur petit diamètre en hexagone externe et sauf erreur toutes les pièces pour les non hexagonaux.

Il y a très probablement des boîtes de par le monde qui assurent des pièces compatibles, vive Internet.


PopHip

23/04/2011 à 23h15

tiens j'ai trouvé ça http://www.implant-danger.com/sterioss.html


Ibiza69

24/04/2011 à 16h16

tu veux des visuels d'implants Branemark fracturés?
Halala


yann7

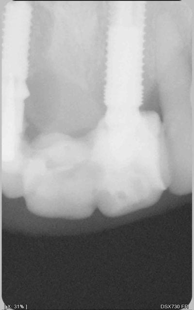
27/04/2011 à 10h26

désolé pour le retard, voici la radio,
je ne sais pas si les piliers provisoires seront réutilisable dans le pire des cas...

001 nipqo0 - Eugenol

yann7

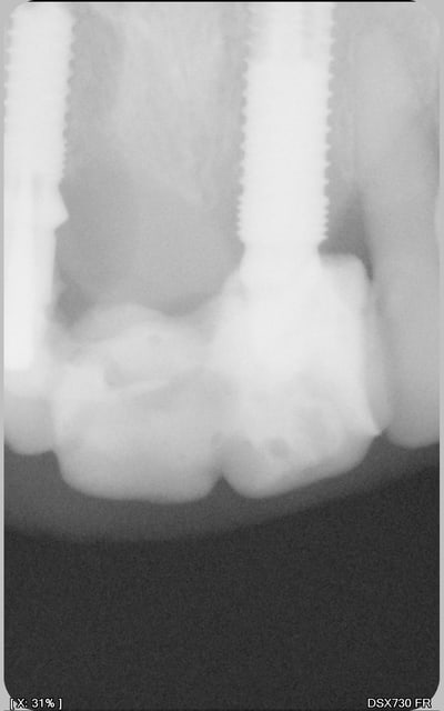
27/04/2011 à 10h28

c mieux comme ca

001 lr8bhm - Eugenol