Cookie Consent byPrivacyPolicies.comEndo de l'après-midi...pas de soucis - Eugenol

Endo de l'après-midi...pas de soucis

Img 1392 s73srk - Eugenol
Guttaman

22/04/2011 à 18h53

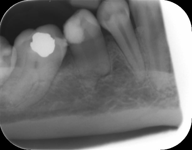
Bon...on va attendre 6 mois avant de dire qu'il n'y a pas de soucis. La difficulté ici était le lentulo fracturé coronairement qui n'autorisait pas le by-pass (au départ, parce que je lui ai expliqué qu'il fallait qu'il se pousse pour me laisser passer et il a été gentil, il m'a obéit :-))

R3 wn0xwq - Eugenol
R10 hmwtot - Eugenol

Img 1392 s73srk - Eugenol
Guttaman

22/04/2011 à 19h35

En fait, ça ne se voit pas sur la radio d'eugenol (perte de qualité) mais il y a un lentulo dans l'obturation du canal MV (et un autre au niveau apical que l'on voit ici).


200106 10150128247663588 709988587 6466236 5598391 n d7mksb - Eugenol
hallboy

22/04/2011 à 19h48

le core etait facile a demonter?
Combien de temsp pour tout ça?


Img 1392 s73srk - Eugenol
Guttaman

22/04/2011 à 19h50

2h15 pour la 46 et la 45. La dépose des éléments coronaires a été très rapide.


juninho56

22/04/2011 à 23h05

Beau boulot

J'aurai 2 questions à te poser:
1-Comment as tu déposé les éléments coronaires (descellé ou tout découpé)
2-Dans ce genre de cas, quel type de reconstitution fais tu apres pour protèger ton traitement pendant la cicatrisation?


Img 1392 s73srk - Eugenol
Guttaman

23/04/2011 à 01h38

Merci
Ici les éléments se sont décescellés. J'avais tout d'abord coupé entre 45 et 46 car solidarisées, puis classiquement entaillé à la fraise diamantée sur le côté et WamKey.
Les inlay-cores sont venus àà chaque fois avec la couronne...mais ce n'est malheureusement pas souvent le cas.

Je demande au praticien référent de réaliser une reconstitution étanche (inlay-core ou SC33 en fonction du délabrement et de leurs habitudes, plus provisoire). Ce n'est ni plus ni moins que ce qui est recommandé dans la littérature. Ici, le patient revoit son praticien demain (je demande à ce qu'ils revoient leur praticien dans les 15 jours maxi.


juninho56

23/04/2011 à 10h06

Merci pour ta réponse

Je savais pas que tu étais un spécialiste en endo, je te pensais omni comme moi. Quand il m'arrive des cas dans le meme genre, je fais ce que tu as indiqué: inlay core ou SC 33 plus provisoire et j'attends.




Img 1744 z0evts - Eugenol
dumaille

25/04/2011 à 00h22

attends tu une cicatrisation de la lesion de la furcation?

--
La vie est une fête!


Aymen

25/04/2011 à 00h35

Guttaman écrivait:
------------------
> Bon...on va attendre 6 mois avant de dire qu'il n'y a pas de soucis. La
> difficulté ici était le lentulo fracturé coronairement qui n'autorisait pas le
> by-pass (au départ, parce que je lui ai expliqué qu'il fallait qu'il se pousse
> pour me laisser passer et il a été gentil, il m'a obéit :-))
-----------------
salut
dans le cas ou le bypass est possible, avec des limes manuelles, osez vous utilisez du rotatif NiTI ou bien pas, autre chose, quel technique d'obturation apres un bypass??
merci
oups j'ai du oublier, c'est quoi le SC 33?? merci
--
Nahoo!!!


Img 1392 s73srk - Eugenol
Guttaman

25/04/2011 à 10h44

Pour répondre à dumaille : oui. Si tu regardes bien la radio postop, tu verras des trabécules osseuses juste sous la furcation. Le sondage était normal aussi bien en lingual qu'en vestibulaire. La lésion étant fermée, il n'y a aucune raison qu'en cas de succès apical il y ait une persistance radioclaire entre les racines.

Pour Aymen : Une fois le by-pass réalisé, Dominique Martin conseillait il y a quelques années dans une conférence de la SOP de rester en manuel avec les instruments NiTi. Je ne sais pas s'il s'applique ça à lui même ou si c'était un conseil destiné aux praticiens lambdas. Personnellement, je prend souvent ce risque (si je sens intuitivement en fonction du cas que je peux le faire, et si j'ai le moindre doute, je pense à mon ami Willy qui me disait un jour "si tu te poses la question, ne le fais pas !" Je pense d'ailleurs souvent à lui à cause de ça car il y a plein de situations cliniques où je me pose des questions. Dans le cas présenté, j'y suis allé en rotation mécanique justement. L'instrument fracturé coronairement à été enlevé après la mise en forme. Il faut bien comprendre qu'ici, ce fragment était un lentulo. Si ça avait été un protaper F2 par exemple, je serai sans doute rester en manuel, en fonction des sensations tactiles avec le dernier instrument acier utilisé (ici une lime K15).
Pour l'obturation, je ne vois aucune raison de changer quoique ce soit à cause d'un fragment d'instrument qui resterait en place. Une technique à chaud me parait cependant idéale pour enrober le fragment. Dans le cas présent, c'était thermafil et la courbure apicale en était une excellente indication à mon avis.
Le SC33 n'est que la codification sécu d'une reconstruction corono-radiculaire (amalgame avec tenon ou composite avec tenon).


Ico v for vendetta08 jzhpep - Eugenol
Ratinox

25/04/2011 à 13h11

Le Sc33 englobe aussi les amalgames auto-ancrés.

Dans l'excellent petit guide Cdp de Machtou il conseillait d'obturer le plancher pour les canaux accessoires en le tartinant légèrement d'eugénate et en poussant un peu de gutta avec un fouloir rond à amalgame pour les obturer à l'eugénate.

Ce n'est plus d'actualité ?


Aymen

25/04/2011 à 14h09

Guttaman écrivait:
------------------
> Pour répondre à dumaille : oui. Si tu regardes bien la radio postop, tu verras
> des trabécules osseuses juste sous la furcation. Le sondage était normal aussi
> bien en lingual qu'en vestibulaire. La lésion étant fermée, il n'y a aucune
> raison qu'en cas de succès apical il y ait une persistance radioclaire entre les
> racines.
>
> Pour Aymen : Une fois le by-pass réalisé, Dominique Martin conseillait il y a
> quelques années dans une conférence de la SOP de rester en manuel avec les
> instruments NiTi. Je ne sais pas s'il s'applique ça à lui même ou si c'était un
> conseil destiné aux praticiens lambdas. Personnellement, je prend souvent ce
> risque (si je sens intuitivement en fonction du cas que je peux le faire, et si
> j'ai le moindre doute, je pense à mon ami Willy qui me disait un jour "si tu te
> poses la question, ne le fais pas !" Je pense d'ailleurs souvent à lui à cause
> de ça car il y a plein de situations cliniques où je me pose des questions. Dans
> le cas présenté, j'y suis allé en rotation mécanique justement. L'instrument
> fracturé coronairement à été enlevé après la mise en forme. Il faut bien
> comprendre qu'ici, ce fragment était un lentulo. Si ça avait été un protaper F2
> par exemple, je serai sans doute rester en manuel, en fonction des sensations
> tactiles avec le dernier instrument acier utilisé (ici une lime K15).
> Pour l'obturation, je ne vois aucune raison de changer quoique ce soit à cause
> d'un fragment d'instrument qui resterait en place. Une technique à chaud me
> parait cependant idéale pour enrober le fragment. Dans le cas présent, c'était
> thermafil et la courbure apicale en était une excellente indication à mon avis.
> Le SC33 n'est que la codification sécu d'une reconstruction corono-radiculaire
> (amalgame avec tenon ou composite avec tenon).
---------
concernant les codification securité sociale, je voudrais me demander un traitement endo sur molaire, avec obturation au thermafill quel code a -t- il?? ses honoraires en france ( je suis installé en tunisie)

--
Nahoo!!!


Little shop of horrors brzqjx - Eugenol
chatondecarte

25/04/2011 à 22h23

combien as tu facturé ça au patient?


Ico v for vendetta08 jzhpep - Eugenol
Ratinox

26/04/2011 à 05h23

Je calculais avec mon représentant le coût de ses produits pour une endo molaire :

Les limes rotatives : 60€ la plaquette de 5, à changer toutes les 8 utilisations soit 7.5€ le canal. Soit 22.50 € les 3 canaux.
Ces thermafil, une autre marque, 6€ le bouzin soit 18€ pour 3 canaux.

40€ hors tout le reste pour une endo à 82€.
Prions qu'il n'y ait pas un 4è canal...


Aymen

26/04/2011 à 15h10

Ratinox écrivait:
-----------------
> Je calculais avec mon représentant le coût de ses produits pour une endo molaire
> :
>
> Les limes rotatives : 60€ la plaquette de 5, à changer toutes les 8 utilisations
> soit 7.5€ le canal. Soit 22.50 € les 3 canaux.
> Ces thermafil, une autre marque, 6€ le bouzin soit 18€ pour 3 canaux.
>
> 40€ hors tout le reste pour une endo à 82€.
> Prions qu'il n'y ait pas un 4è canal...
---------------------------
sans calculer l'obturation coronaire


--
Nahoo!!!


Ico v for vendetta08 jzhpep - Eugenol
Ratinox

16/05/2011 à 22h03

C'est une prémolaire en rotation.
Intéressant de voir ces dents de profil.
Je pense à l'article sur le système Saf dont on parle dans le Dentoscope que vous avez peut-être déjà lu, avec un rappel sur l'anatomie de ces canaux souvent très éloignée de la projection mentale que nous donnent nos radios.

Bon quand j'ai eu la première radio je me suis dit bon sang l'infection a vraiment bien bouffé cette dent à l'apex et elle m'a tout l'air de ressembler à une taurodonte.
La 2è radio m'a dit arrête-toi là !
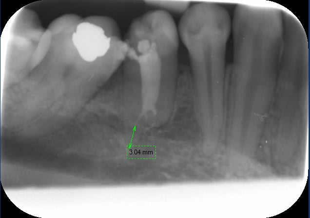
Et la 3è dont je commençais à être content avec sa forme de gastéropode, m'apprend que le canal principal n'a pas été obturé sur 2,5 mm (3-0,5 statistiques).

Conclusion double :
Nos canaux même unitaires ont parfois de drôles de forme et si j'avais tourné mentalement de 90° cette radio de dent vue de profil je serais retourné sur l'image de sa voisine et je ne me serais pas fait avoir.
Le thermocompacteur utilisé fait de belles obturations 3D pour un investissement et un temps passé très raisonnable. Je pensais que le thermocompacteur ne suffirait pas et que j'aurais de gros manques, donc les fouloirs à chaud étaient déjà calibrés au cas où.

Radios faites avec Pspix que je viens enfin d'inaugurer!

23 20110516 13 54 22  2  bh4twc - Eugenol
23 20110516 13 54 22  1  njg4o8 - Eugenol
23 20110516 14 15 25 kzdkly - Eugenol
23 20110516 14 15 25 b qphct5 - Eugenol

Grumpy cat ifik8s - Eugenol
radich_a_tord

16/05/2011 à 22h45

Wow ce baobab ! C'est pas au bout mais bien étanche quand même !


Ico v for vendetta08 jzhpep - Eugenol
Ratinox

16/05/2011 à 23h14

Il est facile de dire ça après coup quand pâte et gutta montrent la ramification mais sur la deuxième radio on devine le canal principal que la lime beaucoup plus courbée en D aurait pu choper plutôt qu'être au bout sur un canal accessoire.

A contrario si la prémolaire n'avait pas été en rotation j'aurais forcé sur la lime et atterri dans le périapex avec cependant une belle image radio.
Je n'ai pas de localisateur mais si j'en avais eu un sur cette dent en bonne position, je ne l'aurais pas cru et j'aurais eu tort, j'aurais obtenu 3mm de gutta se baladant dans l'os avec des douleurs que je n'aurais pas comprises.

Finalement ces histoires d'architecture tridimensionnelle ne sont pas complètement du flan.


Squash u44zd8 - Eugenol
steph

17/05/2011 à 01h41

Pas complètement????
T'y crois pas?
Il suffit de voir les reconstructions 3D faites à partir d'examens CBCT pour s'en convaincre.
Ou alors voir les résultats radio de praticiens comme Ruddle ; c'est vraiment pas du flan!!!


Ico v for vendetta08 jzhpep - Eugenol
Ratinox

17/05/2011 à 23h07

Disons qu'il y a une telle emphase à employer nombre de termes pompeux que ça ressemble à du marketing et ça me gonfle.
Cette assertion n'était que pour confirmer la réalité de la 3è dimension. On est tellement dans nos radios qu'on finit parfois par se convaincre que la réalité est telle que ces radios nous la représentent.


Img 1145 bsxzst - Eugenol
jeffvest

18/05/2011 à 00h30

Faire de l endo sans localisateur c est dommage . Pour moi c est cela la vraie révolution des dernières années en endo !
Amicalement


200106 10150128247663588 709988587 6466236 5598391 n d7mksb - Eugenol
hallboy

18/05/2011 à 01h07

+ 1 ( mini morita )


Fouilla h6plsy - Eugenol
fouilla

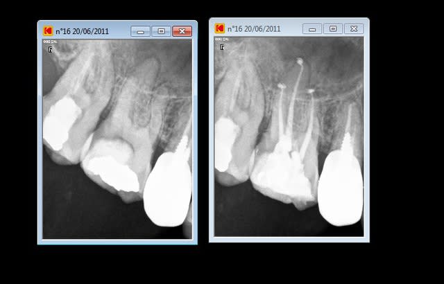
20/06/2011 à 19h25


et oui
petite endo de midi la chance m'a souri

--
.

Ptite endo  kmgvls - Eugenol

Smile beach jgh0a1 - Eugenol
Céramik

20/06/2011 à 20h12

fouilla écrivait:
-----------------
>
> et oui
> petite endo de midi la chance m'a souri
>
> --
> .

Très joli !
Tu obtures avec quoi ?

Reste la 7 à re-prendre...


Ensuite, tu "IC et couronne métal" ?
;-)


--
Céramik


flicflac

21/06/2011 à 04h49

il me semble voir un mb2 non traité?


12...