Cookie Consent byPrivacyPolicies.comEndo de l'après-midi...pas de soucis - Eugenol

Endo de l'après-midi...pas de soucis

200106 10150128247663588 709988587 6466236 5598391 n d7mksb - Eugenol
hallboy

21/06/2011 à 10h44

fouilla écrivait:
-----------------
>
> et oui
> petite endo de midi la chance m'a souri
>
>

Tu organises des formations "chance"? Elle m’intéresserait celle là ..

;)


01 ukhwbq - Eugenol
Bobby

21/06/2011 à 10h53

T'as fait une formation entre la 7 et la 6? :p


Fouilla h6plsy - Eugenol
fouilla

21/06/2011 à 18h17

marrant comme les choses se répètent

ceramik je te l'envoie pour la 7

mais tu sais ici des reprises on pourrait ne faire que ça tellement l'endo est un acte rémunérateur c'est bien parceque céramik et nonol existent qu'on s'y mets doucement

pourquoi l'endo au fait (nécrose racine distale de 46)

préparation Mtwo et j'aime bien .

et pour la reconstitution giminy c'est le patient qui décide mais du métal est utilisé chez moi comme tu peux le voir sur nombre de radios que je post .


--
.

Chance  c0u9pn - Eugenol

Fouilla h6plsy - Eugenol
fouilla

21/06/2011 à 18h32


ceci étant le mtwo marche vraiment bien sauf pour les reprises
allez une dernière sympa et pi après j'arrête mais la technique est reproductible .

ah aufait ceramik chez nous ça c'est 81Euros 94 sans la radio tu vois on aime .
.

Mm methode gfhkmf - Eugenol

Ico v for vendetta08 jzhpep - Eugenol
Arnaud Go

21/06/2011 à 21h18

mb2 ?
On n'utilise plus l'appellation vestibulaire mais buccal comme les anglo-saxons ?

Ton obtu c'est à chaud n'est-ce pas ?


01 ukhwbq - Eugenol
Bobby

21/06/2011 à 22h28

Le MTwo c’est plus travaillant que le protaper? Ça donne l'impression de plus "attaquer"?


Fouilla h6plsy - Eugenol
fouilla

21/06/2011 à 23h07

Arnaud Go écrivait:
-------------------
> mb2 ?
> On n'utilise plus l'appellation vestibulaire mais buccal comme les anglo-saxons
> ?

pour te répondre je ne pense pas je travaille avec binocculaire (ebay d'accord) mais pas trouvé et de plus si tu regardes bien on a la même impression avec la racine distale vraisemblablement artefact.
>
> Ton obtu c'est à chaud n'est-ce pas ?

pas du tout : maître cône adapté scellé "à froid" on pourrait comparer ma méthode d'obturation à lentulo + cone que j'utilise sans honte ...


--
.


Smile beach jgh0a1 - Eugenol
Céramik

22/06/2011 à 01h56

fouilla écrivait:
-----------------

> ceramik je te l'envoie pour la 7
>
>

Je te placerai un bel implant, tu pourras faire une belle couronne...

;-0)

PS je touche pas au re-tx de canal, je suis pas assez habile.




--
Céramik


Blocperso talon jer3sl - Eugenol
mrquentin

24/06/2011 à 17h56

pour un jeune prat comme moi, qui a cherché partout sans trouver, quelqu'un pourrait'il expliquer un peu le Mtwo? car moi je suis formaté protaper, je ne sais faire que ca et du step back, et sur nonol on me parle tellement de Mtwo que je me dis que ca dois etre pas mal...
En gros je voudrais savoir:
-combien de limes y a t'il
-Quel diametre apical pour chaque lime
-Quelle conicité (et est-elle variable?)
-Quel forme de pas de vis
-Quel métal?
-dites vous "oh ben là c'est du Mtwo et pas du protaper"?

Deuxième question: pour obturation, j'utilise la gutta "préformée" de R&S qui propose direct des cones F1, F2 ou F3, mais je trouve cette gutta hyper dure et qui fond très difficilement au thermocompacteur, est ce moi ou??? En plus, il me manque TOUJOURS 1 ou 2 mm lors de l'essayage, et j'ai l'impression que mon tug back se forme tjrs au dessus de l'apex.
Enfin, concernant les protaper, quand je les mesure avec les reglettes (ou filières), mon diamètre (meme neuf) ne correspond jamais aux diamètres évoqués dans le bouquin de stépahane simon, ils sont tjrs suppérieurs.. ex F1 à 25...

merci pour vos réponses expérimentées..


200106 10150128247663588 709988587 6466236 5598391 n d7mksb - Eugenol
hallboy

24/06/2011 à 18h32

Mtwo

blanc/15 ne 4%
jaune 20 en 6
rouge 25 en 6 ( il existe en 7% pour le retraitement

Je m'en suis servi longtemsp mais comme les protaper ça peut casser/

je emontais jusqu'au 25 en manuel j'utilisais conjointement notament en debut de sequence le SX de protaper et je finissais au 25 en 7% je n'ai pour ainsi dire jamais utilisé le 15 en 4%

Pour la gutta change de marque pour un truc a 10 euros il n'y a pas de raison de s'embeter .

attention: les Mtwo pas de conicités variable donc gutta steriblue par ex c'est bien. et les cones s'approchent en conicité de celle a nnoncée mais en s'en parfois loin.. donc j'ai parfois preparé au25 en 7% et bouché avec des cones de 20en 6 ou de 25 en 4% que j'ai ensuite compacté.


Blocperso talon jer3sl - Eugenol
mrquentin

27/06/2011 à 18h58

ok, merci de toutes ces precisions, je v essayer ca et je vous dirais ce qu'il en est!


king_zoulou

29/06/2011 à 23h10

Je suis déçu, on voit quelques canaux accessoires en regardant la radio de près et la pâte n'a pas voulu y aller :'(

Endo oavjn1 - Eugenol

Fouilla h6plsy - Eugenol
fouilla

13/07/2011 à 16h52

hallboy écrivait:
-----------------
> Mtwo
>
> blanc/15 ne 4%
> jaune 20 en 6
> rouge 25 en 6 ( il existe en 7% pour le retraitement
à l'heure actuelle j'utilise le violet /10 en 4% en début de séquence puis ceux que tu annonces dans l'ordre

> Je m'en suis servi longtemsp mais comme les protaper ça peut casser/
très sincèrement en comptant strictement le nolmbre d'utilisation par canal : 10 pas de soucis à condition aussi de ne pas mettre en rotation avant d'être dans le canal ie on ne rentre pas en rotation dans la chambre
>
> bien. et les cones s'approchent en conicité de celle a nnoncée mais en sont parfois loin..
de mémoire il y a une tolérance de 3 ou 4 % dans les diamètres annoncés ce qui fait qu'en normalisant les cônes bien souvent on les retaille (3 en + ou en - ça fait bcp )

et pour le fun comme je m'ennuie et que les fouillanouchets sont point à la maison ct'ap je bosse et me fait plaisir chti't tof

--
.

Chances l7d25t - Eugenol

Fouilla h6plsy - Eugenol
fouilla

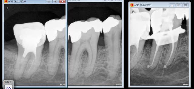
22/07/2011 à 19h37


pour quentin essayez le Mtwo c'est l'adopter je n'avais jamais eu une reproductibilité pareille au niveau de l'obturation .
une ptite 38 de l'après midi (sans digue o pas bien fouilla !) mais j'avais oublié de faire la rétro avant dépose de la capote
en numéro deux radio d'une patiente qui s'était barrée avec mes endos et des inlays cores et qui revient 5 ans après ! je me 'en souvenais plus et je m'étais bien fait rire sur celles la( hero 6 4 2 je crois à l'époque)
--
.

Mtwo oi5yxd - Eugenol
S c gkywwt - Eugenol

200106 10150128247663588 709988587 6466236 5598391 n d7mksb - Eugenol
hallboy

22/07/2011 à 20h14

25 en 06 ou 07?


Fouilla h6plsy - Eugenol
fouilla

22/07/2011 à 21h07


45 non 25 pour le reste pas de memoire
tu l'as vu dans le canal distal le fragment de l'hero
--
.


Fouilla h6plsy - Eugenol
fouilla

05/08/2011 à 17h05


aujourd'hui dernier jour de travail
chui fainéant : pas mis la digue car il aurait fallu reconstituer cette dent avant
mais bon à quatre mains on a mal travaillé dans un premier temps et pi on s'est rattrapés.

pas tentés par le MTWO ???

tout de même soyons pas touriste


allez la bise les copains c'est la quille !

--
.

Vive les vacances  oui1xl - Eugenol

Photo pluton1b h9n4ea - Eugenol
pluton

05/08/2011 à 17h09

fouilla écrivait:
-----------------

> allez la bise les copains c'est la quille !
>
> --
> .

t'ain t'aurais pu te "fendre" de traiter aussi la 6...ton patient va se taper une pulpite pendant tes vacances...;-)


Fouilla h6plsy - Eugenol
fouilla

05/08/2011 à 17h27

pluton écrivait:
----------------

>
> t'ain t'aurais pu te "fendre" de traiter aussi la 6...ton patient va se taper
> une pulpite pendant tes vacances...;-)

attends plut tu penses que c'est la seule dans cet état ? pas avec ton expérience mon plut...:-)))

--
.


Photo pluton1b h9n4ea - Eugenol
pluton

05/08/2011 à 17h50

fouilla écrivait:
-----------------

> attends plut tu penses que c'est la seule dans cet état ? pas avec ton
> expérience mon plut...:-)))


si on peut plus "chambrer" les copains...;-))

mais t'as du temps, t'es bientôt en vacances...et s'ils sont chez toi comme ici "quoi? le doc il part ENCORE en vacances???" (je prends que 8 semaines/an...c'est sûr, c'est pas 5...mais j'ai pas droit aux retete, moi...;-)))


Fouilla h6plsy - Eugenol
fouilla

05/08/2011 à 18h55

nan chez moi ils disent pas ENCORE en vacances
ils disent : Vous êtes là !



--
.


Img 1392 s73srk - Eugenol
Guttaman

05/08/2011 à 21h57

Fouilla, désolé d'être un peu désagréable, mais faire une endo sans digue et qui plus est avec un manque TOTAL d'étanchéité en mésial, autant dire que c'est beau radiographiquement, mais nul d'un point de vue microbiologique. Quand je vois ça, ça me conforte dans l'idée qu'il faut toujours tenter de reprendre un traitement en cas d'échec, même s'il paraît bon (ou très bon) radiographiquement, car on ne connait jamais le niveau d'asepsie et d'antisepsie dans lequel ça a été réalisé sur la seule base de la vue d'une radio. C'est pourtant pas le temps que ça t'aurait pris en plus. Et puisle must : le petit compactage supplémentaire en voyant que le distal n'était pas aussi parfait que les mésiaux...avec un peu de salive en plus entre les deux radios...Merci de nous faire partager "ta fainéantise" avec franchise en tout cas.


RépondreCiter
levm

06/08/2011 à 02h32

@fouilla : obturation au thermocompacteur? t as réussi a gagner en distal en repassant la guttacondensor?

@Gutta:
je pose la digue systématiquement mais je suis forcé de constater que la majorité des praticiens français ne la pose pas .
Surtout quand je vois le grand étonnement des patients quand je la sors .
De plus ,je vois régulièrement des panos avec des endos merdiques qui ne sont pas à l'apex ou réalisées sans digue mais sans aucune symptomatologie.
Et j'ai déjà vu des endos faites dans les règles de l'art(digue, irrigation abondante , obturation verticale à chaud, etc...) qui ont échouées sur des monoradiculées.
Je pense qu'on oublie un facteur important que sont les réponses immunitaires de l'organisme vis à vis d'une agression bactérienne .


Nouveau image bitmap fz77zh - Eugenol
Sethef

06/08/2011 à 02h35

à fouilla:

Question toute bête, tu les prends avec quoi tes RVG? Parce que je trouve la qualité super propre, et en les comparant aux miennes, j'ai l'impression de comparer un APN reflex et une photo prise avec un portable.
Tu fais varier le contraste ou elles sortent directement comme ça?


@+ Sethef


Img 1392 s73srk - Eugenol
Guttaman

06/08/2011 à 11h04

@levm : Tout à fait d'accord. Il y a quand même une deuxième explication rationnelle dans le fait que certaines endo "merdiques" ne posent pas de problème, en plus de l'immunité du patient : la microfolore bactérienne intracanalaire.
Chaque canal infecté contient entre 10 puissance 3 et 10 puissance 9 bactéries. En fonction de cette charge, et du "cocktail" présent (entre 8 et 12 espèces différentes) il peut ou pas y avoir problème ou pas. Certaines associations bactériennes auront un effet synergique (certaines bactéries produisant des éléments nutritifs pour d'autres espèces etc), alors que d'autres associations seront moins à leur avantage.

Il faut rajouter à cela les lésions sur ces endos merdiques qui ne sont pas détectable par des clichés 2D.

Enfin, une dépulpation précoce, c'est à dire avec du tissu pulpaire encore vivant au niveau apical, réduit de façon importante le risque d'échec puisque les germes bactériens n'ont pas atteint cette zone. La présence de tissu nécrosé sans présence de bactéries ne pouvant pas provoquer de lésion périapicale. Je pense que la véritable explication du silence clinique des ces endo merdiques est là...ce qui ne veut pas dire qu'il faut faire son fainéant ;-)


123...