Cookie Consent byPrivacyPolicies.comCouronnes esthétiques sur Inlay-Core - Eugenol

Couronnes esthétiques sur Inlay-Core

aterman

06/05/2011 à 11h02

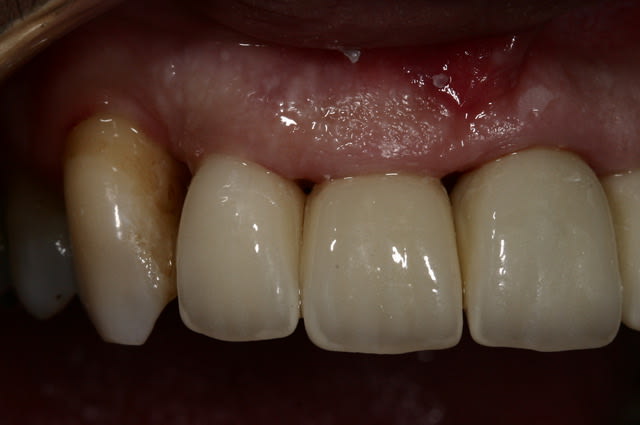
11-12???


Grueavatar nptrc9 - Eugenol
Le Choixpeau magique

06/05/2011 à 13h42

flicflac écrivait:
------------------
> Couronnes Lava en antérieur, vous trouverez la ou lequelles ont un puvot coulé
> (ICM)

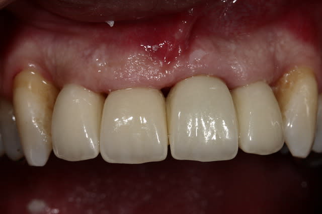
Bah sauf ton respect, c'est quand même très blanc opaque tout ça... et le liseret qui flashe en cervical sur 11-12-13 ne fait pas terrible ! Tu m'aurais dit que c'étaient des CCM ça ne m'aurait pas étonné.


Fouilla h6plsy - Eugenol
fouilla

06/05/2011 à 15h20


un chouilla jacob delafon la teinte
--
.


3f3boxni50k58rq7e9ce9ddqrxgk - Eugenol
dentiste57

06/05/2011 à 21h40

11-12


flicflac

07/05/2011 à 05h29

Et oui 11-12 grisâtre par transparence malgré la forte opacité des chappes, prochaine fois peut-etre pink opaquer de Cosmedent(recette Céramique)
merci


200106 10150128247663588 709988587 6466236 5598391 n d7mksb - Eugenol
hallboy

07/05/2011 à 12h35

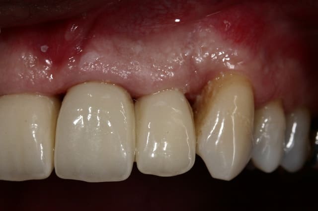
essayer d'obtenir un peu de transparence sur les bords pour eviter ce coté " laiteux " ?


Img 2951 flo3gr - Eugenol
molinarius

09/05/2011 à 22h55

salut à tous
voila un ptit cas avec une teinte (a la con) le tout sous ic métallique
base zirkon (zirkonzhan) recouverte de céramique ...

donc ne pas sabler les inlays cores et faites faire une base zirkon teintée "de qualité "

ps: photos avec nom du patient
à remettre par molinarius
édité par le modo


Smile beach jgh0a1 - Eugenol
Céramik

09/05/2011 à 23h19

molinarius écrivait:
--------------------
> salut à tous
> voila un ptit cas avec une teinte (a la con) le tout sous ic métallique
> base zirkon (zirkonzhan) recouverte de céramique ...
>
> donc ne pas sabler les inlays cores et faites faire une base zirkon teintée "de qualité "


Résultats sympa, bon boulot

Les tâches (tabac? ) et l'édentation par contre, pas très joli...

--
Céramik


Bebe 038 nf8eum - Eugenol
danteyeah

09/05/2011 à 23h23

molinarius écrivait:
--------------------
> donc ne pas sabler les inlays cores et faites faire une base zirkon teintée "de
> qualité "

Pourquoi ne sables tu pas?
N'as tu pas peur de fracturer tes zircones avec des IC si "affûtées", perso j'aurais arrondie les angles. Ici la teinte reste difficile à obtenir, la réussite vient surtout d'un état de surface (microgéométrie) et d'une luminosité bien choisie, car très bon protho., surement bon renseignement (photo, teintier 3D master bien réalisé) on en vient à regreter que la gencive ne soit pas au top.


Img 2951 flo3gr - Eugenol
molinarius

10/05/2011 à 18h41

merci,

pas peur avec des ic si pointus car les chapes ont étés réalisées par fraisage numérique
et la pointe compensée (arrondie dans l'intrados) lors de la modélisation.
en ce qui concerne la teinte, photo avant taille uniquement , surtout pas de teintier 3d master .... beurk....

et merci pour le proto c'est moi même.



Bebe 038 nf8eum - Eugenol
danteyeah

10/05/2011 à 21h11

molinarius écrivait:
--------------------
> merci,
>
> pas peur avec des ic si pointus car les chapes ont étés réalisées par fraisage
> numérique
> et la pointe compensée (arrondie dans l'intrados) lors de la modélisation.
> en ce qui concerne la teinte, photo avant taille uniquement , surtout pas de
> teintier 3d master .... beurk....
>
> et merci pour le proto c'est moi même.
>
C'est marrant n'aiment pas trop le 3D master les protos, t'es bien le 6 ième ou 7 ième a me dire ça. Pour le sablage des IC, tu pense que ça opacifie la couronne?
Parce-que techniquement dans le cas montré: compensation des arrêtes de la taille dans l'intrados, donc épaisseur de colle plus importante, IC plus ou moins polies donc moins rétentives, on augmente quand même les risques de fracture, après scellement; mais bon la c'est pas toi qui choisi, c'est comme pour la paro, bravo pour la couleur mal grès les taches et la gencive irritée. Sinon tu sévis dans quelle région?


Img 2951 flo3gr - Eugenol
molinarius

10/05/2011 à 22h08

donc 3D master pas bon enfin si et seulement si céramique vita utilisée et encore ..
j ai un coffret vita neuf 5OOO euros qui prend la poussiere because elle casse très souvent
et la tenue sur la zirkone est plus que médiocre..

Concernant les IC je suis passé par des IC céramisés, très moyen surtout pour le collage,
dépolir finalement après concertation et constatation au cabinet est pour le moment ce qui donne le meilleur résultat autre avantage (inattendue) lors de la prise d empreinte meilleurs rendu du plâtres (important pour la phase de scan) et donc ajustage parfait un peu de friction mais pas trop .....
Et le plus important le choix du zirkon !! forcément teinté by my self en dégradé et la c est booo (je joint une photo de pilier teinté plus explicite)

Sinon les pointes, je prend note de tes arguments qui ne sont pas tombés dans l'oreille d un sourd mais cela me permet d'affiné les bords libres au maximum ce qui augmente grandement le rendu esthétique et le passage de la langue est d'après les patients moins désagréable...

sinon je bosse sur rouen et toi ?

ps.. photo pas top prise lors de la rédaction de post ...

Photo 2 lrkqwi - Eugenol

juninho56

11/05/2011 à 01h08

Bonsoir à tous mes confrères

quelqu'un aurait il un teintier vita 3D master dont il ne l'utilise pas? Et dont il accepterait de se séparer?

merci d'avance


Bebe 038 nf8eum - Eugenol
danteyeah

11/05/2011 à 01h13

molinarius écrivait:
--------------------

> Concernant les IC je suis passé par des IC céramisés, très moyen surtout pour le
> collage,

pour la Zircone c'est évident, et sans intérêt, par contre pour une emax ça marche puisque les deux se colle!

> dépolir finalement après concertation et constatation au cabinet est pour le
> moment ce qui donne le meilleur résultat.

Esthétique tu veux dire? As tu observé une différence toi même ou dixit le prat.

autre avantage (inattendue) lors de la
> prise d empreinte meilleurs rendu du plâtres (important pour la phase de scan)
> et donc ajustage parfait un peu de friction mais pas trop .....

Et avec une taille polie avant empreinte, c'est pas encore mieux!

> Et le plus important le choix du zirkon !! forcément teinté by my self en
> dégradé et la c est booo (je joint une photo de pilier teinté plus explicite)

Mon proto teinte et usine aussi lui même, par contre j'avais jamais vu de dégradé, bon là les couleur font un peu Haribo, mais j'imagine déjà les possibilités, ça ne fragilise pas la chappe?

> sinon je bosse sur rouen et toi ?

Strasbourg, qui regorge de bon et très bon céramiste, mais je quitte la région pour la région de Toulon, et là Rouen on ne peut presque pas faire plus loin!
>


Img 2951 flo3gr - Eugenol
molinarius

11/05/2011 à 13h36

molinarius écrivait:
--------------------
> salut à tous
> voila un ptit cas avec une teinte (a la con) le tout sous ic métallique
> base zirkon (zirkonzhan) recouverte de céramique ...
>
> donc ne pas sabler les inlays cores et faites faire une base zirkon teintée "de
> qualité "
>
> ps: photos avec nom du patient
> à remettre par molinarius
> édité par le modo

2 ichagy - Eugenol
1 jl0nzc - Eugenol

Img 2951 flo3gr - Eugenol
molinarius

13/05/2011 à 02h52

et sur ce cas , la 12 teinte 1M1 vita3D (sur photo ca parait plus foncé et pourtant c est ultra bright)

P5120151 a5srq8 - Eugenol

003 penrd2 - Eugenol
Cingulum

16/05/2011 à 15h30

un cas collé a l'instant en emax medium opacity + Rely Unicem 2


Avec les Medium Opacity et High Opacity on peut faire sur faux moignon sans souci...




--
Dr Cingulum
-----Ancien interné----
----Attaché à l'apex----
www.clinic-all.fr formation par passion

Img 9484 ja3wen - Eugenol
Img 9486 bjs36z - Eugenol
Img 9489 ghot1m - Eugenol
Img 9490 jfh5dr - Eugenol
Img 9491 b4gt2i - Eugenol

Grueavatar nptrc9 - Eugenol
Le Choixpeau magique

16/05/2011 à 16h05

Merci cingugu, mais sur le cas que tu nous montres, tu as encore pas mal de dentine pour coller.
Sur une dent majoritairement reconstituée par un IC, j'aurais un peu plus peur.
Je sais que certains dans ces cas là recommandent une pressée sur zircad, scellée.
Mais on en revient toujours au même problème, il faut trouver le labo qui sache faire tout ça !


003 penrd2 - Eugenol
Cingulum

16/05/2011 à 16h21

perso pourquoi tu veux coller ?
prep périphérique, moignon haut, secteur anterieur... tu mets ce que tu veux en moyen d'assemblage , ciment, colle, oxyP, CarboX, MDP, CVIMOD, 4meTa :)



--
Dr Cingulum
-----Ancien interné----
----Attaché à l'apex----
www.clinic-all.fr formation par passion


Grueavatar nptrc9 - Eugenol
Le Choixpeau magique

16/05/2011 à 16h27

Cingulum écrivait:
------------------
> perso pourquoi tu veux coller ?
> prep périphérique, moignon haut, secteur anterieur... tu mets ce que tu veux en
> moyen d'assemblage , ciment, colle, oxyP, CarboX, MDP, CVIMOD, 4meTa :)

En antérieur je sais pas, mais en postérieur beaucoup ont eu de la casse en scellant les e.max. Et puis le collage c'est quand même plus joli :)


Smile beach jgh0a1 - Eugenol
Céramik

16/05/2011 à 17h06

...mais le Unicem-2, ça colle tout sur tout, c'est écrit sur la boîte...

--
Céramik


Grumpy cat ifik8s - Eugenol
radich_a_tord

16/05/2011 à 17h56

+1

Les valeurs de 350-400 MPa de résistance sont données pour une e.max collée et non scellée. Pour du scellement adhésif je sais pas mais sur inlay core sans tissu dentaire, je ne ferais pas d'e.max, plutôt de la zircone.


003 penrd2 - Eugenol
Cingulum

16/05/2011 à 18h49

-1

et la resistance de ton cosmétique sur ta zircone elle est de combien ?


depuis presque 10 ans que je fais du tout ceram, j'ai jamais vu une fracture du noyaux emax / Empress... Des eclats de ceram cosmetique oui, mais pas la masse pressee...
Il m'arrive souvent de sceller au CVIMOD meme en posterieur quand il y a suffisament d'epaisseur...
Mais je suis d'accord ce n'est pas ce que recommande Ivoclar... Maintenant c'est bien beau de dire qu'on colle... mais tu as combien de valeur d'adhérence sur la partie métallique de ton moignon (le CVI adhère au métal....) et sur un dentine sclérotique ? ....

--
Dr Cingulum
-----Ancien interné----
----Attaché à l'apex----
www.clinic-all.fr formation par passion


Smile beach jgh0a1 - Eugenol
Céramik

16/05/2011 à 18h59

Cingulum écrivait:
------------------
> -1
>
> et la resistance de ton cosmétique sur ta zircone elle est de combien ?
> depuis presque 10 ans que je fais du tout ceram, j'ai jamais vu une fracture du
> noyaux emax / Empress... Des eclats de ceram cosmetique oui, mais pas la masse
> pressee...


+1

J'ai 15 ans de céram collée et moins de casse qu'avec zircone...
Quand je parle de colle, je parle de collage, le vrai, avec total etch.




> Il m'arrive souvent de sceller au CVIMOD meme en posterieur quand il y a
> suffisament d'epaisseur...

Je le fais que très, très rarement, au pire un système comme Multilink.


>

--
Céramik


Grumpy cat ifik8s - Eugenol
radich_a_tord

16/05/2011 à 19h12

Cingulum écrivait:
------------------
> -1
>
> et la resistance de ton cosmétique sur ta zircone elle est de combien ?

à peu près 180 MPa, comme toutes les céramiques typées leucite/esthétique. C'est pour ça que c'est 2mm maximum d'épaisseur quelle que soit la chape.

> depuis presque 10 ans que je fais du tout ceram, j'ai jamais vu une fracture du
> noyaux emax / Empress... Des eclats de ceram cosmetique oui, mais pas la masse
> pressee...

Merci pour ton expérience

> mais tu as combien de valeur d'adhérence sur la
> partie métallique de ton moignon

On s'est mal compris. Le collage sur du métal avec un composite de collage type Variolink est très faible, c'est pour ça que j'ai dit que je ne collerais pas sur du métal.

Ou alors avec une colle type panavia/superbond mais ça n'est pas l'indication pour moi.

Je disais simplement que le rôle d'amortisseur du composite de collage + la colle est très important dans la résistance mécanique d'une céramique du type e.max.

Je ne dis pas non plus que la zircone est le produit magique et je n'en tire pas de conclusion par rapport à ton cas présenté, qui est super !

Par contre quel est l'intérêt pour toi de coller en postérieur ? Pourquoi faire de l'e.max après les 1ères PM ?
Manque de rétention mécanique ?