Cookie Consent byPrivacyPolicies.comVu ce jour. - Eugenol

Vu ce jour.

Jt2 on5ydf - Eugenol
Netcar1

20/05/2011 à 23h42

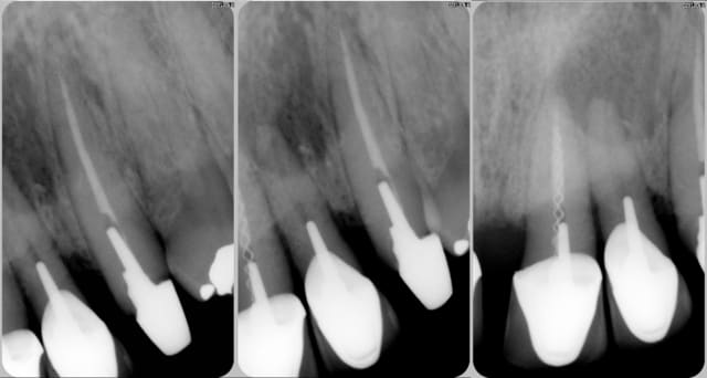
Motif de consultation de ce patient, vu en première consultation ce jour: CCM sur 23 avalée.

Un cliché.

Tiens, y a rien dans 22... Nouveau cliché.

Tiens, ya du monde dans 21... Nouveau cliché.

:-)

Biotope wrivkp - Eugenol

Img 3657 cwjvqm - Eugenol
alapex

20/05/2011 à 23h57

Tu remarqueras que seule la dent qui contient le lentulo n'a pas de problème...))))


Photo pluton1b h9n4ea - Eugenol
pluton

21/05/2011 à 00h00

et puis t'as une belle image apicale sur la 22...même que vu la taille, je pense qu'on peut même commencer de parler de kyste...


Fresh watermelon 640x562 udulqz - Eugenol
gulguch

21/05/2011 à 00h24

alapex écrivait:
----------------
> Tu remarqueras que seule la dent qui contient le lentulo n'a pas de
> problème...))))

Non, il y a deux lentuli.


Img 3657 cwjvqm - Eugenol
alapex

21/05/2011 à 01h04

...)))
Pour sortir un lentulo : introduire un 2ème lentulo et tournez à l'envers .


Smile beach jgh0a1 - Eugenol
Céramik

21/05/2011 à 03h57

vue...cette semaine...

jamais eu de cas si eurk en une semaines !
photo 1-2-3 consultations, 3 cas d'allergie à la brosse à dents...pffft...

photo 4, dernier cas de la semaine, enfin des céramik !
(sympa les 6 pré-molaires !)


--
Céramik

Cette semaine lvhwiy - Eugenol

Marque a3 orange fyvhyq - Eugenol
Marc Apap

21/05/2011 à 11h03

Passer du tout noir au tout blanc : c'est du grand (dol)art !


Smile beach jgh0a1 - Eugenol
Céramik

21/05/2011 à 17h54

pour mon ami Marc


--
Céramik

Img 7113 2 q85zoa - Eugenol

aldo74

21/05/2011 à 22h33

enfin un peu de variation dans la teinte,
bel effort,perseverare diabolicum....


Stéphane

23/05/2011 à 21h39

pluton écrivait:
----------------
> et puis t'as une belle image apicale sur la 22...même que vu la taille, je pense
> qu'on peut même commencer de parler de kyste...

Ah bon ?