Cookie Consent byPrivacyPolicies.comDébutant s’abstenir - Eugenol
baroud69

25/05/2011 à 20h42

Oo

T'as des jumelles à la place des yeux toi..

Si on nous pose des pièges alors ^^


baroud69

25/05/2011 à 20h44

jeff2 écrivait:
---------------
> elle a 66 ans!!!! donc elle est comme ça depuis 60 ans!!!
> et vous pensez que c'est un problème dentaire?!!! que ses 38 se sont égressées
> d'un seul coup a 66 ans??
>

Pas sans raison certes. Mais des raisons tu peux en avoir pleins : perte du mari, diminution de la capacité d'adaptation, perte de la capsule cartilagineuse de l'ATM par usure...


Cuisinier2 vnbbxx - Eugenol
jeff2

25/05/2011 à 20h57

BJC en a dit le moins possible, douleurs latérales ou bilaterales et encore une fois perte du mary est du domaine psy. Peux tu m'expliquer le mécanisme "psy" qui pourrait expliquer le problème ATM? (si possible avec avec article sérieux , pas doctissimo)


chicote64

26/05/2011 à 00h50

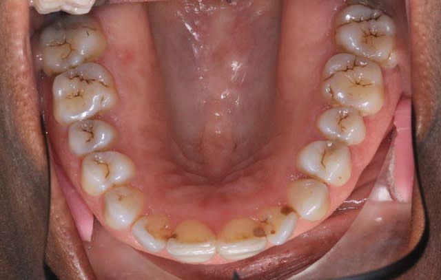
Je vais peut-etre dire une annerie,mais j'aurais en premier vérifié les couronnes en occlusion et en latéralité.


1 p3qrc4 - Eugenol
Bjc.

26/05/2011 à 01h18

pas de Pbs. psy, voici les Rx.

douleurs coté G.

@+ Bjc.

Img 4 znmccq - Eugenol
Img 5 hvltuf - Eugenol
Img 6 tsqins - Eugenol
Img 1 br3wnc - Eugenol
Img 2 iytdy2 - Eugenol
Img 3 mckouc - Eugenol

Avatar2 u3u8yh - Eugenol
riccyman

26/05/2011 à 01h27

yop,

y a t il des possibilités de bascule quand tu cherches la Relation d'intercuspidation maximale de tes moulages? si oui l'axe de rotation correspondrait t'il avec une surocc des 6 mandibulaires couronnées comme l'a suggéré un de nos amis nonoliens.

y a t il des antécédents d'accidents avec choc frontal? des bruits articulaires? des vertiges? des céphalées? des acouphènes? la palpation du digastrique postérieure ? du masséter ? des ptérygoïdiens ?

on sait pas grand chose.

Question subsidiaire pour mon information personnelle :

C'est quoi l'intérêt d'une butée antérieure dans le traitement d'un SADAM ? je vois bien l'intérêt d'une butée postérieure mais antérieure cela ne me parle pas quelqu'un pourrait-il éclairé ma lanterne ?


1 p3qrc4 - Eugenol
Bjc.

26/05/2011 à 01h46

il n'y a rien qui vous choque dans la forme d'arcade Md. ?

@+ Bjc.


Bebe 038 nf8eum - Eugenol
danteyeah

26/05/2011 à 01h50

riccyman écrivait:
------------------

> C'est quoi l'intérêt d'une butée antérieure dans le traitement d'un SADAM ? je
> vois bien l'intérêt d'une butée postérieure mais antérieure cela ne me parle pas
> quelqu'un pourrait-il éclairé ma lanterne ?

Je pense que celui qui a émis cette idée voulait plutôt parler de guidage antérieure et non butée antérieur: un JIG quoi!

Sinon moi aussi j'aimerais savoir si pas de suroccl sur 36, car CCC semble récente et pas de fonction canine apparemment donc fonction de groupe importante et possibilité de sur guidage sur cuspide vestibulaire de 36. Forte compression articulaire à gauche; Question les douleurs sont-elles uniquement articulaire, ou plutôt musculaire comme demandé précédemment?


Avatar2 u3u8yh - Eugenol
riccyman

26/05/2011 à 01h59

Bjc. écrivait:
--------------
> il n'y a rien qui vous choque dans la forme d'arcade Md. ?
>
> @+ Bjc.
>
qu est ce que tu veux dire ? sa dissymétrie ? le U un peu déformé qu'elle exprime ?

euh ... JIG ?? je l'ai pas cette abré ...


Bebe 038 nf8eum - Eugenol
danteyeah

26/05/2011 à 02h12

Bjc. écrivait:
--------------
> il n'y a rien qui vous choque dans la forme d'arcade Md. ?
>
> @+ Bjc.
>

Y a t-il déjà eu un précédent traitement ortho chez cette patiente?


Bebe 038 nf8eum - Eugenol
danteyeah

26/05/2011 à 02h23

riccyman écrivait:
------------------
>
> euh ... JIG ?? je l'ai pas cette abré ...

Ce n'est pas une abréviation de quoi que ce soit mais un élément de guidage antérieur permettant une décompensation des condyles par un guidage de la mandibule uniquement par le milieu inter incisif. Un p'tit tour sur GOOGLE et tu trouveras très vite une iconographie qui te parleras peut être un peu plus que ma description un peu sommaire. Certains utilise un pseudo JIG appelé NTS si ça te parle plus!


baroud69

26/05/2011 à 02h33

Bjc. écrivait:
--------------
> il n'y a rien qui vous choque dans la forme d'arcade Md. ?
>
> @+ Bjc.
>


Des acracdes imparfaites comme ça ne me suffisent pas à poser un diag.

Si ce n'est pas la différence entre l’arcade en U et l’arcade plus harmonieuse en haut et bien je donne ma langue au chat ou l'absence de symétrie.....

iccyman écrivait:
------------------

> C'est quoi l'intérêt d'une butée antérieure dans le traitement d'un SADAM ? je
> vois bien l'intérêt d'une butée postérieure mais antérieure cela ne me parle pas
> quelqu'un pourrait-il éclairé ma lanterne ?

< Je pense que celui qui a émis cette idée voulait plutôt parler de guidage antérieure et non butée antérieur: un JIG quoi!

Oui, faute de langage.... je fais des erstaz de JIG que j'appelle ainsi pour mes patients, ils comprennent mieux ^^ Mea culpa.


1 p3qrc4 - Eugenol
Bjc.

26/05/2011 à 04h36

"""Des acracdes imparfaites comme ça ne me suffisent pas à poser un diag."""


et l'exostose complète palatine au Max. Sup. ?

@+ Bjc.


1 p3qrc4 - Eugenol
Bjc.

26/05/2011 à 04h43

Vu la tendance Cl.III. compensée par une typologie dolicho, un J.I.G. serait risqué

@+ Bjc.


Bebe 038 nf8eum - Eugenol
danteyeah

26/05/2011 à 09h57

Bjc. écrivait:
--------------
> Vu la tendance Cl.III. compensée par une typologie dolicho, un J.I.G. serait
> risqué
>
> @+ Bjc.
>

Et sans intérêts de toute façon. Sinon tu ne réponds pas à mes questions: la compensation de cette Cl III est elle naturelle, ou y a t-il eu ortho avant? la 36 est elle en sur guidage dans les fonctions de latéralité gauche, la douleur est elle articulaire, musculaire, les deux? La patiente a t-elle déjà vécu des périodes symptomatique par le passé?


belette

26/05/2011 à 14h03

danteyeah écrivait: Sinon tu ne réponds pas à mes questions:

Ah toi aussi ???
Remarque c'est pas nouveau :-(...bjc ne répond JAMAIS. Il faut le suivre ou passer son chemin.

^ ... ^
Ô"""Ô
= o = nombreux sont ceux qui ont renoncé


1 p3qrc4 - Eugenol
Bjc.

26/05/2011 à 14h17

"""la compensation de cette Cl III est elle naturelle, ou y a t-il eu ortho avant? """
Pas eu de TTT. ortho

"""la 36 est elle en sur guidage dans les fonctions de latéralité gauche,"""
a l’examen clinique, il ne semble pas, il faudra un montage sur articulateur pour confirmer
regarde aussi les 16/26

""" la douleur est elle articulaire, musculaire, les deux? La patiente a t-elle déjà vécu des périodes symptomatique par le passé?""""

Elle a mal depuis 1 an, douleurs au réveil qui s’estompent le jour,(douleurs à la palpation de ptérigoidiens, classique)

@+ Bjc.


1 p3qrc4 - Eugenol
Bjc.

26/05/2011 à 14h36

Je trouve ce cas difficile parce que je ne vois rien de flagrant, à part la douleur

@+ Bjc.


33.2 - Eugenol
scuba06

26/05/2011 à 15h29

Bjc. écrivait:
--------------
> Je trouve ce cas difficile parce que je ne vois rien de flagrant, à part la
> douleur
>
> @+ Bjc.
>

As- tu complété ton questionnaire médical ?
Que s'est-il passé il y a un an?
Pas de consultation en médecine esthétique ?


Bebe 038 nf8eum - Eugenol
danteyeah

26/05/2011 à 15h53

belette écrivait:
-----------------
> danteyeah écrivait: Sinon tu ne réponds pas à mes questions:
>
> Ah toi aussi ???
> Remarque c'est pas nouveau :-(...bjc ne répond JAMAIS. Il faut le suivre ou
> passer son chemin.
>
> ^ ... ^
> Ô"""Ô
> = o = nombreux sont ceux qui ont renoncé

Je note, mais ton post l'a apparemment réveillé :-)


200106 10150128247663588 709988587 6466236 5598391 n d7mksb - Eugenol
hallboy

26/05/2011 à 16h00

Bjc. écrivait:
--------------
> Je trouve ce cas difficile parce que je ne vois rien de flagrant, à part la
> douleur
>
> @+ Bjc.
>

Alors peut etre traiter la douleur.


belette

26/05/2011 à 16h41

ou supprimer la cause de la douleur

^ ... ^
Ô"""Ô
= o =...ce qui suppose qu'on l'ait recherchée.


200106 10150128247663588 709988587 6466236 5598391 n d7mksb - Eugenol
hallboy

26/05/2011 à 17h19

POur le moment tout le monde gamberge sur son occlusion en se demandant suivant differents modeles ( Planas etcetc) ce qui va pas°)

je sais mm pas si elle a une perte d'ouverture la dame avec un spasme ou si c'st limité a ATM et si elle ouvre droit ou en bayonette.

Alors avec le peu qu'on a , c'est gouttiere de decompression en relevant l'occlon du minimum et en lui disant que ça marche du feu de Dieu.


Cuisinier2 vnbbxx - Eugenol
jeff2

26/05/2011 à 17h27

le pendule ou l'hypnose, tu as un choix vaste...


toutounette

26/05/2011 à 17h42

bONJOUR?
il faut d'abord déterminer si la douleur est musculaire ou articulaire (test de morsure au niv des 6)
palpation
auscultation (si à l(auscultation friction et crépitation pense plûtot à l'arthrose)
observe les trajectoires (ouv, fermeture)
teste la rigidité de l'articulation
et donne ns surtt une idée sur les exercices effectués par la kiné
dis-nous si elle a une déglutition atypique c très important
les radio ds les troubles de ce genre ne st pas vraiment concluantes mais on vois une pte irrégularité condylienne qui me fait penser à l'arthrose
tu pe commencer déjà par faire prendre conscience à la patiente de son serrement ( j'imagine k'elle serre tt le tps) car si elle continue à serrer tt le tps ses dents les exercice ne serviront à rien
tu donnes qq exercices simples d'ouverture fermeture 6FOIS6 par jours respecter les 6 fois est indispensable moins que 6 ne servira absolument à rien et c démontré
tu peux mettre sous ibuprophène 400 3 fois par jour ( si la douleur est chronique le ttt sera long 6 semaines) si aucune contre-indication
A toi de juger pour la nécessité de prescrire l'ibuprophène
si tu tu fé le diagnostic d'une myalgie ce n'est pas la peine de prescrire l'ibuprophène mais plutot rajoute des exercices de massages aux exercices d'ouv ferm

un ttt ortho est tjs le bienvenu
l'orthèse (gouttière) si bruxisme nocturne et encore car pa vrmnt d'attrition) surtt qu'à cet âge en général on arrête de bruxer

si patiente stressée ++ envoyer vers un psychologue comportementaliste
bonne chance et tiens ns au courant


123...

Ce sujet est verrouillé

Les réponses à ce sujet sont désactivées