Cookie Consent byPrivacyPolicies.comcaries multiples et gros dégats - Eugenol

caries multiples et gros dégats

7313935 les metaux lourds roche et rouleau devil cornes main signe avec un bracelet en cuir noir cloutes yoxyzx - Eugenol
kinetic

25/05/2011 à 16h50

Bonjour à tous,

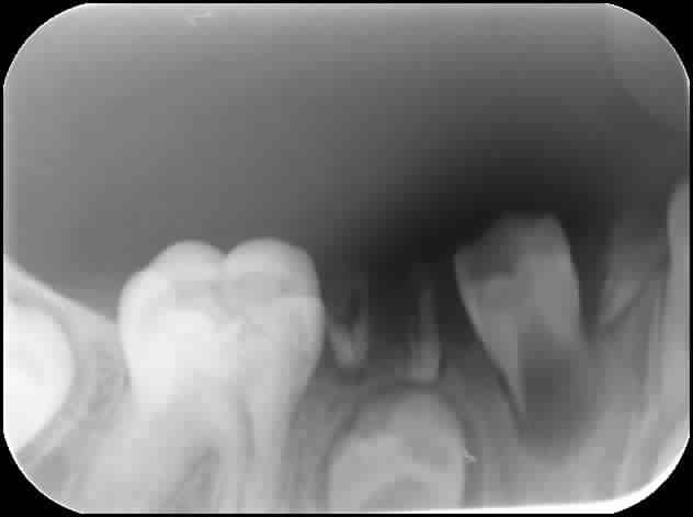
Je viens de voir à l'instant un jeune patient (7 ans) qui présente de multiples caries.

Rien que le secteur 4 est une catastrophe, et je ne parle pas du reste. Plusieurs dents définitives sont touchées plus ou moins gravement.

L'hygiene est inexistante ou presque, trés difficile à expliquer aux parents (parlent mal le français).

Bref, mon gros soucis c'est que faire de la dent 44 avec sa carie occlusale plus que profonde ? Vous verrez à la radio qu'elle est bien abimée...

Merci pour vos conseils ;)

Sect4 hzma9j - Eugenol

01 ukhwbq - Eugenol
Bobby

25/05/2011 à 18h59

A ce stade d'édification radiculaire, si la pulpe est atteinte lors du curetage, ça se complique pas mal, et il n'y en a visiblement pas besoin...
Je ferais un curetage très "prudent", et obturation classique avec coiffage, direct ou indirect selon ce que ça donne.


Bagheera tudzjy - Eugenol
bagheerra

25/05/2011 à 19h14

Même chose. Coiffage Hydroxyde de Calcium + eugénate + reconstitution coronaire étanche, attendre et espérer. C'est plutôt mal parti pour cette dent amha. Si besoin d'ODF, prévoir extraction PM ?
Certains sur le forum vont sûrement te dire de ne pas t'embêter vu le contexte pour cette dent perdue de toute façon... et ils auront sans doute raison.


7313935 les metaux lourds roche et rouleau devil cornes main signe avec un bracelet en cuir noir cloutes yoxyzx - Eugenol
kinetic

25/05/2011 à 19h53

Merci pour vos réponses.

Il est vrai que l'absence totale d'hygiene m'a fait envisager le traitement de cette carie au davier.

Quant à l'odf, j'ai peur que cet enfant n'aura pas la chance d'en bénéficier. Les parents n'étant pas plus affolés que ça de voir leur gosse édenté, je ne suis pas sûr qu'ils soient préoccupés par un éventuel traitement ortho.


paulman

26/05/2011 à 11h56

Pourquoi ne pas tenter de poser du Biodentine dans ce cas ? On doit pouvoir garder la vitalité de la dent même avec une effraction pulpaire.


colza2

26/05/2011 à 16h51

l'avantage c'est qu'au davier, elle serait partie hyper vite:
c'est bon pour notre dos des extractions rapides


7313935 les metaux lourds roche et rouleau devil cornes main signe avec un bracelet en cuir noir cloutes yoxyzx - Eugenol
kinetic

26/05/2011 à 17h17

Faut déjà qu'il vienne à son prochain rendez vous... Je ne serai pas surpris de ne pas le revoir.