Cookie Consent byPrivacyPolicies.comUn QUOI FAIRE de plus - Eugenol

Un QUOI FAIRE de plus

Bebe 038 nf8eum - Eugenol
danteyeah

30/05/2011 à 01h38

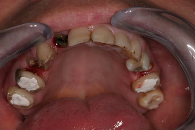
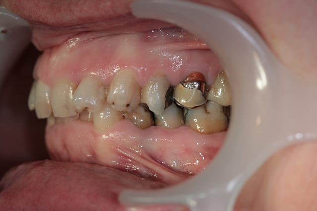
Récemment Céramik râlé, parce qu'il n'y avait pas de nouveau cas (esthétique je crois) à se mettre sous la dent. Je me jettes à l'eau avec ce dernier cas posé ce vendredi (y'a pas plus frais), une larme à l'oeil parce qu'il s'agit aussi du dernier gros cas dans mon cabinet que je quitte cette semaine pour rejoindre ma belle et nos p'tits bouts loin la bas dans le sud.
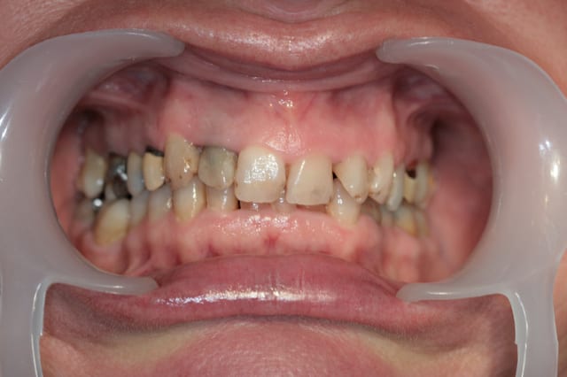
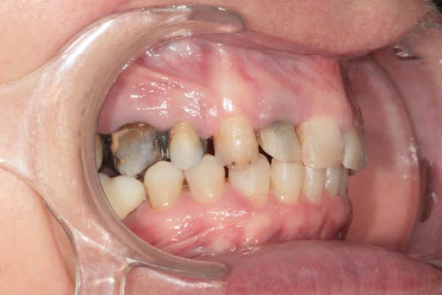
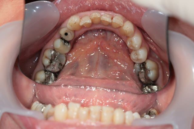
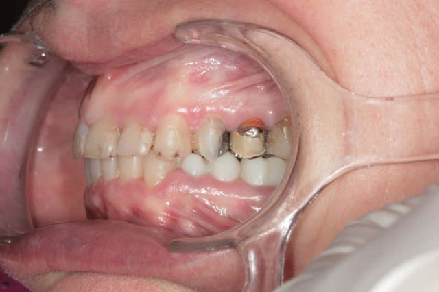
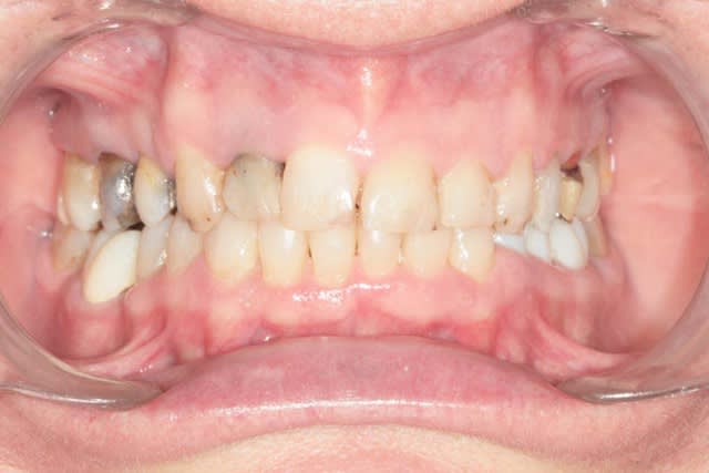
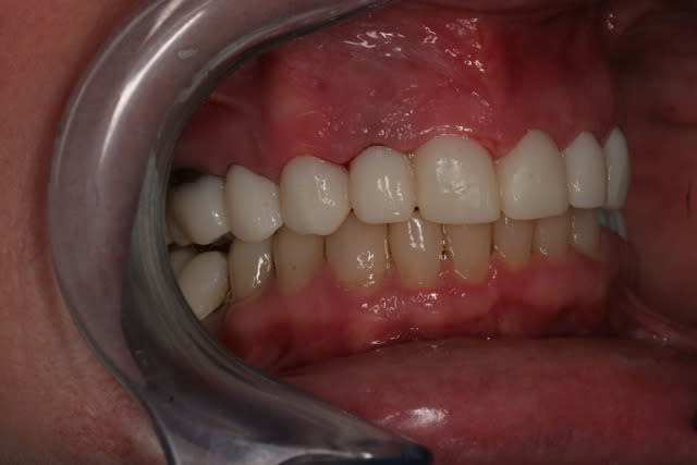
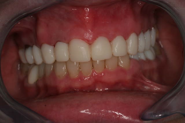
La patiente a un sourire très médiocre avec migration de plus en plus marqué du bloc incisivocanin sup. Comment l'aidez vous?

Qf2 jtz6bn - Eugenol
Qf3 bhlkn8 - Eugenol
Qf4 huuabh - Eugenol
Qf1 i42xgj - Eugenol
Qf5 pl7dka - Eugenol

Smile beach jgh0a1 - Eugenol
Céramik

30/05/2011 à 01h41

Cas de ré-hab globale comme j'aime bien

Tu as des radio ?

Ouverture de DV, et correction de la classe 2 par repositionnement mandibilaire
Chirurgie paro ant sup
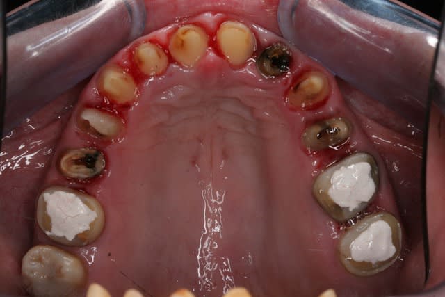
Tous est à refaire dans cette bouche, amalgames horibles, couronne brisée, etc
Céramiques haut et bas, au complet

Tu parts où ?

--
Céramik


Bebe 038 nf8eum - Eugenol
danteyeah

30/05/2011 à 02h09

Céramik écrivait:
-----------------
> Cas de ré-hab globale comme j'aime bien
>
> Tu as des radio ?
>
> Ouverture de DV, et correction de la classe 2 par repositionnement mandibilaire
> Chirurgie paro ant sup
> Tous est à refaire dans cette bouche, amalgames horibles, couronne brisée, etc

Et pourtant ça faisait un moment que je la poussais pour s'y mettre, donc ce que tu vois sur les photos c'est le résultat de la politique de soins à la française, cela dit en passant le meilleur système de santé du monde, la classe quoi!

> Céramiques haut et bas, au complet


>Quasiment pas eu besoin de chir, et en paro c'est plutôt bon, mais bon nous autres français on est un peu à la traine, y'a même des gars qui font de la paro avec des p'tits batonnets, alors!

> Tu parts où ?

Bandol: on y picole on y rigole, enfin j'espère!

>
> --
> Céramik


Smile beach jgh0a1 - Eugenol
Céramik

30/05/2011 à 02h26

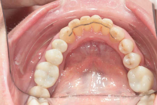
Attention au nom du patient sur la radio

Chirurgie paro, c'est pour les collets de 13 a 23, pas joli



--
Céramik


Bebe 038 nf8eum - Eugenol
danteyeah

30/05/2011 à 03h27

Céramik écrivait:
-----------------
> Attention au nom du patient sur la radio
>
> Chirurgie paro, c'est pour les collets de 13 a 23, pas joli
>
>
>
> --
> Céramik

Comment retires t-on une image d'un post?


Smile beach jgh0a1 - Eugenol
Céramik

30/05/2011 à 04h40

Tu fais : Editer le message
et tu places la souris sur la photo et tu retires la photo

--
Céramik


Bebe 038 nf8eum - Eugenol
danteyeah

31/05/2011 à 01h07

Céramik écrivait:
-----------------
> Tu fais : Editer le message
> et tu places la souris sur la photo et tu retires la photo
>
> --
> Céramik

Merci pour l'info, je ferais attention par la suite.

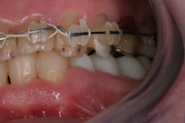
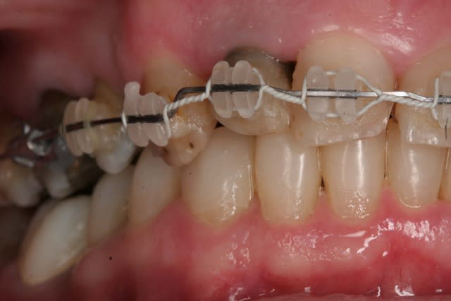
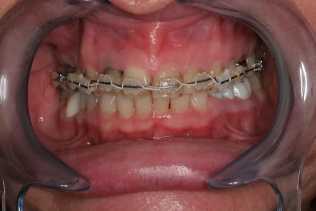
Donc la suite, évidement ortho: ingression du bloc incisivo canin sup avec ré alignement des arcades, extraction de la 14 nécessaire et ré alignement des milieux interincisif.

Pendant la finalisation du haut (axe mésio-disto incisif, à corriger à la fin pour faciliter gingivoplastie incisif sup). Il y a eu composite vestibulaire pelliculaire sous digue de 33 à 43, reprise soins et ancrage + provisoires 34,35, 36, 46; et composite sous digue 37 et 47.

Qfs1 gcvj9j - Eugenol
Qfs2 y6rl5n - Eugenol
Qfs3 hnmdcm - Eugenol
Qfs5 khr5ln - Eugenol
Qfs4 xwcqbe - Eugenol

Smile beach jgh0a1 - Eugenol
Céramik

31/05/2011 à 05h51

pas d'ortho en bas ?


--
Céramik


Bebe 038 nf8eum - Eugenol
danteyeah

31/05/2011 à 12h23

Céramik écrivait:
-----------------
> pas d'ortho en bas ?
>
>
> --
> Céramik
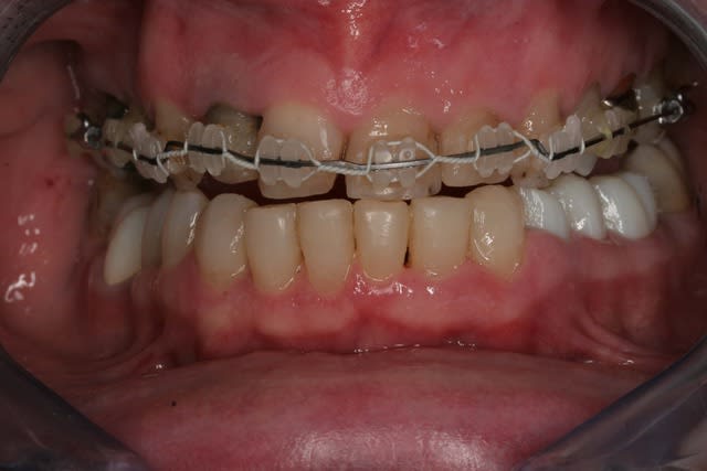
Si bien sûr, sur les photos le bas venait juste d'être déposé, pour le montage composite, la patiente retournait le lendemain chez l'ortho pour placer une contention (celles que je fais avec l'Everstik me semble moins costaud que les siennes avec un fil titane), on devine un peu les faces vestibulaires des inf sur les photos pstés précédement, elles ont un sorte de crevace les striant de mesial à distal à mi hauteur, avec des petits trous colorés brun , mais pas de lésion carieuse ni de restauration ancienne. Le haut devait être déposé dans la foulé mais l'axe mésio-distal des 11 et 21 était trop couché et c'est moche (effet d'essuie glace) donc le multibague haut est resté quelques semaines de plus, d'où les photos mixte soins bas ortho haut.


Bebe 038 nf8eum - Eugenol
danteyeah

31/05/2011 à 23h19

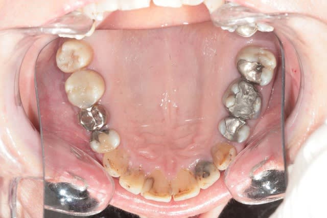
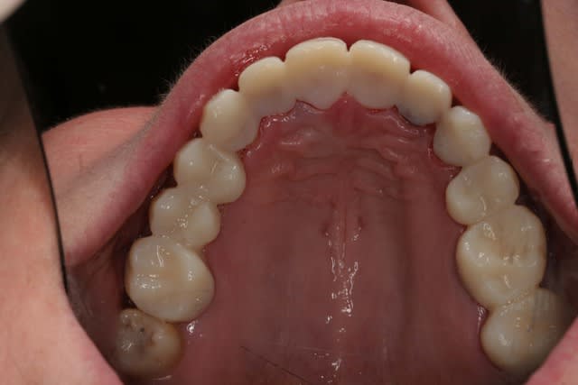
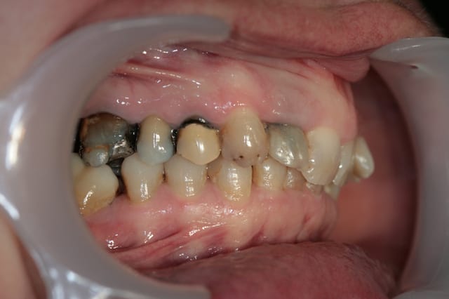
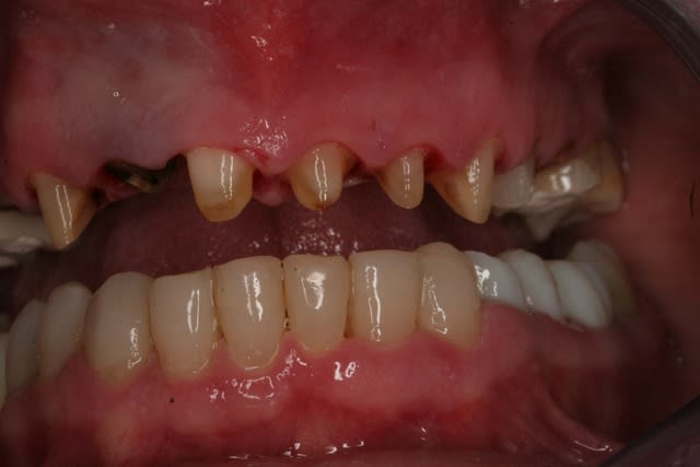
Voila la suite pour le maxillaire, le wax est fait sur arti en fonction de l'OIM obtenue après ortho. seule la 27 restera intacte.
Préparation des molaires pour permettre des RTE sous digue à travers les provisoires, retrait des anciennes couronnes et ancrages sur les 12, 15 et 25 endo satisfaisantes (couronnes ayant plus de 30 ans pour certaines!!!.
Tailles parallèles pour zircone 13 à 23 seront solidarisées pour éviter une migration post ortho.
Gingivectomie légère à la fraise à biseau pour harmoniser les collets, mais l'ortho a permis d'énormément faciliter ce travail.

Wax1 uh3wqn - Eugenol
Wax2 n4xfdw - Eugenol
Prepa post 1 vzp3ps - Eugenol
Prepe post 2 fzxchf - Eugenol
Taille 1 jcmxuw - Eugenol
Taille 2 s6guoy - Eugenol

Bebe 038 nf8eum - Eugenol
danteyeah

31/05/2011 à 23h24

Puis provisoire d'un seul bloc pour éviter les migrations post ortho, les provisoires vont recouvrir les molaires préparées pour les RTE, il n'y a plus qu'a tailler dans provisoire jusqu'au cavit, retirer ce dernier pour accéder à la "chambre pulpaire"

Provisoire1 qwgthp - Eugenol
Provisoire2 vkynyb - Eugenol
Provisoire3 nyokxf - Eugenol
Provisoire4 wr0zqj - Eugenol

Smile beach jgh0a1 - Eugenol
Céramik

01/06/2011 à 00h27

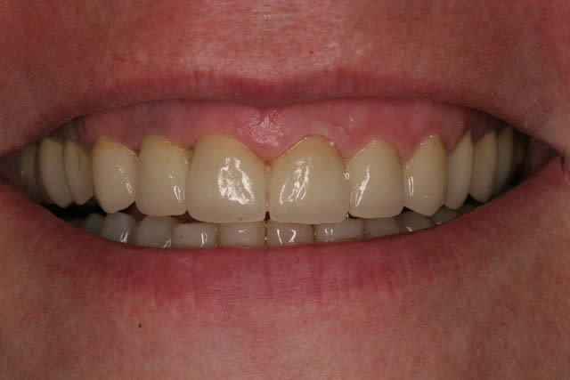
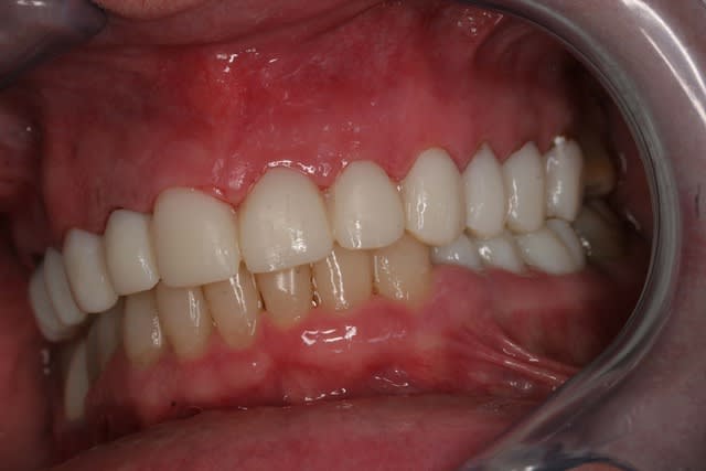
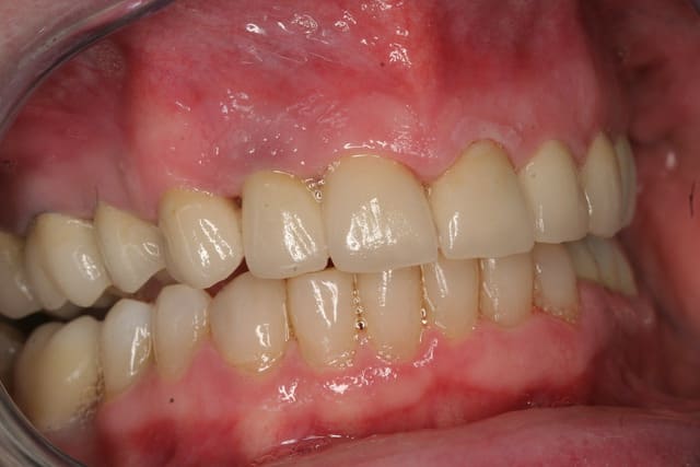
Les dents du haut sont plus longues que les dents du bas, il semble.

Photo sourire ?
Manque de longueur des incisivives du haut,
ratio largeur:longueur pas idéal

Elle dégage bcp ?
Age de la patiente ?

J'aime pas trop les couronnes solidarisées, pour la paro, c'est rarement bien.

On attend la suite, bonne icographie du cas, c'est bien de faire bcp de photo des cas un peu complexes.


--
Céramik


Bebe 038 nf8eum - Eugenol
danteyeah

01/06/2011 à 02h37

Céramik écrivait:
-----------------
> Les dents du haut sont plus longues que les dents du bas, il semble.

tu parles de l'overbite?

>
> Photo sourire ?
Y'en a, c'est partit

> Manque de longueur des incisivives du haut,
> ratio largeur:longueur pas idéal

C'est court mais la patiente est très ronde, plus de 60 ans, sourire gingival, j'ai hésitais à réaliser de vrai élongation coronaire prévu au départ qui finalement aurrait donner de vrai "pelle à tarte" qui ne lui correspondait pas

> J'aime pas trop les couronnes solidarisées, pour la paro, c'est rarement bien.

Moi je déteste ça, mais pour un cas précédent, je me suis contenté de simples facettes après ortho, la patiente à mis 3 semaines pour aller poser la contention, et l'ortho était bon pour refaire son boulot: rotation, migration énorme en moins de 3 semaines!!!. Depuis je solidarise,mais évidement que les cas orho., et sa paro à elle est impécable donc je prends pas trop de risque, c'est juste que ce sera moins beau à la fin: échancrure moins bien dessiné, dommage!


>
> On attend la suite, bonne icographie du cas, c'est bien de faire bcp de photo

Je fais pas souvent ça, mais mon successeur voulait suivre ce cas et n'était pas toujours présent au cabinet donc je lui ai fait un max de photos pour qu'il visualise le protocole d'une réhabilitation global, en tout cas de la mienne qui n'est pas forcément une référence mais qui fonctionne.

> des cas un peu complexes.

Ce qui était complexe c'était la supraclusie et les migrations du départ, c'est l'ortho qu'il faut remercier, parce que après son intervention tout était vraiment simplifié, ça s'est juste transformé en gros chantier avec toutes les disciplines de l'odontologie conservatrice: endos, compo, ancrages, couronnes....la base quoi.

Ah oui un détail d'importance qui te choque peut être pas toi, mais qui n'a plu à personne ici en France (pire en Alsace, très conservatrice)....la teinte des provisoires: blanc pour nous, très blanc, trop blanc même et opaque c'est de la résine acrylique 3M en A2, je ne pensais pas que cela donnerait un truc si blanc, à 60 ans passé c'est quand même bizarre de telle teinte, et pourtant A2 en montage vita céramique ce n'est pas si clair d'habitude.
>
>
> --
> Céramik

Preop 3 sf3fzw - Eugenol
Provisoire5 nevslr - Eugenol

Smile beach jgh0a1 - Eugenol
Céramik

01/06/2011 à 03h55

LOL
A2 chez moi, c'est trop foncé...

Je fais mes provisoire en B1, après 1 semaine, le patient me dit si c'est OK, trop ou pas assez blanc.
Presque jamais ils veulent moins blanc...

60 ans c'est super jeune !
J'ai fait des cas comme cela pour des gens de 70+ ans.
Il sont super content d'avoir enfin des belles dents, et non un paquet de trucs jaunes, bruns etc...

Pour tes centrales, elles sont un peu courtes.
Voir dessin fait rapido.

Les collet sont trop horizontaux.
Pour la centrale et la canine, ils devraintt être plus haut que la lattérale.
Une centrales doit faire entre 10 et 12 mm en hauteur, avec un rapport largeur sur longeur de 75-80 %
La 11 est aussi plus carrée que la 21


+1 pour l'ortho





--
Céramik

123456 2 sgbrqq - Eugenol

Bebe 038 nf8eum - Eugenol
danteyeah

01/06/2011 à 10h33

Céramik écrivait:
-----------------
> LOL
> A2 chez moi, c'est trop foncé...
>
> Je fais mes provisoire en B1, après 1 semaine, le patient me dit si c'est OK,
> trop ou pas assez blanc.
> Presque jamais ils veulent moins blanc...

Heureux homme, ici la teinte de base c'est A3, et les cas en A4/B4 ne sont pas exceptionnel.

>
> 60 ans c'est super jeune !
> J'ai fait des cas comme cela pour des gens de 70+ ans.
> Il sont super content d'avoir enfin des belles dents, et non un paquet de trucs
> jaunes, bruns etc...

Tu vas être déçu parce qu' il va y avoir un peu de tous ça .
>
> Pour tes centrales, elles sont un peu courtes.
> Voir dessin fait rapido

Merci pour le temps pris à faire le croqui. C'est tout à fait vrai ,j'y avais pas trop prêté attention, pourtant c'est des fondamentaux, j'ai manqué de rigueur, aveuglé par la joie de la patiente une fois ce nouveau sourire obtenue associé a son insistance pour retrouver une teinte raccord avec les incisives du bas. N'empêche si j'avais proposé un blanchiment en preop, je suis sur qu'elle aurait validé le A2 voir plus clair, mais je n'ai pas a pousser les patients a le faire car il est difficile de savoir si ici on rend service ou pas au patient...pb culturel, pour une villageoise de 60 ans dans ma campagne on ne joue pas les pin- up :-)

>
> Les collet sont trop horizontaux.
> Pour la centrale et la canine, ils devraintt être plus haut que la lattérale.
> Une centrales doit faire entre 10 et 12 mm en hauteur, avec un rapport largeur
> sur longeur de 75-80 %
> La 11 est aussi plus carrée que la 21

Tout a fait, je vais avoir du temps maintenant pour repautasser les bouquins de Magne, de Paris JC et autres, un coup de pied au cul ça feras du bien:-)


Voilà il est l'heure d'aller prendre l'avion pour un dernier aller/retour cabinet/famille
@+ pour le final!
>
>
> +1 pour l'ortho

Carrément oui !!!!! Merci pour lui d'autant qu'il en a bavé avec les multiples allergies ( réel) de la patiente.


3f3boxni50k58rq7e9ce9ddqrxgk - Eugenol
dentiste57

01/06/2011 à 21h12

la suite, la suite...


Bebe 038 nf8eum - Eugenol
danteyeah

02/06/2011 à 01h18

dentiste57 écrivait:
--------------------
> la suite, la suite...

Voila, Voila....
Pose IC, désolé Céramik, je promets après la conf de Magne j'arrète les IC, RC, FM appellon ça comme on veut ;-)
et état paro après 3 semaines (ou 2 je crois) de provisoires.

Taille   ic 1 qiuwtf - Eugenol
Taille  ic2 jldcit - Eugenol

Bebe 038 nf8eum - Eugenol
danteyeah

02/06/2011 à 01h30

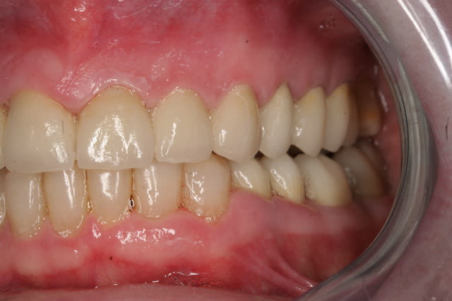
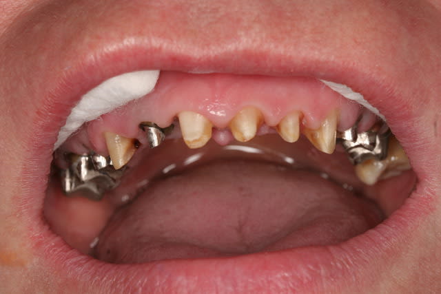
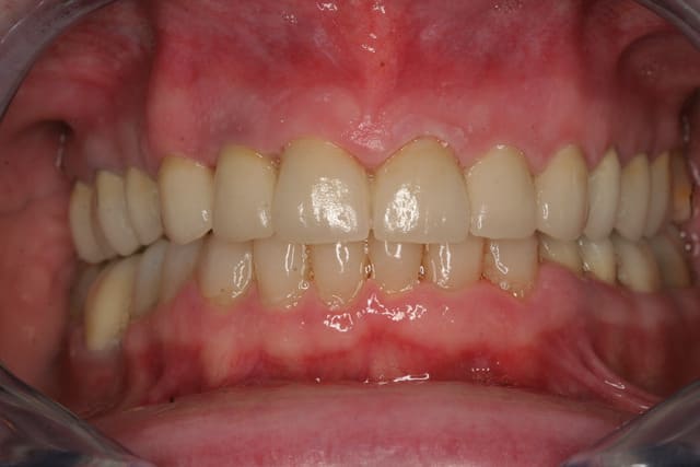
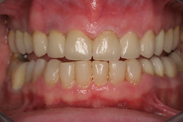
Et voila la pose , pour les habitants du nouveau monde c'est très coloré, pour les Franchouillard c'est naturel... perso je m'en fout la patiente est toute joilleuse et j'ai pas honte de moi, j'ferais encore mieux dés qu'on m'en donneras l'occasion.
Merci de m'avoir laisser finir sans me tailler un short tout de suite!

Fin 002 j3hb61 - Eugenol
Fin 005 htq1ba - Eugenol
Fin 006 dpgjbp - Eugenol
Fin 008 owjdyz - Eugenol
Fin 007 lhlszz - Eugenol

Smile beach jgh0a1 - Eugenol
Céramik

02/06/2011 à 03h53

danteyeah écrivait:
-------------------
>j'ai pas honte de moi, j'ferais encore mieux dés qu'on m'en
> donneras l'occasion.


+1
bon boulot global, et c'est bien de présenter des cas complets, il n'y en a pas assez depuis un temps...


--
Céramik


S2y2o1v7q53ws4r5wy6ou8czrpom - Eugenol
pxav

02/06/2011 à 09h56

danteyeah écrivait:
-------------------
> Merci de m'avoir laisser finir sans me tailler un short tout de suite!
un short, surement pas le travail et la réflexion méritent le respect.
Seule petite remarque, dommage de n'avoir pas suivi les indication de Céramik pour la forme des centrales.
Je me suis aussi habitué à la teinte A1, et les patients apprécient, ce qui ne veut pas dire qu'ils ont raison, ni que tu as tort, mais c'est une tendance qui se développe, même dans le centre France, pas plus évolué que l'Est.

--
xbk
"Si tous ceux qui croient avoir raison n'avaient pas tort, la vérité ne serait pas loin" Dac Pierre


Blason dql7mj - Eugenol
growler

02/06/2011 à 11h28

très belle dentisterie danteyeah.
La semaine dernière j'ai eu un cas à peu près similaire qui c'est présenté, j'ai indiqué au patient qu'il fallait passer par l'ortho mais malgré mes explications, refus du patient et donc rien d'entrepris.

Tu a su être persuasif avec cette patiente certainement bien demandeuse au départ ou capable de comprendre le pourquoi du comment et c'est indispensable avant de se lancer dans un traitement long et multidisciplinaire comme celui-ci.



Toriko ucqp9i - Eugenol
Giantcoco

02/06/2011 à 15h21

très beau cas bien géré belles finitions et chouette résultat fonctionnel


mat2t

02/06/2011 à 16h05

Super , c'est exactement le genre de cas que j'aimerai être apte à mener.

Une petite question , le traitement ortho à durer combien de temps ?
As tu une photo juste à la dépose des bagues ?


Bebe 038 nf8eum - Eugenol
danteyeah

04/06/2011 à 12h33

mat2t écrivait:
---------------
> Super , c'est exactement le genre de cas que j'aimerai être apte à mener.
>
> Une petite question , le traitement ortho à durer combien de temps ?
> As tu une photo juste à la dépose des bagues ?

Traitement ortho 2 ans environ, on a perdu un peu de temps avec allergie de la patiente, on a testé différent métaux et colle chez allergologue avant de se lancer, elle était vraiment allergique à plein de truc, bizarrement pas au latex!

Photos après dépose du haut. Comme dit dans précédent post, le bas avait été déposé quelques semaines auparavant et préparé entre temps, d'où contention, composites et provisoires déjà en place.

Ortho fin 1 k5jh5f - Eugenol
Ortho fin 2 jephx3 - Eugenol
Ortho fin 3 s9dupn - Eugenol
Ortho fin 4 gmz1gl - Eugenol
Ortho fin 5 baimeh - Eugenol

mat2t

04/06/2011 à 13h15

Superbe .

Dernière petite question si la patiente avait refusé l'ortho ( trop long ,inesthétique trop cher ect..)
Te serais tu lancé dans une restauration prothétique en jouant éventuellement sur les axes pur corriger la classe 2?

Ou aurais tu tout restaurer en la laissant dans cette occlusion.

Merci d'avance pour ces précisions.


12