Cookie Consent byPrivacyPolicies.comUn QUOI FAIRE de plus - Eugenol

Un QUOI FAIRE de plus

Bebe 038 nf8eum - Eugenol
danteyeah

04/06/2011 à 13h34

mat2t écrivait:
---------------
> Superbe .
>
> Dernière petite question si la patiente avait refusé l'ortho ( trop long
> ,inesthétique trop cher ect..)
> Te serais tu lancé dans une restauration prothétique en jouant éventuellement
> sur les axes pur corriger la classe 2?
>
> Ou aurais tu tout restaurer en la laissant dans cette occlusion.
>
> Merci d'avance pour ces précisions.

Sans ortho je ne faisais rien, cette patiente consultait depuis longtemps dans cette état à part quelques "replâtrage", rien avait été envisagé sans doléances de sa part et quand doléance il y a eu, aucun traitement pour moi n'était envisageable sans ortho, à cette proposition il lui a fallu 1 an de réflexion avant de se lancer, cela a aussi permis à l’allergologue de tester un max de matériaux.
Petit détail...malgrés des revenus très modeste, la patiente a validé un devis ortho/prothèse coûteux aux dépend de loisirs et vacances totalement supprimés sur plus de 2 ans, donc quand on veut on peut!


Smile beach jgh0a1 - Eugenol
Céramik

04/06/2011 à 15h20

2 ans d'ortho avec une 25 en pareil état, t'es gonflé !

;-)



--
Céramik


mat2t

04/06/2011 à 15h53

Merci pour tes réponses

J'ai pas mal de patient demandeur d'une réhabilitation prothétique globale qui ont une bonne mutuelle et ne veule pas entendre parler de l'orthodontie.

Tu dis que sans ortho pour se cas tu ne te serais pas lancé.

C'est une généralité chez toi ?

Tu te lance dans ce genre de cas uniquement en cas de classe I , ou est il possible de jouer sur les axes prothétiques pour espérer corriger une légère classe 2 ou 3?



Bebe 038 nf8eum - Eugenol
danteyeah

04/06/2011 à 17h38

mat2t écrivait:
---------------
> Merci pour tes réponses
>
> J'ai pas mal de patient demandeur d'une réhabilitation prothétique globale qui
> ont une bonne mutuelle et ne veule pas entendre parler de l'orthodontie.
>
> Tu dis que sans ortho pour se cas tu ne te serais pas lancé.
>
> C'est une généralité chez toi ?

Non ce n'est pas une généralité mais vu le surplomb antérieur dans ce cas je n’envisageais pas le traitement sans ortho.
>
> Tu te lance dans ce genre de cas uniquement en cas de classe I , ou est il
> possible de jouer sur les axes prothétiques pour espérer corriger une légère
> classe 2 ou 3?

Le problème d'occluso n'est pas de remettre tout le monde en Classe I, mais que leur mâchoires soientt fonctionnelles je pense. Si tu t'amuses trop avec tes axes prothétiques, d'une part tu risques la casse et d'autres part des bons gros soucis paro.

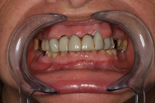
Pour les classe 2 plus marqué il y a ortho/chir, perso je n'ai eu qu'une patiente en 10 ans qui m'a validé un tel plan de traitement ( pas beaucoup de photos mais si je retrouve je post), classe 3.... pas essayé, et pas motivé a tester.

Et si y a pas d'ortho ça donne ça: Photos.
>

Cl2 preop 1 llmnqe - Eugenol
Cl2 preop 2jpg s22i8n - Eugenol
Cl2 preop 3pg ucy9cn - Eugenol
Cl2 preop 4pg jyfqkv - Eugenol
Cl2 fin1 nmz4p5 - Eugenol
Cl2 fin2 osbsl9 - Eugenol
Cl2 fin3 zucmck - Eugenol
Cl2 fin4 nr5a2i - Eugenol
Cl2 fin5 qsfof9 - Eugenol

Grueavatar nptrc9 - Eugenol
Le Choixpeau magique

04/06/2011 à 18h40

Merci pour ce cas, denteyeah !


200106 10150128247663588 709988587 6466236 5598391 n d7mksb - Eugenol
hallboy

04/06/2011 à 18h45

ces embrasures me gonfleront toujours.. pas moyen d' y echapper je suppose..


Smile beach jgh0a1 - Eugenol
Céramik

04/06/2011 à 19h37

Dans ton 2e cas, j'aurais couronné les 33 à 43, sur-élevé la DV en zone postérieure secteurs 3 et 4, ainsi niveller le plan d'occlusion de la mandibule.


--
Céramik

123456789 hsxlsg - Eugenol

Bebe 038 nf8eum - Eugenol
danteyeah

04/06/2011 à 19h55

Céramik écrivait:
-----------------
> Dans ton 2e cas, j'aurais couronner les 33 à 43, sur-élever la DV en zone
> postérieure secteurs 3 et 4, ainsi niveller le plan d'occlusion de la mandibule.
>
>
> --
> Céramik

La DV a été surélevé de plus de 2 mm et validé sur prés de 6 mois, et ça a été très difficile à obtenir, occlusion validé au Tscan, patiente hyperactive, je me suis arrêté de monter quand elle a commencée de râler, c'est un cas de compromis.

Hallboy écrivait:

ces embrasures me gonfleront toujours.. pas moyen d' y echapper je suppose..

Si tu parles des embrasures de 12 11 21, c'est un pontique de bridge, donc pour retrouver des embrasures et une esthétique plus avenantes faudrait greffe osseuse, implant et conjonctif enfouie.....et patiente enfuite!!!!

Céramik t'as peut être des cas de ce genre, toi, à nous montrer?


Smile beach jgh0a1 - Eugenol
Céramik

04/06/2011 à 19h59

danteyeah écrivait:
-------------------
> Céramik t'as peut être des cas de ce genre, toi, à nous montrer?
>

oui, voici les photo au stade des provisoires
Éllongation paro de 13 à 23 fait 2-3 mois avant

Voir la photo de ton cas sur mon post précédent, avec des lignes pour illustrer

--
Céramik

Montage 14 p72izx - Eugenol
Montage 18 as9xpf - Eugenol

Bebe 038 nf8eum - Eugenol
danteyeah

05/06/2011 à 00h45

Céramik écrivait:
-----------------

> oui, voici les photo au stade des provisoires
> Éllongation paro de 13 à 23 fait 2-3 mois avant

Joli démonsration de ton savoir faire, et d'une pierre deux coup réponse à Mat2t sur la possibilité de réhabilitation complète d'une cl 2.

>
> Voir la photo de ton cas sur mon post précédent, avec des lignes pour illustrer

L'idée de retoucher les incisives c'est présentée mais contrairement à la patiente précédente ici j'ai du bataillé pour placer mon devis pour le haut et rajouter les blocs post inf., d'autant qu'il y a encore de l'implanto pour 36-37 de prévu, et que 33 à 43 c'est HN, et HN ici (la France...et oui toujours!!!!) sur des dents saines même jaune on a du mal à faire passer, elle a juste validé une petite gouttière de blanchiment, puis est partie à reculons chez l'implanto.

Pour le prochain cas je présenterais ton cas aux patients pour les motiver aller jusqu'au bout, avec un peu de chance qui sait ;-)
>
> --
> Céramik


Smile beach jgh0a1 - Eugenol
Céramik

05/06/2011 à 02h20

danteyeah écrivait:
-------------------
> Céramik écrivait:
> -----------------
>
> > oui, voici les photo au stade des provisoires
> > Éllongation paro de 13 à 23 fait 2-3 mois avant
>
> Joli démonsration de ton savoir faire, et d'une pierre deux coup réponse à Mat2t
> sur la possibilité de réhabilitation complète d'une cl 2.
>
Merci


Dans mon cas, il y avait aussi implants 15 et 35 ( il y avait un bridge 34-X-36, et la patiente désirait des dents unitaires.

Chez moi, un cas comme ça : pure HN (pas d'assurance dentaire qui couvre les réhabilitations)
Alors, le devis est assez haut.


Le plus dure, ce fut les 13 à 23
Anciennes céramo-métal + IC métal, angulation très vestibulaire, sourire gingival, dents très courtes, ancienne chirurgies apicales avec amalgames rétro-grade eurk, quelle merde.

J'ai fais une élongation paro et amputation des beaux granulomes apicaux, avec ablation des amalgames. Pose de provisoires et attente de 2-3 mois.
Ensuite pose des 2 implants, puis placer les provisoires en haut (dents taillées) et en bas (dents non taillées) dans la même visite, pour établir la nouvelle DV.

Ensuite, c'est facile, 28 céram (mélange de Lava et e-max).






--
Céramik


12