Cookie Consent byPrivacyPolicies.comimage sinus - Eugenol

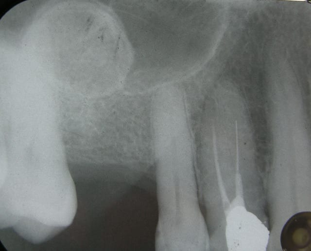
image sinus

Img 1744 z0evts - Eugenol
dumaille

03/06/2011 à 18h06

bonjour à tous, petite image en couché de soleil, dans un sinus, d'aspect osseux.
déjà présente sur une radio de mon prédécesseur en 2005.
de quoi s'agit il?


--
La vie est une fête!

Dscn2667 xgc9cb - Eugenol
Dscn2665 m9jqs0 - Eugenol

ad-hugo

03/06/2011 à 22h39

très beau résultat de sinus lift réalisé par la méthode du ballonnet!
bon, ok! plus sérieusement, je ne vois pas ce que ça peut être mais comme tu dis, ça a la densité de l'os.
il faudrait avoir l'historique de la dent extraite (je pense à un kyste péri-apical qui se serait ossifié ou un petit dépassement de produit d'obturation qui aurait entraîné une calcification etc..)


Avatar ow44t3 - Eugenol
Chicot

04/06/2011 à 11h13

Le plus étrange c'est que ça apparait comme différencié ou encapsulé, avec une zone plus dense sur toute la périphérie. Il serait intéressant d'avoir un cône beam.

Je sèche

--
;O)


Canin

05/06/2011 à 11h42

ça peut être un ostéome intra-sinusien tout simplement.

les sinus de la face sont une topographie assez commune pour ce type de lésion mais surtout au niveau fronto-ethmoïdal.

c'est vrai qu'au niveau maxillaire c'est assez rare.

si il y a ostéomes mutiples aussi bien cranio-faciaux que au niveau des membres, il est légitime de suspecter un syndrome de gardner dont le risque majeur est un cancer colo-rectal à terme.

--
Canin


Tozzi

05/06/2011 à 13h51

Et l'augmentation du volume ?
Comment confirmer un diagnostic d'ostéome ou d'autre chose ?


Canin

05/06/2011 à 14h10

Tozzi écrivait:
---------------
> Et l'augmentation du volume ?
> Comment confirmer un diagnostic d'ostéome ou d'autre chose ?

tu mesures la densité du tissu à partir d'un scan, avec un cone-beam ça me semble pas possible d'avoir l'information exacte de denisté en unité Hounsfield

tu utilises alors l'ostéome comme site d'implantation, ça te fait un petit "case report" original.

--
Canin