Cookie Consent byPrivacyPolicies.comCherche volontaire - Eugenol

Cherche volontaire

Jomiro

04/06/2011 à 22h54

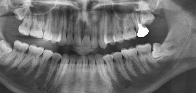
pour extraction de 48.

48 ectopique pwllhn - Eugenol

Tozzi

04/06/2011 à 22h58

Il ressort où l'apex là ??


dentiste68

04/06/2011 à 23h32

Où es-tu installé Jomiro?
Moi, j'ai passé la main...


Jomiro

04/06/2011 à 23h55

Tozzi écrivait:
---------------
> Il ressort où l'apex là ??
Effectivement les apex dépassent le bord inf. de la mandibule.


Jomiro

04/06/2011 à 23h56

dentiste68 écrivait:
--------------------
> Où es-tu installé Jomiro?
> Moi, j'ai passé la main...
A priori dans ton département.


levm

05/06/2011 à 00h01

Envois-ca en maxillo, qui sont apte à gérer un potentiel risque fracturaire.
Sur paris ,j'ai 2 ou 3 adresses si tu veux .


levm

05/06/2011 à 00h02

Envois-ca en maxillo, qui sont aptes à gérer un potentiel risque fracturaire.
Sur paris ,j'ai 2 ou 3 adresses si tu veux .


Jomiro

05/06/2011 à 00h14

levm écrivait:
--------------
> Envois-ca en maxillo, qui sont aptes à gérer un potentiel risque fracturaire.
> Sur paris ,j'ai 2 ou 3 adresses si tu veux .
Merci. Je l'ai adressée hier au service de chirurgie maxillo-faciale universitaire de Bâle.C'est plus proche pour la patiente.Il y a non seulement un risque de fracture mais également un risque de lésion du NAI.Il faudra aussi faire une histologie de la lésion "Kystique".Je précise par ailleur qu'il n'y a aucune symptomatologie et 47 est vivante.


dentiste68

05/06/2011 à 00h21

Adresse-la au Dr E. P. à M., il la connaît bien, elle lui a déjà annulé deux rdv.
Elle a aussi mis un lapin au scan à SL, et sans scan ça se complique vraiment, nan?
Pas très motivée, Mme N.A., pour extraire cette dent.
Marrant quand même de retrouver un OTP connu sur Nonol!


Dent masqu e petite f0pbaj - Eugenol
dudule

05/06/2011 à 00h21

levm écrivait:
--------------
> Envois-ca en maxillo, qui sont aptes à gérer un potentiel risque fracturaire.
> Sur paris ,j'ai 2 ou 3 adresses si tu veux .

Je veux pas te donner l'impression de te chercher mais t'es sur de ne pas t'être trompé de voie en faisant le DESCB ?

Tu crois peut être que les chirurgiens oraux ne sont pas capables de chercher un "potentiel" risque fracturaire ?

Arghhhhh

Arrêtez de m'échauffer les oneilles, dirait UBU, avec vos maxillos ! Et encore plus quand cela vient d'un mec étudiant en DESCB !

Si tu penses que le risque fracturaire est +++, tu demandes à un ODF de tout te baguer pour pouvoir anticiper une éventuelle ligature pour synthéser quand c'est possible (encore faut-il de la matière).

La dent de sagesse devrait pas être bien compliquée à virer vu ce qui l'entoure.
Le risque on en convient tous est plus le V


levm

05/06/2011 à 00h23

ca doit etre un kyste dentigere


Jomiro

05/06/2011 à 00h29

dentiste68 écrivait:
--------------------
> Adresse-la au Dr E. P. à M., il la connaît bien, elle lui a déjà annulé deux
> rdv.
> Elle a aussi mis un lapin au scan à SL, et sans scan ça se complique vraiment,
> nan?
> Pas très motivée, Mme N.A., pour extraire cette dent.
> Marrant quand même de retrouver un OTP connu sur Nonol!
Dans le mille ,merci pour l'info.


levm

05/06/2011 à 00h42

Je fais le DESCB et je suis conscient de ne pas être un chirurgien à part entière.

Pourquoi adresser meme si j'ai(avais) les capacités de traiter ce genre de lésion ?

1)Tu es d'accord , il vaut mieux traiter ce genre de cas au bloc (sous AG):
-Risque fracturaire , Risque de lésion du NAI et du lingual (peut-etre)
-Combien de chirurgiens-dentistes bossant avec des anesthésistes connais-tu ?

2) A ma connaissance , quelques rares DESCB(iste) ont mis des plaques d'ostéosynthèses dans leurs cursus ( de manière anecdotique:2 ou 3 maximum ,en compagnie d'un maxillo d'ailleurs)


3) Question de responsabilité :
Que ce passe t'il si lésions, il y a ?
Tu crois sincèrement, que le DESCB et le diplôme de Chirurgien dentiste suffisent?
De plus , ces lésions sont parfois récidivantes.


Le DESCB me permet, de voir plus loin que ce qu'on a appris dans le cadre de la formation initiale ainsi qu'augmenter ma dextérité en chirurgie buccale.
Je reste néanmoins conscient de mes limites .Je ne suis pas et ne serais jamais un maxillo.
Quand au national il faut présenter 8 cas, Eux opèrent , 3 à 4 cas par jour pendant 8 semestres.
Je t'accorde que les maxillos n'ont pas les connaissances nécessaires en prothèse ,paro ,etc et n'y vont pas avec la plus grande des finesses.


Jomiro

05/06/2011 à 00h56

Dudule et Levm Peace and Love ne vous battez pas pour ma 48.


Dent masqu e petite f0pbaj - Eugenol
dudule

05/06/2011 à 00h57

levm écrivait:
--------------
> Je fais le DESCB et je suis conscient de ne pas être un chirurgien à part
> entière.
>
> Pourquoi adresser meme si j'ai(avais) les capacités de traiter ce genre de
> lésion ?
>
> 1)Tu es d'accord , il vaut mieux traiter ce genre de cas au bloc (sous AG)
> Risque fracturaire , Risque de lésion du NAI et du lingual (peut-etre)

Oui et c'est pour ça que tous les mecs que je connais qui ont fait le DESCB là où je l'ai fait opère sous AG... Sinon comment faire de la chir ?

> 2) A ma connaissance , quelques rares DESCB(iste) ont mis des plaques
> d'ostéosynthèses dans leurs cursus ( de manière anecdotique).
>

Vachement plus dur que de faire une greffe d'apposition... Je me marrrrrrrre...


> 3) Question de responsabilité :
> Que ce passe t'il si lésions, il y a ?
> Tu crois sincèrement, que le DESCB et le diplôme de Chirurgien dentiste
> suffisent?

Oui c'est à ça que sert le DESCB !


Rien à ajouter pour le reste car les bras m'en tombent.
Je ne sais pas ce qui t'a fait choisir la voie du DESCB mais je pense à un gros problème d'orientation...
Je ne dis pas cela pour te faire chier mais le but du DES de Chirugie Buccale et du futur DES de Chirurgie Orale s'est de faire de la chirurgie buccale et de la médecine buccale !

La maxillo c'est tout autre chose et je sais où sont nos limites : carcino, glandes salivaires principales, trauma faciaux, cranio-facio-sténose, fente palatine, chir orthognathique, ATM... et beaucoup de dents quand ils s'installent en libéral car malheureusement pour eux c'est une spécialité qui se pratique en CHU et encore ils font pas souvent tout ce que j'ai cité plus haut faute de patients d'une part et surtout parce que leur spé est inconnue en médecine et que les MG adressent aux ORL.


levm

05/06/2011 à 01h03

J'ai choisi le DESCB afin de pouvoir mes chirurgies en cabinet. Je souhaite plus tard ,avoir une piece dédiée à la chirurgie mais sous locale.
J'aime l'omnipratique et je souhaite intégrer la chirurgie dans mes plans de traitement .
Je sais qu'en Bretagne, par exemple , la formation est différente et la première année est hospitalière à temps plein non rémunéré (tu m’arrêtes si je me trompe) .
Tu le dis souvent, le DESCB est faculté dépendante.
A Paris 7, le "vrai" bloc est réservé aux dentiste une demi-journée par semaine.
Habitant la capitale ,mes intérêts sont moindres afin de faire de la chirurgie exclusive.
Peace.


Dent masqu e petite f0pbaj - Eugenol
dudule

05/06/2011 à 01h08

levm écrivait:
--------------
> J'ai choisi le DESCB afin de pouvoir mes chirurgies en cabinet. Je souhaite plus
> tard ,avoir une piece dédiée à la chirurgie mais sous locale.
> J'aime l'omnipratique et je souhaite intégrer la chirurgie dans mes plans de
> traitement .
> Je sais qu'en Bretagne, par exemple , la formation est différente et la première
> année est hospitalière à temps plein non rémunéré (tu m’arrêtes si je me trompe)
> .
> Habitant la capitale ,mes intérêts sont moindres afin de faire de la chirurgie
> exclusive.
> Peace.

C'est tout à fait honorable comme démarche mais quand je dis ça c'est pour toi car que de temps investi pour ne faire que quelques chir par-ci par-là...
Pourquoi ne pas tout simplement avoir pris un poste d'attaché dans un service si tu recherches cet objectif.


levm

05/06/2011 à 01h15

-Pour les assurances
-Pour un DU d'implanto ( je ne suis pas fils de ...et je n'ai pas de pistons).
-Parce qu'il n'est jamais trop tard pour évoluer si je le désire.
-Parce que j'aurais le statut de spécialiste en CB
-Parce que , je peux assurer la continuité des soins .

Tu es conscient que dans le monde dentaire , il y a beaucoup de rétention d'information.
A travers le DESCB ,j'ai l'opportunité de voir un peu plus loin que le monde dentaire et cela me convient.

Tu l'as vu toi même , beaucoup d'entre nous font des sinus lift et peu d'entre nous savent gérer une hémorragie de l’artère antrale (j'ai eu l'occasion de voir ca une fois) .

Après ,lorsque je vois des cas d’expansions fait par pxav ici meme , des greffes d'appositions avec prelevement ramiques ou symphysaire . Ce sont exactement mes objectifs.


Canin

05/06/2011 à 11h10

Un autre risque potentiel dans cette chir qui n'a pas été évoqué me semble-t-il est la lésion de l'artère faciale.

elle chemine dans la région submandibulaire en faisant une boucle puis revient ensuite vers l'avant pour passer sous le rebord mandibulaire à la hauteur de la 6 du bas environ.

Par ailleurs si la patiente repousse à chaque fois l'extraction, on n'a qu'à lui proposer l'alternative d'une dcompression avec mise en place d'un cathéter et puis on surveille tout simplement.


ça se fait sous locale et ça prend 30 minutes.

Tu comptes tout en HN pour le suivi sur 1 an.

Avec un peu de chance la dent va remonter au fur et à mesure que le kyste se resorbe.

APrès tout la lésion ne date pas d'hier.

De toute façon la patiente doit déjà être au courant qu'il faut éviter le vélo et autre activité avec risque de chute.





--
Canin


arno_perpi

14/06/2011 à 20h15

Tout d'abord bonjour tous, et merci pour ce forum que je suis régulièrement depuis longtemps même si je suis maxillo (arf... nul n'est parfait...).

Je ne vois pas, en tant que maxillo, le problème pour qu'un chirurgien dentiste opère ce genre de dent. ça ne me choque aucunement.

Concernant les problèmes de responsabilité, à partir du moment où le patient est informé du risque de lésion du V3 et de fracture, des conséquences, et de la façon dont cela sera pris en charge, je ne suis inquiet pour personne.

Par contre, une fracture sur une telle dent doit être considérée comme une fracture avec perte de substance osseuse et l'ostéosynthèse doit donc prendre en charge l'ensemble des contraintes. Il est donc hors de question de mettre une petite plaque d'1mm avec un vissage monocortical sur la ligne oblique externe. En aucun cas on ne pourrait comparer ça à la fixation d'un greffon osseux.

C'est pas grave que ça casse, de réveiller le patient et de le confier à un ORL ou un CMF si on l'a bien informé avant. Par contre, une mauvaise ostéosynthèse sur ce genre de problème, ça peut vraiment poser des problèmes médico-légaux.

Après, c'est à chacun de connaître ses limites. Si on se sent, faut y aller, sinon, faut pas se forcer, même si on a le bon diplôme.


Canin

14/06/2011 à 23h31

arno_perpi écrivait:
--------------------
> Tout d'abord bonjour tous, et merci pour ce forum que je suis régulièrement
> depuis longtemps même si je suis maxillo (arf... nul n'est parfait...).
>
> Je ne vois pas, en tant que maxillo, le problème pour qu'un chirurgien dentiste
> opère ce genre de dent. ça ne me choque aucunement.
>
> Concernant les problèmes de responsabilité, à partir du moment où le patient est
> informé du risque de lésion du V3 et de fracture, des conséquences, et de la
> façon dont cela sera pris en charge, je ne suis inquiet pour personne.
>
> Par contre, une fracture sur une telle dent doit être considérée comme une
> fracture avec perte de substance osseuse et l'ostéosynthèse doit donc prendre en
> charge l'ensemble des contraintes. Il est donc hors de question de mettre une
> petite plaque d'1mm avec un vissage monocortical sur la ligne oblique externe.
> En aucun cas on ne pourrait comparer ça à la fixation d'un greffon osseux.
>
> C'est pas grave que ça casse, de réveiller le patient et de le confier à un ORL
> ou un CMF si on l'a bien informé avant. Par contre, une mauvaise ostéosynthèse
> sur ce genre de problème, ça peut vraiment poser des problèmes médico-légaux.
>
> Après, c'est à chacun de connaître ses limites. Si on se sent, faut y aller,
> sinon, faut pas se forcer, même si on a le bon diplôme.

je crois qu'on analyse est pertinente. celui qui avulse la dent doit pouvoir assumer pleinement l'ostéosynthèse derrière si besoin.

--
Canin


Dent masqu e petite f0pbaj - Eugenol
dudule

15/06/2011 à 03h15

arno_perpi écrivait:
--------------------
> Après, c'est à chacun de connaître ses limites. Si on se sent, faut y aller,
> sinon, faut pas se forcer, même si on a le bon diplôme.


Oui je partage ton avis, d'ailleurs c'est ce que je préconise aussi au maxillo qui ont des vélléités implantaires sans jamais avoir fait ni prothèse ni occlusodontie.


arno_perpi

15/06/2011 à 10h51

Sans même parler d'orthodontie !


Fouilla h6plsy - Eugenol
fouilla

15/06/2011 à 13h39


ben tiens dans le même esprit de savoir ce qu'on peut faire si on a le diplôme si on a le droit.

mon frère (certes bien plus jeune mais mon papa se reproduit avec des jeunes de mon age...) qui habite loin très loin à qui on a dit faut vous faire une AG pour enlever ces dents mais bon moi je bosse pas sous AG ! faut aller voir xxx

quelle est l'indication de l'AG dans ce cas ?


me suis bien amusé ce matin sur la famille inutile de vous dire que je suis bien plus riche maintenant.

--
.

Raph k6nf7m - Eugenol
Raph2 xmpn7c - Eugenol

Fouilla h6plsy - Eugenol
fouilla

15/06/2011 à 13h42

au passage bel endo sur la 27 et bel amalgame aussi.


ça le pourvoyeur d'AG lui a bien dit après qu'il faudrait refaire tout ça avis que je partage d'ailleurs.il a eu le mérite tout de même de lui dire qu'il fallait au préalable enlever ses 8 avant .




--
.


12