Cookie Consent byPrivacyPolicies.comGGRRR nomenclature ?? - Eugenol

GGRRR nomenclature ??

Avatar 46 aoi1yc - Eugenol
HononLulu

08/06/2011 à 16h19

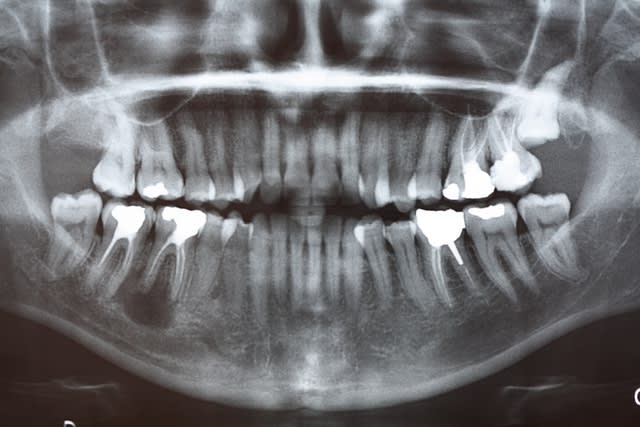
Que côte-t-on quand on extrait 28-38-48-47-46 avec curetage du kyste..?

R fhfvzo - Eugenol

P1060810  800x600  dlavv9 - Eugenol
Hebken

08/06/2011 à 16h42

Ca sent l'implanto ça ^^


Grueavatar nptrc9 - Eugenol
Le Choixpeau magique

08/06/2011 à 16h49

Moi je tenterais l'endo...


Utilisateur banni

08/06/2011 à 16h51

J'envoie chez le sto...

--
http://soundcloud.com/narik/tracks
♪ ♪♪♪ d-.-b ♪♪♪ ♪


P1060810  800x600  dlavv9 - Eugenol
Hebken

08/06/2011 à 16h53

Le Choixpeau magique écrivait:
------------------------------
> Moi je tenterais l'endo...

Je n'osais pas l'dire, car je crois que ce n'est pas la question de Honon...

N'est-ce pas Lulu? Oh non!


Bagheera tudzjy - Eugenol
bagheerra

08/06/2011 à 16h56

DC30 pour le curetage du kyste étendu aux apex de deux dents et nécessitant trépanation osseuse, (extraction des dents comprises), puis DC16 + 16/2 + 16/2 pour les extractions simples.

source : Marc SABEK.


Avatar 46 aoi1yc - Eugenol
HononLulu

08/06/2011 à 17h22

Je vous trouve bien optimistes pour le retraitement endo.
Mais bon, j'y réfléchis.


Avatar 46 aoi1yc - Eugenol
HononLulu

08/06/2011 à 17h23

bagheerra écrivait:
-------------------
> DC30 pour le curetage du kyste étendu aux apex de deux dents et nécessitant
> trépanation osseuse, (extraction des dents comprises), puis DC16 + 16/2 + 16/2
> pour les extractions simples.
>
> source : Marc SABEK.

La 28 tu la cotes comment ?


Grueavatar nptrc9 - Eugenol
Le Choixpeau magique

08/06/2011 à 17h38

HononLulu écrivait:
-------------------
> Je vous trouve bien optimistes pour le retraitement endo.
> Mais bon, j'y réfléchis.
>

Ca sent bien l'endo merdique à la pâte, les cas les plus faciles et qui peuvent donner avec un peu de chance les plus beaux résultats...


200106 10150128247663588 709988587 6466236 5598391 n d7mksb - Eugenol
hallboy

08/06/2011 à 18h02

PAs mieux. En plus si tu extrait çava faire une sacréee perte osseuse donc implant cra cra.

Au pire 2 heures a perdre. QQ litres de javel, un peu d'EDTA et finition F3.


Cuisinier2 vnbbxx - Eugenol
jeff2

08/06/2011 à 18h03

reprise endo de 46 47 26 27 extraction 28 (pourquoi faire?
le tout chez l'endodontiste si après un cone beam il est optimiste pour 46
si le patient ne veut pas, au revoir monsieur.
des le départ c'est devis y compris les honoraires prévisionnels de l'endo pour pas qu'il n'y aille pour rien
devis prothése en même temps y compris les provisoires de temporisation
arrivé a ce niveau là ca chiffre, donc obligation de prevoir un devis fixe un devis prothèse sur implant et un devis "cmu" (c'est comme ça que je comme mes devis de prothèse amovible"
je compare toujours le prix terminal a un prix de consommation d'usage; ici, c'est environ 1 m² à Paris ou encore une petite voiture qui va durer 5 ans alors que notre travail est garanti 15 ans.


Fouilla h6plsy - Eugenol
fouilla

08/06/2011 à 18h05

HononLulu écrivait:
-------------------
> bagheerra écrivait:
> -------------------
> > DC30 pour le curetage du kyste étendu aux apex de deux dents et nécessitant
> > trépanation osseuse, (extraction des dents comprises), puis DC16 + 16/2 + 16/2
> > pour les extractions simples.
> >
> > source : Marc SABEK.
>
> La 28 tu la cotes comment ?

dent enclavée dc40
--
.


Img 1392 s73srk - Eugenol
Guttaman

08/06/2011 à 20h01

Effectivement, je pencherai pour l'endo sur 46. Il va y avoir justement une soirée sur zedental avec JY Cochet sur l'intérêt de récupérer de l'os avant un implant éventuel (dans le cas où malheureusement la dent se fracturerait ultérieurement). Dans le meilleur des cas tu sauves la dent sans chirurgie, dans le pire, tu perds 6 mois.


Avatar 46 aoi1yc - Eugenol
HononLulu

08/06/2011 à 20h18

Ok, merci de m'avoir donné un autre éclairage.
Je vais tenter le coup.


Saucisson aux piments odddxi - Eugenol
AMG31

09/06/2011 à 10h55

CURETAGE KYSTE et exo de 46 mais pourquoi enlever le reste ?si la 28 ne pose pas de pbl il faut la laisser là ou elle est!!!! et si 47 est vitale (test au froid siffit) il faut limiter les degats au maximum!!!!soyez conservateurs!!!!


Saucisson aux piments odddxi - Eugenol
AMG31

09/06/2011 à 10h58

oups 47 a voir au moment mais au pire exo 46/47 chez stomato


Ico v for vendetta08 jzhpep - Eugenol
Arnaud Go

09/06/2011 à 16h57

L'appellation /2 t'obligerait en toute logique à rendre gratuite le troisième acte car tu prends les dispositions générales de la Ngap.
Or pour notre activité nous avons une cotation spécifique en l'occurrence 16 pour la première extrac' et 8 pour la deuxième.
Par ailleurs si votre deuxième dent et les suivantes à extraire le sont par alvéolectomie, c'est DC10 pour chacune d'elles.

Le curetage de kyste DC30 est si tu pratiques une trépanation osseuse sinon c'est DC15 pour "kyste de petit volume par voie alvéolaire élargie" + l'extrac' normale.
Sinon le DC24 pour "curetage périapical avec ou sans résection apicale" devrait passer aussi.

Donc dans ton cas :
DC40 pour 25,
DC16 pour 46 et DC24 pour le kyste,
Et la cotation habituelle DC16,8 ou 10 (alvéo) si tu extraies dans la même séance ou non.

Sinon sur le plan clinique, perso j'essaie le RTE (en NR évidemment) sur 46, je n'extraie 28 que si elle commence à s'annoncer en bouche, 38 et 48 si elles ne sont pas calées par 17 et 27 comme ça semble être être le cas.