Cookie Consent byPrivacyPolicies.comsequence d'arcs - Eugenol

sequence d'arcs

Aouad yasser 003 kjsqgm - Eugenol
curieux

16/06/2011 à 17h55

salut chers collegues
j'utilise cet sequence d'arcs pour mes patinets
les brackets sont des autoligaturants ( tous mes cas)
_ 14 ou 12 NITI TA pendant 3 mois
-16X16 NITI TA pendant 3 mois
- 18X25 NITI TA pendant 3 mois
- 18X25 acier pour la phase mecanique et finition
qu'en pensez vous ?


takamatika

16/06/2011 à 18h26

curieux écrivait:
-----------------
> salut chers collegues
> j'utilise cet sequence d'arcs pour mes patinets
> les brackets sont des autoligaturants ( tous mes cas)
> _ 14 ou 12 NITI TA pendant 3 mois
> -16X16 NITI TA pendant 3 mois
> - 18X25 NITI TA pendant 3 mois
> - 18X25 acier pour la phase mecanique et finition
> qu'en pensez vous ?

tes BK sont en 022 ou 018


Aouad yasser 003 kjsqgm - Eugenol
curieux

16/06/2011 à 18h31

mes brackets roth 22 GAC autoligaturants


takamatika

16/06/2011 à 18h49

curieux écrivait:
-----------------
> mes brackets roth 22 GAC autoligaturants
Ta séquence est fausse car ce sont des BK interactives
Tu dois comprendre ton matériel avant de l'utiliser
Donc les bases(quatrième base chez bjc)
En faite c'est de la biomécanique


Aouad yasser 003 kjsqgm - Eugenol
curieux

16/06/2011 à 18h57

takamatika je suis pas la pour faire de la dialectique politique
reponds si tu as une reponse et ne donne pas de leçon de morale comme les vieilles dames
ou taie toi c'est mieux
si je savais je n'allais pas poser cette question
je connais l'ancienne methode je la deteste


1 p3qrc4 - Eugenol
Bjc.

16/06/2011 à 19h57

"""j'utilise cet sequence d'arcs pour mes patinets """

je vais y venir

à suivre


Aouad yasser 003 kjsqgm - Eugenol
curieux

16/06/2011 à 20h11

pour takamatika
je connais l'arc d'ingression de ricketts ( arc utilitaire de ricketts )
je le fais bien
le V assymetrique ( tip back molaire
mais un arc d'ingression deja fait ça fait gagner du temps au fauteuil
en plus je suis un omni praticien peut etre dans les autres disciplines je suis mieux que toi et en ortho j'espere etre mieux que toi dans les 3 anneés à venir
je suis le genre qui croit à l'evolution


takamatika

16/06/2011 à 21h00

curieux écrivait:
-----------------
> pour takamatika
> je connais l'arc d'ingression de ricketts ( arc utilitaire de ricketts )
> je le fais bien
> le V assymetrique ( tip back molaire
> mais un arc d'ingression deja fait ça fait gagner du temps au fauteuil
> en plus je suis un omni praticien peut etre dans les autres disciplines je suis
> mieux que toi et en ortho j'espere etre mieux que toi dans les 3 anneés à venir
> je suis le genre qui croit à l'evolution
Tu métrise les effets indésirables de cet arc?


Aouad yasser 003 kjsqgm - Eugenol
curieux

16/06/2011 à 21h36

j'ai pas eu d'effets indesirables je suis au 16X16 encore


Picture1111 zburnd - Eugenol
saidkholoki

16/06/2011 à 21h50

curieux écrivait:
-----------------
> j'ai pas eu d'effets indesirables je suis au 16X16 encore

Attention curieux, il ne faut pas trop simplifier les choses, il faut se mefier toujours en orthodontie. Même un .016X.016 peut faire beaucoup de degats si la typologie est defavorable, et inversement un arc plus gros peut etre neutralisé par une typologie favorable et une matrice fonctionnelle neutralisée. C'est le point clé pour maitriser un traitement orthodontique il faut penser à tout!!!
--
A suivre...
Said


Aouad yasser 003 kjsqgm - Eugenol
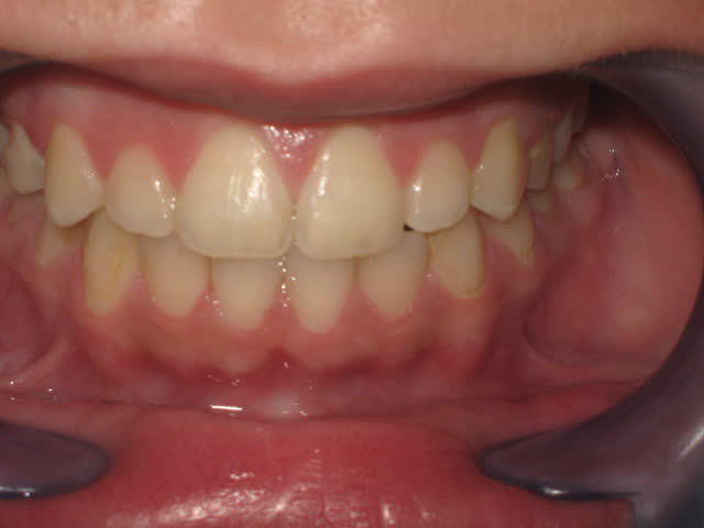
curieux

16/06/2011 à 22h13

pour takamatika
je te presente mon premier cas fini
je vois tjs cette petite patiente elle est bien stable
je suis pas genre que tu cois
j'ai tjs des soucis pour faire du bon travail pour mes patients
c'est pourqoui je pose trop de questions
mon 1 er cas fini

Souhani wissal fin de traitement 003 rhvnuz - Eugenol
Souhani wissal fin de traitement 010 riae4g - Eugenol

Images 1 qtgoxf - Eugenol
ciwil

16/06/2011 à 22h25

curieux écrivait:
-----------------
> mes brackets roth 22 GAC autoligaturants

GAC va chercher une alternative à ses IN-OVATION R et C, l'usine qui les fabrique se trouve au Japon et a été touchée de plein fouet par les évènements.
J'ai reçu un courrier comme quoi ils n'ont plus qu'1 mois de stock et ensuite....
concernant ta séquence d'arcs, GAC fabrique des Bioforce 20.20 que tu peux utiliser d'entrée
ils sont thermo-actifs et développent des forces différentes selon le secteur (ant, moyen, post), ensuite tu maitrises le sens transversal grâce à des multibrins et enfin des arcs acier de pleine taille ou presque (19.25)


takamatika

16/06/2011 à 23h10

curieux écrivait:
-----------------
> pour takamatika
> je te presente mon premier cas fini
> je vois tjs cette petite patiente elle est bien stable
> je suis pas genre que tu cois
> j'ai tjs des soucis pour faire du bon travail pour mes patients
> c'est pourqoui je pose trop de questions
> mon 1 er cas fini
radios,modèles ,photos avant et après?????????


Aouad yasser 003 kjsqgm - Eugenol
curieux

16/06/2011 à 23h16

takamatika
je 'envoie en message privé radios photos moulages avant traitement
je t'envoie photos moulage apres traitement
ici on ne fait pas radios post traitement deja ils font la radio pres traitement avec incisstance


Picture1111 zburnd - Eugenol
saidkholoki

16/06/2011 à 23h28

curieux écrivait:
-----------------
> salut chers collegues
> j'utilise cet sequence d'arcs pour mes patinets
> les brackets sont des autoligaturants ( tous mes cas)
> _ 14 ou 12 NITI TA pendant 3 mois
> -16X16 NITI TA pendant 3 mois
> - 18X25 NITI TA pendant 3 mois
> - 18X25 acier pour la phase mecanique et finition
> qu'en pensez vous ?

Ce n'est pas pour te critiquer curieux, mais le principe de sequence d'arcs systematisée, à appliquer dans tous les cas, qqsoit la typologie, qqsoit la matrice fonctionnelle, qqsoit la dysmorphose traitée, qqsoit l'age du patient et qqsoit le niveau du praticien!!! Ce principe me deplait beaucoup et me fait vraiment peur!!!
Doit-on, en XXI siecle, parler encore de traitement standardisé et figé. Et l'individualisation dans tout cela!!!

--
A suivre...
Said


Aouad yasser 003 kjsqgm - Eugenol
curieux

17/06/2011 à 02h05

ici on ne respecte pas le pentomographe de ricketts
mon fournisseur qui est en meme temps un orthodontiste a des arcs standarisés type ovoide
moi j'ai 4 types d'arcs bioforme true form europe form
mais rn nti et acier seulement
parfois on commence avec un quadhelix ou un disjoncteur ou ..........


takamatika

17/06/2011 à 19h36

curieux écrivait:
-----------------
> ici on ne respecte pas le pentomographe de ricketts
> mon fournisseur qui est en meme temps un orthodontiste a des arcs standarisés
> type ovoide
> moi j'ai 4 types d'arcs bioforme true form europe form
> mais rn nti et acier seulement
> parfois on commence avec un quadhelix ou un disjoncteur ou ..........
Si tu ne veux pas faire un DU maintenant au moins fait une bonne formation privé théorique et pratique pour commencer, mais ci tu continue comme ça tu n’iras pas loin


1 p3qrc4 - Eugenol
Bjc.

17/06/2011 à 21h24

Continue de mettre tes cas, avec tes moulages, m s’ils sont sans socle et avec des bulles

Petit a petit tu vas faire des progrès, recevoir des conseils que peut être tu ne suivras pas, mais avec peu de cas en cours, tu corrigeras facilement tes erreurs

Car c’est ça aussi, les forces faibles, on a peu de chance de faire des dégats parodontaux, si on réagit vite

Tu iras loin !

@+ Bjc.


Aouad yasser 003 kjsqgm - Eugenol
curieux

18/06/2011 à 02h16

pour le CES de 6 modules que j'avais fzit j'ai regretté ne pas avoir deja fait de l'orthodontie
car apres 1h de conference on perd les pedales
et enfin de compte on sort comme on entre
je veux pas refaire la meme erreur avec le DUO
deja mon ami qui fait maintenant le DUO en france a pratiqué l'ortho sans CES rien qu'avec l'aide des anciens collegues lui a l'avantage que les collegues sont pres de lui


Picture1111 zburnd - Eugenol
saidkholoki

18/06/2011 à 13h32

curieux écrivait:
-----------------
> pour le CES de 6 modules que j'avais fzit j'ai regretté ne pas avoir deja fait de l'orthodontie car apres 1h de conference on perd les pedales et enfin de compte on sort comme on entre

Un CES est une formation purement theorique et pas tres attirante mais reste necessaire car les bases doivent etre connues avant de pratiquer n'importe quelle specialité. Un CES ne donne absolument rien sur le côté clinique ou pratique donc il faut pas compter dessus pour avoir de l'experience ce n'est pas fait pour. Une formation depend beaucoup du formateur lui-mêm. Un prof peut rendre son cours hyper amusant, inter-actif et enrechissant ou bien peut le rendre hyper ch..nt.

> je veux pas refaire la meme erreur avec le DUO deja mon ami qui fait maintenant le DUO en france a pratiqué l'ortho sans CES rien qu'avec l'aide des anciens collegues lui a l'avantage que les collegues sont pres de lui

Je suis desolé mais une formation privé ou universitaire, un DUO ou un CECSMO, c'est fait pour apprendre. Si on connait deja et on a l'experience pourquoi faire la formation alors? Pour avoir le petit carton? C'est mal calculé!!! Pendant la formation on apprend les gestes pratiques et cliniques, on apprend à faire un bon diagnostic, on apprend à mettre un plan de traitement, on apprend avec les erreures des autres, on discute avec d'autres praticiens qui sont dans la même situation, on pose des questions à des profs qui ont plus d'experience et sont là pour guider le praticien-etudiant et pour donner les conseils qu'il faut pour te permettre d'avancer.
Il y a une difference entre une formation de base et la formation continue qui est destinée à des praticiens qui font èja l'orthodontie et qui cherchent à aller encore plus loin.
Il fallait mettre les choses à leurs places car je suis enseignant depuis 22 ans et je sais comment ça se passe.


--
A suivre...
Said


takamatika

18/06/2011 à 14h07

On a à notre disposition un professeur comme Mr Said, on doit écouter ses conseils, il parle scientifiquement.


Aouad yasser 003 kjsqgm - Eugenol
curieux

18/06/2011 à 14h14

meme chez dr said kholouki je prefere pratiquer plusieurs anneés l'ortho apres je viens faire formation chez lui
si non je dois le cotoyer 4 ans jours pour jour theorie et pratique
parce que on te charge de theorie puis apres la 1 ere heure tu ne capte plus rientu paye ton argent et tu te deplace pour revenir sans rien trop comprendre