Cookie Consent byPrivacyPolicies.comTaurodontisme - Eugenol
Avatar hjdsnm - Eugenol
TiGabi

21/06/2011 à 15h50

Bonjour,

Je reçois un jeune patient qui présente un faciès très atypique : il y a un écart important entre les deux yeux (hypertélorisme), le front est large, le nez aplati. La maman présente exactement le même faciès atypique.

RAS à l'interrogatoire médical.

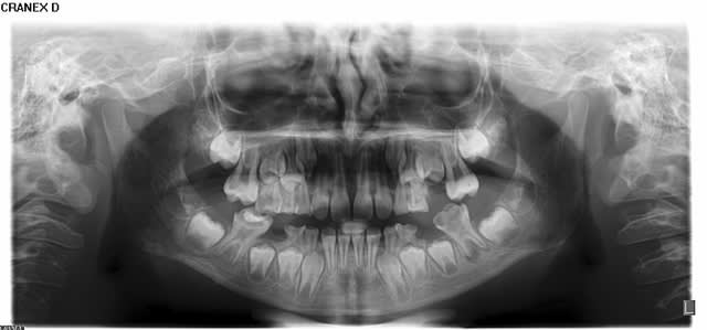
Au niveau dentaire, on observe un taurodontisme (voir molaires sur panoramique).

On pourrait suspecter un syndrome génétique : mais lequel ?

Lors d'une conférence sur le syndrome de Gorlin, les membres de la famille présentée avaient exactement le même faciès.

Je n'ai pas osé parler de ma suspicion à la maman car le contact était déjà mauvais à cause d'un autre problème. Comment aborder délicatement ce sujet ? Adresser ?

Tout conseil est le bienvenu.

Merci.

Tauro nyleb3 - Eugenol

Gonzo k0qhwz - Eugenol
matten

21/06/2011 à 16h21

Pas du tout sur de ton diagnostic de taurodontisme...
Les chambres pulpaires des 6 sont normales pour moi vu l'age...


Avatar hjdsnm - Eugenol
TiGabi

21/06/2011 à 17h31

matten écrivait:
----------------
> Pas du tout sur de ton diagnostic de taurodontisme...
> Les chambres pulpaires des 6 sont normales pour moi vu l'age...

Il faut regarder les 6 du haut, surtout la 26. En bas, les dents sont nécrosées, le développement s'est arrêté.

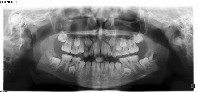
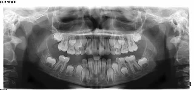
L'enfant a 9 ans : compare les molaires du haut avec les pano d'enfants du même age ci-dessous.

10 vz0auc - Eugenol
11 cwyte9 - Eugenol
12 aunjgn - Eugenol

Avatar hjdsnm - Eugenol
TiGabi

21/07/2011 à 17h08

Voici la 36 : la furcation est basse. N'est-ce pas un cas de taurodontisme ?

P1010904 vqvpvz - Eugenol

Canin

21/07/2011 à 22h43

TiGabi écrivait:
----------------
> Voici la 36 : la furcation est basse. N'est-ce pas un cas de taurodontisme ?

Si c'est bien du taurodontisme,

ça peut être en autre le signe d'une dysplasie ectodermique mais il y a des agénésies associées.
j'étais tombé sur une étude alllemnande très récente sur le sujet qu'il faut que je retrouve.

--
Canin


Canin

21/07/2011 à 22h53

la voici


Bürklein, S.a , Breuer, D.b , Schäfer, E.a
Prevalence of taurodont and pyramidal molars in a German population
Journal of Endodontics
Volume 37, Issue 2, February 2011, Pages 158-162








--
Canin


DeBG

11/06/2015 à 20h40

Bonjour,

Je vois que vous avez posté ce message il y a longtemps...
Mais je suis en train d'écrire un cas clinique sur un enfant atteint du Syndrome de Smith-Magenis (micro-délétion 17p11.2) et tous les critères que vous avez décrit correspondent à ce syndrome.

A t'il un retard mental?
D'autres problèmes?

Bonne continuation