Cookie Consent byPrivacyPolicies.comFracture 11 - Eugenol

Fracture 11

Carabistouille

21/06/2011 à 19h10

Bonjour à tous,

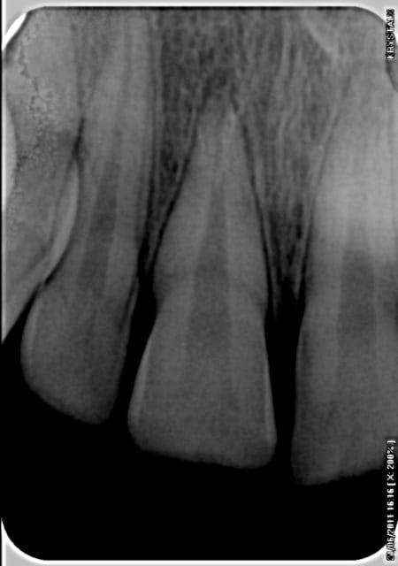
Je viens de recevoir un jeune patient, 13 ans, qui s'est pris une balle de basket ce matin.

La 11 a donc pris cher, elle s'est reculée de 2 mm côté palatin, empechant toute fermeture buccale.

Comme vous pouvez le voir sur la radio, on pourrait penser que la dent s'est cassée; mais je bosse avec un confrère au cabinet, et il me dit que des fois ça peut se remettre malgré tout d'une part, et que d'autre part, la "fracture visible à la radio" n'est des fois qu'un artefact et que la dent se soit simplement reculée SANS fracture.

J'ai donc fait une anesthesie et replacé manuellement la dent de façon plus vestibulaire. Ensuite j'ai fait une contention sur 12 et 21 (fil+compo)
Mais je n'ai pas fait l'endo...

Une ordonnance ATB + Brufen et voila...

Mais je me demande... comment savoir si c'est cassé ou pas; faut-il obligatoirement faire l'endo dans ce cas de figure? ou laisser une chance au tissu pulpaire de se refaire le cas échéant?..
Je dois dire que c'est la première fois que je rencontre ce cas de figure depuis 10 ans ;o)

Merci je me donner votre avis ou ce que vous auriez fait!

11 hj9whk - Eugenol

Img 3657 cwjvqm - Eugenol
alapex

21/06/2011 à 19h14

Si tu as senti de la résistance pour la remettre en place et qu'il n'y avait pas mobilité , je ne pense pas qu'elle soit cassée au niveau radiculaire . Pas de dévit pour le moment .


Carabistouille

21/06/2011 à 19h21

Effectivement, j'ai eu "du mal" pour la remettre; j'ai "senti" que la dent ne me resterai pas entre les doigts...
Mais c'est tellement subjectif ;o)


aquarium

21/06/2011 à 20h19

Apex mature = endo car nécrose systématique après luxation. Par contre Ca(OH)2 pendant une bonne année pour prévenir l'ankylose/résorption.
En général quand il y a luxation et que c'est fait par un objet de grosse taille tu n'as pas de fracture radiculaire.
Par contre la contention je ne me souviens plus trop: dans mes souvenirs fil 06 et 3 semaines pas plus sinon risque d'ankylose.


Carabistouille

21/06/2011 à 20h54

Merci Aquarium;
j'ai déjà "hâte" (ou pas!) de voir s'il va me rappeler demain avec une pulpite... ;o)

normalement je le revois dans une semaine... je verai à ce moment là pour l'endo...

Bonne soirée !


Bagheera tudzjy - Eugenol
bagheerra

21/06/2011 à 21h39

Ne jamais se précipiter pour l'endo car s'il y a une fracture la pulpe est notre meilleure alliée ! (avant le CaOH). Test au froid régulier, surveiller radiologiquement surtout.


aquarium

21/06/2011 à 22h03

Y'a pas fracture y'a luxation. C'est du 100% la nécrose sur dent mature. Endo/Ca(OH)2.


Blondie

22/06/2011 à 01h11

aquarium écrivait:
------------------
> Y'a pas fracture y'a luxation. C'est du 100% la nécrose sur dent mature.
> Endo/Ca(OH)2.

D'où sortent ces chiffres ? Je ne serais pas aussi radical, j'ai un cas de luxation sévère sur patiente d'une cinquantaine d'année. Au moment de la remise en place je ne donnais pas cher de la vitalité. Deux ans après, tout est revenu à la normale, pas une seule dent nécrosée. Pour moi, pas de précipitation et surveillance rapprochée.


Zoe   son arriv e whwqpj - Eugenol
emma

22/06/2011 à 10h52

+1 pour blondie

--
Emma


Logo vuaztn - Eugenol
mac

22/06/2011 à 11h22

aquarium écrivait:
------------------
> Y'a pas fracture y'a luxation. C'est du 100% la nécrose sur dent mature.


t'as vu ça où? dans ton bocal?


Gonzo k0qhwz - Eugenol
matten

22/06/2011 à 12h19

aquarium écrivait:
------------------
> Y'a pas fracture y'a luxation. C'est du 100% la nécrose sur dent mature.
> Endo/Ca(OH)2.

Tu confonds avec l'expulsion...
Et encore si la dent est remise dans le 1/4 d'heure c'est facultatif


Gonzo k0qhwz - Eugenol
matten

22/06/2011 à 12h40

Rien n'empeche de passer un scan ou un cone beam a la recherche de fracture


Carabistouille

22/06/2011 à 13h00

Bon alors effcectivement je précise qu'il n'y a pas eu d'expulsion. (ouf)

Pour l'option du cone beam, on verrai un trait de fracture?
Je ne connais rien dans ces scans, je n'en prescrit pas.


aquarium

22/06/2011 à 13h45

Toutes les publis de Machtou, Frayssé et Ifi-Naulin, juste les références françaises en traumato dentaire. Andreasen aussi, juste la référence internationale.
Prenez les protocoles internationaux, ça se trouve sur le net.


Bagheera tudzjy - Eugenol
bagheerra

22/06/2011 à 13h53

aquarium écrivait:
------------------
> Toutes les publis de Machtou, Frayssé et Ifi-Naulin, juste les références
> françaises en traumato dentaire. Andreasen aussi, juste la référence
> internationale.
> Prenez les protocoles internationaux, ça se trouve sur le net.

Frayssé était ma prof et m'a toujours dit de ne jamais me précipiter sur l'endo.


aquarium

22/06/2011 à 19h04

Réponse en MP


Avatar 46 aoi1yc - Eugenol
HononLulu

22/06/2011 à 20h22

Frayssé, Frayssé ???? dans le 44 ??


Picture 12 8 h5kem6 - Eugenol
wrong-way

22/06/2011 à 20h23

J'ai le livre de Naulin-Ifi justement et c'est bien précisé de jamais faire l'endo directement bien que le taux de nécrose pulpaire sur DPM soit défavorable avec 80% (et 10% de survie et 10% d'oblitération canalaire)
ps: je parle de luxation latérale bien sûr


Bagheera tudzjy - Eugenol
bagheerra

22/06/2011 à 21h53

Et toc, une chance sur 10 de garder la pulpe mature, ça vaut le coup de la tenter ;-)


aquarium

24/06/2011 à 00h36

Les protocoles ont été mis à jour depuis le bouquin d'ifi naulin.


marcus

24/06/2011 à 00h48

+1 pour la remise en place et la contention ,

Pour le reste ,

il est urgent de ne rien faire !