Cookie Consent byPrivacyPolicies.comImplant spécifique aux incisives mandibulaires: AXIOM 2.8 - Eugenol

Implant spécifique aux incisives mandibulaires: AXIOM 2.8

Fresh watermelon 640x562 udulqz - Eugenol
gulguch

26/06/2011 à 01h53

drmarcus écrivait:
------------------
>> En effet utilisant les "Leone" depuis plus de 6 ans j'ai constaté dans ces cas..

Bon, le Leone 3,3 est probablement plus solide que s'il contenait une vis. En pratique est-ce qu'on est cantonné a inc mandibulaire + latérales du haut ou peut on l'utiliser ailleurs? Il y a t'il un historique de fractures, etc?


Logo m4n3gc - Eugenol
drmarcus

26/06/2011 à 11h41

Céramik écrivait:
-----------------
> drmarcus écrivait:
> ------------------
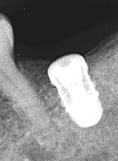
> .(Voir la rx pas très belle)
>
>
> il y a de l'os autour de l'implant 31 ?
> On n'en voit pas bcp sur la radio...
>
>
>
> --
> Céramik


Bonjour,
Ce n'est qu'un problème de réglage et comme je l'ai dit avec Leone le SAV et le controle ne me prennent que 10 MN en temps total. Cela fait 4 mois, il s'agissait de la rx juste après la pose de l'implant (extraction implantation)
Je n'avais pas prévu d'iconographier ce cas. En outre ma RSv est MER...UE, mais je changerai que quand les compatibilités seront au top......Mon logiciel n'est même pas à jour et ça me gave car malgré la maintenance il faut encore raquer et le manque de temps s'ajoutant....

Bref si il devrait y avoir de l'os.Je vois justement la personne le mois prochain pour la définitive je penserai à vous tous et ouvrirai un sujet spécifique.

--
"La vis est à l'implant ce que la carie est à la dent!" (Pozzi)


Logo m4n3gc - Eugenol
drmarcus

26/06/2011 à 11h56

gulguch écrivait:
-----------------
> drmarcus écrivait:
> ------------------
> >> En effet utilisant les "Leone" depuis plus de 6 ans j'ai constaté dans ces
> cas..
>
> Bon, le Leone 3,3 est probablement plus solide que s'il contenait une vis. En
> pratique est-ce qu'on est cantonné a inc mandibulaire + latérales du haut ou
> peut on l'utiliser ailleurs? Il y a t'il un historique de fractures, etc?

Non bien que ce ne soit pas spécifier voir contre-proposé dans les protocoles, nous sommes un grand nombre ( En comptant Italien Espagnol) à utiliser les 3.3 au niveau molaire. J'ai plusieurs cas en unitaire mais intercalé (avec une dent naturel en distal et mesial).
Quant aux fractures elles sont impossibles en bouche sauf malfaçon éventuelle et encore, en effet il faudrait qu'un impalnt échappe au controle car avec un cone Morse ils sont obligé de controler tous les implants vendus. J'ai bien dit tous!
Les fractures n'ont même pas pu etre obtenu en laboratoire avec des forces de 800Nw alors en bouche.....
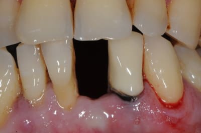
Je l'ai utilisé il y a 5 ans sur une canine en potection totale (Pas le choix car en classe 2- 2).Depuis c'est la PM derrière qui a laché. Je te joins la RX.

--
"La vis est à l'implant ce que la carie est à la dent!" (Pozzi)

Rx implant cad 2 cpyqbp - Eugenol

Fresh watermelon 640x562 udulqz - Eugenol
gulguch

26/06/2011 à 22h59

Meme les molaires ?! Moi je pensais justre aux PM. En tout cas ta canine a l'air parfaite. Ca ouvre des perspectives, merci de ta réponse.


3f3boxni50k58rq7e9ce9ddqrxgk - Eugenol
dentiste57

01/07/2011 à 01h55

juste une petite précision qu'on m'a gentillement fait remarquer:

la technique de mise en esthétique immédiate ne doit pas normalement être utilisée avec cet implant car elle suppose que le pilier soit impacté en fin d'intervention.
or, si l'os n'est pas suffisamment dure l'implant peut bouger en apicale lors de l'impactage. s'enfoncer quoi.
ici, je savais ce que je faisais, et l'os était suffisamment dure pour le permettre.

autre précision le cône est identique à celui du Bicon, 2*1.5° soit 3°.
dure à retirer tout de même.


3f3boxni50k58rq7e9ce9ddqrxgk - Eugenol
dentiste57

01/07/2011 à 15h36

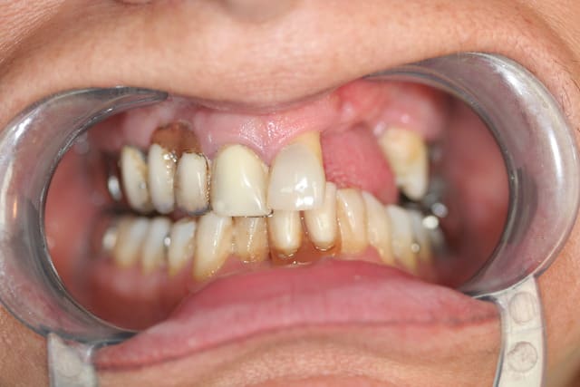
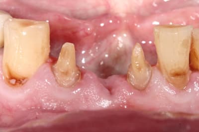
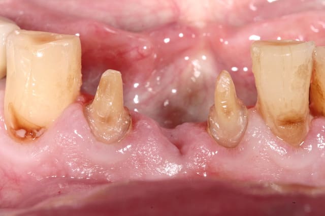
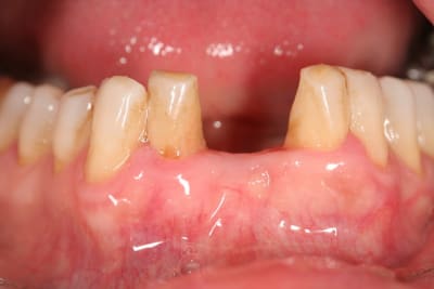
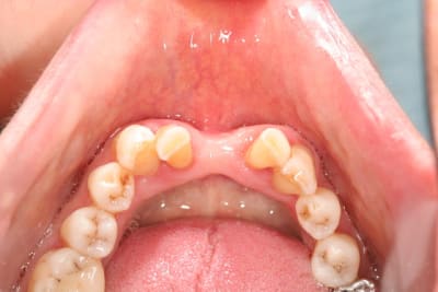
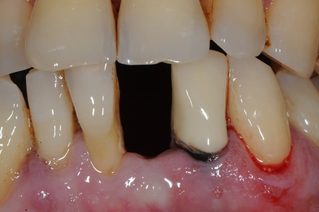
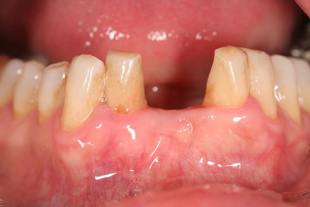
et ici ?? vous feriez quoi ?

32 et 42 pas mobiles

malheureusement, l'espace est réduit pour mettre deux implants.
comment avez vous déjà géré ce type de cas ??
le haut est déjà traité...

Img 0064 fykvs7 - Eugenol
Img 0066 bpmgnj - Eugenol
R2 bcqfqu - Eugenol
Img 0226 iaoqtw - Eugenol

003 penrd2 - Eugenol
Cingulum

01/07/2011 à 16h04


un petit bridge dento porté ;) ?


--
Dr Cingulum
-----Ancien interné----
----Attaché à l'apex----
www.clinic-all.fr formation par passion

Img 9330 juy6ml - Eugenol
Img 9333 iony5e - Eugenol
Img 9695 sm9nk3 - Eugenol

Img 8465 fqhxid - Eugenol
noahaxeltiger-olivier

01/07/2011 à 16h28

Cingulum écrivait:
------------------
>
> un petit bridge dento porté ;) ?

J'aime vraiment ton boulot. Superbe !


Toriko ucqp9i - Eugenol
Giantcoco

01/07/2011 à 17h06

tres beau travail de ceramique chapeau au prothesiste.


Smile beach jgh0a1 - Eugenol
Céramik

01/07/2011 à 17h42

Nouvelle céram, saveur nicotine ?


--
Céramik


003 penrd2 - Eugenol
Cingulum

01/07/2011 à 17h47

;) disons teinte locale :)


--
Dr Cingulum
-----Ancien interné----
----Attaché à l'apex----
www.clinic-all.fr formation par passion


Pépélaratiche

01/07/2011 à 19h35

noahaxeltiger-olivier écrivait:
-------------------------------
> Cingulum écrivait:
> ------------------
> >
> > un petit bridge dento porté ;) ?
>
> J'aime vraiment ton boulot. Superbe !

Disons que plus la teinte est moche et foncée plus le prothésiste peut se lacher facilement

Pp ;-)))))))))))))))


3f3boxni50k58rq7e9ce9ddqrxgk - Eugenol
dentiste57

01/07/2011 à 22h42

très sympa ! je suis fan.

juste une remarque;
sur la photo (sur la photo uniquement) on devine un aspect de surface très légèrement granuleux parrapport à celui des dents voisines.
ceux sont des minuscules bulles qui sortent lors de la dernière cuisson, pour éviter cela tu dois polir toi même (comme ça c'est sure que c'est fait) ton biscuit. tu verra, le résulta n'en sera qu'encore meilleur.


3f3boxni50k58rq7e9ce9ddqrxgk - Eugenol
dentiste57

01/07/2011 à 22h45

à propos du cas , j'ai vu avec la patiente cet aprem; nous avons décidé de faire un petit bridge provisoire de quelques mois et si (après traitement paro bien sure) les dents ne sont pas mobiles, on passera au bridge définitif. sinon, ce sera pose de deux implants en position 42-32 pour éviter une greffe que la patiente refuse.


walabise

14/09/2011 à 23h22

Axiom 28 est tout aussi démontable après impaction que le leone.
Ce sont de " vrai " cône morse tout les deux.
Seul le patient n'est pas en mesure de dissocier sa prothèse de l'implant.
L'impaction est calibrée grâce à un instrument spécifique afin d'éviter que chacun standardise la force et l'emboitement de la prothèse, chose iréalisable avec un maillet.
Ingénieux aussi : l'impaction du pilier avec la céramique grâce au scellement propre extra-oral.


walabise

14/09/2011 à 23h30

Oui il existe d'autres implants étroits.
Mais tous proposent ensuite des profils prothétiques nettement plus larges ( 3,5 à 4 mm ).
On le comprends car il faut pouvoir loger une vis pour relier le pilier à l'implant tout en conservant une fiabilité mécanique par une épaisseur de métal suffisante pour supporter la charge de la prothèse.
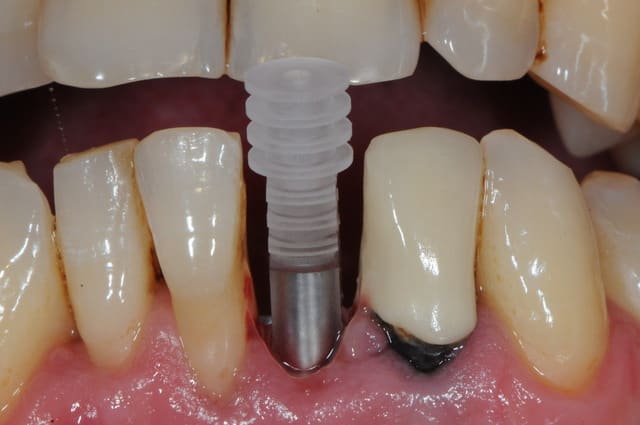
Axiom 28 est doté de piliers pleins, sans vis, permettant un profil prothétique de 2,8mm idéal pour les prothèses les plus étroites et en conservant une résistance mécanique unique.


3f3boxni50k58rq7e9ce9ddqrxgk - Eugenol
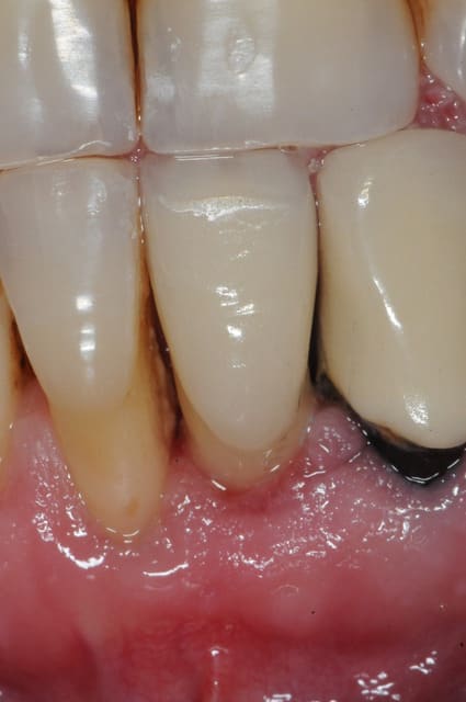
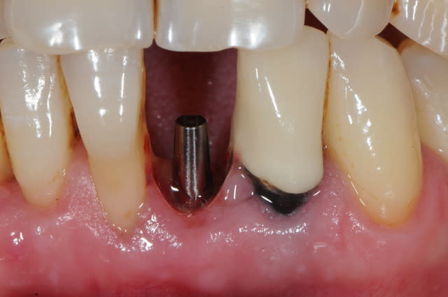
dentiste57

22/10/2011 à 21h43

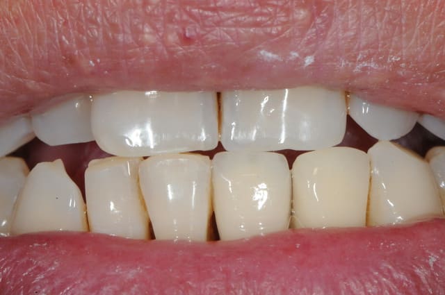
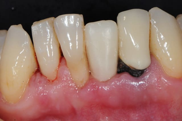
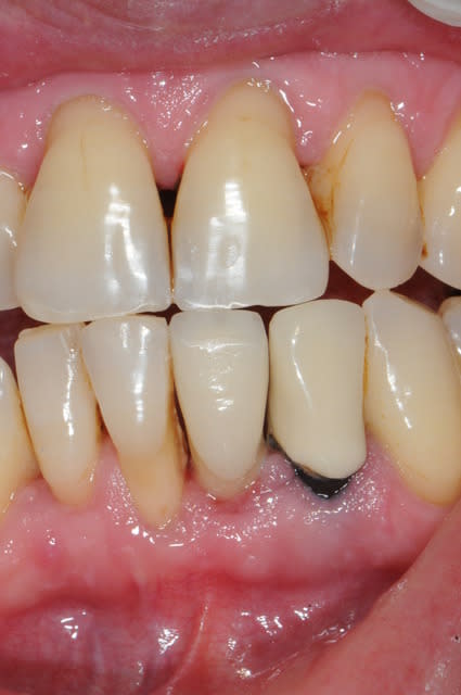
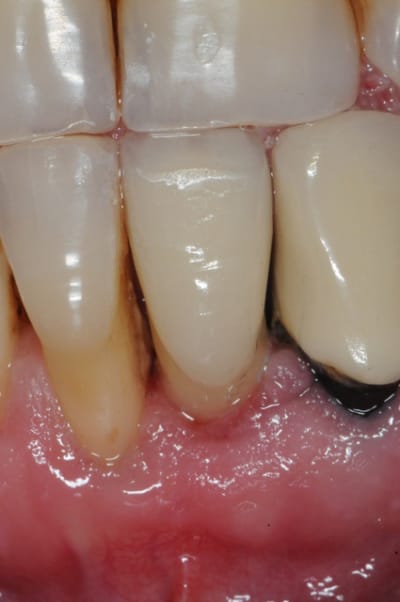
je me permet de ressusciter ce poste car j'ai placé la prothèse il y a un mois.

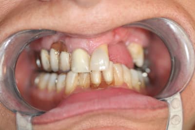
photo 1: début du cas
photo 2: fin d'intervention
photo 3: j+3mois
photo 4 +5: prise d'empreintes
photo 6-7-8-9: couronne finie.

merci de votre attention :)



PS: le patient ne veux pas faire celle d'à coté.
grr, moi ça me démange...

Dsc 2515 xq3zce - Eugenol
Dsc 2595 vp867w - Eugenol
Dsc 2678 sl5k8e - Eugenol
Dsc 3333 oo5v6n - Eugenol
Dsc 3334 rrxj9j - Eugenol
Dsc 3539 kldgfy - Eugenol
Dsc 3540 tafqf6 - Eugenol
Dsc 3542 tr6taz - Eugenol
Dsc 3543 kwu2ti - Eugenol

Manolito wom2of - Eugenol
manolito

22/10/2011 à 22h04

rx?


Smile beach jgh0a1 - Eugenol
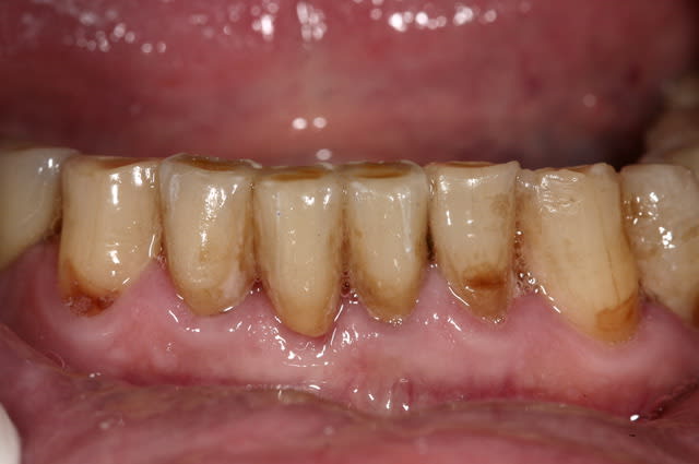
Céramik

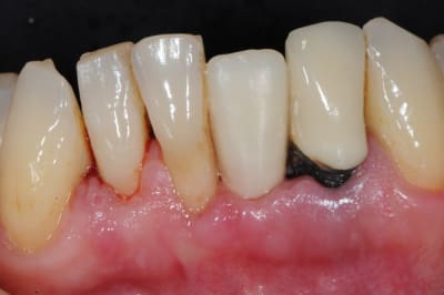
22/10/2011 à 22h17

z'oli
;-)

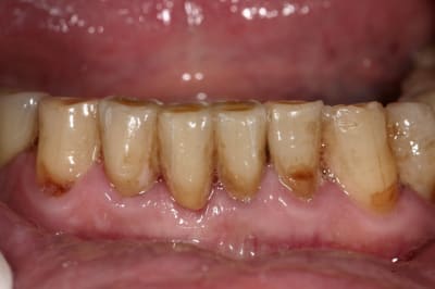
mais tu sais ce que je pense des deux dents voisines...et de l'état paro...


--
Céramik


3f3boxni50k58rq7e9ce9ddqrxgk - Eugenol
dentiste57

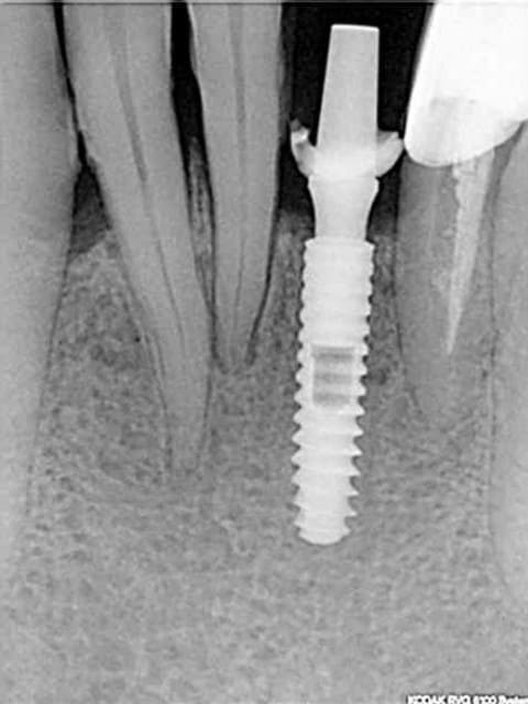
23/10/2011 à 12h26

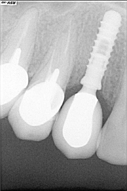
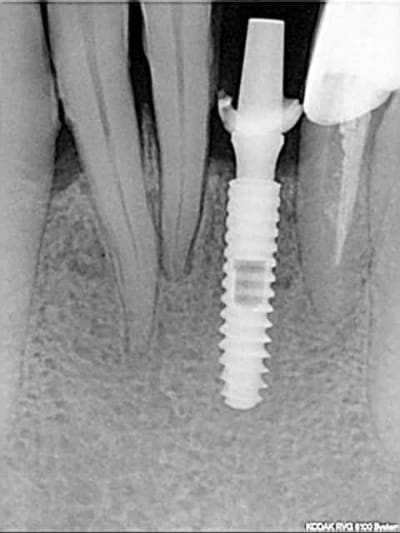
rx à j=0 et j+4 mois

ce qui est surprenant , c'est la présence d'os au niveau du col.

R20 rvxiyf - Eugenol
R22 t5osxv - Eugenol

Logo m4n3gc - Eugenol
drmarcus

23/10/2011 à 12h44

dentiste57 écrivait:
--------------------
> rx à j=0 et j+4 mois
>
> ce qui est surprenant , c'est la présence d'os au niveau du col.

Oui on connait chez Leone mais reproductible sur toute la gamme. C'est qu"est que je dit! Mais nous c'est démontable et indexé. Un vieux cas en rx 5 ans entre les deux rx.
Sans racune :-))), ce principe va faire son chemin c'est obligé.

--
"La vis est à l'implant ce que la carie est à la dent!" (Pozzi)

Os zqogxv - Eugenol
Os d but lddo3z - Eugenol

Smile beach jgh0a1 - Eugenol
Céramik

23/10/2011 à 17h54

;-)

Te reste plus qu'à enlever la 41,et un bout de 42, j'ai fais le reste avec ma souris...

--
Céramik

2011 10 23 094712 h8ac2u - Eugenol
Cas axiom 2 - Eugenol

41467 100000418256397 4215 n ypxyho - Eugenol
starsky55

23/10/2011 à 20h03

merci tom pour cette petite seance de revisions qui me concerne ou ne va pas tarder a me concerner..... biz


Img 1744 z0evts - Eugenol
dumaille

23/10/2011 à 21h21

drmarcus écrivait:
------------------
> dentiste57 écrivait:
> --------------------
> > rx à j=0 et j+4 mois
> >
> > ce qui est surprenant , c'est la présence d'os au niveau du col.
>
> Oui on connait chez Leone mais reproductible sur toute la gamme. C'est qu"est
> que je dit! Mais nous c'est démontable et indexé. Un vieux cas en rx 5 ans entre
> les deux rx.
> Sans racune :-))), ce principe va faire son chemin c'est obligé.
>
> --
> "La vis est à l'implant ce que la carie est à la dent!" (Pozzi)

comment peux tu évaluer le niveau osseux avec des radios qui ont des incidences très différentes et absolument pas orthogonales.

--
La vie est une fête!


3f3boxni50k58rq7e9ce9ddqrxgk - Eugenol
dentiste57

23/10/2011 à 22h20

tu dis ça pour moi ou dr marcus ?