Cookie Consent byPrivacyPolicies.comA l'opposé de l'apex ... - Eugenol

A l'opposé de l'apex ...

Img 3657 cwjvqm - Eugenol
alapex

23/06/2011 à 15h00

Un petit cas gentil , pour parler d'occluso après .
Bon on commence par séparer le vrai du faux ?

Img 0273 ixuoy0 - Eugenol

200106 10150128247663588 709988587 6466236 5598391 n d7mksb - Eugenol
hallboy

23/06/2011 à 15h57

T’aurais pas un petit panorex ou qq RX ?


Img 3657 cwjvqm - Eugenol
alapex

23/06/2011 à 16h06

Après , après ...)))
Le vrai du faux d'abord . (Je n'implante pas mais j'ai un intervenant...)


king_zoulou

23/06/2011 à 16h21

alors, au pif total, je dirai 22 implanté, 24 ccm, 11 quelque chose mais quoi (trop identique à l'anatomie bizarre de la 21 pour être honnête :p), 23 j'ai un doute et 32 aussi.
voilà voilà


Kon nx3ojp - Eugenol
Kon

23/06/2011 à 16h22

22 23 24
c'est joli


Avatar 46 aoi1yc - Eugenol
HononLulu

23/06/2011 à 16h26

36- excellent travail ....;-))


Img 3657 cwjvqm - Eugenol
alapex

23/06/2011 à 16h28

C'est joli , t'es sympa ...)))
Surtout en bouche en fait , pour les photos c'est la mieux (je ne dormais pas pendant le stage photo de Cingulum , mais je suis astreint à utiliser ma rétinette Kodak , pendant que CERTAINE monopolise le Canon...).
Bon , il n'y a pas d'implant .


Images nv3xcf - Eugenol
au fond du canal

23/06/2011 à 16h38

Joli et naturel, il n'y a pas à pinailler.
Donne nous la recette,stp.


belette

23/06/2011 à 17h20


piliers: 23 24
22 en extension

^ ... ^
Ô"""Ô
= o =


Img 3657 cwjvqm - Eugenol
alapex

23/06/2011 à 18h27

La pano .

Img 2475 eiyzuf - Eugenol

caiman

23/06/2011 à 20h14

Comment as tu "fixé" la 22 ?
La racine distale de 46 ?


Img 3657 cwjvqm - Eugenol
alapex

23/06/2011 à 22h29

belette écrivait:
-----------------
>
> piliers: 23 24
> 22 en extension
>
> ^ ... ^
> Ô"""Ô
> = o =



C'est la bonne réponse...je déteste ce genre de bridge , mais je l'ai quand même fait .


belette

23/06/2011 à 22h51

Je n'ai pas de mérite, j'ai un cas identique en attente ; Je viens d'extraire la 22 et je cogite... Mon prothésiste me déconseille la dent en extension sur 23 24, me disant que la canine va trop travailler et il craint qu'elle ne résiste pas... D'autant que pour mon cas 23 et 24 sont déjà des faux moignons.
J'en suis à hésiter à prendre la 25 en plus, déjà couronnée aussi...
J'ai peur que l'implant soit inesthétique, je l'ai déconseillé.
Et bien, sûr, pas question de toucher la 21.
^ ... ^
Ô"""Ô
= o = suis intéressée par tes critères de choix.


Img 3657 cwjvqm - Eugenol
alapex

23/06/2011 à 23h01

"suis intéressée par tes critères de choix."
Je me demande si j'ai eu le choix par certains aspects...)))
Regarde les points d'occlusion , la 21 est légèrement mobile , la 22 à ailette faite dans l'urgence se descellait sur la 21 .
Le cas était prévu en implanto pour la 22 et le reste...
Désolé pour les photos faites avec un appareil à soufflet ...)))

P1010599 ntmqpy - Eugenol
P1010600 iyln02 - Eugenol

cagagne

23/06/2011 à 23h19

Séparons le vrai du faux.
Les boucles d'oreille sont FAUSSES.
Voili voilou :))

--
Utilisez les pouces dans l'angle en haut à droite pour voter SVP
Kikcéti kiadi quélénonol nété pas une arène
Avé César


Smile beach jgh0a1 - Eugenol
Céramik

24/06/2011 à 01h06

belette écrivait:
-----------------
> Je n'ai pas de mérite, j'ai un cas identique en attente ; Je viens d'extraire la
> 22 et je cogite...

Tu as géré comment le volume ossseux ?


Mon prothésiste me déconseille la dent en extension sur 23
> 24, me disant que la canine va trop travailler et il craint qu'elle ne résiste
> pas... D'autant que pour mon cas 23 et 24 sont déjà des faux moignons.
> J'en suis à hésiter à prendre la 25 en plus, déjà couronnée aussi...

Si occlusion OK, 23 et 24, c'est bien suffisant.



> J'ai peur que l'implant soit inesthétique, je l'ai déconseillé.

Pourquoi ?


--
Céramik


belette

24/06/2011 à 01h34

Céramik écrivait:

> Tu as géré comment le volume ossseux ?
---> Je n'ai rien géré,j'ai juste enlevé la racine fendue :(

> Si occlusion OK, 23 et 24, c'est bien suffisant.
---> Occlusion très serrée, recouvrement incisif total,dents petites... :((

> J'ai peur que l'implant soit inesthétique, je l'ai déconseillé.
> Pourquoi ?
Ce n'est qu'intuitif , j'ai vu des images de cas horribles , cette patiente est hyper mignonne , faut pas l'abimer ... Mais, j''ai décidé entre temps de l'adresser à un implanto pour avis, avant de faire des betises moi même. :(((

^ ... ^
Ô"""Ô
= o =


Smile beach jgh0a1 - Eugenol
Céramik

24/06/2011 à 02h30

belette écrivait:
-----------------
> Céramik écrivait:
>
> > Tu as géré comment le volume ossseux ?
> ---> Je n'ai rien géré,j'ai juste enlevé la racine fendue :(
>

Donc tu auras une perte en volume, et un esthétique difficile.



> > Si occlusion OK, 23 et 24, c'est bien suffisant.
> ---> Occlusion très serrée, recouvrement incisif total,dents petites... :((
>
> > J'ai peur que l'implant soit inesthétique, je l'ai déconseillé.
> > Pourquoi ?
> Ce n'est qu'intuitif , j'ai vu des images de cas horribles , cette patiente est
> hyper mignonne , faut pas l'abimer ... Mais, j''ai décidé entre temps de
> l'adresser à un implanto pour avis, avant de faire des betises moi même. :(((
>
> ^ ... ^
> Ô"""Ô
> = o =



Photo ?
Radio ?



--
Céramik


Img 3657 cwjvqm - Eugenol
alapex

24/06/2011 à 20h08

Eh oh , c'est mon post .


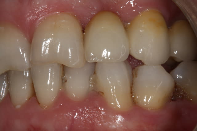
Reprenons , patient mâle 48 ans , je l'avais une fois (3 ans ?), et ce qui devait arriver arriva , la 22 fut saisie à la précelle , dont rép de fortune 22 avec ailettes , à l'arrache la 23 servira , la 21 carie distale), puis pano , étude , et hop tu vois mon implanto .
Secteur 2 , la 22 bien sûr implant , la 21...implant (il prend tjs 10 ans d'avance) .
Secteur 3 , ext 38 , implants dans ce coin là

Secteurs 1,2,3 et 4 , endos , etc...

....Il serait bon d'arrêter de fumer !!!!
Aie , ouille...
Pour les inconditionnels du sevrage 15 j avant , reprise x jours , vous voyez avec Pépélaratiche , c'est le boss .

Le patient fume tjs ,( moi aussi par solidarité) , donc implanto nada .
Je garde la 22 papillon 1 an , je rescelle de temps en temps , marche la route . J'espère que la 21 se stabilisera , la 22 devait l'embêter , elle n'est plus là , prions . Cette 21 n'est pas très mobile , cad un peu plus qu'imperceptible (?!?!?).
Tout cela ne m'enchante pas pour faire le bridge 21-23 , extension 22 sur 23-24 je déteste .
Mais bon , le patient ne fera rien d'autre , il faut passer le cap . L'occlusion (on en reparlera) de la 21 , bout à bout effet de piston ...déjà je me demande comment une couronne sur implant remise dans la même place et occlusion , ressemblant à la 11 ,ça me laisse rêveur ...
Allez , bridge sur dents vivantes . Ce qui fut fait .


A travers ce cas qui ne casse aucune mécanique , ne sera pas à l'ADF l'année prochaine , ce qui m'intéresse c'est l'occlusion de ce patient . En ne refaisant que 22_23_24 , je ne change rien , et si je devais faire les couronnes , onlays , etc , je garderais les points de contacts tels qu'ils sont .


Questions :
-Et vous ?
-Feriez de même s'il s'agissait de couronnes sur implants ?
-Faut-il sur ce type de contacts faire des couronnes prototypes avec les points de contacts prototypes ? (Ici pour moi , je dis non).


Voili , je précise quelques points , les photos sauf une proviennent de ma Rétinette Kodak , le choix de la teinte au collet est délibéré ne voulant pas créer un contraste avec la dépression de l'alvéole (son négatif en fait) qui fait sombre . c'était le seul moyen de ne voir le manque gingival . Il y aurait tissu de comblement si implant , point , c'est comme ça , pis les greffes c'est plus mon truc . De plus le patient ne découvre pas , donc . L'embrasure en mésial de 22 fut modifiée légèrement , le bord libre moins régulier . Céramiques conventionnelles avec joint céramique-dent .

Annonce: accepte tout sur l'occlusion (sans modif ODF), c'est surtout ça qui m'intéresse à travers ce petit bridge , sauf le fameux "tu as fait plaisir à ton patient" , il fallait faire tout ou rien . Nous avons tous des patients comme ça , donc pitié ,hin ?
J'allais oublier , les centrales font parties de sa "bouille" donc pas de facette , c'est bête mais c'est comme ça .


Img 2475 lxbtaf - Eugenol
P1010575 fuocwd - Eugenol
Img 0274 drhdmm - Eugenol
Img 0273 ulsbee - Eugenol
P1010576 irrx76 - Eugenol
P1010552 ec7qrn - Eugenol

l adan

25/06/2011 à 14h18

Lors des latéralités tu as quelle type d'occlusion ?
Il est prévu une réhabilitation du secteur posterieur b?


Img 3657 cwjvqm - Eugenol
alapex

25/06/2011 à 14h44

Protection canine des 2 côtés . ATM ras .
Pour le reste , il sait ce qu'il faut faire , reprendre tout , extraire la 38...A mon avis il va savourer son sourire , et à la 1ère qui flanche , j'attaquerai avec sa confiance je pense . (Les miens il leur faut du temps...)


caiman

30/06/2011 à 11h39

alapex écrivait:
----------------
(Les miens il leur faut du temps...)

Ce doit être la région , les miens aussi et même , ils disparaissent pendant un voir deux ans, voir ailleurs (pas tous) et ensuite reviennent......C'est un aparté mais pas dépourvu d'intéret.......


Img 3657 cwjvqm - Eugenol
alapex

30/06/2011 à 12h16

Tu as raison mon Caîman ce n'est pas dénué d'intérêt...en plus les miens ils sont terribles , les hommes surtout . Des fiers à bras dans la rue (je les vois tous les jours , je suis dans un village (pas people)) .Un mètre 90 , 120 kgs , 10 pastis à midi , 20 le soir , c'est des mecs : EUX .
Pis je suis qu'une crevette à côté , une moitié d'homme , un dentiste , cette race qui a suffisamment de muscles pour arracher les dents , sans plus...
Je remercie tous les jours Dentsply parce que rien que le mot anesthésie me venge ...)))sur le fauteuil ils s'allègent et rapetissent , et il faut constamment les récupérer au pied du fauteuil .
Enfin , je rigole moins quand ils ont une faiblesse , ce qui est aussi leur sport préféré , j'ai même failli téléphoner à Dentsply pour savoir s'ils mettaient des champignons hallucinogènes à présent.
Ils sont terribles je vous dis...)))


caiman

30/06/2011 à 13h05

Même constat que toi Alapex
Plus le type est costaud, grand ou balaise, et plus il flippe à mort sur le fauteuil.
On finirait , quelques fois , pour se prendre pour des vétos.........ahahahha