Cookie Consent byPrivacyPolicies.comchirurgie à venir - Eugenol

chirurgie à venir

Utilisateur banni

27/06/2011 à 21h11






MCI bi-maxillaire, les guides chirurgicaux

Image1 ak0fl9 - Eugenol

Fouilla h6plsy - Eugenol
fouilla

27/06/2011 à 21h55



dis donc on le connait celui la il va nous en faire des beaux commentaires sur nonol...
a quand la chir ?

--
.


Utilisateur banni

28/06/2011 à 00h18

fouilla écrivait:
-----------------
> a quand la chir ?



le 29

Image2 jyzsfy - Eugenol

Blason dql7mj - Eugenol
growler

28/06/2011 à 00h49

ok, je viens pour éponger le front de plut.


Photo pluton1b h9n4ea - Eugenol
pluton

28/06/2011 à 01h33

ouaip...après demain...;-)

tout le matos vérifié (implants, piliers, références), comptabilisé (pour ne rien oublier)

séquence des forets vérifiée, décontaminée, stérilisée, pareil pour les guides, tout comme le reste du matériel...et plus, au cas où...oups, par terre...;-)

demain, toute l'instrumentation sera mise de côté, en essayant de penser à tous les aléas op et au matériel à avoir sous la main pour y remédier...

demain soir, je passe chercher posit à la gare, petite visite du cab et ensuite je le conduis à son hôtel

un très grand merci d'avance à growly pour son soutien, sa gentillesse...il va m'éponger le front, voir plus si ma main se met à trembler...
et puis, grâce à lui, vous aurez sûrement, en plus du photo-reportage, une petite vidéo...;-)


Smile beach jgh0a1 - Eugenol
Céramik

28/06/2011 à 05h02

pluton écrivait:
----------------
> ouaip...après demain...;-)
>
> tout le matos vérifié (implants, piliers, références), comptabilisé (pour ne
> rien oublier)
>
> séquence des forets vérifiée, décontaminée, stérilisée, pareil pour les guides,
> tout comme le reste du matériel...et plus, au cas où...oups, par terre...;-)
>
> demain, toute l'instrumentation sera mise de côté, en essayant de penser à tous
> les aléas op et au matériel à avoir sous la main pour y remédier...
>
> demain soir, je passe chercher posit à la gare, petite visite du cab et ensuite
> je le conduis à son hôtel
>
> un très grand merci d'avance à growly pour son soutien, sa gentillesse...il va
> m'éponger le front, voir plus si ma main se met à trembler...
> et puis, grâce à lui, vous aurez sûrement, en plus du photo-reportage, une
> petite vidéo...;-)



N'oublis pas de prendre tes sédatifs pour dormir un peu !
:-))


--
Céramik


Utilisateur banni

28/06/2011 à 10h31

vue d'ensemble du dispositif

Image3 jqw175 - Eugenol

Fouilla h6plsy - Eugenol
fouilla

28/06/2011 à 12h17

bon courage pour demain plut
fais attention à growlynouchet ça risque de se terminer à quatre pattes dans le bloc tout ça (souvenirs....)

serait bien venu vous voir finalement...
--
.


Photo pluton1b h9n4ea - Eugenol
pluton

28/06/2011 à 13h00

fouilla écrivait:
-----------------
> bon courage pour demain plut
> fais attention à growlynouchet ça risque de se terminer à quatre pattes dans le
> bloc tout ça (souvenirs....)
>
> serait bien venu vous voir finalement...
> --
> .

bein, c'est pas encore trop tard...;-) si tu veux, y a pas de pb...


Blason dql7mj - Eugenol
growler

28/06/2011 à 14h05

fouilla écrivait:
-----------------
> bon courage pour demain plut
> fais attention à growlynouchet ça risque de se terminer à quatre pattes dans le
> bloc tout ça (souvenirs....)
>
> serait bien venu vous voir finalement...
> --
> .

la nostalgie fouillette ? LOL
(on ne dira pas pourquoi tu étais à 4 pattes dans le bloc)


Img 0812 mvp6i0 - Eugenol
jeamba

28/06/2011 à 19h29

> (on ne dira pas pourquoi tu étais à 4 pattes dans le bloc)

Growler tu fais proctologue aussi ?


Avatar ow44t3 - Eugenol
Chicot

29/06/2011 à 01h08

Ça devient crade ici.....

--
;O)


Photo pluton1b h9n4ea - Eugenol
pluton

30/06/2011 à 00h29

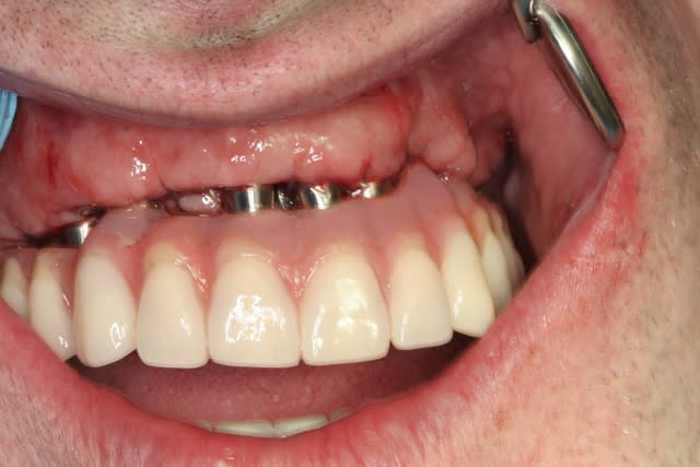
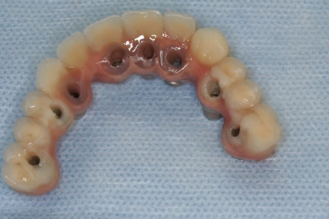
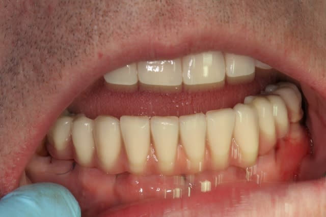
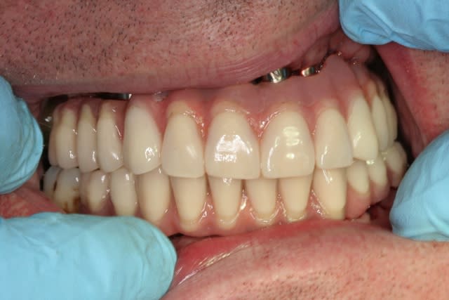
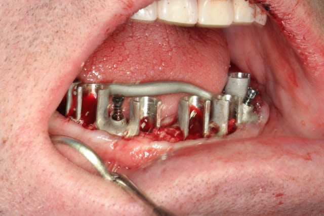
bon, et bien c'est fait!
durée...de 9h30 à 17h30...çà c'est assez épuisant...

comme promis, et avec la bénédiction de posit, voici quelques morceaux choisis de cette journée...

désolé pour les flous de bougé, mais s'il y a plainte, c'est vers posit qu'il faut grogner, car pas vraiment habitué au reflex...;-)

ne me dites pas que les vis d'ostéosynthèses sont pas vissées à fond...c'était le "grain de sable" de la journée, vis commandées par posit, mais pas les bonnes livrées...donc système D car tournevis inutilisable

heureusement, les guides sont "superlatifs": quelle précision d'ajustement osseux!!! à tel point qu'au maxillaire on aurait bien pu totalement se passer des vis d'ostéosysthèse...

et avant de vous laisser découvrir çà en images, un (encore) très très grand merci à posit et growler pour cette journée qui restera gravée dans ma mémoire...;-)

growly, t'es certainement pas encore tout à fait rentré chez toi, mais j'attends avec impatience ton montage vidéo...;-)...et quand tu veux, je te prête une trousse implant direct...;-)

ah, oui, j'allais oublier au maxillaire 8 legacy3 diamètre 3.7mm et en 13 de long (sauf 22 en 11.5mm)
mandibule 6 implants de 13mm et 3.7mm de diamètres (sauf 36 et 45 en 4.2mm/13)

Img 2956 wisu60 - Eugenol
Img 2957 aza8l0 - Eugenol
Img 2961 ajtmil - Eugenol
Img 2962 jk6rjd - Eugenol
Img 2965 yl8udl - Eugenol
Img 2967 vxdszj - Eugenol
Img 2974 fnnrez - Eugenol
Img 2976 jmz7zg - Eugenol
Img 2977 geaxxi - Eugenol
Img 2980 k4dtqu - Eugenol
Img 2981 l0ixrt - Eugenol
Img 2986 ai2auv - Eugenol

Photo pluton1b h9n4ea - Eugenol
pluton

30/06/2011 à 00h35

suite...

Img 2987 ret1gb - Eugenol
Img 2989 ityfo0 - Eugenol
Img 2990 qwyyit - Eugenol
Img 2991 eoy5vr - Eugenol
Img 2993 pkkuny - Eugenol
Img 2994 evck0e - Eugenol
Img 2998 luoigv - Eugenol
Img 3003 ona3ix - Eugenol
Img 3004 vwwcfp - Eugenol
Img 3005 ioqhzg - Eugenol
Img 3007 czcb5g - Eugenol
Img 3009 juvab8 - Eugenol
Img 3011 o6gibb - Eugenol
Img 3012 bx9fte - Eugenol
Img 3013 xokyai - Eugenol
Img 3014 kjbp1q - Eugenol
Img 3015 jqsqu8 - Eugenol
Img 3016 pwkmkh - Eugenol
Img 3017 nogfym - Eugenol

Blason dql7mj - Eugenol
growler

30/06/2011 à 01h16

C'est quoi le problème avec l'appareil photo !! on dirait un souci de vitesse synchro flash. Pour l'avoir vu faire les retouches d'intrados, il ne me semble pas que posit soit Parkinsonien.

j'ai visionné vite fait les rush vidéos, à part quelques séquences fugaces qu'il sera préférable d'éliminer :)) on devrait avoir quelque chose d'assez explicite.

En tout cas, la journée fut très intéressante. Merci pluton pour ton accueil et posit pour ta disponibilité à répondre sans détours à mes nombreuses questions.


Photo pluton1b h9n4ea - Eugenol
pluton

30/06/2011 à 01h26

c'est pas un problème syncro flash...pour simplifier la tâche de posit je l'avais mis en priorité ouverture pour avoir une bonne profondeur de champs...du coup la vitesse devais être un poil lente...et avec un 100mm le flou est vite arrivé...
quand on a l'habitude, pas de flou, mais comme c'était une première pour lui, y a eu...
mais les images de fin d'intervention étaient mieux qu'au départ...donc...


Blason dql7mj - Eugenol
growler

30/06/2011 à 01h31

bah oui c'est bien ce que je dis, problème de vitesse synchro flash trop lente.

bon, c'est pas grave, c'est quand même visible.


Smile beach jgh0a1 - Eugenol
Céramik

30/06/2011 à 01h35

pluton écrivait:
----------------
> bon, et bien c'est fait!
> durée...de 9h30 à 17h30...çà c'est assez épuisant...


Pffft, que 8+6 en 8 heures !
La pose repas est de 3h00 ?

;-))

--
Céramik


Photo pluton1b h9n4ea - Eugenol
pluton

30/06/2011 à 01h55

tu viendras pour la prochaine Céramik, et tu verras si on a le temps de s'ennuyer...;-))
sans blagues, avec la prothèse, c'est pas si ridicule...surtout que c'était ma toute première de ce genre
donc découverte du protocole op, de l'utilisation des guides, de l'usage des forets de posit, très sympa au maxillaire moins à la mandibule surtout que le nonos était plutôt dense...j'ai même fini avec ceux de ma trousse, une fois bien guidés au départ, çà pose pas de problème...


Humator t9r5wy - Eugenol
humator

30/06/2011 à 09h31

bravo pluton!
donnes nous des nouvelles des suites op du patient.
bravo aussi à la belle chaine confraternelle du petit monde des implantos de nonol! La richesse des échanges est un formidable moteur de motivation pour allez + loin et progresser!
depuis 7 ans que je zone sur le forum, j'en ai appris des choses!

--
N.Hum


Fouilla h6plsy - Eugenol
fouilla

30/06/2011 à 11h49

+1 avec humator
clap clap
ceramik t'exagères ...



--
.


S2y2o1v7q53ws4r5wy6ou8czrpom - Eugenol
pxav

30/06/2011 à 12h38

fouilla écrivait:
-----------------
> +1 avec humator
> clap clap
> ceramik t'exagères ...

bel humour le caribou!!!!
magnifique intervention, et +1 avec Humator


--
xbk
"Si tous ceux qui croient avoir raison n'avaient pas tort, la vérité ne serait pas loin" Dac Pierre


l adan

30/06/2011 à 13h05

Merci de ce partage !!
une petite question pratique : comment as tu géré les temps chirurgicaux et l'anesthésie dans le temps (8h) en haut et en bas ?


Photo pluton1b h9n4ea - Eugenol
pluton

30/06/2011 à 13h37

l adan écrivait:
----------------
> Merci de ce partage !!
> une petite question pratique : comment as tu géré les temps chirurgicaux et
> l'anesthésie dans le temps (8h) en haut et en bas ?

intervention maxillaire en premier, quitte à commencer, autant faire le plus technique...;-)
anesthésie locale, pour le haut 4 carpules d'articaïne 1/100 en vestibulaire + 2 de 1/200 en rappel palatin...
j'ai du compléter en cours d'intervention...de mémoire +2 ou 3 carpules de 1/200 quand le patient commençait à avoir mal au forage...

même chose pour le bas...

pour la petite histoire, on a du faire une petite "pose" entre le haut et le bas après mon anesthésie du bas...j'ai eu un lot de carpules 1/200 mal serties...donc qui fuyaient...et comme le patient en a avalé, il avait des difficultés à déglutir....
on a vérifié qu'il faisait pas un oeudème...mais non, dnc après avoir tranquillisé le patient (merci les "bases" de l'hypnose...) on a pu reprendre...;-)


Blason dql7mj - Eugenol
growler

30/06/2011 à 14h22

t'as utilisé une technique de l'hypnose ?!

j'ai même pas remarqué. C'était quoi?


12...