Cookie Consent byPrivacyPolicies.comUn cas comme je les aime ! - Eugenol
1 eugenol dmj5np - Eugenol
Dancha

02/07/2011 à 21h17

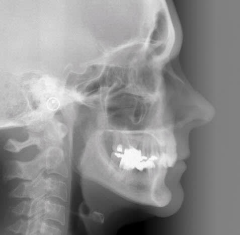
Dans ce cas-ci, quels arcs utiliseriez-vous pour ingresser les incisives et les canines ?
Pensez-vous qu'il soit vraiment nécessaire de maîtriser le torque, comme l'affirme Takamachin in
http://www.eugenol.com/sujets/393286-ingression-des-incisives?page=1#post_562440 ?

Daniel

11808 01 c5lctn - Eugenol
11808 02 jlqn77 - Eugenol
11808 03 nqxtkn - Eugenol
11808 04 fczz65 - Eugenol

Smile beach jgh0a1 - Eugenol
Céramik

02/07/2011 à 23h23

un joli stelitte en résine...
;-)

--
Céramik


Pépélaratiche

03/07/2011 à 11h16

Pour ma part, je considère les bloc incisivo-canin comme mort sur le plan paro... Je suis pas sûr qu en ingressant tout ça on va gagner qqch

Sinon très beau sourire draculéen...

Pp :-))))))))))))))))))


caiman

03/07/2011 à 17h08

Tu gagnes rien, trop tard pour l'ortho .
Quel age ?


1 eugenol dmj5np - Eugenol
Dancha

04/07/2011 à 10h54

Céramik écrivait:
-----------------
> un joli stellite en résine...
> ..
C'est à peu près ce que lui a dit l'orthodontiste près de chez elle qu'elle avait consulté avant de venir me voir.

caiman écrivait:
----------------
> Tu gagnes rien, trop tard pour l'ortho .
Tu crois ?

> Quel âge ?
Cette femme a 53 ans à 8 jours près. Elle souffre, on devrait quand même bien pouvoir trouver une solution orthodontique, non ?

Daniel


Uncmury6m4drs8ssni8vwnyrlbqu - Eugenol
curdents

04/07/2011 à 11h55

caiman écrivait:
----------------
> Tu gagnes rien, trop tard pour l'ortho .
> Quel age ?

+1


1 eugenol dmj5np - Eugenol
Dancha

04/07/2011 à 12h29

Pourquoi dites-vous que ce serait trop tard pour de l'orthodontie ?

Daniel


takamatika

04/07/2011 à 12h48

Mr Dancha, sans doute tu va utiliser des plaques vissés au maxillaire +un arc austénitique 0.12 au segment antérieur +ressorts niti faibles pour ingression avec un contrôle du mouvement des incisives (centre de rotation au niveau des bords libres)


king_zoulou

04/07/2011 à 14h03

Dancha écrivait:
----------------
> Pourquoi dites-vous que ce serait trop tard pour de l'orthodontie ?
>
> Daniel

De 13 à 23, tu as beaucoup trop de perte osseuse pour faire de l'orthodontie. Le "trop tard" ne concernait pas l'âge de la patiente mais l'état de son parodonte.


1 eugenol dmj5np - Eugenol
Dancha

04/07/2011 à 14h30

king_zoulou écrivait:
---------------------
> De 13 à 23, tu as beaucoup trop de perte osseuse pour faire de l'orthodontie. Le
> "trop tard" ne concernait pas l'âge de la patiente mais l'état de son parodonte.

Quelle est la limite, pour toi ?

takamatika écrivait:
--------------------
> Mr Dancha, sans doute tu va utiliser des plaques vissés au maxillaire +un arc
> austénitique 0.12 au segment antérieur +ressorts niti faibles pour ingression
> avec un contrôle du mouvement des incisives (centre de rotation au niveau des
> bords libres)

Pourquoi pas, sauf que
1) Les plaques vissées demandent d’être posées par un chirurgien expérimenté et ont un coût relativement élevé. On doit pouvoir trouver plus simple et moins cher.
2) Je ne vois pas bien quels arcs utiliser pour obliger les incisives à avoir leure centre de rotation au niveau des bords libres.

Daniel


1 eugenol dmj5np - Eugenol
Dancha

04/07/2011 à 17h09

king_zoulou écrivait:
---------------------
> De 13 à 23, tu as beaucoup trop de perte osseuse pour faire de l'orthodontie. Le
> "trop tard" ne concernait pas l'âge de la patiente mais l'état de son parodonte.

Quel est le problème ?
Si je les ingresse, je vais de facto augmenter leur support osseux, non ?
Tu penses vraiment que ce n'est pas possible ?

Daniel


1 p3qrc4 - Eugenol
Bjc.

04/07/2011 à 17h40

De facto !!!,
peut être radiologiquement, sur l'instant ...
mais histologiquement ? il faut une reconstruction du ligament pour perdurer

on ne sait jamais, tu auras peut être une reconstruction histologique, et avec une bonne contention, tu peux prolonger …

De toute manière, il faut bien s’amuser un peu; une petite vis par ci, un petit haubanage par là

@+ Bjc.

P.S.:Tu as déjà présenté un cas similaire, et on n’a jamais eu de Rx. récentes, elle a déménagé?



RépondreCiter
Photo pluton1b h9n4ea - Eugenol
pluton

04/07/2011 à 17h54

Le truc, c'est que les pbs paro sont généralisés et qu'en faisant l'ingression des dents, y a 9 chances sur 10 que tu n'obtiennes...que des poches paro plus profondes...

parfois, faut savoir dire: stop...parce que là, c'est du "palliatif" et on sait que çà va vite finir par tout se casser la gu...
enfin, çà n'est que mon avis...(mais un de plus...)


RépondreCiter
Gbazylo1 fvg1vg - Eugenol
Aron

04/07/2011 à 18h29

Ca m'a l'air d'être de l'ODF à pratiquer à Lourdes, ce cas...

Si tu tentes, préviens bien ta patiente qu'il y a de nombreuses raisons de croire que ça ne va pas forcément marcher.
Comment espères-tu retrouver une attache alors que tu a perdu depuis belle lurette la zone cellulaire du cément sur 75% de la racine?
En admettant que tu arrives à ingresser, je crains que tu ne crées de la cratérisation...

Et même si ça marchait, comment empêcherais-tu la récidive?

Edit: j'avais pas vu: +1 Pluton


RépondreCiter
Grueavatar nptrc9 - Eugenol
Le Choixpeau magique

04/07/2011 à 18h45

Je pense qu'il se moque de vous et que ce cas est déjà terminé... c'est toujours bizarre comme certains sont prompts à courir !


1 p3qrc4 - Eugenol
Bjc.

04/07/2011 à 18h53

Bien sur que c’est un cas terminé, la semaine dernière !!!
comme dans le cas précédent, on aura aucun document avec du recul

c’est un cas joujou,
il nous a déjà fait le coup,
à croire que les minis vis ne sont indiquées que dans les cas parodontopaties terminales


@+ Bjc.



RépondreCiter
takamatika

04/07/2011 à 19h03

Dancha écrivait:
----------------
> 2) Je ne vois pas bien quels arcs utiliser pour obliger les incisives à avoir
> leure centre de rotation au niveau des bords libres.
>
Cela est réalisable sur un bon parodonte par une technique de Burston ou des arcs troquant ou des auxiliaires troquant.
Vu ton cas précédant et ta maitrise du biomécanique, je croyais que tu peux faire quelque chose
Il faut d'abord un bilan parodontal
Sachant que les mouvements nécessaires pour ce cas se localisent à l’apex (ingression, torque radiculo- lingual) et ces mouvements là qui créent des résorptions radiculaires
Donc pronostic défavorable


RépondreCiter
200106 10150128247663588 709988587 6466236 5598391 n d7mksb - Eugenol
hallboy

04/07/2011 à 20h15

http://www.eugenol.com/sujets/391613-4-ans-deja

le suivi du cas avait été posté il ya qq mois


1 eugenol dmj5np - Eugenol
Dancha

04/07/2011 à 21h29

Le Choixpeau magique écrivait:
------------------------------
> Je pense qu'il se moque de vous et que ce cas est déjà terminé... c'est toujours
> bizarre comme certains sont prompts à courir !

Eh bien oui...

Daniel

11808 face avant apr s u3sjkp - Eugenol
11808 pano avant apr s ou0pug - Eugenol
11808 pano2 avant apr s e7ocxv - Eugenol
11808 t l  avant apr s astyjo - Eugenol
11808 t l 2 avant apr s coywhl - Eugenol

Ares

04/07/2011 à 21h31

chapeau, c'est vraiment impressionnant!


belette

04/07/2011 à 21h40

Elle a beaucoup de chance cette dame...
^ ... ^
Ô"""Ô
= o =


Avatarfac v6b7jd - Eugenol
DCDV

04/07/2011 à 23h22

je veux bien avoir la reponse de la question initiale de Daniel !
j'ai vu des publications et des conferences de FONTENELLE un peu similaire !
beau travail !

--
dcdv !


1 p3qrc4 - Eugenol
Bjc.

05/07/2011 à 00h56

"""j'ai vu des publications et des conferences de FONTENELLE un peu similaire ! """

FONTENELLE travaillait avec des parodontologistes, il faisait réaliser une préparation parodontale avant


RépondreCiter
Images 1 qtgoxf - Eugenol
ciwil

05/07/2011 à 02h09

pourquoi toujours chercher la petite bête ?
le résultat est épatant, j'aimerais savoir comment il a été obtenu


Pépélaratiche

05/07/2011 à 10h57

Je pense qd même que sur la télé de profil final, la zone apicale des incisives est floue sur le plan osseux...

Et que de tte les façons le mur osseux vestibulaire est si fin que la pérénité est très très loin d être assurée mais ce n est que l avis de Pp :-)))))))))))))

Pp ?????????


RépondreCiter
12...