Cookie Consent byPrivacyPolicies.comEmail anormal - Eugenol

Email anormal

Avatar hjdsnm - Eugenol
TiGabi

05/07/2011 à 23h35

Bonjour,

Les défauts du développement de l'émail sont variés dans leurs étiologies, leurs caractéristiques et surtout leurs thérapeutiques. Faire un diagnostic spécifique permettra de choisir un traitement adapté et d'éviter les écueils.

Du plus fréquent au moins fréquent :

1/ MIH : Hypominéralisation Molaire-Incisive

PRÉVALENCE : 5 à 15%.

ASPECT CLINIQUE :
- Tâches opaques blanches/jaunes/brunes affectant les 1ères molaires permanentes (et dans 2 cas sur 3 les incisives de façon moins intense).
- Les contours sont nets, au contraire d'une fluorose dont les contours sont diffus.
- Les atteintes sont asymétriques, au contraire de presque tous les autres défauts d'émail : on peut voir une 16 très atteinte, une 26 indemne et une 36 modérément atteinte.
- Les autres dents sont indemnes.

CONSÉQUENCES :
- Dans les cas sévères (1 cas sur 3, colorations brunes), des pans d'émail vont se fracturer. La dentine est à nu, les caries se développent très rapidement. On observe autour des caries une bordure d'émail opaque jaune/brune typique d'une carie liée à une MIH.
- Il y a une pulpite subclinique chronique : dents sensibles, anesthésie est difficile.
- Enfant anxieux ayant connu 3 fois plus de soins que les autres enfants et dans des conditions difficiles.
- Déficit esthétique sur incisives.

ÉTIOLOGIE : souffrance d'origine systémique des germes entre 0 et 6 ans : complications périnatales, maladies infantiles, toxines environnementales.

TRAITEMENT :
=> Molaires :
- Surveillance tous les 6 mois de 6 à 8 ans, période où la majorité des fractures auront lieu.
- Sealants uniquement dans les zones indemnes de fracture.
- JAMAIS d'amalgame. Les pans d'émail ont besoin d'être soutenus : restaurations collées (composite, inlay/onlay).
- Faire attention à ce que l'émail bordant une restauration soit normal (dur, ne se décroche pas avec une fraise boule sur contre-angle).
- Temporiser par CVI ou CPP si nécessaire (stade d’éruption insuffisant, manque de coopération, investissement des parents...).
- Si mauvais pronostic conservateur : envisager en collaboration avec un ortho une ou des extractions (âge idéal = 8,5 ans).
=> Incisives :
Si demande esthétique de l'enfant : micro-abrasion, composites, facettes. Un blanchiment donne un résultat très aléatoire et peut parfois aggraver la situation en augmentant le contraste.

Mihlegere1 dw8wvb - Eugenol
Mih22 jqmwiq - Eugenol
Mih1 krwjwp - Eugenol
Mih2 c5mju4 - Eugenol
Mihh infavx - Eugenol

Avatar hjdsnm - Eugenol
TiGabi

05/07/2011 à 23h37

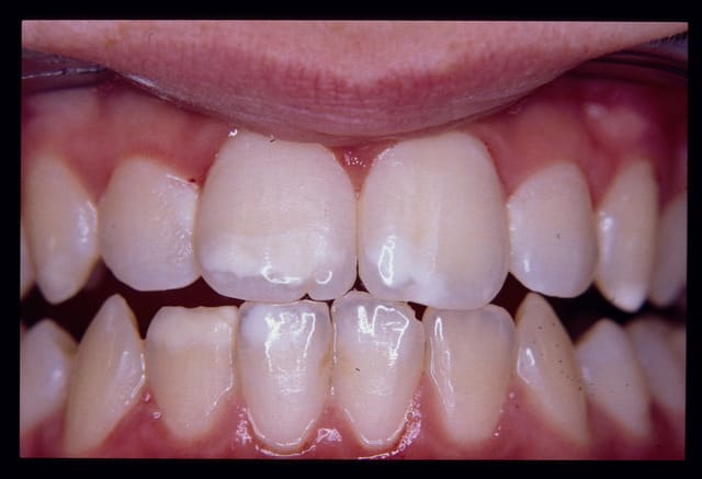
2/ FLUOROSE

PRÉVALENCE : 1 à 5% en France.

ASPECT CLINIQUE :
- Opacités blanches (cas légers) à brunes (sévères) dessinant des lignes horizontales suivant les périkymaties. Ces lignes sont parfois fusionnées dessinant alors plutôt des amas/tâches.
- A l'opposé d'une MIH, l'atteinte est bilatérale et symétrique. Toutes les dents sont atteintes.
- Les contours des opacités sont diffus.

CONSÉQUENCES :
- Dans les cas légers et modérés : déficit esthétique. Parfois fractures très superficielles de l'émail qui est poreux et fragile.
- Cas sévères : atteinte plus profonde de l'émail, risque carieux élevé.

ÉTIOLOGIE : surexposition des germes dentaires aux fluorures. Classiquement, deux causes en France :
- Enfant élevé au Maghreb (fluoration de l'eau de boisson).
- Enfant ayant reçu du fluor systémique (comprimés, gouttes) en plus d'un sel de table fluoré et/ou d'une eau minérale fluorée en boisson.
Le fluor topique (dentifrice, gels et vernis) ne provoque pas de fluorose (sauf si l'enfant en avale 1 tube par mois.).

TRAITEMENT :
Si demande esthétique : micro-abrasion amélaire, composites, facettes. Les défauts sont plus ou moins profonds et donc nécessiteront des thérapeutiques plus ou moins invasives (peu prévisible initialement).

Fluo1 buvihw - Eugenol
Fluo3 wqgwli - Eugenol
Fluo6 loswif - Eugenol
Fluo5 p7yi3h - Eugenol
Fluo4 cexxvz - Eugenol

Avatar hjdsnm - Eugenol
TiGabi

05/07/2011 à 23h49

3/ HYPOPLASIE LOCALISEE POST-TRAUMATIQUE :

ASPECT CLINIQUE :
- Défaut quantitatif ponctuel de coloration jaune/brune.
- Classiquement, face vestibulaire des incisives centrales permanentes suite à impaction des incisives temporaires durant la petite enfance.

Hypotrau1 qlomio - Eugenol
Hypotrau3 oatkpl - Eugenol
Hypotrau4 omsbeq - Eugenol

Avatar hjdsnm - Eugenol
TiGabi

06/07/2011 à 00h12

4/ HYPOPLASIES IDIOPATHIQUES :

PRÉVALENCE : rare, moins d'un cas sur 1000.

ASPECT CLINIQUE :
- Défauts quantitatifs de l'émail au contraire de MIH/fluorose qui sont des défauts qualitatifs.
- L'émail est de dureté normale mais d'épaisseur réduite sur des zones dessinant des bandes horizontales dont la situation sur les dents correspond à une même date de formation (voir 3ème schéma ci-dessous).

ÉTIOLOGIE : perturbation des germes durant la phase de sécrétion de l'émail par une cause systémique (insuffisance rénale ou hépatique, déficit calcium ou vit. D...).

Hypo1 clxcbm - Eugenol
Hypo2 nqcoqp - Eugenol
Forma iqtwgn - Eugenol

Avatar hjdsnm - Eugenol
TiGabi

06/07/2011 à 00h27

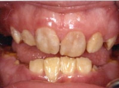
5/ AMELOGENESE IMPARFAITE :

PRÉVALENCE : 1/14 000 = maladie rare.

ÉTIOLOGIE et ASPECT CLINIQUE :
- Ensemble de pathologies d'origine génétique. Les modes de transmission sont variés : liée au X, autosomale dominante, autosomale récessive.

ASPECT CLINIQUE :
- Toutes les dents sont affectées, sur toutes le faces. Les atteintes ne correspondent pas à une même date du développement (voir schéma dans post ci-dessus).
- Il existent différents types d'AI ayant des aspects très différents : dans les cas hypomatures ou hypominéralisés (3 premières photos), l'émail va rapidement s'effondrer pour laisser à nu la dentine qui apparaît dure et normale.
Dans les types hypoplasiques (4ème photo), les défauts sont quantitatifs.

Aii1 lw5kpg - Eugenol
Aii3 t2kcij - Eugenol
Ai5 j6oj1a - Eugenol
Ai4 gmlgon - Eugenol

Avatar hjdsnm - Eugenol
TiGabi

06/07/2011 à 00h32

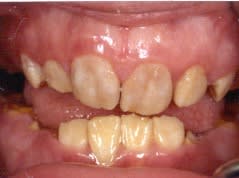
Le patient ci-dessous m'est adressé car ayant un "problème d'émail". Diagnostic ?

P1000264 ziwab2 - Eugenol

palamede92

06/07/2011 à 00h40

TiGabi écrivait:
----------------
> 1/ FLUOROSE
>

> ÉTIOLOGIE : surexposition des germes dentaires aux fluorures. Classiquement,
> deux causes en France :
> - Enfant élevé au Maghreb (fluoration de l'eau de boisson).


Merci pour ces détails.
Ne pas oublier de préciser que cette fluorose touche aussi les enfants et adolescents nés français et en France mais qui vont souvent passer un ou deux mois d'été chez les grands-parents (souvent dans l'Atlas) : il n'est pas rare de voir quelques années plus tard des stries correspondants à chacun de ces étés.


Avatar 46 aoi1yc - Eugenol
HononLulu

06/07/2011 à 00h42

Biberon à la grenadine ??
Merci pour ta recap, pas eu le temps de la lire encore mais je me l'enregistre.


RookMoot

06/07/2011 à 01h08

Merci pour ce compte-rendu détaillé.
J'aurais aussi pensé à "la carie du biberon"


Image odged8 - Eugenol
ploc

06/07/2011 à 02h11

caries du biberon
les inc inf definitives st "encore" saines mais ça ne va pas durer :sois convaincant ds ta motivation:)

et Bravo,vraiment, pr ce topo


king_zoulou

06/07/2011 à 03h01

sujet très intéressant, merci :)


jazz

06/07/2011 à 09h48

Bravo pour ce topo Tigabi
Je pense qu'il sera très utile à tous ceux dont l'odontologie pédiatrique n'est pas l'exercice principal


maz

06/07/2011 à 11h20

merci pour ce super topo


Bagheera tudzjy - Eugenol
bagheerra

06/07/2011 à 11h36

Merci pour ces rappels,
pourrais-tu développer et préciser mieux les étiologies des MIH ?
Une prévalence à 15%, c'est énorme et c'est effectivement ce que je constate.


Avatar hjdsnm - Eugenol
TiGabi

06/07/2011 à 14h12

bagheerra écrivait:
-------------------
> Merci pour ces rappels,
> pourrais-tu développer et préciser mieux les étiologies des MIH ?
> Une prévalence à 15%, c'est énorme et c'est effectivement ce que je constate.

Une MIH est le résultat d'une atteinte des améloblastes lors de la phase de maturation de l'émail des 1ères molaires et incisives permanentes, de 0 à 6 ans. Les défauts les plus profonds et étendus (MIH sévère) sont ceux causés par une atteinte entre 0 et 2 ans.

Les améloblastes sont des cellules très sensibles, notamment à l'hypoxie : de nombreux facteurs peuvent les perturber.

Un accouchement par césarienne, une prématurité, une naissance gémellaire entrainent une souffrance hypoxique du nouveau-né : on retrouve un lien statistique entre MIH et complications périnatales.

On retrouve également un lien statistique entre maladies infantiles (0-2 ans +++) et MIH, notamment pour des bronchites obstructives chroniques et des otites moyennes. Globalement, plus l'enfant a un historique médical chargé de 0 à 2 ans, plus le risque de MIH est fort . Le mécanisme étiologique n'est pas clairement élucidé : des étude à faible niveau de preuve suggèrent l'implication de la fièvre, des médicaments ou des agents pathogènes.

Les dioxines (toxines environnementales) causent des MIH pour des expositions extrêmes (explosion d'un incinérateur) : ce lien est prouvé. Pour des expositions normales à élevées, les dioxines sont un facteur de risque parmi beaucoup d'autres.

En résumé, l'étiologie de la MIH est très multifactorielle et résulte de l'addition ou de la synergie de nombreux facteurs plus ou moins identifiés.

Pour la prévalence, j'ai pu faire une étude dans des écoles primaires de ma ville sur 301 enfants. J'ai trouvé une fréquence de 14,3%, globalement répartis en un tiers de MIH légère (aucune necessité de traitement), un tiers de MIH moderé (fractures limitées) et un tiers de MIH sévère.


Bagheera tudzjy - Eugenol
bagheerra

06/07/2011 à 14h16

Ca c'est de la réponse ! Merci !
Dernière question pour finir : y-a-t'il plus de MIH "maintenant" qu'"autrefois" ?


burnax

07/07/2011 à 11h37

merci.


belette

07/07/2011 à 12h01


TiGabi écrivait: on retrouve un lien statistique entre MIH et complications périnatales... On retrouve également un lien statistique entre maladies infantiles (0-2 ans> +++) et MIH,

bagheerra écrivait: Dernière question pour finir : y-a-t'il plus de MIH "maintenant" qu'"autrefois" ?

===> Sans doute que oui puisqu' autrefois, les mortalités périnatales et infantiles étaient beaucoup plus élevées, les enfants susceptibles de présenter des MIH mouraient ...

^ ... ^
Ô"""Ô
= o =


Avatar hjdsnm - Eugenol
TiGabi

07/07/2011 à 12h15

bagheerra écrivait:
-------------------
> Dernière question pour finir : y-a-t'il plus de MIH "maintenant" qu'"autrefois"
> ?

Au début des années 2000, beaucoup d'articles sont sortis dans une courte période du fait de l'impression empirique des auteurs de voir de plus en plus de cas.

On peut pas vraiment vérifier cette impression car avant 2001, le terme "MIH" n'existait pas : on parlait de "cheese molars", "hypominéralisation idiopathique", etc... Des termes différents avec des définitions différentes qui font que les chiffres avant et après 2001 ne sont pas comparables.


belette

07/07/2011 à 21h32

Tiens pour ta collection de photos, avec un clin d'oeil pour les odf...


Email vw4eh2 - Eugenol

Avatar medium eliwpl - Eugenol
Dentair'Adam

13/07/2011 à 00h54

Super topo, merci à toi (j'en ai fait un copié collé sur mon ordi)!

D'ailleurs, j'ai eu un cas aujourd'hui, mais je ne suis pas sûr de mon diagnostic.

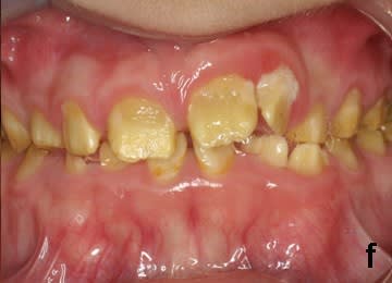
[URL=http://www.casimages.com][img]http://nsa28.casimages.com/img/2011/07/12/110712110314708121.jpg[/img][/URL]

[URL=http://www.casimages.com][img]http://nsa27.casimages.com/img/2011/07/12/110712110431739668.jpg[/img][/URL]

[url=http://www.casimages.com/img.php?i=110712110431739668.jpg][img]http://nsa27.casimages.com/img/2011/07/12/mini_110712110431739668.jpg[/img][/url]

La patiente a 9ans, les taches sont sur 11 et 21, rien de bien nette ailleurs.

Défaut d'amélogénèse? l'émail semble fin, transparent, mais les dents ne sont pas abrasées.

D'autres idées? trauma?


Avatar hjdsnm - Eugenol
TiGabi

13/07/2011 à 02h29

Dentair'Adam écrivait:
----------------------
> Défaut d'amélogénèse? l'émail semble fin, transparent, mais les dents ne sont
> pas abrasées.

Il y a un tache bien délimitée sur le bord libre de 12. Es-tu sûr de ne pas voir de taches opaques sur les molaires permanentes ?


Avatar medium eliwpl - Eugenol
Dentair'Adam

14/07/2011 à 00h17

Tu penses à une MIH ?
Les taches ne me semblent pas si délimitées que ça?
Sur la 12, c'est plus un défaut de la photo je pense.
Je pencherais plutôt à une hypoplasie post traumatique.

Niveau molaire, rien de bien nette, juste un doute sur la 36, une déminéralisation sur la cuspide dv.


Avatar hjdsnm - Eugenol
TiGabi

16/07/2011 à 15h14

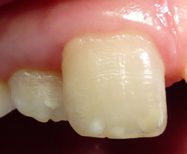
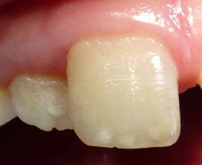
Ce matin, un cas d'amélogenèse imparfaite (rare) de type hypoplasique : l'émail est d'aspect et de dureté normale mais l'épaisseur est réduite et irrégulière.
Toutes les dents sont atteintes (donc d'age de formation différentes), ce qui permet un diagnostic différentiel avec des hypoplasies dues à une maladie générale durant l'enfance par exemple.
Plusieurs dents présentent de petits puits de moins d'1 mm où la dentine n'est pas recouverte d'émail.

Je la revois en septembre pour sceller les sillons et ces puits : je ferai des photos à ce moment.

Copie de ai ltsmze - Eugenol
Ai k38eat - Eugenol
Copie  2  de ai wfprbt - Eugenol

ratounes

25/07/2011 à 14h16

Bonjour,
Les enfants du cordonnier étant souvent hélas les plus mal chaussés, mon petit garçon de 5 ans est affecté d'une odontodysplasie régionale atteignant les 51.52.53.54 et dans une très moindre mesure 55. Quelqu'un en a-t-il rencontré dans son activité et pourrait il me faire un retour d'expérience?
Ce n'est pas à proprement parler uniquement une espèce d'email anormal, puisque la structure complète est atteinte,mais cela interfère avec le sujet de ce post fort bien mené soit dit au passage...
Merci pour votre partage.


12