Cookie Consent byPrivacyPolicies.comSondage sur la Digue - Eugenol

Sondage sur la Digue

003 penrd2 - Eugenol
Cingulum

07/07/2011 à 12h55

La digue pour vous c'est :

1. Qu'en Endo
2. Endo et Collage
3. J'aimerais bien mais je sais pas faire j'y arrive pas avec ces *§²²@@!! de crampon
4. Mes patients n'en veulent pas
5. Je pense que ça sert à rien et que je perds du temps...


On lit un peu tout et n'importe quoi, la consommation de digue est pas très élevée en France, et un petit tour des praticiens sur eugenol ou l'on se dit tout sans langue de bois ;)

Personnellement je l'a met dans 95% des endos et 70% des collages....



--
Dr Cingulum
-----Ancien interné----
----Attaché à l'apex----
www.clinic-all.fr formation par passion

Img 6371 d2kexf - Eugenol
Img 9252 fvq17o - Eugenol
Img 9277 l8hbq4 - Eugenol
Img 9761 cxbu2s - Eugenol
Img 9591 bacxnw - Eugenol
Img 9586 opgwci - Eugenol

Saucisson aux piments odddxi - Eugenol
AMG31

07/07/2011 à 12h58

PAS DE DIGUE POUR MOI tout simplement parceque lors de mes etudes j'ai servi de cobaye à la promo et c'est de la pure torture .J'ai testé et détesté !!!!


arno

07/07/2011 à 13h03

2
toutes les endos et 80% des collages


S2y2o1v7q53ws4r5wy6ou8czrpom - Eugenol
pxav

07/07/2011 à 13h03

tes photos sont excellentes!
digue en endo sauf si...
collage sauf si...
par contre optragate (digue du pauvre?) systématiquement en chir et très souvent en prothèse.
--
xbk
"Si tous ceux qui croient avoir raison n'avaient pas tort, la vérité ne serait pas loin" Dac Pierre


annesoulac

07/07/2011 à 13h15

p...... de crampons qui traversent la salle de soins au risque de crever l'oeil de l'accompagnant....


Grueavatar nptrc9 - Eugenol
Le Choixpeau magique

07/07/2011 à 13h15

Salut Cingugu,
comme j'aime bien dire ce que je fais, même si certains vont encore me tomber dessus (la dernière fois que j'ai dit que je faisais des inlay-core, je te raconte pas ce que j'ai pris):
Digue pour
- 100% des endos
- 100% de compos proximaux sur incisives (unitaire fine + 212).
- pour la plupart des 7 du haut et du bas

Sur les 8, je ne fais que des amg.
Sur les 6, parfois la digue.
Sur les PM, toujours sans digue, et dans ces cas là avec wave wedge + matrice apis + V3 ring + rouleau de coton coincé sous le rouleau, DANS MES MAINS, j'arrive à avoir une isolation meilleure et plus facile à obtenir qu'avec la digue.
Collages de restaurations indirectes: pareil que pour les compos, sur les 7 et parfois les 6, et j'évite de faire des couronnes collées sur les 7.
Autre truc que j'arrive à faire mieux sans digue qu'avec, les reconstitutions de moignon, quelle que soit la dent.

Sinon, question aux diguistes qui utilisent un M&R 2: comment faites vous pour gérer l'humidité de la dentine ? Après le rinçage de l'acide, en général la digue est pleine d'eau, si on veut obtenir une digue toute sèche il est très difficile de na pas assécher en même temps la cavité. Ma solution: adhésif self-etch.


003 penrd2 - Eugenol
Cingulum

07/07/2011 à 13h18

Le Choixpeau magique écrivait:
------------------------------
> Salut Cingugu,
> comme j'aime bien dire ce que je fais, même si certains vont encore me tomber
> dessus (la dernière fois que j'ai dit que je faisais des inlay-core, je te
> raconte pas ce que j'ai pris):

Ouais j'ai vu :)

> Sinon, question aux diguistes qui utilisent un M&R 2: comment faites vous pour
> gérer l'humidité de la dentine ? Après le rinçage de l'acide, en général la
> digue est pleine d'eau, si on veut obtenir une digue toute sèche il est très
> difficile de na pas assécher en même temps la cavité. Ma solution: adhésif
> self-etch.

Je suis quand même un peu revenu des self etch, a cause du traitement insuffisant de l'email plus le problème avec les compo dual...
Donc j'utilise un MR2... je réhydrate la dentine avec une boulette de coton exprimée...



--
Dr Cingulum
-----Ancien interné----
----Attaché à l'apex----
www.clinic-all.fr formation par passion


Marque a3 orange fyvhyq - Eugenol
Marc Apap

07/07/2011 à 13h21

Digue dans 80% des endos et selon les périodes pour les composites directs en postérieur (split dam ou pas). Comme je ne fais pratiquement jamais de restaurations partielles collées, ça ne compte pas. Mais quand j'en fais, je la mets.


060108 005 nrfjgc - Eugenol
NaFr

07/07/2011 à 13h26

Toutes les endos, tous les compos, tous les collages......sauf rares exceptions......

--
Francis N.


RépondreCiter
Avatar hjdsnm - Eugenol
TiGabi

07/07/2011 à 13h36

En pédo : tout le temps.

Pour le confort de l'enfant : pas de liquide plus ou moins désagréable en bouche, pas de débris qui passent dans la bouche.
Pour la sécurité : pas de langue ou de joue sur le champ, pas de risque d'ingestion/inhalation.
Pour mon confort : haut contraste visuel, ergonomie, pas besoin de jongler avec aspi et cotons salivaires, pas de crainte que l'enfant ferme au mauvais moment.

Secondairement, pour la qualité du soins : pas de salive dans mes pulpo, contrôle de l'humidité, etc...

La digue chez un enfant est beaucoup plus facile à poser que chez l'adulte.
Un adulte pensera "mais c'est quoi ce TRUC ? C'est une TORTURE ! On m'a jamais fait ça !".
Un enfant connaît peu ou pas les soins dentaires : "on va poser un petit parapluie sur la dent", pour lui c'est normal.

P1010778 jhg9mz - Eugenol
P1010785 gtnont - Eugenol
P1010788 pfpozr - Eugenol

Grueavatar nptrc9 - Eugenol
Le Choixpeau magique

07/07/2011 à 13h47

Cingulum écrivait:
------------------
> Je suis quand même un peu revenu des self etch, a cause du traitement
> insuffisant de l'email

Surpass !

> plus le problème avec les compo dual...

Surpass !

> Donc j'utilise un MR2... je réhydrate la dentine avec une boulette de coton
> exprimée...

Je faisais ça à une époque mais ça multiplie les étapes, un peu dommage pour un système qui se veut simplifié.


carototo

07/07/2011 à 14h04

toutes les endos, pas tous les collages , pose d'onlay en bas


Fouilla h6plsy - Eugenol
fouilla

07/07/2011 à 14h15


70 80 % des endos (bio)
je ne reconstitue pas pour poser la digue donc entre 40 et 60 % des reprises endo sous digue mais pas plus
100 % des collages et contention
5% sur composite par manque de temps et de gratification aussi .

réponse sincère validée par mon AD (!)
--
.


clementbtz

07/07/2011 à 14h18

Quand je peux pas mettre la digue , je pleure !!

En restau , maintenant je la pose avant de tailler les cavités ou de déposer les amgs : un vrai plus pour le confort ( le mien , celui de mon assistante et surtout celui du patient)

Meme pour mettre des CVI je la met .

En Endo : toujours
En Collage : toujours

Maintenant c'est vrai des fois c'est pas facile , mais une fois en place : on respire , on est comme en TP avec un patient sans langue , sans joues et sans salive !!.Pas de bruit de pompoe à salive.On peut écouter la musique et c'est pas rare de voir le patient piquer un petit roupillon !

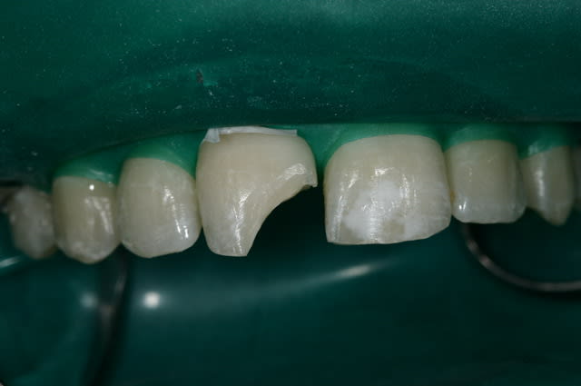
Il faut toujours essayer : parfois on est un peu sous gingival , ça à l'air mal barré et puis on met la digue et hop : magie !!! cf photo ci-joint.







Digue si6cja - Eugenol

003 penrd2 - Eugenol
Cingulum

07/07/2011 à 14h18


ça fait plaisir toute ces réponses :) il y a meme pas eu encore une connerie de dites !!
(faut dire que Alapex, et Hallboy sont pas encore passé par là :p )

--
Dr Cingulum
-----Ancien interné----
----Attaché à l'apex----
www.clinic-all.fr formation par passion


Smile beach jgh0a1 - Eugenol
Céramik

07/07/2011 à 14h59

annesoulac écrivait:
--------------------
> p...... de crampons qui traversent la salle de soins au risque de crever l'oeil
> de l'accompagnant....

Mes patients portent des lunnettes de protection fumées.
Au début, ils trouvent cela étrange (jamais eu avant), puis
ils adorent, me les demande dès le début des soins.
Protection de la lumière et des aérosols, des objets volants (amalgames, etc).
Quand on voit tout ce qui se dépose sur les lunettes, après une séance.
Je fais cela depuis 15 ans.

La digue, pour collage, endo, reconstruction post endo (oups, c'est du collage...)
pour les tailles très souvent.
Bref, le plus souvent possible.
J'ai une nouvelle ad depuis 2 mois, elle a 10 ans d'expérience, mais ne connaissait presque rien de la digue...elle trouvait cela étrange et compliqué (nouveauté), mais elle m'a dit il y a une semaine, j'adore la digue, c'est bcp plus facile et rapide de bien faire les choses. Son travail est simplifié, on se concentre sur le boulot, pas sur la salive et la langue. Aucune plainte des patients.
Hier placer sur une patiente de 77 ans, qui arrive de Chine, elle ne parle pas français, son petit fils traduisait, elle a trouver cela très bien, on a pu faire 9 compo multi suface en 1h30.



--
Céramik


king_zoulou

07/07/2011 à 15h09

Céramik écrivait:
-----------------

> Hier placer sur une patiente de 77 ans, qui arrive de Chine, elle ne parle pas
> français, son petit fils traduisait, elle a trouver cela très bien, on a pu
> faire 9 compo multi suface en 1h30.

Fais-nous rêver un peu plus, nous autres pauvres français aux tarifs opposablement ridicules: elle a payé combien la mamie ? :p


Fouilla h6plsy - Eugenol
fouilla

07/07/2011 à 17h41

king_zoulou écrivait:
---------------------
> Céramik écrivait:
> -----------------
>
> > Hier placer sur une patiente de 77 ans, qui arrive de Chine, elle ne parle pas
> > français, son petit fils traduisait, elle a trouver cela très bien, on a pu
> > faire 9 compo multi suface en 1h30.
>
> Fais-nous rêver un peu plus, nous autres pauvres français aux tarifs
> opposablement ridicules: elle a payé combien la mamie ? :p
ah bon c'est opposable même quand on mets la digue ???



--
.


Toriko ucqp9i - Eugenol
Giantcoco

07/07/2011 à 18h22

digue pour toutes mes endo et collage d'onlays
par contre pour les collages en méthode directe j'y arrive pas avec mes matrices j'ai laissé tombé.


Img 3657 cwjvqm - Eugenol
alapex

07/07/2011 à 18h47

Faut répondre honnêtement ? Pfff ! Pas toujours .
Fais sobre sur ce coup là...))))


belette

07/07/2011 à 20h42

JAMAIS.
Essayé souvent et renoncé...
Alors forcément les images sont moins belles...
^ ... ^
Ô"""Ô
= o = images argentiques en plus ... A l'ancienne quoi !

Sans digue y3w1kk - Eugenol

Img 3657 cwjvqm - Eugenol
alapex

07/07/2011 à 20h46

Dr BOURRETOUT Belette ?


Nouveau image bitmap fz77zh - Eugenol
Sethef

07/07/2011 à 20h47

95% des endos (sauf si dents déjà préparées en infra-gingival et facilement isolables, en antérieur donc). En postérieur, si nécessaire, reconstitution avec un verre ionomère photo.

95% des collages, directs ou indirects (sauf les collets et les faces distales de dent terminale). Je la pose juste avant la restauration, je n'arrive pas à préparer mes cavités sous digue, trop gênant pour les rotatifs.

Aujourd'hui j'ai dû coller un onlay sur 47 sans digue pour cause de réflexes nauséeux importants, ben j'en ai chié comme jamais et je ne suis pas fier de mon collage. Si il revient avec un problème, je ferais plutôt un onlay or scellé.

De manière générale, quand j'ai peur de ne pas pouvoir isoler correctement, je continue de faire des amalgames (2 fois par mois donc, souvent des faces occlusales de 8), voire des CVI.

Je n'ai pas l'impression de perdre du temps à poser la digue: 2 minutes, rattrapé par la suite. Et quel calme...

@+ Sethef


Edit: mais effectivement, j'ai laissé une marque au plafond il y a quelques jours du fait d'un clamp qui a sauté... et ma première manoeuvre de Nellaton a été réalisée après dépose de la digue il y a quelques mois... Il ne peut pas y avoir que des avantages quand même.


maz

07/07/2011 à 21h31

95% des endos

60% des compos

98% des inlays / eMax / bridge collés


maz

07/07/2011 à 21h35

Le Choixpeau magique écrivait:
------------------------------
> Sinon, question aux diguistes qui utilisent un M&R 2: comment faites vous pour
> gérer l'humidité de la dentine ? Après le rinçage de l'acide, en général la
> digue est pleine d'eau, si on veut obtenir une digue toute sèche il est très
> difficile de na pas assécher en même temps la cavité. Ma solution: adhésif
> self-etch.

je sèche la digue et les alentours d'abord, et la dent en dernier

j'applique mon primer (MR3) en gardant dans l'autre main l'aspi qui finit de parfaitement sécher les recoins de la digue

comme ça quand je le sèche, il n'y a plus d'eau qui rejaillit partout


12...